相关产品推荐更多 >
万千商家帮你免费找货
0 人在求购买到急需产品
- 详细信息
- 技术资料
- 供应商:
上海康朗生物科技有限公司
- 库存:
大量
- 目录编号:
kl-10281R
- 克隆性:
多克隆
- 抗原来源:
Rabbit
- 保质期:
12个月
- 抗体英文名:
NF-L antibody
- 抗体名:
低分子量神经丝蛋白抗体
- 宿主:
Rabbit
- 适应物种:
Human, Mouse, Rat, Pig, Cow, Horse, Sheep,
- 免疫原:
KLH conjugated synthetic peptide derived from human NF-L:31-130/543
- 亚型:
IgG
- 形态:
冻干粉或液体
- 应用范围:
ELISA=1:500-1000 IHC-P=1:400-800 IHC-F=1:400-800 ICC=1:100-500 IF=1:100-500
- 浓度:
1mg/ml
- 保存条件:
-20 °C
- 规格:
50ul 100ul 200ul
NF-L antibody
| 中文名称 | 低分子量神经丝蛋白抗体 |
| 别 名 | Neurofilament L; Neurofilament 68; Neurofilament triplet L; 70 kD Neurofilament Light; 68kDa neurofilament protein; CMT 1F; CMT 2E; CMT1F; CMT2E; FLJ53642; Light molecular weight neurofilament protein; NEFL; Neurofilament light; Neurofilament light polypeptide 68kDa; Neurofilament light polypeptide; Neurofilament protein, light chain; Neurofilament subunit NF L; Neurofilament triplet L protein; NF 68; NF L; NF68; NFL; NFL_HUMAN. |
| 规格价格 | 50ul/780元 购买 100ul/1380元 购买 200ul/2200元 购买 大包装/询价 |
| 说 明 书 | 50ul 100ul 200ul |
| 研究领域 | 细胞生物 神经生物学 信号转导 |
| 抗体来源 | Rabbit |
| 克隆类型 | Polyclonal |
| 交叉反应 | Human, Mouse, Rat, Pig, Cow, Horse, Sheep, |
| 产品应用 | ELISA=1:500-1000 IHC-P=1:400-800 IHC-F=1:400-800 ICC=1:100-500 IF=1:100-500 (石蜡切片需做抗原修复) not yet tested in other applications. optimal dilutions/concentrations should be determined by the end user. |
| 分 子 量 | 68kDa |
| 性 状 | Lyophilized or Liquid |
| 浓 度 | 1mg/ml |
| 免 疫 原 | KLH conjugated synthetic peptide derived from human NF-L:31-130/543 |
| 亚 型 | IgG |
| 纯化方法 | affinity purified by Protein A |
| 储 存 液 | 0.01M TBS(pH7.4) with 1% BSA, 0.03% Proclin300 and 50% Glycerol. |
| 保存条件 | Store at -20 °C for one year. Avoid repeated freeze/thaw cycles. The lyophilized antibody is stable at room temperature for at least one month and for greater than a year when kept at -20°C. When reconstituted in sterile pH 7.4 0.01M PBS or diluent of antibody the antibody is stable for at least two weeks at 2-4 °C. |
| PubMed | PubMed |
| 产品介绍 | background: Neurofilament light polypeptide also called NF-L; Neurofilament triplet L protein; 68 kDa neurofilament protein. Neurofilaments usually contain three intermediate filament proteins: L, M, and H which are involved in the maintenance of neuronal caliber. The extra mass and high charge density that distinguish the neurofilament proteins from all other intermediate filament proteins are due to the tailpiece extensions. This region may form a charged scaffolding structure suitable for interaction with other neuronal components or ions. NF-L is the most abundant of the three neurofilament proteins and, as the other nonepithelial intermediate filament proteins, it can form homopolymeric 10-nm filaments. Belongs to the intermediate filament family. Function: Neurofilaments usually contain three intermediate filament proteins: L, M, and H which are involved in the maintenance of neuronal caliber. Subunit: Interacts with ARHGEF28. Interacts with TRIM2. Post-translational modifications: