相关产品推荐更多 >
万千商家帮你免费找货
0 人在求购买到急需产品
- 详细信息
- 文献和实验
- 技术资料
- 供应商:
上海康朗生物科技有限公司
- 库存:
大量
- 目录编号:
kl-1037R
- 克隆性:
多克隆
- 抗原来源:
Rabbit
- 保质期:
12个月
- 抗体英文名:
DCP antibody
- 抗体名:
异常凝血酶原/脱-γ-羧基凝血酶原抗体
- 宿主:
Rabbit
- 适应物种:
Human, Mouse, Rat,
- 免疫原:
KLH conjugated synthetic peptide derived from human DCP:
- 亚型:
IgG
- 形态:
冻干粉或液体
- 应用范围:
ELISA=1:500-1000 IHC-P=1:400-800 IHC-F=1:400-800 Flow-Cyt=1ug/test IF=1:100-500
- 浓度:
1mg/ml
- 保存条件:
-20 °C
- 规格:
50ul 100ul 200ul
| 中文名称 | 异常凝血酶原/脱-γ-羧基凝血酶原抗体 |
| 别 名 | Des-gamma-carboxy (abnormal)prothrombin; Des-Gamma-carboxy-prothrombin. |
| 规格价格 | 50ul/780元 购买 100ul/1380元 购买 200ul/2200元 购买 大包装/询价 |
| 说 明 书 | 50ul 100ul 200ul |
| 研究领域 | 肿瘤 |
| 抗体来源 | Rabbit |
| 克隆类型 | Polyclonal |
| 交叉反应 | Human, Mouse, Rat, |
| 产品应用 | ELISA=1:500-1000 IHC-P=1:400-800 IHC-F=1:400-800 Flow-Cyt=1ug/test IF=1:100-500 (石蜡切片需做抗原修复) not yet tested in other applications. optimal dilutions/concentrations should be determined by the end user. |
| 分 子 量 | 70kDa |
| 细胞定位 | 细胞浆 |
| 性 状 | Lyophilized or Liquid |
| 浓 度 | 1mg/ml |
| 免 疫 原 | KLH conjugated synthetic peptide derived from human DCP: |
| 亚 型 | IgG |
| 纯化方法 | affinity purified by Protein A |
| 储 存 液 | 0.01M TBS(pH7.4) with 1% BSA, 0.03% Proclin300 and 50% Glycerol. |
| 保存条件 | Store at -20 °C for one year. Avoid repeated freeze/thaw cycles. The lyophilized antibody is stable at room temperature for at least one month and for greater than a year when kept at -20°C. When reconstituted in sterile pH 7.4 0.01M PBS or diluent of antibody the antibody is stable for at least two weeks at 2-4 °C. |
| PubMed | PubMed |
| 产品介绍 | background: Des-gamma carboxyprothrombin (DCP), also known as protein induced by vitamin K absence/antagonist-II (PIVKA-II), is an abnormal form of the coagulation protein, prothrombin. Normally, the prothrombin precursor undergoes post-translational carboxylation (addition of a carboxylic acid group) by gamma-glutamyl carboxylase in the liver prior to secretion into plasma. DCP/PIVKA-II may be detected in people with deficiency of vitamin K (due to poor nutrition or malabsorption) and in those taking warfarin or other medication that inhibits the action of vitamin K. Function: Thrombin, which cleaves bonds after Arg and Lys, converts fibrinogen to fibrin and activates factors V, VII, VIII, XIII, and, in complex with thrombomodulin, protein C. Functions in blood homeostasis, inflammation and wound healing. Subunit: Heterodimer (named alpha-thrombin) of a light and a heavy chain; disulfide-linked. Forms a heterodimer with SERPINA5. Subcellular Location: Secreted, extracellular space. Tissue Specificity: Expressed by the liver and secreted in plasma. Post-translational modifications: The gamma-carboxyglutamyl residues, which bind calcium ions, result from the carboxylation of glutamyl residues by a microsomal enzyme, the vitamin K-dependent carboxylase. The modified residues are necessary for the calcium-dependent interaction with a negatively charged phospholipid surface, which is essential for the conversion of prothrombin to thrombin. N-glycosylated. N-glycan heterogeneity at Asn-121: Hex3HexNAc3 (minor), Hex4HexNAc3 (minor) and Hex5HexNAc4 (major). At Asn-143: Hex4HexNAc3 (minor) and Hex5HexNAc4 (major). Factor II deficiency (FA2D) [MIM:613679]: A very rare blood coagulation disorder characterized by mucocutaneous bleeding symptoms. The severity of the bleeding manifestations correlates with blood factor II levels. Note=The disease is caused by mutations affecting the gene represented in this entry. Ischemic stroke (ISCHSTR) [MIM:601367]: A stroke is an acute neurologic event leading to death of neural tissue of the brain and resulting in loss of motor, sensory and/or cognitive function. Ischemic strokes, resulting from vascular occlusion, is considered