相关产品推荐更多 >
万千商家帮你免费找货
0 人在求购买到急需产品
- 详细信息
- 技术资料
- 供应商:
上海康朗生物科技有限公司
- 库存:
大量
- 目录编号:
kl-10166R
- 克隆性:
多克隆
- 抗原来源:
Rabbit
- 保质期:
12个月
- 抗体英文名:
KDM1/LSD1 antibody
- 抗体名:
组蛋白赖氨酸特异性脱甲基酶1抗体
- 宿主:
Rabbit
- 适应物种:
Human, Mouse, Rat, Chicken, Dog, Pig, Cow, Rabbit,
- 免疫原:
KLH conjugated synthetic peptide derived from human KDM1:301-400/852
- 亚型:
IgG
- 形态:
冻干粉或液体
- 应用范围:
WB=1:500-2000 ELISA=1:500-1000 IHC-P=1:400-800 IHC-F=1:400-800 ICC=1:100-500 IF=1:100-500
- 浓度:
1mg/ml
- 保存条件:
-20 °C
- 规格:
50ul 100ul 200ul
KDM1/LSD1 antibody
| 中文名称 | 组蛋白赖氨酸特异性脱甲基酶1抗体 |
| 别 名 | Amine oxidase (flavin containing) domain 2; Amine oxidase flavin containing domain 2; Amine oxidase flavin containing domain protein 2; AOF 2; AOF2; BHC110; BRAF35 HDAC complex protein BHC110; BRAF35-HDAC complex protein BHC110; FAD binding protein BRAF35 HDAC complex, 110 kDa subunit; Flavin containing amine oxidase domain containing protein 2; Flavin-containing amine oxidase domain-containing protein 2; KDM 1; Kdm1a; KDM1A_HUMAN; KIAA0601; LSD 1; LSD1; Lysine (K) specific demethylase 1; Lysine (K) specific demethylase 1A; Lysine specific histone demethylase 1; Lysine specific histone demethylase 1A; Lysine-specific histone demethylase 1; Lysine-specific histone demethylase 1A. |
| 规格价格 | 50ul/780元 购买 100ul/1380元 购买 200ul/2200元 购买 大包装/询价 |
| 说 明 书 | 50ul 100ul 200ul |
| 研究领域 | 肿瘤 免疫学 染色质和核信号 转录调节因子 激酶和磷酸酶 |
| 抗体来源 | Rabbit |
| 克隆类型 | Polyclonal |
| 交叉反应 | Human, Mouse, Rat, Chicken, Dog, Pig, Cow, Rabbit, |
| 产品应用 | WB=1:500-2000 ELISA=1:500-1000 IHC-P=1:400-800 IHC-F=1:400-800 ICC=1:100-500 IF=1:100-500 (石蜡切片需做抗原修复) not yet tested in other applications. optimal dilutions/concentrations should be determined by the end user. |
| 分 子 量 | 94kDa |
| 细胞定位 | 细胞核 |
| 性 状 | Lyophilized or Liquid |
| 浓 度 | 1mg/ml |
| 免 疫 原 | KLH conjugated synthetic peptide derived from human KDM1:301-400/852 |
| 亚 型 | IgG |
| 纯化方法 | affinity purified by Protein A |
| 储 存 液 | 0.01M TBS(pH7.4) with 1% BSA, 0.03% Proclin300 and 50% Glycerol. |
| 保存条件 | Store at -20 °C for one year. Avoid repeated freeze/thaw cycles. The lyophilized antibody is stable at room temperature for at least one month and for greater than a year when kept at -20°C. When reconstituted in sterile pH 7.4 0.01M PBS or diluent of antibody the antibody is stable for at least two weeks at 2-4 °C. |
| PubMed | PubMed |
| 产品介绍 | background: Gene activation and repression is specifically regulated by histone methylation status at distinct lysine residues. Lysine specific demethylase 1 (KDM1/LSD1) is a long-sought histone demethylase that specifically demethylates mono and di methyl histone H3 at K4 and K9. Thus KDM1 is a specific tag for epigenetic transcriptional activation, thereby acting as a corepressor. Function: Histone demethylase that demethylates both 'Lys-4' (H3K4me) and 'Lys-9' (H3K9me) of histone H3, thereby acting as a coactivator or a corepressor, depending on the context. Acts by oxidizing the substrate by FAD to generate the corresponding imine that is subsequently hydrolyzed. Acts as a corepressor by mediating demethylation of H3K4me, a specific tag for epigenetic transcriptional