相关产品推荐更多 >
万千商家帮你免费找货
0 人在求购买到急需产品
- 详细信息
- 技术资料
- 供应商:
上海康朗生物科技有限公司
- 库存:
大量
- 目录编号:
kl-11681R
- 克隆性:
多克隆
- 抗原来源:
Rabbit
- 保质期:
12个月
- 抗体英文名:
Presenilin 1 + 2 antibody
- 抗体名:
早老素蛋白1+2抗体
- 宿主:
Rabbit
- 适应物种:
Human, Mouse, Rat, Chicken,
- 免疫原:
KLH conjugated synthetic peptide derived from human Presenilin-1 NTF subunit:321-430/467
- 亚型:
IgG
- 形态:
冻干粉或液体
- 应用范围:
WB=1:500-2000 ELISA=1:500-1000 IHC-P=1:400-800 IHC-F=1:400-800 ICC=1:100-500 IF=1:100-500
- 浓度:
1mg/ml
- 保存条件:
-20 °C
- 规格:
100ul 200ul
Presenilin 1 + 2 antibody
| 中文名称 | 早老素蛋白1+2抗体 |
| 别 名 | AD 3; AD4; AD5; Alzheimer disease 3; Alzheimer disease 4; FAD; Presenilin 1; Presenilin 2; Presenilin-1; Presenilin-2; Presenilin1; Presenilin1; PS1; PS2; PS-1; PS-2; PSEN1; PSEN2; STM2; PSN1_HUMAN; PSN2_HUMAN. |
| 规格价格 | 100ul/1380元 购买 200ul/2200元 购买 大包装/询价 |
| 说 明 书 | 100ul 200ul |
| 研究领域 | 肿瘤 神经生物学 信号转导 细胞凋亡 细胞自噬 Alzheimer's |
| 抗体来源 | Rabbit |
| 克隆类型 | Polyclonal |
| 交叉反应 | Human, Mouse, Rat, Chicken, |
| 产品应用 | WB=1:500-2000 ELISA=1:500-1000 IHC-P=1:400-800 IHC-F=1:400-800 ICC=1:100-500 IF=1:100-500 (石蜡切片需做抗原修复) not yet tested in other applications. optimal dilutions/concentrations should be determined by the end user. |
| 分 子 量 | 19/52kDa |
| 细胞定位 | 细胞浆 细胞膜 |
| 性 状 | Lyophilized or Liquid |
| 浓 度 | 1mg/ml |
| 免 疫 原 | KLH conjugated synthetic peptide derived from human Presenilin-1 NTF subunit:321-430/467 |
| 亚 型 | IgG |
| 纯化方法 | affinity purified by Protein A |
| 储 存 液 | 0.01M TBS(pH7.4) with 1% BSA, 0.03% Proclin300 and 50% Glycerol. |
| 保存条件 | Store at -20 °C for one year. Avoid repeated freeze/thaw cycles. The lyophilized antibody is stable at room temperature for at least one month and for greater than a year when kept at -20°C. When reconstituted in sterile pH 7.4 0.01M PBS or diluent of antibody the antibody is stable for at least two weeks at 2-4 °C. |
| PubMed | PubMed |
| 产品介绍 | background: Alzheimer's disease (AD) patients with an inherited form of the disease carry mutations in the presenilin proteins (PSEN1; PSEN2) or the amyloid precursor protein (APP). These disease-linked mutations result in increased production of the longer form of amyloid-beta (main component of amyloid deposits found in AD brains). Presenilins are postulated to regulate APP processing through their effects on gamma-secretase, an endoprotease complex that catalyzes the intramembrane cleavage of integral membrane proteins such as Notch receptors and APP. Function: Probable catalytic subunit of the gamma-secretase complex, an endoprotease complex that catalyzes the intramembrane cleavage of integral membrane proteins such as Notch receptors and APP (beta-amyloid precursor protein). Requires the other members of the gamma-secretase complex to have a protease activity. May play a role in intracellular signaling and gene expression or in linking chromatin to the nuclear membrane. Stimulates cell-cell adhesion though its association with the E-cadherin/catenin complex. Under conditions of apoptosis or calcium influx, cleaves E-cadherin promoting the disassembly of the E-cadherin/catenin complex and increasing the pool of cytoplasmic beta-catenin, thus negatively regulating Wnt signaling. May also play a role in hematopoiesis. Subunit: Homodimer. Component of the gamma-secretase complex, a complex composed of a presenilin homodimer (PSEN1 or PSEN2), nicastrin (NCSTN), APH1 (APH1A or APH1B) and PEN2. Such minimal complex is sufficient for secretase activity. Other components which are associated with the complex include SLC25A64, SLC5A7, PHB and PSEN1 isoform 3. Predominantly heterodimer of a N-terminal (NTF) and a C-terminal (CTF) endoproteolytical fragment. Associates with proteolytic processed C-terminal fragments C83 and C99 of the amyloid precursor protein (APP). Associates with NOTCH1. Associates with cadherin/catenin adhesion complexes through direct binding to CDH1 or CDH2. Interaction with CDH1 stabilizes the complex and stimulates cell-cell aggregation. Interaction with CDH2 is essential for trafficking of CDH2 from the endoplasmic reticulum to the plasma membrane. Interacts with CTNND2, CTNNB1, HERPUD1, FLNA, FLNB, MTCH1, PKP4 and PARL. Interacts through its N-terminus with isoform 3 of GFAP. Interacts with DOCK3. Subcellular