相关产品推荐更多 >
万千商家帮你免费找货
0 人在求购买到急需产品
- 详细信息
- 文献和实验
- 技术资料
- 供应商:
上海康朗生物科技有限公司
- 库存:
大量
- 目录编号:
kl-1191R
- 克隆性:
多克隆
- 抗原来源:
Rabbit
- 保质期:
12个月
- 抗体英文名:
IL-2 antibody
- 抗体名:
白介素2抗体
- 宿主:
Rabbit
- 适应物种:
Mouse, Rat,
- 免疫原:
KLH conjugated synthetic peptide derived from mouse IL-2:65-155/155
- 亚型:
IgG
- 形态:
冻干粉或液体
- 应用范围:
WB=1:500-2000 ELISA=1:500-1000 IHC-P=1:400-800 IHC-F=1:400-800 IF=1:100-500
- 浓度:
1mg/ml
- 保存条件:
-20 °C
- 规格:
50ul 100ul 200ul
| 中文名称 | 白介素2抗体 |
| 别 名 | Interleukin-2; T-cell growth factor; Aldesleukin; IL 2; Interleukin 2; Interleukin2; Lymphokine; POIL2; T Cell Growth Factor; TCGF; IL2_HUMAN; IL2_MOUSE. |
| 规格价格 | 50ul/780元 购买 100ul/1380元 购买 200ul/2200元 购买 大包装/询价 |
| 说 明 书 | 50ul 100ul 200ul |
| 研究领域 | 免疫学 糖蛋白 |
| 抗体来源 | Rabbit |
| 克隆类型 | Polyclonal |
| 交叉反应 | Mouse, Rat, |
| 产品应用 | WB=1:500-2000 ELISA=1:500-1000 IHC-P=1:400-800 IHC-F=1:400-800 IF=1:100-500 (石蜡切片需做抗原修复) not yet tested in other applications. optimal dilutions/concentrations should be determined by the end user. |
| 分 子 量 | 15kDa |
| 细胞定位 | 分泌型蛋白 |
| 性 状 | Lyophilized or Liquid |
| 浓 度 | 1mg/ml |
| 免 疫 原 | KLH conjugated synthetic peptide derived from mouse IL-2:65-155/155 |
| 亚 型 | IgG |
| 纯化方法 | affinity purified by Protein A |
| 储 存 液 | 0.01M TBS(pH7.4) with 1% BSA, 0.03% Proclin300 and 50% Glycerol. |
| 保存条件 | Store at -20 °C for one year. Avoid repeated freeze/thaw cycles. The lyophilized antibody is stable at room temperature for at least one month and for greater than a year when kept at -20°C. When reconstituted in sterile pH 7.4 0.01M PBS or diluent of antibody the antibody is stable for at least two weeks at 2-4 °C. |
| PubMed | PubMed |
| 产品介绍 | background: The protein encoded by this gene is a secreted cytokine that is important for the proliferation of T and B lymphocytes. The receptor of this cytokine is a heterotrimeric protein complex whose gamma chain is also shared by interleukin 4 (IL4) and interleukin 7 (IL7). The expression of this gene in mature thymocytes is monoallelic, which represents an unusual regulatory mode for controlling the precise expression of a single gene. The targeted disruption of a similar gene in mice leads to ulcerative colitis-like disease, which suggests an essential role of this gene in the immune response to antigenic stimuli. [provided by RefSeq, Jul 2008] Function: Produced by T-cells in response to antigenic or mitogenic stimulation, this protein is required for T-cell proliferation and other activities crucial to regulation of the immune response. Can stimulate B-cells, monocytes, lymphokine-activated killer cells, natural killer cells, and glioma cells. Subcellular