相关产品推荐更多 >
万千商家帮你免费找货
0 人在求购买到急需产品
- 详细信息
- 文献和实验
- 技术资料
- 供应商:
上海康朗生物科技有限公司
- 库存:
大量
- 目录编号:
kl-0516R
- 克隆性:
多克隆
- 抗原来源:
Rabbit
- 保质期:
12个月
- 抗体英文名:
RAR Beta antibody
- 抗体名:
维甲酸受体β抗体
- 宿主:
Rabbit
- 适应物种:
Human, Mouse, Rat, Chicken, Dog, Pig, Cow,
- 免疫原:
KLH conjugated synthetic peptide derived from human RAR Beta:155-250/482
- 亚型:
IgG
- 形态:
冻干粉或液体
- 应用范围:
WB=1:500-2000 ELISA=1:500-1000 IHC-P=1:400-800 IHC-F=1:400-800 IF=1:100-500
- 浓度:
1mg/ml
- 保存条件:
-20 °C
- 规格:
50ul 100ul 200ul
| 中文名称 | 维甲酸受体β抗体 |
| 别 名 | Retinoic acid R-beta; HAP; HBV activated protein; HBV-activated protein; Hepatitis B virus activated protein; NR1B2; Nuclear receptor subfamily 1 group B member 2; RAR B; RAR beta; RAR epsilon; RARB; Retinoic acid receptor beta 2; Retinoic acid receptor beta 4; Retinoic acid receptor beta 5; Retinoic acid receptor beta; Retinoic acid receptor beta polypeptide; RRB 2; RARB_HUMAN; RRB2. |
| 规格价格 | 50ul/780元 购买 100ul/1380元 购买 200ul/2200元 购买 大包装/询价 |
| 说 明 书 | 50ul 100ul 200ul |
| 研究领域 | 肿瘤 细胞生物 免疫学 信号转导 细胞凋亡 转录调节因子 表观遗传学 |
| 抗体来源 | Rabbit |
| 克隆类型 | Polyclonal |
| 交叉反应 | Human, Mouse, Rat, Chicken, Dog, Pig, Cow, |
| 产品应用 | WB=1:500-2000 ELISA=1:500-1000 IHC-P=1:400-800 IHC-F=1:400-800 IF=1:100-500 (石蜡切片需做抗原修复) not yet tested in other applications. optimal dilutions/concentrations should be determined by the end user. |
| 分 子 量 | 50kDa |
| 细胞定位 | 细胞核 细胞浆 |
| 性 状 | Lyophilized or Liquid |
| 浓 度 | 1mg/ml |
| 免 疫 原 | KLH conjugated synthetic peptide derived from human RAR Beta:155-250/482 |
| 亚 型 | IgG |
| 纯化方法 | affinity purified by Protein A |
| 储 存 液 | 0.01M TBS(pH7.4) with 1% BSA, 0.03% Proclin300 and 50% Glycerol. |
| 保存条件 | Store at -20 °C for one year. Avoid repeated freeze/thaw cycles. The lyophilized antibody is stable at room temperature for at least one month and for greater than a year when kept at -20°C. When reconstituted in sterile pH 7.4 0.01M PBS or diluent of antibody the antibody is stable for at least two weeks at 2-4 °C. |
| PubMed | PubMed |
| 产品介绍 | background: Retinoids are metabolites of vitamin A (retinal) and are believed to represent important signaling molecules during vertebrate development and tissue differentiation. Two families of retinoid receptors have been identified. Retinoic acid receptors (RARs) include RAR alpha, RAR Beta and RAR gamma, each of which has a high affinity for all trans retinoic acids and belongs to the same class of nuclear transcription factors as thyroid hormone receptors, vitamin D3 receptor and ecdysone receptor. The ligand binding domains of the RARs are highly conserved and RAR isoforms are expressed in distinct patterns throughout development and in the mature organism. Members of the retinoid X receptor (RXR) family, RXR alpha, RXR Beta and RXR gamma, are activated by 9 cis retinoic acid, a stereo and photoisomer of all trans RA that is expressed in vivo in both liver and kidney and may represent a widely used hormone. Function: Receptor for retinoic acid. Retinoic acid receptors bind as heterodimers to their target response elements in response to their ligands, all-trans or 9-cis retinoic acid, and regulate gene expression in various biological processes. The RXR/RAR heterodimers bind to the retinoic acid response elements (RARE) composed of tandem 5'-AGGTCA-3' sites known as DR1-DR5. In the absence or presence of hormone ligand, acts mainly as an activator of gene expression due to weak binding to corepressors. In concert with RARG, required