相关产品推荐更多 >
万千商家帮你免费找货
0 人在求购买到急需产品
- 详细信息
- 技术资料
- 供应商:
上海康朗生物科技有限公司
- 库存:
大量
- 目录编号:
kl-21172R
- 克隆性:
多克隆
- 抗原来源:
Rabbit
- 保质期:
12个月
- 抗体英文名:
SH3D19 antibody
- 抗体名:
SH3D19抗体
- 宿主:
Rabbit
- 适应物种:
Human, Mouse, Rat, Dog, Cow, Horse, Sheep,
- 免疫原:
KLH conjugated synthetic peptide derived from human SH3D19:301-400/790
- 亚型:
IgG
- 形态:
冻干粉或液体
- 应用范围:
WB=1:500-2000 ELISA=1:500-1000 IHC-P=1:400-800 IHC-F=1:400-800 ICC=1:100-500 IF=1:100-500
- 浓度:
1mg/ml
- 保存条件:
-20 °C
- 规格:
100ul 200ul
SH3D19 antibody
| 中文名称 | SH3D19抗体 |
| 别 名 | ADAM-binding protein Eve-1; EBP; EEN-binding protein; SH3 domain protein D19; SH3 domain-containing protein 19; SH319_HUMAN; Sh3d19; SH3D19 protein. |
| 规格价格 | 100ul/1380元 购买 200ul/2200元 购买 大包装/询价 |
| 说 明 书 | 100ul 200ul |
| 研究领域 | 细胞生物 免疫学 |
| 抗体来源 | Rabbit |
| 克隆类型 | Polyclonal |
| 交叉反应 | Human, Mouse, Rat, Dog, Cow, Horse, Sheep, |
| 产品应用 | WB=1:500-2000 ELISA=1:500-1000 IHC-P=1:400-800 IHC-F=1:400-800 ICC=1:100-500 IF=1:100-500 (石蜡切片需做抗原修复) not yet tested in other applications. optimal dilutions/concentrations should be determined by the end user. |
| 分 子 量 | 86kDa |
| 细胞定位 | 细胞核 细胞浆 |
| 性 状 | Lyophilized or Liquid |
| 浓 度 | 1mg/ml |
| 免 疫 原 | KLH conjugated synthetic peptide derived from human SH3D19:301-400/790 |
| 亚 型 | IgG |
| 纯化方法 | affinity purified by Protein A |
| 储 存 液 | Preservative: 15mM Sodium Azide, Constituents: 1% BSA, 0.01M PBS, pH 7.4 |
| 保存条件 | Store at -20 °C for one year. Avoid repeated freeze/thaw cycles. The lyophilized antibody is stable at room temperature for at least one month and for greater than a year when kept at -20°C. When reconstituted in sterile pH 7.4 0.01M PBS or diluent of antibody the antibody is stable for at least two weeks at 2-4 °C. |
| PubMed | PubMed |
| 产品介绍 | background: This gene encodes a multiple SH3 domain-containing protein, which interacts with other proteins, such as EBP and members of ADAM family, via the SH3 domains. This protein may be involved in suppression of Ras-induced cellular transformation and Ras-mediated activation of ELK1 by EBP, and regulation of ADAM proteins in the signaling of EGFR-ligand shedding. Alternatively spliced transcript variants encoding different isoforms have been found for this gene. [provided by RefSeq, Aug 2011] Function: May play a role in regulating A disintegrin and metalloproteases (ADAMs) in the signaling of EGFR-ligand shedding. May be involved in suppression of Ras-induced cellular transformation and Ras-mediated activation of ELK1. Subcellular Location: Cytoplasm. Nucleus. Is recruited to the nucleus by the MLL-EEN fusion protein;. Tissue Specificity: Widely expressed with highest levels in heart, skeletal muscle, kidney, liver, placenta, small intestine and lung. Expressed at low levels in colon, thymus, spleen and leukocytes. Similarity: Contains 5 SH3 domains. SWISS: Q5HYK7 Gene ID: 152503 Database links: Entrez Gene: 482645 Dog Entrez Gene: 100727056 Guinea pig Entrez Gene: 100062398 Horse Entrez Gene: 152503 Human Entrez Gene: 100518918 Pig Entrez Gene: 100353862 Rabbit Omim: 608674 Human SwissProt: Q5HYK7 Human Unigene: 728240 Human Important Note: This product as supplied is intended for research use only, not for use in human, therapeutic or diagnostic applications. |
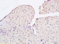
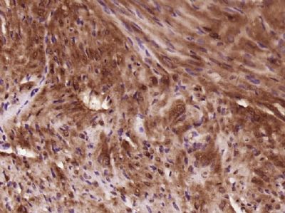
| 产品图片 | ![]() Sample: Heart (mouse)cell Lysate at 40 ug Primary: Anti- SH3D19 (bs-21172R)at 1/300 dilution Secondary: IRDye800CW Goat Anti-RabbitIgG at 1/20000 dilution Predicted band size: 86 kD Observed band size:86 kD ![]() Paraformaldehyde-fixed, paraffin embedded (Rat heart); Antigen retrieval by boiling in sodium citrate buffer (pH6.0) for 15min; Block endogenous peroxidase by 3% hydrogen peroxide for 20 minutes; Blocking buffer (normal goat serum) at 37°C for 30min; Antibody incubation with (SH3D19) Polyclonal Antibody, Unconjugated (bs-21172R) at 1:400 overnight at 4°C, followed by operating according to SP Kit(Rabbit) (sp-0023) instructionsand DAB staining. ![]() Paraformaldehyde-fixed, paraffin embedded (Rat kidney); Antigen retrieval by boiling in sodium citrate buffer (pH6.0) for 15min; Block endogenous peroxidase by 3% hydrogen peroxide for 20 minutes; Blocking buffer (normal goat serum) at 37°C for 30min; Antibody incubation with (SH3D19) Polyclonal Antibody, Unconjugated (bs-21172R) at 1:400 overnight at 4°C, followed by operating according to SP Kit(Rabbit) (sp-0023) instructionsand DAB staining. |
风险提示:丁香通仅作为第三方平台,为商家信息发布提供平台空间。用户咨询产品时请注意保护个人信息及财产安全,合理判断,谨慎选购商品,商家和用户对交易行为负责。对于医疗器械类产品,请先查证核实企业经营资质和医疗器械产品注册证情况。
技术资料暂无技术资料 索取技术资料
SH3D19 antibody
¥1380 - 2200












