相关产品推荐更多 >
万千商家帮你免费找货
0 人在求购买到急需产品
- 详细信息
- 文献和实验
- 技术资料
- 供应商:
上海康朗生物科技有限公司
- 库存:
大量
- 目录编号:
kl-0035R
- 克隆性:
多克隆
- 抗原来源:
Rabbit
- 保质期:
12个月
- 抗体英文名:
CREB-1 antibody
- 抗体名:
CREB-1 antibody
- 宿主:
Rabbit
- 适应物种:
Human
- 免疫原:
KLH conjugated synthetic peptide derived from human Nestin:801-900/1621
- 亚型:
IgG
- 形态:
冻干粉或液体
- 应用范围:
ELISA=1:500-1000 IHC-P=1:400-800 IHC-F=1:400-800 IF=1:100-500
- 浓度:
1mg/ml
- 保存条件:
-20 °C
- 规格:
50ul 100ul 200ul
| 中文名称 | 环腺苷酸应答元件结合蛋白抗体 |
| 别 名 | Active transcription factor CREB; cAMP response element binding protein; cAMP responsive element binding protein 1; CREB1; CREB 1; CREB1; MGC9284; Transactivator protein; CREB; CREB1_HUMAN. |
| 规格价格 | 50ul/780元 购买 100ul/1380元 购买 200ul/2200元 购买 大包装/询价 |
| 说 明 书 | 50ul 100ul 200ul |
| 研究领域 | 免疫学 染色质和核信号 信号转导 转录调节因子 |
| 抗体来源 | Rabbit |
| 克隆类型 | Polyclonal |
| 交叉反应 | Human, Mouse, Rat, Chicken, Dog, Pig, Cow, Sheep, |
| 产品应用 | WB=1:500-2000 ELISA=1:500-1000 IHC-P=1:400-800 IHC-F=1:400-800 IF=1:100-500 (石蜡切片需做抗原修复) not yet tested in other applications. optimal dilutions/concentrations should be determined by the end user. |
| 分 子 量 | 37kDa |
| 细胞定位 | 细胞核 |
| 性 状 | Lyophilized or Liquid |
| 浓 度 | 1mg/ml |
| 免 疫 原 | KLH conjugated synthetic peptide derived from human CREB-1:101-150/341 |
| 亚 型 | IgG |
| 纯化方法 | affinity purified by Protein A |
| 储 存 液 | 0.01M TBS(pH7.4) with 1% BSA, 0.03% Proclin300 and 50% Glycerol. |
| 保存条件 | Store at -20 °C for one year. Avoid repeated freeze/thaw cycles. The lyophilized antibody is stable at room temperature for at least one month and for greater than a year when kept at -20°C. When reconstituted in sterile pH 7.4 0.01M PBS or diluent of antibody the antibody is stable for at least two weeks at 2-4 °C. |
| PubMed | PubMed |
| 产品介绍 | background: Cyclic AMP Response Element Binding protein (CREB) is a basic / leucine zipper transcription factor that binds the cyclic AMP response element (CRE) and activates transcription in response to a variety of extracellular signals including neurotransmitters, hormones, membrane depolarization, and growth and neurotrophic factors. Activation of CREB is dependent upon the phosphorylation of serine 133. Phosphorylation occurs via p44 / 42 MAP kinase and p90RSK and also via p38 MAP kinase and MSK 1. Although CREB will bind DNA independent of its phosphorylation state, only the phosphorylated form is competent as a transcription factor. CREB binding protein (CBP), a transcriptional coactivator that directly interacts with CREB, binds to CREB in the region of serine 133. CREB appears to play an important role in learning and memory. CREB knock out mice show diminished learning ability. Function: Phosphorylation-dependent transcription factor that stimulates transcription upon binding to the DNA cAMP response element (CRE), a sequence present in many viral and cellular promoters. Transcription activation is enhanced by the TORC coactivators which act independently of Ser-133 phosphorylation. Involved in different cellular processes including the synchronization of circadian rhythmicity and the differentiation of adipose cells. Subunit: Interacts with PPRC1. Binds DNA as a dimer. This dimer is stabilized by magnesium ions. Interacts, through the bZIP domain, with the coactivators TORC1/CRTC1, TORC2/CRTC2 and TORC3/CRTC3. When phosphorylated on Ser-133, binds CREBBP (By similarity). Interacts with CREBL2; regulates CREB1 phosphorylation, stability and transcriptional activity (By similarity). Interacts (phosphorylated form) with TOX3. Interacts with ARRB1. Binds to HIPK2. Interacts with SGK1. Subcellular Location: Nucleus. Post-translational modifications: Stimulated by phosphorylation. Phosphorylation of both Ser-133 and Ser-142 in the SCN regulates the activity of CREB and participates in circadian rhythm generation. Phosphorylation of Ser-133 allows CREBBP binding (By similarity). CREBL2 positively regulates phosphorylation at Ser-133 thereby stimulating CREB1 transcriptional activity (By similarity). Phosphorylated upon DNA damage, probably by ATM or ATR. Phosphorylated upon calcium influx by CaMK4 and CaMK2 on Ser-133. CaMK4 is much more potent than CaMK2 in activating CREB. Phosphorylated by CaMK2 on Ser-142. Phosphorylation of Ser-142 blocks CREB-mediated