activation. Demethylates both mono- (H3K4me1) and di-methylated (H3K4me2) H3K4me. May play a role in the repression of neuronal genes. Alone, it is unable to demethylate H3K4me on nucleosomes and requires the presence of RCOR1/CoREST to achieve such activity. Also acts as a coactivator of androgen receptor (ANDR)-dependent transcription, by being recruited to ANDR target genes and mediating demethylation of H3K9me, a specific tag for epigenetic transcriptional repression. The presence of PRKCB in ANDR-containing complexes, which mediates phosphorylation of 'Thr-6' of histone H3 (H3T6ph), a specific tag that prevents demethylation H3K4me, prevents H3K4me demethylase activity of KDM1A. Demethylates di-methylated 'Lys-370' of p53/TP53 which prevents interaction of p53/TP53 with TP53BP1 and represses p53/TP53-mediated transcriptional activation. Demethylates and stabilizes the DNA methylase DNMT1. Required for gastrulation during embryogenesis. Component of a RCOR/GFI/KDM1A/HDAC complex that suppresses, via histone deacetylase (HDAC) recruitment, a number of genes implicated in multilineage blood cell development. Subunit: Component of a RCOR/GFI/KDM1A/HDAC complex. Interacts directly with GFI1 and GFI1B (By similarity). Component of a BHC histone deacetylase complex that contains HDAC1, HDAC2, HMG20B, KDM1A, RCOR1 and PHF21A. The BHC complex may also contain ZMYM2, ZNF217, ZMYM3, GSE1 and GTF2I. In the complex, RCOR1/CoREST strongly enhances the demethylase activity and protects it from the proteasome while PHF21A/BHC80 inhibits the demethylase activity. Interacts with the androgen receptor (AR). Interacts with ASXL1. Subcellular Location: Nucleus. Tissue Specificity: Ubiquitously expressed. Similarity: Belongs to the flavin monoamine oxidase family. Contains 1 SWIRM domain. SWISS: O60341 Gene ID: 23028 Database links: Entrez Gene: 23028 Human Entrez Gene: 99982 Mouse Entrez Gene: 500569 Rat Omim: 609132 Human SwissProt: O60341 Human SwissProt: Q6ZQ88 Mouse Unigene: 591518 Human Unigene: 28540 Mouse Unigene: 203461 Rat Important Note: This product as supplied is intended for research use only, not for use in human, therapeutic or diagnostic applications. |
| 产品图片 |
Sample: placenta (Mouse) Lysate at 40 ug
Primary: Anti-KDM1(bs-10166R) at 1/300 dilution Secondary: IRDye800CW Goat Anti-Rabbit IgG at 1/20000 dilution Predicted band size: 94 kD Observed band size: 94 kD
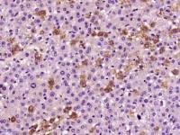
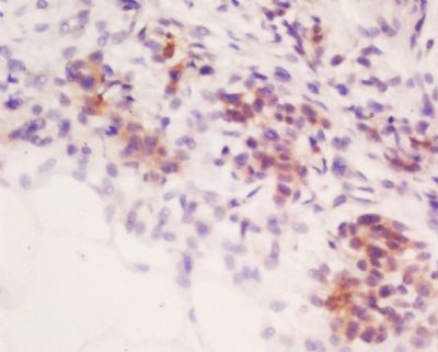
Tissue/cell: mouse embryo tissue; 4% Paraformaldehyde-fixed and paraffin-embedded;
Antigen retrieval: citrate buffer ( 0.01M, pH 6.0 ), Boiling bathing for 15min; Block endogenous peroxidase by 3% Hydrogen peroxide for 30min; Blocking buffer (normal goat serum,C-0005) at 37℃ for 20 min; Incubation: Anti-KDM1 Polyclonal Antibody, Unconjugated(bs-10166R) 1:200, overnight at 4°C, followed by conjugation to the secondary antibody(SP-0023) and DAB(C-0010) staining |
风险提示:丁香通仅作为第三方平台,为商家信息发布提供平台空间。用户咨询产品时请注意保护个人信息及财产安全,合理判断,谨慎选购商品,商家和用户对交易行为负责。对于医疗器械类产品,请先查证核实企业经营资质和医疗器械产品注册证情况。
技术资料暂无技术资料 索取技术资料
KDM1/LSD1 antibody
¥780 - 2200











