相关产品推荐更多 >
万千商家帮你免费找货
0 人在求购买到急需产品
- 详细信息
- 文献和实验
- 技术资料
- 供应商:
上海康朗生物科技有限公司
- 库存:
大量
- 目录编号:
kl-1041R
- 克隆性:
多克隆
- 抗原来源:
Rabbit
- 保质期:
12个月
- 抗体英文名:
MEK1 + MEK2 antibody
- 抗体名:
丝裂原活化蛋白激酶激酶1抗体
- 宿主:
Rabbit
- 适应物种:
Human, Mouse, Rat, Chicken, Dog, Pig, Cow, Rabbit,
- 免疫原:
KLH conjugated synthetic peptide derived from human MAPKK1:301-393/393
- 亚型:
IgG
- 形态:
冻干粉或液体
- 应用范围:
WB=1:500-2000 ELISA=1:500-1000 IHC-P=1:400-800 IHC-F=1:400-800 IF=1:100-500
- 浓度:
1mg/ml
- 保存条件:
-20 °C
- 规格:
50ul 100ul 200ul
| 中文名称 | 丝裂原活化蛋白激酶激酶1抗体 |
| 别 名 | MEK-1/2; MEK1 + 2; MEK1 / 2; MEK-2; Dual specificity mitogen activated protein kinase kinase 1; ERK activator kinase 1; MAP kinase kinase 1; MAP kinase/Erk kinase 1; MAP/Erk kinase 1; Map2K1; MAPK/ERK kinase 1; MAPKK 1; MAPKK1; MEK 1; MEKK1; Mitogen activated protein kinase kinase 1; MKK 1; MKK1; PRKMK 1; PRKMK1; Protein kinase mitogen activated kinase 1 (MAP kinase kinase 1); Protein kinase mitogen activated kinase 1; Protein kinase mitogen activated, kinase 1; MP2K1_HUMAN. |
| 规格价格 | 50ul/780元 购买 100ul/1380元 购买 200ul/2200元 购买 大包装/询价 |
| 说 明 书 | 50ul 100ul 200ul |
| 研究领域 | 肿瘤 细胞生物 免疫学 神经生物学 信号转导 细胞凋亡 激酶和磷酸酶 |
| 抗体来源 | Rabbit |
| 克隆类型 | Polyclonal |
| 交叉反应 | Human, Mouse, Rat, Chicken, Dog, Pig, Cow, Rabbit, |
| 产品应用 | WB=1:500-2000 ELISA=1:500-1000 IHC-P=1:400-800 IHC-F=1:400-800 IF=1:100-500 (石蜡切片需做抗原修复) not yet tested in other applications. optimal dilutions/concentrations should be determined by the end user. |
| 分 子 量 | 43kDa |
| 细胞定位 | 细胞核 细胞浆 |
| 性 状 | Lyophilized or Liquid |
| 浓 度 | 1mg/ml |
| 免 疫 原 | KLH conjugated synthetic peptide derived from human MAPKK1:301-393/393 |
| 亚 型 | IgG |
| 纯化方法 | affinity purified by Protein A |
| 储 存 液 | 0.01M TBS(pH7.4) with 1% BSA, 0.03% Proclin300 and 50% Glycerol. |
| 保存条件 | Store at -20 °C for one year. Avoid repeated freeze/thaw cycles. The lyophilized antibody is stable at room temperature for at least one month and for greater than a year when kept at -20°C. When reconstituted in sterile pH 7.4 0.01M PBS or diluent of antibody the antibody is stable for at least two weeks at 2-4 °C. |
| PubMed | PubMed |
| 产品介绍 | background: The protein encoded by this gene is a member of the dual specificity protein kinase family, which acts as a mitogen-activated protein (MAP) kinase kinase. MAP kinases, also known as extracellular signal-regulated kinases (ERKs), act as an integration point for multiple biochemical signals. This protein kinase lies upstream of MAP kinases and stimulates the enzymatic activity of MAP kinases upon wide variety of extra- and intracellular signals. As an essential component of MAP kinase signal transduction pathway, this kinase is involved in many cellular processes such as proliferation, differentiation, transcription regulation and development. Function: Dual specificity protein kinase which acts as an essential component of the MAP kinase signal transduction pathway. Binding of extracellular ligands such as growth factors, cytokines and hormones to their cell-surface receptors activates RAS and this initiates RAF1 activation. RAF1 then further activates the dual-specificity protein kinases MAP2K1/MEK1 and MAP2K2/MEK2. Both MAP2K1/MEK1 and MAP2K2/MEK2 function specifically in the MAPK/ERK cascade, and catalyze the concomitant phosphorylation of a threonine and a tyrosine residue in a Thr-Glu-Tyr sequence located in the extracellular signal-regulated kinases MAPK3/ERK1 and MAPK1/ERK2, leading to their activation and further transduction of the signal within the MAPK/ERK cascade. Depending on the cellular context, this pathway mediates diverse biological functions such as cell growth, adhesion, survival and differentiation, predominantly through the regulation of transcription, metabolism and cytoskeletal rearrangements. One target of the MAPK/ERK cascade is peroxisome proliferator-activated receptor gamma (PPARG), a nuclear receptor that promotes differentiation and apoptosis. MAP2K1/MEK1 has been shown to export PPARG from the nucleus. The MAPK/ERK cascade is also involved in the regulation of endosomal dynamics, including lysosome processing and endosome cycling through the perinuclear recycling