相关产品推荐更多 >
万千商家帮你免费找货
0 人在求购买到急需产品
- 详细信息
- 文献和实验
- 技术资料
- 供应商:
上海康朗生物科技有限公司
- 库存:
大量
- 目录编号:
kl-0016R
- 克隆性:
多克隆
- 抗原来源:
Rabbit
- 保质期:
12个月
- 抗体英文名:
Tyrosine Hydroxylase antibody
- 抗体名:
Tyrosine Hydroxylase antibody
- 宿主:
Rabbit
- 适应物种:
Human
- 免疫原:
KLH conjugated synthetic peptide derived from human Nestin:801-900/1621
- 亚型:
IgG
- 形态:
冻干粉或液体
- 应用范围:
ELISA=1:500-1000 IHC-P=1:400-800 IHC-F=1:400-800 IF=1:100-500
- 浓度:
1mg/ml
- 保存条件:
-20 °C
- 规格:
50ul 100ul 200ul
| 产品编号 | bs-0016R |
| 英文名称 | Tyrosine Hydroxylase |
| 中文名称 | 酪氨酸羟化酶抗体 |
| 别 名 | Tyrosine Hydroxylase; DYT14; DYT5b; ple; Protein Pale; c; The; TYH; Tyrosine 3 hydroxylase; Tyrosine 3 monooxygenase; Tyk2; TY3H_HUMAN; Tyrosine 3-monooxygenase; Tyrosine 3-hydroxylase; TH. |
![]() |
Specific References (1) | bs-0016R has been referenced in 1 publications. [IF=1.09] Yu, Yaping, et al. "Overexpression of lactate dehydrogenase-A in human intrahepatic cholangiocarcinoma: its implication for treatment." World Journal of Surgical Oncology 12.1 (2014): 78. WB ; Human. PubMed:24679073 |
| 规格价格 | 50ul/780元 购买 100ul/1380元 购买 200ul/2200元 购买 大包装/询价 |
| 说 明 书 | 50ul 100ul 200ul |
| 研究领域 | 肿瘤 免疫学 神经生物学 信号转导 新陈代谢 |
| 抗体来源 | Rabbit |
| 克隆类型 | Polyclonal |
| 交叉反应 | Human, Mouse, Rat, Dog, Cow, |
| 产品应用 | WB=1:500-2000 ELISA=1:500-1000 IHC-P=1:400-800 IHC-F=1:400-800 IF=1:100-500 (石蜡切片需做抗原修复) not yet tested in other applications. optimal dilutions/concentrations should be determined by the end user. |
| 分 子 量 | 60kDa |
| 性 状 | Lyophilized or Liquid |
| 浓 度 | 1mg/ml |
| 免 疫 原 | KLH conjugated synthetic peptide derived from human TH:101-165/528 |
| 亚 型 | IgG |
| 纯化方法 | affinity purified by Protein A |
| 储 存 液 | 0.01M TBS(pH7.4) with 1% BSA, 0.03% Proclin300 and 50% Glycerol. |
| 保存条件 | Store at -20 °C for one year. Avoid repeated freeze/thaw cycles. The lyophilized antibody is stable at room temperature for at least one month and for greater than a year when kept at -20°C. When reconstituted in sterile pH 7.4 0.01M PBS or diluent of antibody the antibody is stable for at least two weeks at 2-4 °C. |
| PubMed | PubMed |
| 产品介绍 | background: The protein encoded by this gene is involved in the conversion of tyrosine to dopamine. It is the rate-limiting enzyme in the synthesis of catecholamines, hence plays a key role in the physiology of adrenergic neurons. Mutations in this gene have been associated with autosomal recessive Segawa syndrome. Alternatively spliced transcript variants encoding different isoforms have been noted for this gene. [provided by RefSeq, Jul 2008] Function: Plays an important role in the physiology of adrenergic neurons. Tissue Specificity: Mainly expressed in the brain and adrenal glands. DISEASE: Defects in TH are the cause of Segawa syndrome autosomal recessive (ARSEGS) [MIM:605407]. A form of DOPA-responsive dystonia presenting in infancy or early childhood. Dystonia is defined by the presence of sustained involuntary muscle contractions, often leading to abnormal postures. Some cases present with parkinsonian symptoms in infancy. Unlike all other forms of dystonia, it is an eminently treatable condition, due to a favorable response to L-DOPA. Note=May play a role in the pathogenesis of Parkinson disease (PD). A genome-wide copy number variation analysis has identified a 34 kilobase deletion over the TH gene in