相关产品推荐更多 >
万千商家帮你免费找货
0 人在求购买到急需产品
- 详细信息
- 文献和实验
- 技术资料
- 供应商:
上海康朗生物科技有限公司
- 库存:
大量
- 目录编号:
kl-0670R
- 克隆性:
多克隆
- 抗原来源:
Rabbit
- 保质期:
12个月
- 抗体英文名:
C-jun antibody
- 抗体名:
原癌基因蛋白/活化蛋白1抗体
- 宿主:
Rabbit
- 适应物种:
Human, Mouse, Rat, Chicken, Dog, Pig, Cow, Sheep,
- 免疫原:
KLH conjugated synthetic peptide derived from human Transcription factor AP-1:31-331/331
- 亚型:
IgG
- 形态:
冻干粉或液体
- 应用范围:
WB=1:500-2000 ELISA=1:500-1000 IHC-P=1:400-800 IHC-F=1:400-800 Flow-Cyt=1μg/Test IF=1:100-500
- 浓度:
1mg/ml
- 保存条件:
-20 °C
- 规格:
50ul 100ul 200ul
| 中文名称 | 原癌基因蛋白/活化蛋白1抗体 |
| 别 名 | Transcription factor AP-1; Jun oncogene; JUN; AP 1; AP1; AP-1; Enhancer Binding Protein AP1; Jun Activation Domain Binding Protein; JUN protein; JUNC; p39; Proto oncogene cJun; Transcription Factor AP1; V jun avian sarcoma virus 17 oncogene homolog; vJun Avian Sarcoma Virus 17 Oncogene Homolog; JUN_HUMAN; Activator 1; Proto-oncogene c-Jun; V-jun avian sarcoma virus 17 oncogene homolog. |
![]() |
Specific References (5) | bs-0670R has been referenced in 5 publications. [IF=2.08] Zhang, Jihong, et al. "Interleukin 18 augments growth ability via NF-κB and p38/ATF2 pathways by targeting cylin B1, cyclin B2, cylin A2, and Bcl-2 in BRL-3A rat liver cells." Gene (2015). WB ; Rat. PubMed:25752290 [IF=5.58] Zhou, Zhiwei, et al. "microRNA let-7c is essential for the anisomycin-elicited apoptosis in Jurkat T cells by linking JNK1/2 to AP-1/STAT1/STAT3 signaling." Scientific Reports 6 (2016): 24434. WB ; Human. PubMed:27087117 [IF=2.30] Zhang, Ying, et al. "Overexpression of WNT5B promotes COLO 205 cell migration and invasion through the JNK signaling pathway." Oncology Reports. WB ; Human. PubMed:27121420 [IF=1.27] Liu, Lina, et al. "Therapeutic effects of 1, 25-dihydroxyvitamin D3 on diabetes-induced liver complications in a rat model." Experimental and Therapeutic Medicine 11.6 (2016): 2284-2292. IHC-P ; Rat. PubMed: 27284312 [IF=1.56] Du, Jinghua, et al. "TLR4‑dependent signaling pathway modulation: A novel mechanism by which pioglitazone protects against nutritional fibrotic steatohepatitis in mice." Molecular medicine reports 13.3 (2016): 2159-2166. WB ; Mouse. PubMed:26781175 |
| 规格价格 | 50ul/780元 购买 100ul/1380元 购买 200ul/2200元 购买 大包装/询价 |
| 说 明 书 | 50ul 100ul 200ul |
| 研究领域 | 肿瘤 细胞生物 信号转导 转录调节因子 激酶和磷酸酶 |
| 抗体来源 | Rabbit |
| 克隆类型 | Polyclonal |
| 交叉反应 | Human, Mouse, Rat, Chicken, Dog, Pig, Cow, Sheep, |
| 产品应用 | WB=1:500-2000 ELISA=1:500-1000 IHC-P=1:400-800 IHC-F=1:400-800 Flow-Cyt=1μg/Test IF=1:100-500 (石蜡切片需做抗原修复) not yet tested in other applications. optimal dilutions/concentrations should be determined by the end user. |
| 分 子 量 | 43kDa |
| 细胞定位 | 细胞核 细胞浆 |
| 性 状 | Lyophilized or Liquid |
| 浓 度 | 1mg/ml |
| 免 疫 原 | KLH conjugated synthetic peptide derived from human Transcription factor AP-1:31-331/331 |
| 亚 型 | IgG |
| 纯化方法 | affinity purified by Protein A |
| 储 存 液 | 0.01M TBS(pH7.4) with 1% BSA, 0.03% Proclin300 and 50% Glycerol. |