Location: Endoplasmic reticulum membrane; Multi-pass membrane protein. Golgi apparatus membrane; Multi-pass membrane protein. Cell surface. Note=Bound to NOTCH1 also at the cell surface. Colocalizes with CDH1/2 at sites of cell-cell contact. Colocalizes with CTNNB1 in the endoplasmic reticulum and the proximity of the plasma membrane. Also present in azurophil granules of neutrophils. Tissue Specificity: Expressed in a wide range of tissues including various regions of the brain, liver, spleen and lymph nodes. Post-translational modifications: Heterogeneous proteolytic processing generates N-terminal (NTF) and C-terminal (CTF) fragments of approximately 35 and 20 kDa, respectively. During apoptosis, the C-terminal fragment (CTF) is further cleaved by caspase-3 to produce the fragment, PS1-CTF12. After endoproteolysis, the C-terminal fragment (CTF) is phosphorylated on serine residues by PKA and/or PKC. Phosphorylation on Ser-346 inhibits endoproteolysis. DISEASE: Defects in PSEN1 are a cause of Alzheimer disease type 3 (AD3) [MIM:607822]. AD3 is a familial early-onset form of Alzheimer disease. Alzheimer disease is a neurodegenerative disorder characterized by progressive dementia, loss of cognitive abilities, and deposition of fibrillar amyloid proteins as intraneuronal neurofibrillary tangles, extracellular amyloid plaques and vascular amyloid deposits. The major constituent of these plaques is the neurotoxic amyloid-beta-APP 40-42 peptide (s), derived proteolytically from the transmembrane precursor protein APP by sequential secretase processing. The cytotoxic C-terminal fragments (CTFs) and the caspase-cleaved products such as C31 derived from APP, are also implicated in neuronal death. Defects in PSEN1 are a cause of frontotemporal dementia (FTD) [MIM:600274]. [DISEASE] Defects in PSEN1 are the cause of cardiomyopathy dilated type 1U (CMD1U) [MIM:613694]. It is a disorder characterized by ventricular dilation and impaired systolic function, resulting in congestive heart failure and arrhythmia. Patients are at risk of premature death. Defects in PSEN1 are the cause of familial acne inversa type 3 (ACNINV3) [MIM:613737]. A chronic relapsing inflammatory disease of the hair follicles characterized by recurrent draining sinuses, painful skin abscesses, and disfiguring scars. Manifestations typically appear after puberty. Similarity: Belongs to the peptidase A22A family. Gene ID: 5663 Database links: Entrez Gene: 5663 Human Entrez Gene: 19164 Mouse Entrez Gene: 29192 Rat Omim: 104311 Human SwissProt: P49768 Human SwissProt: P49769 Mouse SwissProt: P97887 Rat Unigene: 3260 Human Unigene: 998 Mouse Unigene: 44440 Rat Important Note: This product as supplied is intended for research use only, not for use in human, therapeutic or diagnostic applications. |
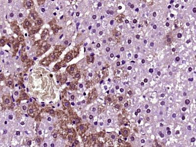
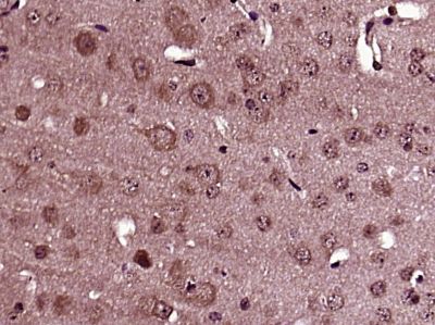
| 产品图片 | ![]() Sample: Cerebrum (Mouse) Lysate at 40 ug Primary: Anti-Presenilin 1 + 2 (bs-11681R) at 1/300 dilution Secondary: IRDye800CW Goat Anti-Rabbit IgG at 1/20000 dilution Predicted band size: 19/52 kD Observed band size: 50/52 kD ![]() Paraformaldehyde-fixed, paraffin embedded (Rat liver); Antigen retrieval by boiling in sodium citrate buffer (pH6.0) for 15min; Block endogenous peroxidase by 3% hydrogen peroxide for 20 minutes; Blocking buffer (normal goat serum) at 37°C for 30min; Antibody incubation with (Presenilin 1+2) Polyclonal Antibody, Unconjugated (bs-11681R) at 1:400 overnight at 4°C, followed by operating according to SP Kit(Rabbit) (sp-0023) instructionsand DAB staining. ![]() Paraformaldehyde-fixed, paraffin embedded (Mouse brain); Antigen retrieval by boiling in sodium citrate buffer (pH6.0) for 15min; Block endogenous peroxidase by 3% hydrogen peroxide for 20 minutes; Blocking buffer (normal goat serum) at 37°C for 30min; Antibody incubation with (Presenilin 1+2) Polyclonal Antibody, Unconjugated (bs-11681R) at 1:400 overnight at 4°C, followed by operating according to SP Kit(Rabbit) (sp-0023) instructionsand DAB staining. |
风险提示:丁香通仅作为第三方平台,为商家信息发布提供平台空间。用户咨询产品时请注意保护个人信息及财产安全,合理判断,谨慎选购商品,商家和用户对交易行为负责。对于医疗器械类产品,请先查证核实企业经营资质和医疗器械产品注册证情况。
技术资料暂无技术资料 索取技术资料
Presenilin 1 + 2 antibody
¥1380 - 2200