a PD patient but not in any controls. Similarity: Belongs to the biopterin-dependent aromatic amino acid hydroxylase family. SWISS: P07101 Gene ID: 7054 Database links: Entrez Gene: 7054 Human Entrez Gene: 21823 Mouse Entrez Gene: 25085 Rat Omim: 191290 Human SwissProt: P07101 Human SwissProt: P24529 Mouse SwissProt: P04177 Rat Unigene: 435609 Human Unigene: 1292 Mouse Unigene: 11082 Rat Important Note: This product as supplied is intended for research use only, not for use in human, therapeutic or diagnostic applications. 神经细胞标志物 酪氨酸羟化酶(TH)是儿茶酚胺类神经递质即多巴胺、去甲肾上腺素、肾上腺素生物合成过程所需的限速酶,它以四氢生物喋呤啶(BH4)为辅酶,催化酪氨酸的羟化而生成多巴(DOPA)。 已知在患帕金森病(Parkinson disease,PD)时,脑内多巴胺(dopamine,DA)的减少与此酶活性低下有关。因此对PD模型动物来说,若将TH基因植入脑内,便可以提高脑内DA水平而达到基因治疗目的。 |
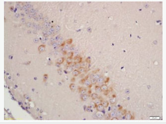
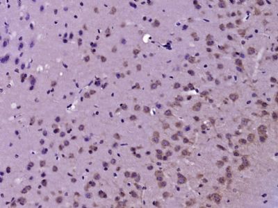
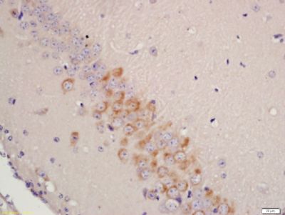
| 产品图片 | ![]() Sample: adipocyte (mouse) Lysate at 5-10 ug model A, model B, model C are from different mice; Primary: Anti-Tyrosine Hydroxylase(bs-0016R) at 1/2000 dilution Predicted band size: 60 kD Observed band size: 60 kD ![]() Sample: PC-3 (Mouse) Lysate at 30 ug Primary: Anti-Tyrosine Hydroxylase (bs-0016R) at 1:300 dilution; Secondary: HRP conjugated Goat-Anti-rabbit IgG(bs-0295G-HRP) at 1:5000 dilution; Predicted band size:60 kD Observed band size:60 kD ![]() Paraformaldehyde-fixed, paraffin embedded (Mouse brain); Antigen retrieval by boiling in sodium citrate buffer (pH6.0) for 15min; Block endogenous peroxidase by 3% hydrogen peroxide for 20 minutes; Blocking buffer (normal goat serum) at 37°C for 30min; Antibody incubation with (Tyrosine Hydroxylase) Polyclonal Antibody, Unconjugated (bs-0016R) at 1:400 overnight at 4°C, followed by operating according to SP Kit(Rabbit) (sp-0023) instructionsand DAB staining. ![]() Tissue/cell: rat brain tissue; 4% Paraformaldehyde-fixed and paraffin-embedded; Antigen retrieval: citrate buffer ( 0.01M, pH 6.0 ), Boiling bathing for 15min; Block endogenous peroxidase by 3% Hydrogen peroxide for 30min; Blocking buffer (normal goat serum,C-0005) at 37℃ for 20 min; Incubation: Anti-Tyrosine Hydroxylase Polyclonal Antibody, Unconjugated(bs-0016R) 1:200, overnight at 4°C, followed by conjugation to the secondary antibody(SP-0023) and DAB(C-0010) staining |
风险提示:丁香通仅作为第三方平台,为商家信息发布提供平台空间。用户咨询产品时请注意保护个人信息及财产安全,合理判断,谨慎选购商品,商家和用户对交易行为负责。对于医疗器械类产品,请先查证核实企业经营资质和医疗器械产品注册证情况。
文献和实验Phenylalanine Hydroxylase, Tyrosine Hydroxylase, and Tryptophan Hydroxylase
There are four enzymes that utilize reduced pteridine as an electron donor and incorporate one atom of oxygen into their substrates. They are phenylalanine 4-monooxygenase (phenylalanine hydroxylase, PAH, EC 1.14.16.l), tyrosine 3-monooxygenase
Quantification of Tyrosine Hydroxylase mRNA
The main biochemical characteristic of Parkinson’s disease (PD) is reduction of the neurotransmitter dopamine and the dopamine-synthesizing enzyme system, including tyrosine hydroxylase (TH, tyrosine 3-monooxygenase, EC 1.14.16.2
Proteomic Method for Identification of Tyrosine-Nitrated Proteins
Biologic nitration of protein tyrosine (to form 3-nitrotyrosine) is a recently described phenomenon that is associated with many diseases. We have devised a proteomic methodology to identify these modified proteins. This utilizes protein
技术资料暂无技术资料 索取技术资料