| 保存条件 | Store at -20 °C for one year. Avoid repeated freeze/thaw cycles. The lyophilized antibody is stable at room temperature for at least one month and for greater than a year when kept at -20°C. When reconstituted in sterile pH 7.4 0.01M PBS or diluent of antibody the antibody is stable for at least two weeks at 2-4 °C. |
| PubMed | PubMed |
| 产品介绍 | background: The human protooncogene JUN is the putative transforming gene of avian sarcoma virus 17, and it encodes a protein which is highly homologous to the viral protein. cJun (previously known as the Fos binding protein p39) and c Fos form a complex in the nucleus. AP 1 (activating protein 1) is a collective term referring to these dimeric transcription factors composed of Jun, Fos or ATF subunits that bind to a common DNA site, the AP1 binding site. AP 1 proteins, mostly the Jun group, regulate the expression and function of cell cycle regulators such as Cyclin D1, p53, p21 (cip1/waf1), p19 (ARF) and p16. Fos and Jun proto oncogene expression is induced transiently by a variety of extracellular stimuli associated with mitogenesis, differentiation processes or depolarization of neurons. JUN has been mapped to 1p32 to p31, a chromosomal region involved in both translocations and deletions in human malignancies. Function: Transcription factor that recognizes and binds to the enhancer heptamer motif 5'-TGA[CG]TCA-3'. Promotes activity of NR5A1 when phosphorylated by HIPK3 leading to increased steroidogenic gene expression upon cAMP signaling pathway stimulation. Subunit: Heterodimer with either FOS or BATF3 or ATF7. The ATF7/JUN heterodimer is essential for ATF7 transactivation activity. Interacts with DSIPI; the interaction inhibits the binding of active AP1 to its target DNA. Interacts with HIVEP3 and MYBBP1A. Interacts with SP1, SPIB and TCF20. Interacts with COPS5; the interaction leads indirectly to its phosphorylation. Component of the SMAD3/SMAD4/JUN/FOS/complex which forms at the AP1 promoter site. The SMAD3/SMAD4 heterodimer acts syngernistically with the JUN/FOS heterodimer to activate transcription in response to TGF-beta. Interacts (via its basic DNA binding and leucine zipper domains) with SMAD3 (via an N-terminal domain); the interaction is required for TGF-beta-mediated transactivation of the SMAD3/SMAD4/JUN/FOS/complex. Interacts with RNF187. Binds to HIPK3. Subcellular Location: Nucleus. Post-translational modifications: Phosphorylated by CaMK4 and PRKDC; phosphorylation enhances the transcriptional activity. Phosphorylated by HIPK3. [PTM] Phosphorylated at Thr-239, Ser-243 and Ser-249 by GSK3B; phosphorylation reduces its ability to bind DNA. Phosphorylated by PAK2 at Thr-2, Thr-8, Thr-89, Thr-93 and Thr-286 thereby promoting JUN-mediated cell proliferation andtransformation. Similarity: Belongs to the bZIP family. Jun subfamily. Contains 1 bZIP domain. SWISS: P05412 Gene ID: 3725 Database links: Entrez Gene: 3725 Human Entrez Gene: 16476 Mouse Entrez Gene: 24516 Rat Omim: 165160 Human SwissProt: P05412 Human SwissProt: P05627 Mouse SwissProt: P17325 Rat Unigene: 525704 Human Unigene: 696684 Human Unigene: 275071 Mouse Unigene: 93714 Rat Important Note: This product as supplied is intended for research use only, not for use in human, therapeutic or diagnostic applications. 转录调节因子(Transcriptin Regulators) C-jun(Oncoprotein C-jun:active protein 1)基因与鸟类肉瘤病毒17的转化基因具有同源性,是早期应答基因家族成员之一。主要用于各种恶性肿瘤的研究。C-jun又称应激活化蛋白激酶. |