to be a highly complex disease consisting of a group of heterogeneous disorders with multiple genetic and environmental risk factors. Note=Disease susceptibility is associated with variations affecting the gene represented in this Thrombophilia due to thrombin defect (THPH1) [MIM:188050]: A multifactorial disorder of hemostasis characterized by abnormal platelet aggregation in response to various agents and recurrent thrombi formation. Note=The disease is caused by mutations affecting the gene represented in this entry. A common genetic variation in the 3-prime untranslated region of the prothrombin gene is associated with elevated plasma prothrombin levels and an increased risk of venous thrombosis. Pregnancy loss, recurrent, 2 (RPRGL2) [MIM:614390]: A common complication of pregnancy, resulting in spontaneous abortion before the fetus has reached viability. The term includes all miscarriages from the time of conception until 24 weeks of gestation. Recurrent pregnancy loss is defined as 3 or more consecutive spontaneous abortions. Note=Disease susceptibility is associated with variations affecting the gene represented in this entry. Similarity: Belongs to the peptidase S1 family. Contains 1 Gla (gamma-carboxy-glutamate) domain. Contains 2 kringle domains. Contains 1 peptidase S1 domain. SWISS: P00734 Gene ID: 2147 Important Note: This product as supplied is intended for research use only, not for use in human, therapeutic or diagnostic applications. 正常肝细胞中,在内质网内可将DCP羧化使之成为有活性的凝血酶原,一旦机体需要,凝血酶原即可转变成凝血酶参与机体的各项生理功能,当有肿瘤细胞发生时,DCP明显升高。DCP主要用于肝癌方面的研究;有学者认为:联合应用DCP和AFP对于早期诊断HCC(原发性肝细胞癌)有较大的帮助。 |
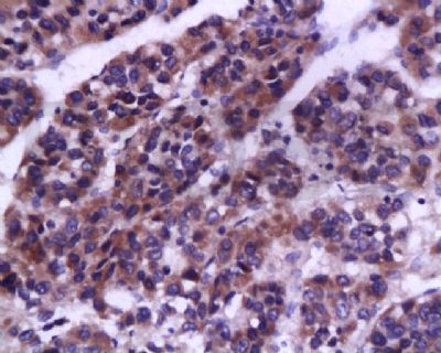
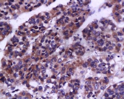
| 产品图片 | ![]() Tissue/cell: rat brain tissue; 4% Paraformaldehyde-fixed and paraffin-embedded; Antigen retrieval: citrate buffer ( 0.01M, pH 6.0 ), Boiling bathing for 15min; Block endogenous peroxidase by 3% Hydrogen peroxide for 30min; Blocking buffer (normal goat serum,C-0005) at 37℃ for 20 min; Incubation: Anti-DCP Polyclonal Antibody, Unconjugated(bs-1037R) 1:200, overnight at 4°C, followed by conjugation to the secondary antibody(SP-0023) and DAB(C-0010) staining ![]() Blank control: Raji. Primary Antibody (green line): Rabbit Anti-DCP antibody (bs-1037R) Dilution: 1μg /10^6 cells; Isotype Control Antibody (orange line): Rabbit IgG . Secondary Antibody : Goat anti-rabbit IgG-PE Dilution: 1μg /test. Protocol The cells were fixed with 4% PFA (10min at room temperature)and then permeabilized with PBST for 20 min at room temperature. The cells were then incubated in 5%BSA to block non-specific protein-protein interactions for 30 min at at room temperature .Cells stained with Primary Antibody for 30 min at room temperature. The secondary antibody used for 40 min at room temperature. Acquisition of 20,000 events was performed. |
风险提示:丁香通仅作为第三方平台,为商家信息发布提供平台空间。用户咨询产品时请注意保护个人信息及财产安全,合理判断,谨慎选购商品,商家和用户对交易行为负责。对于医疗器械类产品,请先查证核实企业经营资质和医疗器械产品注册证情况。
文献和实验Generation of Antibody Molecules Through Antibody Engineering
been overcome to a large extent using genetic-engineering techniques to produce chimeric mouse/human and completely human antibodies. Such an approach is particularly suitable because of the domain structure of the antibody molecule ( 2 ), where functional
The importance of antibody molecules was first recognized in the 1890s, when it was shown that immunity to tetanus and diphtheria was caused by antibodies against the bacterial exotoxins (1 ). Around the same time, it was shown that antisera
General comments: Antibodies, like most proteins, do not like to be freeze-thawed. Avoid repetitive freezing of your solution. The best way to store your antibody is to keep a high protein concentration (>1 mg/ml), add some protease
技术资料暂无技术资料 索取技术资料