transcription even when Ser-133 is phosphorylated. Phosphorylated by CaMK1 (By similarity). Phosphorylation of Ser-271 by HIPK2 in response to genotoxic stress promotes CREB1 activity, facilitating the recruitment of the coactivator CBP. Phosphorylated at Ser-133 by RPS6KA3, RPS6KA4 and RPS6KA5 in response to mitogenic or stress stimuli. Sumoylated with SUMO1. Sumoylation on Lys-304, but not on Lys-285, is required for nuclear localization of this protein. Sumoylation is enhanced under hypoxia, promoting nuclear localization and stabilization. DISEASE: Defects in CREB1 may be a cause of angiomatoid fibrous histiocytoma (AFH) [MIM:612160]. A distinct variant of malignant fibrous histiocytoma that typically occurs in children and adolescents and is manifest by nodular subcutaneous growth. Characteristic microscopic features include lobulated sheets of histiocyte-like cells intimately associated with areas of hemorrhage and cystic pseudovascular spaces, as well as a striking cuffing of inflammatory cells, mimicking a lymph node metastasis. Note=A chromosomal aberration involving CREB1 is found in a patient with angiomatoid fibrous histiocytoma. Translocation t(2;22)(q33;q12) with CREB1 generates a EWSR1/CREB1 fusion gene that is most common genetic abnormality in this tumor type. Note=A CREB1 mutation has been found in a patient with multiple congenital anomalies consisting of agenesis of the corpus callosum, cerebellar hypoplasia, severe neonatal respiratory distress refractory to surfactant, thymus hypoplasia, and thyroid follicular hypoplasia (PubMed:22267179). Similarity: Belongs to the bZIP family. Contains 1 bZIP domain. Contains 1 KID (kinase-inducible) domain. SWISS: P16220 Gene ID: 1385 Database links: Entrez Gene: 281713 Cow Entrez Gene: 1385 Human Entrez Gene: 12912 Mouse Entrez Gene: 81646 Rat Omim: 123810 Human SwissProt: P27925 Cow SwissProt: P16220 Human SwissProt: Q01147 Mouse SwissProt: P15337 Rat Unigene: 516646 Human Unigene: 453295 Mouse Unigene: 90061 Rat Important Note: This product as supplied is intended for research use only, not for use in human, therapeutic or diagnostic applications. 环腺苷酸应答元件结合蛋白(cAMP responsive element binding protein, CREB)是真核细胞转录因子,属于ATF/CREB家族。参与由cAMP或某些病毒蛋白质所诱导基因转录的调节。 ATF/CREB家族相关蛋白 bs-0517R ATF-1 活化复制因子1 bs-0518R ATF-2 活化复制因子2 bs-0519R ATF-3 活化复制因子3 bs-0035M CREB 非磷酸化环腺苷酸应答元件结合蛋白(抗体) bs-0036R P-CREB 磷酸化环腺苷酸应答元件结合蛋白(抗体) |
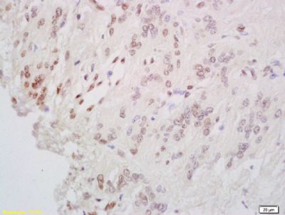
| 产品图片 | ![]() Sample: 293T(Human) Cell Lysate at 30 ug Primary: Anti-CREB-1 (bs-0035R) at 1/300 dilution Secondary: IRDye800CW Goat Anti-Rabbit IgG at 1/20000 dilution Predicted band size: 37 kD Observed band size: 37 kD ![]() Sample:Hela Cell Lysate at 40 ug Primary:Anti-CREB-1 (bs-0035R) at 1:300 dilution; Secondary: HRP conjugated Goat-Anti-rabbit IgG(bs-0295G-HRP) at 1: 5000 dilution; Predicted band size:37 kD Observed band size:37 kD ![]() Tissue/cell: human cervical carcinoma; 4% Paraformaldehyde-fixed and paraffin-embedded; Antigen retrieval: citrate buffer ( 0.01M, pH 6.0 ), Boiling bathing for 15min; Block endogenous peroxidase by 3% Hydrogen peroxide for 30min; Blocking buffer (normal goat serum,C-0005) at 37℃ for 20 min; Incubation: Anti-CREB-1 Polyclonal Antibody, Unconjugated(bs-0035R) 1:200, overnight at 4°C, followed by conjugation to the secondary antibody(SP-0023) and DAB(C-0010) staining |
风险提示:丁香通仅作为第三方平台,为商家信息发布提供平台空间。用户咨询产品时请注意保护个人信息及财产安全,合理判断,谨慎选购商品,商家和用户对交易行为负责。对于医疗器械类产品,请先查证核实企业经营资质和医疗器械产品注册证情况。
文献和实验antibody. For antiphosphoCREB (IgG, 0.7 mg/ml), I use 1:5,000 - 1:20,000 dilution in 4% BSA in TBST. This should be titrated for optimal results. I incubate with primary Ab 3 hours - overnight at room temp with shaking.10. Remove the antibody solution
of buffers prior to use. Storage Buffer for Column For 500ml 10mM Tris ph 7.5 5ml of 1M 0.3M NaCl150ml 1M or 60ml 2.5M 1mM EDTA 1ml of 0.5M 0.02% NaN3 1ml of 10% CREB Column - Purification Trial #1 Sample #5-C4-1-1 (pg.25)lysed in 4.5ml (3 vol
% nonfat dry milk works well for anti-PCREB, but in my hands milk is not as good as BSA from USB (it seems to mask the epitope). Remove block solution and add primary antibody. For antiphosphoCREB (IgG, 0.7 mg/ml), I use 1:5,000
技术资料暂无技术资料 索取技术资料