for skeletal growth, matrix homeostasis and growth plate function. Subunit: Homodimer (By similarity). Heterodimer; with a RXR molecule. Binds DNA preferentially as a RAR/RXR heterodimer (By similarity). Interacts weakly with NCOR2. Subcellular Location: Isoform Beta-1: Nucleus. Isoform Beta-2: Nucleus. Isoform Beta-4: Cytoplasm. Similarity: Belongs to the nuclear hormone receptor family. NR1 subfamily. Contains 1 nuclear receptor DNA-binding domain. SWISS: P10826 Gene ID: 5915 Database links: Entrez Gene: 5915 Human Entrez Gene: 218772 Mouse Entrez Gene: 24706 Rat Omim: 180220 Human SwissProt: P10826 Human SwissProt: P22605 Mouse Unigene: 654490 Human Unigene: 259318 Mouse Unigene: 220045 Rat Important Note: This product as supplied is intended for research use only, not for use in human, therapeutic or diagnostic applications. RAR-β参与对很多恶性肿瘤细胞的诱导分化和凋亡作用。 |
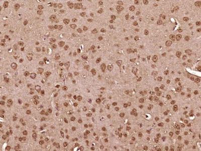
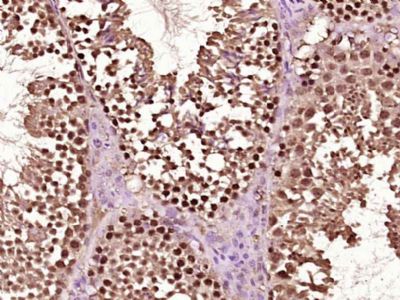
| 产品图片 | ![]() Sample: Heart (Mouse) Lysate at 40 ug Primary: Anti-RAR Beta (bs-0516R) at 1/500 dilution Secondary: IRDye800CW Goat Anti-Rabbit IgG at 1/20000 dilution Predicted band size: 50 kD Observed band size: 50 kD ![]() Paraformaldehyde-fixed, paraffin embedded (Mouse brain); Antigen retrieval by boiling in sodium citrate buffer (pH6.0) for 15min; Block endogenous peroxidase by 3% hydrogen peroxide for 20 minutes; Blocking buffer (normal goat serum) at 37°C for 30min; Antibody incubation with (RAR Beta) Polyclonal Antibody, Unconjugated (bs-0516R) at 1:400 overnight at 4°C, followed by operating according to SP Kit(Rabbit) (sp-0023) instructionsand DAB staining. ![]() Paraformaldehyde-fixed, paraffin embedded (Mouse testis); Antigen retrieval by boiling in sodium citrate buffer (pH6.0) for 15min; Block endogenous peroxidase by 3% hydrogen peroxide for 20 minutes; Blocking buffer (normal goat serum) at 37°C for 30min; Antibody incubation with (RAR Beta) Polyclonal Antibody, Unconjugated (bs-0516R) at 1:400 overnight at 4°C, followed by operating according to SP Kit(Rabbit) (sp-0023) instructionsand DAB staining. ![]() Paraformaldehyde-fixed, paraffin embedded (Human brain glioma); Antigen retrieval by boiling in sodium citrate buffer (pH6.0) for 15min; Block endogenous peroxidase by 3% hydrogen peroxide for 20 minutes; Blocking buffer (normal goat serum) at 37°C for 30min; Antibody incubation with (RAR Beta) Polyclonal Antibody, Unconjugated (bs-0516R) at 1:400 overnight at 4°C, followed by operating according to SP Kit(Rabbit) (sp-0023) instructionsand DAB staining. |
风险提示:丁香通仅作为第三方平台,为商家信息发布提供平台空间。用户咨询产品时请注意保护个人信息及财产安全,合理判断,谨慎选购商品,商家和用户对交易行为负责。对于医疗器械类产品,请先查证核实企业经营资质和医疗器械产品注册证情况。
文献和实验Anticardiolipin Antibody and Anti-beta 2 Glycoprotein I Antibody Assays
) antibodies and anti-beta 2 glycoprotein I (β2-GPI) antibodies. Other autoantibodies, such as those directed against anionic phospholipids, can also be assayed; however they are not of clinical significance. Participation in a quality assurance
。 如果beta-catenin抗体不好使,或者EGFP太大影响定位的话,还可以构建Flag标签类载体,转染细胞,加入药物,用抗Flag抗体免疫荧光检测,荧光显微镜下观察就好了。 wangjh28 但按照事先的推测,处理了以后会下调该基因的表达 我觉得科学不能有事先的推测的结果,这样容易受思维定势的影响,而忽略了新发现 dongreyuan 我打算用SAB的β-catenin(Ab-37)Antibody,说明
in 200 mls Solution A. Repeat wash. Pellet cells as above and resuspend in 4 mls Solution A. Reserve 2 mls of the cell suspension. Spheroplast the remaining 2 ml of the cell suspension by addition of beta-mercaptoethanol to 0.1, glusulase
技术资料暂无技术资料 索取技术资料