Location: Secreted. DISEASE: Note=A chromosomal aberration involving IL2 is found in a form of T-cell acute lymphoblastic leukemia (T-ALL). Translocation t(4;16)(q26;p13) with involves TNFRSF17. Similarity: Belongs to the IL-2 family. SWISS: P17108 Gene ID: 16183 Database links: Entrez Gene: 3558 Human Entrez Gene: 16183 Mouse Entrez Gene: 116562 Rat Omim: 147680 Human SwissProt: P60568 Human SwissProt: P04351 Mouse SwissProt: P17108 Rat Unigene: 89679 Human Unigene: 14190 Mouse Unigene: 9871 Rat Important Note: This product as supplied is intended for research use only, not for use in human, therapeutic or diagnostic applications. IL-2作为一种T细胞生长因子在免疫应答及其调节中起重要作用,白介素-2的拮抗剂可用于同种移植排斥、T细胞性白血病以及某些自身免疫性疾病的治疗.胞内IL-2的水平是反映Th1 /Th2型细胞平衡状态的一个有用指标.此抗体只用于大、小鼠。 |
| 产品图片 |
Tissue/cell: Mouse intestine tissue; 4% Paraformaldehyde-fixed and paraffin-embedded;
Antigen retrieval: citrate buffer ( 0.01M, pH 6.0 ), Boiling bathing for 15min; Block endogenous peroxidase by 3% Hydrogen peroxide for 30min; Blocking buffer (normal goat serum,C-0005) at 37℃ for 20 min; Incubation: Anti-IL-2 Polyclonal Antibody, Unconjugated(bs-1191R) 1:200, overnight at 4°C, followed by conjugation to the secondary antibody(SP-0023) and DAB(C-0010) staining
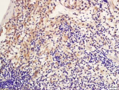
Tissue/cell: Rat spleen tissue; 4% Paraformaldehyde-fixed and paraffin-embedded;
Antigen retrieval: citrate buffer ( 0.01M, pH 6.0 ), Boiling bathing for 15min; Block endogenous peroxidase by 3% Hydrogen peroxide for 30min; Blocking buffer (normal goat serum,C-0005) at 37℃ for 20 min; Incubation: Anti-IL-2 Polyclonal Antibody, Unconjugated(bs-1191R) 1:200, overnight at 4°C, followed by conjugation to the secondary antibody(SP-0023) and DAB(C-0010) staining |
风险提示:丁香通仅作为第三方平台,为商家信息发布提供平台空间。用户咨询产品时请注意保护个人信息及财产安全,合理判断,谨慎选购商品,商家和用户对交易行为负责。对于医疗器械类产品,请先查证核实企业经营资质和医疗器械产品注册证情况。
文献和实验协同刺激信号促进IL-2基因转录的机制 经由钙调磷酸酶激活的转录因子NF-AT虽可进人细胞核,但是在组成性表达的一种称为糖原合成酶激酶(GSK3)的作用下,重新从胞核逸出,致使核内无足够浓度的NF-AT可以和启动子区相应的顺式作用元件结合,IL-2基因转录受阻。此时,CD28启动的信号途径中激活的P1 3K,可以作用于GSK3,使其丧失介导NF-AT的胞核外流作用,NF-AT浓度遂迅速升高,使IL-2基因的转录以致整个T细胞的激活成为可能。
Human IL-2 Enzyme Immunoassay (EIA)
natural killer cells and tumor-infiltrating lymphocytes plus the enhancement of the ability of theses cytotoxic lymphocytes to kill targets cells Stimulus for the division of antibody-producing B cells Up regulation of IL-2 receptors on T cells
IL-2 的体外诱生 IL-2主要由活化的CD4+ T细胞产生,主要是促进T淋巴细胞的增殖与分化。IL-2是机体免疫网络中最重要的细胞因子,因此IL-2的检测已成为评价机体免疫功能状态的重要指标之一。但由于IL-2是通过自分泌或旁分泌方式发挥其生物学效应的,在生理性免疫应答过程中,IL-2不出现于血液等体液中,故体液中IL-2含量极少,难以直接测定,通常是通过检测体外诱生的IL-2来反映体内IL-1活性水平。IL-2可用免疫学方法来检测其含量,但更多是用生物
技术资料暂无技术资料 索取技术资料









