万千商家帮你免费找货
0 人在求购买到急需产品
- 详细信息
- 文献和实验
- 技术资料
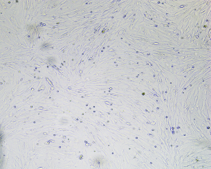
- 细胞类型:
原代细胞
- 供应商:
拓普生物
- 库存:
1×106个
- 英文名:
Primary rat hepatocytes
- 生长状态:
贴壁生长
- 运输方式:
干冰运输(1 Vial)或活细胞运输(T-25 flasks)
- 器官来源:
肝
- 是否是肿瘤细胞:
否
- 细胞形态:
上皮细胞样或梭形
- 物种来源:
大鼠
- 组织来源:
肝
产品简介
TopBiotech提供的原代大鼠肝细胞取自新鲜组织,按照标准操作流程分离培养。自主研发的原代大鼠肝细胞完全培养基(货号:TOPM0005)能提供细胞最佳的生长条件,降低杂细胞污染,保证不同批次间细胞质量的稳定。
同时,TopBiotech还建立了严格的细胞鉴定流程,所提供的原代细胞均需要细胞类型特异性标记物、细胞形态学等检测来保证细胞纯度;同时也需要经过微生物检测,保证不含有HIV、HBV、HCV、支原体、真菌及其它类型的细菌和病毒。
运输保存
采用干冰保存运输。 收到细胞时, 若干冰已经完全融化, 请立即将细胞复苏培养; 若尚
留有干冰, 请立即将细胞放入液氮中保存待用, 请按指定条件贮存细胞, 切不可将细胞置于
高温环境。
实验操作
一、 细胞复苏
1. 将水浴锅预热至 37℃。
2. 用 75%酒精擦拭紫外线照射 30min 的超净工作台台面。
3. 在超净工作台中按次序摆放消过毒的离心管、 吸管、 培养瓶等。
4. 迅速将冻存管投入到已经预热的水浴锅中迅速解冻, 并要不断的摇动, 使管中的液体迅
速融化, 时间控制在 1 分钟左右。
5. 融解好的细胞迅速放进离心机中, 2000r/min 或者 600g 离心 2min。
6. 用 4-5ml 完全培养基重悬细胞, 吹打制成单细胞悬液, 细胞浓度以 5×105/ml 为宜。
7. 将复苏好的细胞悬液分装入培养瓶内, 将培养瓶放入 37℃和 5%CO2 的培养箱内, 8-24
小时后换液继续培养, 换液时间由细胞生长情况而定。
二、 传代培养
1. 细胞吸除或倒掉原瓶中的旧培养基(以 25mL 培养瓶为例) 。
2. 每瓶加入 2mL, 无钙、 镁 PBS, 漂洗一次后倒掉。
3. 每瓶加入 1mL 消化液(0.25%胰蛋白酶或 0.02%EDTA 或混合液) , 轻轻摇动培养瓶, 经
消化液铺满所有细胞表面, 待细胞层略有松动, 肉眼可观察到“薄膜”现象时, 倒掉消化液,
再继续作用 2~3 分钟, 轻轻摇动, 细胞层可随残留的消化液呈片状从瓶壁上脱落下来, 在显
微镜下可发现细胞回缩变圆, 细胞间隙增大, 此时应立即终止消化。
4. 加入完全培养基 5mL, 用吸管反复吹打瓶壁上的细胞, 吹打时要按顺序进行, 以确保所
有瓶壁均吹打到, 吹打时动作要轻柔, 不要用力过大, 尽可能不要出现泡沫, 以避免细胞的
机械损伤。
5. 细胞用计数板计数, 计算细胞的浓度, 并用培养基调整适当的细胞浓度后再分瓶培养。
三、 细胞冻存
1. 配制含 10%DMSO 或甘油、 10~20%小牛血清的冻存培养液;
2. 取对数生长期的细胞, 去除旧培养液, 用 PBS 清洗。
3. 去除 PBS, 加入适量胰蛋白酶(覆盖培养皿表面) 把单层生长的细胞消化下来;
