相关产品推荐更多 >
万千商家帮你免费找货
0 人在求购买到急需产品
- 详细信息
- 技术资料
- 供应商:
上海康朗生物科技有限公司
- 库存:
大量
- 目录编号:
kl-0114M
- 克隆性:
多克隆
- 抗原来源:
Mouse
- 保质期:
12个月
- 抗体英文名:
Aromatase antibody
- 抗体名:
芳香化酶抗体
- 宿主:
Rabbit
- 适应物种:
Human, Mouse, Rat, Dog, Pig, Cow, Horse, Rabbit, Sheep,
- 免疫原:
KLH conjugated synthetic peptide derived from human Aromatase N-terminus:51-150/503
- 亚型:
IgG
- 形态:
冻干粉或液体
- 应用范围:
WB=1:500-2000 ELISA=1:500-1000 IHC-P=1:400-800 IHC-F=1:400-800 ICC=1:100-500 IF=1:100-500
- 浓度:
1mg/ml
- 保存条件:
-20 °C
- 规格:
50ul 100ul 200ul
Aromatase antibody
| 中文名称 | 芳香化酶抗体 |
| 别 名 | Cytochrome p450 19A1; Estrogen synthetase; ARO 1; ARO; ARO1; CPV; CYPXIX; Cytochrome P450 19A1; Cytochrome P450 family 19 subfamily A polypeptide 1; MGC104309; P 450AROM; P450AROM; CP19A_HUMAN; Cytochrome P-450AROM. |
![]() |
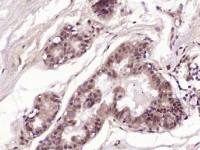
Specific References (1) | bs-0114M has been referenced in 1 publications. [IF=1.28] Qu, Fan, et al. "Transcutaneous electrical acupoint stimulation alleviates the hyperandrogenism of polycystic ovarian syndrome rats by regulating the expression of P450arom and CTGF in the ovaries." International Journal of Clinical and Experimental Medicine. 8.5 (2015): 7754-7761. IHC-P ; Rat. PubMed:26221326 |
| 规格价格 | 50ul/780元 购买 100ul/1380元 购买 200ul/2200元 购买 大包装/询价 |
| 说 明 书 | 50ul 100ul 200ul |
| 研究领域 | 细胞生物 神经生物学 信号转导 激酶和磷酸酶 合成与降解 |
| 抗体来源 | Mouse |
| 克隆类型 | Polyclonal |
| 交叉反应 | Human, Mouse, Rat, Dog, Pig, Cow, Horse, Rabbit, Sheep, |
| 产品应用 | WB=1:500-2000 ELISA=1:500-1000 IHC-P=1:400-800 IHC-F=1:400-800 ICC=1:100-500 IF=1:100-500 (石蜡切片需做抗原修复) not yet tested in other applications. optimal dilutions/concentrations should be determined by the end user. |
| 分 子 量 | 55kDa |
| 细胞定位 | 细胞膜 |
| 性 状 | Lyophilized or Liquid |
| 浓 度 | 1mg/ml |
| 免 疫 原 | KLH conjugated synthetic peptide derived from human Aromatase N-terminus:51-150/503 |
| 亚 型 | IgG |
| 纯化方法 | affinity purified by Protein A |
| 储 存 液 | 0.01M TBS(pH7.4) with 1% BSA, 0.03% Proclin300 and 50% Glycerol. |
| 保存条件 | Store at -20 °C for one year. Avoid repeated freeze/thaw cycles. The lyophilized antibody is stable at room temperature for at least one month and for greater than a year when kept at -20°C. When reconstituted in sterile pH 7.4 0.01M PBS or diluent of antibody the antibody is stable for at least two weeks at 2-4 °C. |
| PubMed | PubMed |
| 产品介绍 | background: Aromatase is a key enzyme in steroidogenesis and plays an important role in sexual differentiation, oestrogen biosynthesis, fertility and carcinogenesis. It is highly conserved amongst mammals, and is highly expressed in placental tissue. Many environmental chemicals may influence aromatase activity and thereby disrupt endocrine function. Function: Catalyzes the formation of aromatic C18 estrogens from C19 androgens. Subcellular Location: Membrane; Peripheral membrane protein. Tissue Specificity: Brain, placenta and gonads. DISEASE: Aromatase excess syndrome (AEXS) [MIM:139300]: An autosomal dominant disorder characterized by increased extraglandular aromatization of steroids that presents with heterosexual precocity in males and isosexual precocity in females. Note=The disease is caused by mutations affecting the gene represented in this entry. Aromatase deficiency (AROD) [MIM:613546]: A rare disease in which fetal androgens are not converted into estrogens due to placental aromatase deficiency. Thus, pregnant women exhibit a hirsutism, which spontaneously resolves after post-partum. At birth, female babies present with pseudohermaphroditism due to virilization of extern genital organs. In adult females, manifestations include delay of puberty, breast hypoplasia and primary amenorrhoea with multicystic ovaries. Note=The disease is caused by mutations affecting the gene represented in this entry. Similarity: Belongs to the cytochrome P450 family. SWISS: P11511 Gene ID: 1588 Database links: Entrez Gene: 1588 Human Entrez Gene: 13075 Mouse Entrez Gene: 25147 Rat Omim: 107910 Human SwissProt: P19098 Chicken SwissProt: P11511 Human SwissProt: P28649 Mouse SwissProt: P22443 Rat Unigene: 260074 Human Unigene: 478781 Mouse Unigene: 5199 Mouse Unigene: 21402 Rat Important Note: This product as supplied is intended for research use only, not for use in human, therapeutic or diagnostic applications. 细胞色素氧化酶p450; 是一种微粒体酶系统,催化睾酮经三步连续强化转变成17-β-雌二醇,在反应中睾酮作为激素原。 细胞色素P450主要分布在内质网和线粒体内膜上,作为一种末端加氧酶,参与了生物体内的甾醇类激素合成等过程。 近年来,对细胞色素P450的结构、功能特别是对其在药物代谢中的作用的研究有了较大的进展。 最新研究表明细胞色素P450还是药物代谢过程中的关键酶,而且对细胞因子和体温调节都有重要影响。 芳香化酶-细胞色素P450作为和药物代谢及细胞因子相关的重要酶类,在药物代谢和免疫中起着相当重要的作用,对于它的研究将有助于新药的开发,并能帮助人们更加清楚的认识药物的代谢途径,在未来的新药中减少副作用,增加药物疗效。随着对细胞色素P450研究的深入,将有更多相关的药物代谢途径被发现,人们开发新药的视野将更加开阔,新药开发的速度也将加快,质量进一步提高。 鉴于P450的研究无论在理论上探索生物的生理代谢、选择进化和生物与环境的关系方面,或在环境保护、农业生态、生物防治、作物基因工程和医药卫生等应用方面,都有广泛的实践意义,因此,应该受到更大的关注和重视。 |
| 产品图片 | ![]() Sample: HepG2(Human) Cell Lysate at 30 ug Primary: Anti-Aromatase (bs-0114M) at 1/300 dilution Secondary: IRDye800CW Goat Anti-Rabbit IgG at 1/20000 dilution Predicted band size: 55 kD Observed band size: 58 kD |
风险提示:丁香通仅作为第三方平台,为商家信息发布提供平台空间。用户咨询产品时请注意保护个人信息及财产安全,合理判断,谨慎选购商品,商家和用户对交易行为负责。对于医疗器械类产品,请先查证核实企业经营资质和医疗器械产品注册证情况。
技术资料暂无技术资料 索取技术资料
Aromatase antibody
¥780 - 2200