compartment (PNRC), as well as in the fragmentation of the Golgi apparatus during mitosis. Subunit: Found in a complex with at least BRAF, HRAS1, MAP2K1, MAPK3/ERK1 and RGS14. Forms an heterodimer with MAP2K2/MEK2. Forms heterodimers with KSR2 which further dimerize to form tetramers. Interacts with ARBB2, LAMTOR3, MAPK1/ERK2, MORG1 and RAF1. Interacts with PPARG and with isoform 1 of VRK2. Interacts with Yersinia yopJ. Interacts with SGK1. Interacts with BIRC6/bruce. Subcellular Location: Cytoplasm, cytoskeleton, centrosome. Cytoplasm, cytoskeleton, spindle pole body. Cytoplasm. Nucleus. Note=Localizes at centrosomes during prometaphase, midzone during anaphase and midbody during telophase/cytokinesis. Tissue Specificity: Widely expressed, with extremely low levels in brain. Post-translational modifications: Phosphorylation at Ser-218 and Ser-222 by MAP kinase kinase kinases (RAF or MEKK1) positively regulates kinase activity. Also phosphorylated at Thr-292 by MAPK1/ERK2 and at Ser-298 by PAK. MAPK1/ERK2 phosphorylation of Thr-292 occurs in response to cellular adhesion and leads to inhibition of Ser-298 phosphorylation by PAK. Similarity: Belongs to the protein kinase superfamily. STE Ser/Thr protein kinase family. MAP kinase kinase subfamily. Contains 1 protein kinase domain. SWISS: Q02750 Gene ID: 5604 Database links: Entrez Gene: 5604 Human Entrez Gene: 5605 Human Omim: 176872 Human Omim: 601263 Human SwissProt: P36507 Human SwissProt: Q02750 Human Important Note: This product as supplied is intended for research use only, not for use in human, therapeutic or diagnostic applications. 激酶和磷酸酶(Kinases and Phosphatases) 丝裂原活化蛋白激酶激酶(MAPKK1)又称(MEKK-1)是信号转导途径中的重要成员。 |
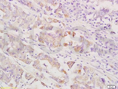
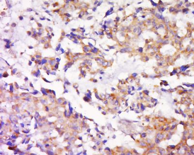
| 产品图片 | ![]() Paraformaldehyde-fixed, paraffin embedded (Rat brain); Antigen retrieval by boiling in sodium citrate buffer (pH6.0) for 15min; Block endogenous peroxidase by 3% hydrogen peroxide for 20 minutes; Blocking buffer (normal goat serum) at 37°C for 30min; Antibody incubation with (MEK1 + MEK2) Polyclonal Antibody, Unconjugated (bs-1041R) at 1:500 overnight at 4°C, followed by a conjugated secondary (sp-0023) for 20 minutes and DAB staining. ![]() Tissue/cell: human gastric carcinoma; 4% Paraformaldehyde-fixed and paraffin-embedded; Antigen retrieval: citrate buffer ( 0.01M, pH 6.0 ), Boiling bathing for 15min; Block endogenous peroxidase by 3% Hydrogen peroxide for 30min; Blocking buffer (normal goat serum,C-0005) at 37℃ for 20 min; Incubation: Anti-MEK1/2(MAPKK1) Polyclonal Antibody, Unconjugated(bs-1041R) 1:200, overnight at 4°C, followed by conjugation to the secondary antibody(SP-0023) and DAB(C-0010) staining ![]() Tissue/cell: human lung carcinoma; 4% Paraformaldehyde-fixed and paraffin-embedded; Antigen retrieval: citrate buffer ( 0.01M, pH 6.0 ), Boiling bathing for 15min; Block endogenous peroxidase by 3% Hydrogen peroxide for 30min; Blocking buffer (normal goat serum,C-0005) at 37℃ for 20 min; Incubation: Anti-Map2K1 Polyclonal Antibody, Unconjugated(bs-1041R) 1:500, overnight at 4°C, followed by conjugation to the secondary antibody(SP-0023) and DAB(C-0010) staining |
风险提示:丁香通仅作为第三方平台,为商家信息发布提供平台空间。用户咨询产品时请注意保护个人信息及财产安全,合理判断,谨慎选购商品,商家和用户对交易行为负责。对于医疗器械类产品,请先查证核实企业经营资质和医疗器械产品注册证情况。
文献和实验is a highly selective inhibitor of MEK1 and MEK2 with IC50 values of 4 ?M and 50 ?M respectively. PD98059 does not inhibit activation of other highly related dual-specificity protein kinases or the activity of over 18 other Ser/Thr protein kinases
Mutational and Functional Analysis in Human Ras/MAP Kinase Genetic Syndromes
) syndrome, is caused by germline mutations in BRAF , MAP2K1 (MEK1 ) and MAP2K2 (MEK2 ), and possibly KRAS genes. Here, we describe the laboratory protocols and methods that we used to identify mutations in BRAF and MEK1/2 genes as causative for CFC syndrome
蛋白Ras的GDP解离而结合GTP,从而激活Ras;激活的Ras进一步与丝/苏氨酸蛋白激酶Raf-1的氨基端结合,通过未知机制激活Raf-1;Raf-1可磷酸化MEK1/MEK2(MAP kinase/ERK kinase)上的二个调节性丝氨酸,从而激活MEKs;MEKs为双特异性激酶,可以使丝/苏氨酸和酪氨酸发生磷酸化,最终高度选择性地激活ERK1和ERK2(即p44MAPK和p42MAPK)。ERKs为脯氨酸导向的丝/苏氨酸激酶,可以磷酸化与脯氨酸相邻的丝/苏氨酸。在丝裂原刺激后,ERKs接受上游
技术资料暂无技术资料 索取技术资料