O-glycosylated. Phosphorylated in the head and rod regions by the PKC kinase PKN1, leading to the inhibition of polymerization. Ubiquitinated in the presence of TRIM2 and UBE2D1. DISEASE: Defects in NEFL are the cause of Charcot-Marie-Tooth disease type 1F (CMT1F) [MIM:607734]. CMT1F is a form of Charcot-Marie-Tooth disease, the most common inherited disorder of the peripheral nervous system. Charcot-Marie-Tooth disease is classified in two main groups on the basis of electrophysiologic properties and histopathology: primary peripheral demyelinating neuropathy or CMT1, and primary peripheral axonal neuropathy or CMT2. Neuropathies of the CMT1 group are characterized by severely reduced nerve conduction velocities (less than 38 m/sec), segmental demyelination and remyelination with onion bulb formations on nerve biopsy, slowly progressive distal muscle atrophy and weakness, absent deep tendon reflexes, and hollow feet. CMT1F is characterized by onset in infancy or childhood (range 1 to 13 years). Defects in NEFL are the cause of Charcot-Marie-Tooth disease type 2E (CMT2E) [MIM:607684]. CMT2E is an autosomal dominant form of Charcot-Marie-Tooth disease type 2. Neuropathies of the CMT2 group are characterized by signs of axonal regeneration in the absence of obvious myelin alterations, normal or slightly reduced nerve conduction velocities, and progressive distal muscle weakness and atrophy. Similarity: Belongs to the intermediate filament family. SWISS: P07196 Gene ID: 4747 Database links: Entrez Gene: 4747 Human Entrez Gene: 18039 Mouse Entrez Gene: 83613 Rat Omim: 162280 Human SwissProt: P07196 Human SwissProt: P08551 Mouse SwissProt: P19527 Rat Unigene: 521461 Human Unigene: 1956 Mouse Unigene: 18568 Rat Important Note: This product as supplied is intended for research use only, not for use in human, therapeutic or diagnostic applications. |
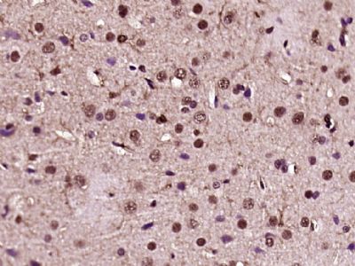
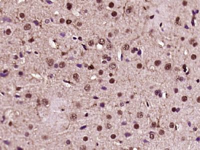
| 产品图片 | ![]() Paraformaldehyde-fixed, paraffin embedded (Mouse brain); Antigen retrieval by boiling in sodium citrate buffer (pH6.0) for 15min; Block endogenous peroxidase by 3% hydrogen peroxide for 20 minutes; Blocking buffer (normal goat serum) at 37°C for 30min; Antibody incubation with (NF-L) Polyclonal Antibody, Unconjugated (bs-10281R) at 1:500 overnight at 4°C, followed by a conjugated secondary (sp-0023) for 20 minutes and DAB staining. ![]() Paraformaldehyde-fixed, paraffin embedded (Rat brain); Antigen retrieval by boiling in sodium citrate buffer (pH6.0) for 15min; Block endogenous peroxidase by 3% hydrogen peroxide for 20 minutes; Blocking buffer (normal goat serum) at 37°C for 30min; Antibody incubation with (NF-L) Polyclonal Antibody, Unconjugated (bs-10281R) at 1:500 overnight at 4°C, followed by a conjugated secondary (sp-0023) for 20 minutes and DAB staining. |
风险提示:丁香通仅作为第三方平台,为商家信息发布提供平台空间。用户咨询产品时请注意保护个人信息及财产安全,合理判断,谨慎选购商品,商家和用户对交易行为负责。对于医疗器械类产品,请先查证核实企业经营资质和医疗器械产品注册证情况。
技术资料暂无技术资料 索取技术资料
NF-L antibody
¥780 - 2200