4. 离心 1000rpm, 5min;
5. 去除胰蛋白酶, 加入适量配制好的冻存培养液, 用吸管轻轻吹打使细胞均匀, 计数, 调
节冻存液中细胞的最终密度为 5×106/ml~1×107/ml;
6. 将细胞分装入冻存管中, 每管 1~1.5 ml;
7. 在冻存管上标明细胞的名称, 冻存时间及操作者;
8. 冻存: 标准的冻存程序为降温速率-1~-2℃/ min; 当温度达-25℃以下时, 可增至-5℃~
-10℃/min; 到-100℃时, 则可迅速浸入液氮中。 也可将装有细胞的冻存管放入-20℃冰箱 2h ,
然后放入-70℃冰箱中过夜, 取出冻存管, 移入液氮容器内。
四、 注意事项
1. 培养基于 4℃条件下可保存 3-6 个月。
2. 在细胞培养过程中, 请注意保持无菌操作。
3. 传代培养过程中, 胰酶消化时间不宜过长, 否则会影响细胞贴壁及其生长状态。
4. 建议客户收到细胞后前 3 天每个倍数各拍几张细胞照片, 记录细胞状态, 便于和
技术部沟通; 由于运输的原因, 个别敏感细胞会出现不稳定的情况, 请及时
和我们联系, 详尽告知细胞的具体情况, 以便我们的技术人员跟踪、 回访直至问
题得到解决。
5. 该细胞只可用于科研。
备注: 由于实验所用试剂、 操作环境及操作手法的不同, 以上方法仅供各实验室参考。
TopBiotech提供的原代大鼠肝细胞取自新鲜组织,按照标准操作流程分离培养。自主研发的原代大鼠肝细胞完全培养基(货号:TOPM0005)能提供细胞最佳的生长条件,降低杂细胞污染,保证不同批次间细胞质量的稳定。
同时,TopBiotech还建立了严格的细胞鉴定流程,所提供的原代细胞均需要细胞类型特异性标记物、细胞形态学等检测来保证细胞纯度;同时也需要经过微生物检测,保证不含有HIV、HBV、HCV、支原体、真菌及其它类型的细菌和病毒。
运输保存
采用干冰保存运输。 收到细胞时, 若干冰已经完全融化, 请立即将细胞复苏培养; 若尚
留有干冰, 请立即将细胞放入液氮中保存待用, 请按指定条件贮存细胞, 切不可将细胞置于
高温环境。
实验操作
一、 细胞复苏
1. 将水浴锅预热至 37℃。
2. 用 75%酒精擦拭紫外线照射 30min 的超净工作台台面。
3. 在超净工作台中按次序摆放消过毒的离心管、 吸管、 培养瓶等。
4. 迅速将冻存管投入到已经预热的水浴锅中迅速解冻, 并要不断的摇动, 使管中的液体迅
速融化, 时间控制在 1 分钟左右。
5. 融解好的细胞迅速放进离心机中, 2000r/min 或者 600g 离心 2min。
6. 用 4-5ml 完全培养基重悬细胞, 吹打制成单细胞悬液, 细胞浓度以 5×105/ml 为宜。
7. 将复苏好的细胞悬液分装入培养瓶内, 将培养瓶放入 37℃和 5%CO2 的培养箱内, 8-24
小时后换液继续培养, 换液时间由细胞生长情况而定。
二、 传代培养
1. 细胞吸除或倒掉原瓶中的旧培养基(以 25mL 培养瓶为例) 。
2. 每瓶加入 2mL, 无钙、 镁 PBS, 漂洗一次后倒掉。
3. 每瓶加入 1mL 消化液(0.25%胰蛋白酶或 0.02%EDTA 或混合液) , 轻轻摇动培养瓶, 经
消化液铺满所有细胞表面, 待细胞层略有松动, 肉眼可观察到“薄膜”现象时, 倒掉消化液,
再继续作用 2~3 分钟, 轻轻摇动, 细胞层可随残留的消化液呈片状从瓶壁上脱落下来, 在显
