相关产品推荐更多 >
万千商家帮你免费找货
0 人在求购买到急需产品
- 详细信息
- 技术资料
- 供应商:
上海康朗生物科技有限公司
- 库存:
大量
- 目录编号:
kl-0654R
- 克隆性:
多克隆
- 抗原来源:
Rabbit
- 保质期:
12个月
- 抗体英文名:
Growth hormone receptor antibody
- 抗体名:
生长激素受体抗体
- 宿主:
Rabbit
- 适应物种:
Human, Mouse, Rat, Chicken, Dog, Pig, Cow, Sheep,
- 免疫原:
KLH conjugated synthetic peptide derived from human GHR:101-200/451 <Cytoplasmic>
- 亚型:
IgG
- 形态:
冻干粉或液体
- 应用范围:
WB=1:500-2000 ELISA=1:500-1000 IHC-P=1:400-800 IHC-F=1:400-800 Flow-Cyt=1μg/Test IF=1:100-500
- 浓度:
1mg/ml
- 保存条件:
-20 °C
- 规格:
50ul 100ul 200ul
Growth hormone receptor antibody
| 中文名称 | 生长激素受体抗体 |
| 别 名 | GH receptor; GHBP; GHR; Growth hormone receptor precursor; Serum binding protein; Somatotropin receptor; GHR_HUMAN. |
![]() |
Specific References (6) | bs-0654R has been referenced in 6 publications.
[IF=2.51] Yang, Hai Li, et al. "Effect of suppressor of cytokine signaling 2 (SOCS2) on fat metabolism induced by growth hormone (GH) in porcine primary adipocyte." Molecular biology reports 39.9 (2012): 9113-9122. WB ; Pig.
PubMed:22729878
[IF=2.02] Wang, Zheng, et al. "RhGH attenuates ischemia injury of intrahepatic bile ducts relating to liver transplantation." Journal of Surgical Research 171.1 (2011): 300-310. IHC-P ; Rat.
PubMed:20462597
[IF=4.24] Hetz, Jennifer A., et al. "Growth axis maturation is linked to nutrition, growth and developmental rate." Molecular and Cellular Endocrinology (2015). WB ;
PubMed:25896544
[IF=1.27] Song, Cheng-Jun, et al. "Effects of sericin on the testicular growth hormone/insulin-like growth factor-1 axis in a rat model of type 2 diabetes." International Journal of Clinical and Experimental Medicine 8.7 (2015): 10411-10419. WB ; Rat.
PubMed:26379831
[IF=1.84] Zhao, Yong, et al. "Inhibition of peripubertal sheep mammary gland development by cysteamine through reducing progesterone and growth factor production." Theriogenology (2016). WB ; Sheep.
PubMed:28043364
[IF=3.86] Chu, Meiqiang, et al. "MicroRNA-126 participates in lipid metabolism in mammary epithelial cells." Molecular and Cellular Endocrinology (2017). WB ; Human.