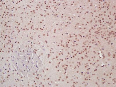
| 产品图片 | ![]() Sample: Liver(Rat)lysate at 30ug; Brain(Rat) lysates at 30ug; Primary: Anti-C-jun/AP-1 (bs-0670R) at 1:200; Secondary: HRP conjugated Goat-Anti-Rabbit IgG(bs-0295G-HRP) at 1: 3000; Predicted band size : 36kD Observed band size : 36kD ![]() Sample: Lung(Mouse) Lysate at 30ug; Primary: Anti-C-jun (bs-0670R) at 1:300 dilution; Secondary: HRP conjugated Goat-Anti-rabbit IgG(bs-0295G-HRP) at 1:5000; Predicted band size:36 kD Observed band size:40 kD ![]() Paraformaldehyde-fixed, paraffin embedded (Mouse brain); Antigen retrieval by boiling in sodium citrate buffer (pH6.0) for 15min; Block endogenous peroxidase by 3% hydrogen peroxide for 20 minutes; Blocking buffer (normal goat serum) at 37°C for 30min; Antibody incubation with (C-jun) Polyclonal Antibody, Unconjugated (bs-0670R) at 1:400 overnight at 4°C, followed by a conjugated secondary antibody (sp-0023) for 20 minutes and DAB staining. ![]() Paraformaldehyde-fixed, paraffin embedded (Rat testis); Antigen retrieval by boiling in sodium citrate buffer (pH6.0) for 15min; Block endogenous peroxidase by 3% hydrogen peroxide for 20 minutes; Blocking buffer (normal goat serum) at 37°C for 30min; Antibody incubation with (C-jun) Polyclonal Antibody, Unconjugated (bs-0670R) at 1:400 overnight at 4°C, followed by a conjugated secondary (sp-0023) for 20 minutes and DAB staining. ![]() Paraformaldehyde-fixed, paraffin embedded (Mouse brain); Antigen retrieval by boiling in sodium citrate buffer (pH6.0) for 15min; Block endogenous peroxidase by 3% hydrogen peroxide for 20 minutes; Blocking buffer (normal goat serum) at 37°C for 30min; Antibody incubation with (C-jun) Polyclonal Antibody, Unconjugated (bs-0670R) at 1:500 overnight at 4°C, followed by a conjugated secondary (sp-0023) for 20 minutes and DAB staining. |
风险提示:丁香通仅作为第三方平台,为商家信息发布提供平台空间。用户咨询产品时请注意保护个人信息及财产安全,合理判断,谨慎选购商品,商家和用户对交易行为负责。对于医疗器械类产品,请先查证核实企业经营资质和医疗器械产品注册证情况。
文献和实验48126 http://www.univ-bio.com/Products.asp 我在优宁维的网站上查到很多关于C-JUN的抗体,磷酸化又分很多种,不知道如何选择,有知道的战友指点一下,谢谢! 我要准备做WB,IHC. biolinkphilic 我觉得如果真想在这家公司购买,咨询该公司就可以了。 其实专业的抗体网站看看就知道应该要了解那些信息。如Abcam、santa
Generation of Antibody Molecules Through Antibody Engineering
been overcome to a large extent using genetic-engineering techniques to produce chimeric mouse/human and completely human antibodies. Such an approach is particularly suitable because of the domain structure of the antibody molecule ( 2 ), where functional
Cortical Neurons Culture to Study c-Jun N-Terminal Kinase Signaling Pathway
Excitotoxicity via N -methyl-d -aspartate receptors (NMDA-r) is a key mechanism of neurodegeneration following ischemia and other brain pathologies. We here describe the use of a fast, reliable and easily
技术资料暂无技术资料 索取技术资料