微镜下可发现细胞回缩变圆, 细胞间隙增大, 此时应立即终止消化。
4. 加入完全培养基 5mL, 用吸管反复吹打瓶壁上的细胞, 吹打时要按顺序进行, 以确保所
有瓶壁均吹打到, 吹打时动作要轻柔, 不要用力过大, 尽可能不要出现泡沫, 以避免细胞的
机械损伤。
5. 细胞用计数板计数, 计算细胞的浓度, 并用培养基调整适当的细胞浓度后再分瓶培养。
三、 细胞冻存
1. 配制含 10%DMSO 或甘油、 10~20%小牛血清的冻存培养液;
2. 取对数生长期的细胞, 去除旧培养液, 用 PBS 清洗。
3. 去除 PBS, 加入适量胰蛋白酶(覆盖培养皿表面) 把单层生长的细胞消化下来;
4. 离心 1000rpm, 5min;
5. 去除胰蛋白酶, 加入适量配制好的冻存培养液, 用吸管轻轻吹打使细胞均匀, 计数, 调
节冻存液中细胞的最终密度为 5×106/ml~1×107/ml;
6. 将细胞分装入冻存管中, 每管 1~1.5 ml;
7. 在冻存管上标明细胞的名称, 冻存时间及操作者;
8. 冻存: 标准的冻存程序为降温速率-1~-2℃/ min; 当温度达-25℃以下时, 可增至-5℃~
-10℃/min; 到-100℃时, 则可迅速浸入液氮中。 也可将装有细胞的冻存管放入-20℃冰箱 2h ,
然后放入-70℃冰箱中过夜, 取出冻存管, 移入液氮容器内。
四、 注意事项
1. 培养基于 4℃条件下可保存 3-6 个月。
2. 在细胞培养过程中, 请注意保持无菌操作。
3. 传代培养过程中, 胰酶消化时间不宜过长, 否则会影响细胞贴壁及其生长状态。
4. 建议客户收到细胞后前 3 天每个倍数各拍几张细胞照片, 记录细胞状态, 便于和
技术部沟通; 由于运输的原因, 个别敏感细胞会出现不稳定的情况, 请及时
和我们联系, 详尽告知细胞的具体情况, 以便我们的技术人员跟踪、 回访直至问
题得到解决。
5. 该细胞只可用于科研。
备注: 由于实验所用试剂、 操作环境及操作手法的不同, 以上方法仅供各实验室参考。
风险提示:丁香通仅作为第三方平台,为商家信息发布提供平台空间。用户咨询产品时请注意保护个人信息及财产安全,合理判断,谨慎选购商品,商家和用户对交易行为负责。对于医疗器械类产品,请先查证核实企业经营资质和医疗器械产品注册证情况。
文献和实验相关实验
实验研究是医学发展的基础,而围绕疾病所开展的基础研究是当今生物医学研究领域中的重要内容,运用细胞的体外实验和运用动物的体内实验是科研研究的2种重要手段,对广大的生物医学研究工作者来说,细胞实验和动物模型构建成为了科研路上非常重要的部分。中洪博元实验技术系列讲座,助力您科研道路一臂之力!
原代肝细胞 肝脏,是脊椎动物体内以代谢功能为主的器官,也是人的五脏之一。肝脏能促使一些有毒物质的改进,再排泄体外,从而起到解毒作用。它是人体内的一座 “化工厂”,是新陈代谢的重要器官。但同时,肝脏也十分脆弱,过度的酒精、药物带来的毒性也会对其造成不可逆的损伤。因此无论在疾病研究、药物研发,或是环境安全等的研究中,对肝脏进行研究都至关重要。 在这些研究中使用原代肝细胞,往往是最佳的选择。因为原代细胞离体时间短,保持了其在体内的生物学特性,更接近体内环境的研究模型。同时也无须
技术资料暂无技术资料 索取技术资料
原代大鼠肝细胞
¥3500







