相关产品推荐更多 >
万千商家帮你免费找货
0 人在求购买到急需产品
- 详细信息
- 文献和实验
- 技术资料
- 库存:
大量
- 英文名:
Eosin Staining Solution
- 保质期:
1年
- 供应商:
上海联迈生物工程有限公司
- 保存条件:
室温保存
- 规格:
100ml
伊红染色液
联迈生物生产的伊红染色液(Eosin Staining Solution)操作简单,不使用汞、甲醇等有毒试剂,可以用于组织切片或培养细胞的染色。
伊红(eosin)是一种化学合成的酸性染料,在水中解离成带负电荷的阴离子,可以和蛋白质氨基上带正电荷的阳离子结合,从而使细胞胞浆染成不同程度的红色或粉红色,与苏木素染色液染色形成的蓝色细胞核形成鲜明对比,从而使苏木素伊红(HE)染色成为病理组织切片中最广泛使用的一种常规染色方法。
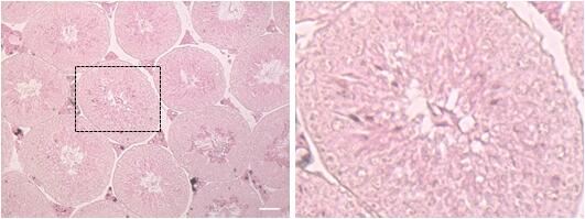
本伊红染色液染色后细胞浆呈粉红色或红色,本产品用于石蜡切片染色的效果图参考图1。
图1. 本产品用于小鼠睾丸石蜡切片的染色效果图。右图为左图局部放大图片。图中可见非常清晰的细胞浆着色。本图仅作参考,不同的样品不同的检测条件,实际获得的结果可能有所差别。Scale bar, 100μm。
本染色液可以重复使用,直至认为效果不佳时再换用新的染色液。一个包装的本染色液至少可以染色200个样品。
包装清单:
保存条件:
室温保存,至少一年有效。
注意事项:
染色液可以重复使用多次,认为效果不佳时再更换新的染色液。
样品数量很多时,可以使用联迈生物生产的染色架和染色缸,便于操作。
第一次使用本试剂盒时建议先取1-2个样品做预实验。
本产品仅限于专业人员的科学研究用,不得用于临床诊断或治疗,不得用于食品或药品,不得存放于普通住宅内。
为了您的安全和健康,请穿实验服并戴一次性手套操作。
| 产品编号 | 产品名称 | 产品包装 | 产品价格 |
| LM01097 | 伊红染色液 | 100ml | 132.00元 |
伊红(eosin)是一种化学合成的酸性染料,在水中解离成带负电荷的阴离子,可以和蛋白质氨基上带正电荷的阳离子结合,从而使细胞胞浆染成不同程度的红色或粉红色,与苏木素染色液染色形成的蓝色细胞核形成鲜明对比,从而使苏木素伊红(HE)染色成为病理组织切片中最广泛使用的一种常规染色方法。
本伊红染色液染色后细胞浆呈粉红色或红色,本产品用于石蜡切片染色的效果图参考图1。
图1. 本产品用于小鼠睾丸石蜡切片的染色效果图。右图为左图局部放大图片。图中可见非常清晰的细胞浆着色。本图仅作参考,不同的样品不同的检测条件,实际获得的结果可能有所差别。Scale bar, 100μm。
本染色液可以重复使用,直至认为效果不佳时再换用新的染色液。一个包装的本染色液至少可以染色200个样品。
包装清单:
| 产品编号 | 产品名称 | 包装 |
| LM0109 | 伊红染色液 | 100ml |
| — | 说明书 | 1份 |
室温保存,至少一年有效。
注意事项:
染色液可以重复使用多次,认为效果不佳时再更换新的染色液。
样品数量很多时,可以使用联迈生物生产的染色架和染色缸,便于操作。
第一次使用本试剂盒时建议先取1-2个样品做预实验。
本产品仅限于专业人员的科学研究用,不得用于临床诊断或治疗,不得用于食品或药品,不得存放于普通住宅内。
为了您的安全和健康,请穿实验服并戴一次性手套操作。
风险提示:丁香通仅作为第三方平台,为商家信息发布提供平台空间。用户咨询产品时请注意保护个人信息及财产安全,合理判断,谨慎选购商品,商家和用户对交易行为负责。对于医疗器械类产品,请先查证核实企业经营资质和医疗器械产品注册证情况。
文献和实验相关实验
液界 liquid junction 指二种浓度或不同组成的电解质的接触面。液界可简单地把比重轻的溶液由重叠在重液之上而形成,但随着时间的进行,由于扩散或对流等可多少出现液体的混合。为防止混合可采取放置多孔质的膜以延缓扩散,或不断流动液体更新液界等方法。在液界上可产生液界电位( liquid junction potential, EL )。比较简单的是在浓度不同的同一种一价的电解质溶液间或浓度相同并且具有共同的离子的不同的电解质溶液间的情况下,液界电位的大小与液界的混合
Taq Talk 荧光定量 PCR 系列课程之【qPCR 预混液的选择】一起来了解如何高效地选择合适的 qPCR 预混液
培养 24 - 48 h,细胞汇合度达到 80% - 95% 左右时收取上清,该上清液即可用于提取外泌体。 使用外泌体专用无血清培养基: 待细胞汇合度~50%时,移去原有完全培养基,添加新培养基进行培养,新培养基由 50% 外泌体专用无血清培养基 + 50% 完全培养基组成; 待细胞生长汇合度约为70-80%时,移去培养基; 使用1×PBS溶液将细胞润洗2-3次; 加入外泌体专用无血清培养基继续培养24 - 48 h,待细胞汇合度到 80% - 95% 时收取细胞培养上清液,该上清液即可用于外泌
技术资料暂无技术资料 索取技术资料
伊红染色液
¥132