PubMed:28599789
|
| 规格价格 | 50ul/780元 购买 100ul/1380元 购买 200ul/2200元 购买 大包装/询价 |
| 说 明 书 | 50ul 100ul 200ul |
| 研究领域 | 细胞生物 发育生物学 信号转导 生长因子和激素 细胞分化 |
| 抗体来源 | Rabbit |
| 克隆类型 | Polyclonal |
| 交叉反应 | Human, Mouse, Rat, Chicken, Dog, Pig, Cow, Sheep, |
| 产品应用 | WB=1:500-2000 ELISA=1:500-1000 IHC-P=1:400-800 IHC-F=1:400-800 Flow-Cyt=1μg/Test IF=1:100-500 (石蜡切片需做抗原修复) not yet tested in other applications. optimal dilutions/concentrations should be determined by the end user. |
| 分 子 量 | 68kDa |
| 细胞定位 | 细胞膜 |
| 性 状 | Lyophilized or Liquid |
| 浓 度 | 1mg/ml |
| 免 疫 原 | KLH conjugated synthetic peptide derived from human GHR:101-200/451 <Cytoplasmic> |
| 亚 型 | IgG |
| 纯化方法 | affinity purified by Protein A |
| 储 存 液 | 0.01M TBS(pH7.4) with 1% BSA, 0.03% Proclin300 and 50% Glycerol. |
| 保存条件 | Store at -20 °C for one year. Avoid repeated freeze/thaw cycles. The lyophilized antibody is stable at room temperature for at least one month and for greater than a year when kept at -20°C. When reconstituted in sterile pH 7.4 0.01M PBS or diluent of antibody the antibody is stable for at least two weeks at 2-4 °C. |
| PubMed | PubMed |
| 产品介绍 | background: This gene encodes a member of the type I cytokine receptor family, which is a transmembrane receptor for growth hormone. Binding of growth hormone to the receptor leads to receptor dimerization and the activation of an intra- and intercellular signal transduction pathway leading to growth. Mutations in this gene have been associated with Laron syndrome, also known as the growth hormone insensitivity syndrome (GHIS), a disorder characterized by short stature. In humans and rabbits, but not rodents, growth hormone binding protein (GHBP) is generated by proteolytic cleavage of the extracellular ligand-binding domain from the mature growth hormone receptor protein. Multiple alternatively spliced transcript variants have been found for this gene.[provided by RefSeq, Jun 2011]. Function: Receptor for pituitary gland growth hormone involved in regulating postnatal body growth. On ligand binding, couples to the JAK2/STAT5 pathway. The soluble form (GHBP) acts as a reservoir of growth hormone in plasma and may be a modulator/inhibitor of GH signaling. Isoform 2 up-regulates the production of GHBP and acts as a negative inhibitor of GH signaling. Subunit: On growth hormone (GH) binding, forms homodimers and binds JAK2 via a box 1-containing domain. Binding to SOCS3 inhibits JAK2 activation, binding to CIS and SOCS2 inhibits STAT5 activation. Interacts with ADAM17. Subcellular Location: Cell membrane; Single-pass type I membrane protein. Note=On growth hormone binding, GHR is ubiquitinated, internalized, down-regulated and transported into a degradative or non-degradative pathway. Isoform 2: Cell membrane; Single-pass type I membrane protein. Note=Remains fixed to the cell membrane and is not internalized. Growth hormone-binding protein: Secreted. Note=Complexed to a substantial fraction of circulating GH. Tissue Specificity: Expressed in various tissues with high expression in liver and skeletal muscle. Isoform 4 is predominantly expressed in kidney, bladder, adrenal gland and brain stem. Isoform 1 expression in placenta is predominant in chorion and decidua. Isoform 4 is highly expressed in placental villi. Isoform 2 is expressed in lung, stomach and muscle. Low levels in liver. Post-translational modifications: The soluble form (GHBP) is produced by phorbol ester-promoted proteolytic cleavage at the cell surface (shedding) by ADAM17/TACE. Shedding is inhibited by growth hormone (GH) binding to the receptor probably due to a conformational change in GHR rendering the receptor inaccessible to ADAM17. On GH binding, phosphorylated on tyrosine residues in the cytoplasmic domain by JAK2. On ligand binding, ubiquitinated on lysine residues in the cytoplasmic domain. This ubiquitination is not sufficient for GHR internalization. DISEASE: Laron syndrome (LARS) [MIM:262500]: A severe form of growth hormone insensitivity characterized by growth impairment, short stature, dysfunctional growth hormone receptor, and failure to generate insulin-like growth factor I in response to growth hormone. Note=The disease is caused by mutations affecting the gene represented in this entry. Idiopathic short stature autosomal (ISSA) [MIM:604271]: Short stature is defined by a subnormal rate of growth. Note=The disease is caused by mutations affecting the gene represented in this entry. Similarity: Belongs to the type I cytokine receptor family. Type 1 subfamily. Contains 1 fibronectin type-III domain. SWISS: P10912 Gene ID: 2690 Database links: Entrez Gene: 2690 Human Entrez Gene: 14600 Mouse Entrez Gene: 25235 Rat Omim: 600946 Human SwissProt: P10912 Human SwissProt: P16882 Mouse SwissProt: P16310 Rat Unigene: 125180 Human Unigene: 684631 Human Unigene: 3986 Mouse Unigene: 2178 Rat Important Note: This product as supplied is intended for research use only, not for use in human, therapeutic or diagnostic applications. 生长激素受体(growth hormone receptor,GHR)是细胞因子/造血因子受体超级家族成员之一。 生长激素受体通过二聚体的形式和生长激素(growth hormone, GH)相结合,然后诱发Janus 激酶2 (Janus kinase 2,JAK2:是很多细胞因子、生长因子及干扰素的重要信号传感器)等细胞因子酪氨酸磷酸化并通过4条不同的途径将信号传入细胞内从而产生一系列的生理效应。 |
| 产品图片 |
Sample:
Muscle (Mouse) Lysate at 40 ug Primary: Anti-GHR (bs- 0654R) at 1/300 dilution Secondary: IRDye800CW Goat Anti-Rabbit IgG at 1/20000 dilution Predicted band size: 68 kD Observed band size: 68/76 kD
Sample:
Kidney (Mouse) Lysate at 40 ug Primary: Anti-GHR (bs- 0654R) at 1/300 dilution Secondary: IRDye800CW Goat Anti-Rabbit IgG at 1/20000 dilution Predicted band size: 68 kD Observed band size: 68/76 kD
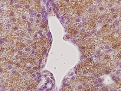
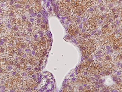
This image was generously provided by Brandon Menzies, PhD, from The University of Melbourne. Paraffin embedded tammar wallaby (Macropus eugenii) liver labeled with Rabbit Anti-GHR Polyclonal Antibody, Unconjugated (bs-0654R) at 1:300 followed by conjugation to a secondary antibody and staining.
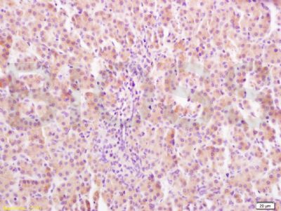
Tissue/cell: rat liver tissue; 4% Paraformaldehyde-fixed and paraffin-embedded;
Antigen retrieval: citrate buffer ( 0.01M, pH 6.0 ), Boiling bathing for 15min; Block endogenous peroxidase by 3% Hydrogen peroxide for 30min; Blocking buffer (normal goat serum,C-0005) at 37℃ for 20 min; Incubation: Anti-GHR Polyclonal Antibody, Unconjugated(bs-0654R) 1:400, overnight at 4°C, followed by conjugation to the secondary antibody(SP-0023) and DAB(C-0010) staining
Blank control: A549(blue), the cells were fixed with 2% paraformaldehyde (10 min) .
Isotype Control Antibody: Rabbit IgG(orange) ; Secondary Antibody: Goat anti-rabbit IgG-FITC(white blue), Dilution: 1:100 in 1 X PBS containing 0.5% BSA ; Primary Antibody Dilution: 5μl in 100 μL1X PBS containing 0.5% BSA(green).
Positive control: A549 cells
Concebtration: 1μg/10^6 cells Incubation conditions: Avoid light , 30 minutes on the ice. |
风险提示:丁香通仅作为第三方平台,为商家信息发布提供平台空间。用户咨询产品时请注意保护个人信息及财产安全,合理判断,谨慎选购商品,商家和用户对交易行为负责。对于医疗器械类产品,请先查证核实企业经营资质和医疗器械产品注册证情况。
技术资料暂无技术资料 索取技术资料
Growth hormone receptor antibody
¥780 - 2200
















