相关产品推荐更多 >
万千商家帮你免费找货
0 人在求购买到急需产品
- 详细信息
- 文献和实验
- 技术资料
- 库存:
大量
- 英文名:
Easy-Load™ PCR Master Mix (Green, 2X)
- 保质期:
一年
- 供应商:
上海联迈生物工程有限公司
- 保存条件:
-20℃保存
- 规格:
100次
| 产品编号 | 产品名称 | 产品包装 | 产品价格 |
| LM7255-1ml | Easy-Load™ PCR Master Mix (Green, 2X) | 100次 | 33.00元 |
Easy-Load™ PCR Master Mix(Green, 2X)中已经含有所有的通用组分,用户只需自备引物、模板DNA和水即可进行PCR扩增。大大简化了PCR操作,使操作更加快捷,也减少了PCR操作过程中可能导致的污染,使PCR的重复性更好。
Easy-Load™ PCR Master Mix(Green, 2X)可以扩增出长达8kb的片段,但通常更适合用于扩增2kb以下的DNA片段。
本产品中加入了蓝色和橙色的电泳示踪染料(整体呈现绿色),其在浓度为1%琼脂糖胶中的迁移位置分别大约位于4kb和50bp处。PCR结束后可直接进行电泳检测,无需再添加上样缓冲液。蓝色和橙色示踪染料不会影响对相应DNA条带的观察和检测。
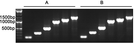
本产品稳定性高,经测试,反复冻融15次后对PCR的扩增效果无显著影响。反复冻融15次前后,使用不同引物扩增100-1500bp间不同长度目的片段的效果如图1所示。
图1. 本产品反复冻融15次前后扩增不同长度产物的效果图。A. 反复冻融前本产品进行PCR的扩增结果。B.反复冻融15次后的本产品进行PCR的扩增结果。除本产品是否反复冻融15次外,A和B的反应体系完全相同,电泳的上样量也相同。 每毫升Easy-Load™ PCR Master Mix若用于50微升的PCR反应体系,足够用于40个反应;若用于20微升的PCR反应体系,足够用于100个反应。
包装清单:
| 产品编号 | 产品名称 | 包装 |
| LM7255-1ml | Easy-Load™ PCR Master Mix (Green, 2X) | 1ml |
| LM7255-4ml | Easy-Load™ PCR Master Mix (Green, 2X) | 1ml×4 |
| LM7255-20ml | Easy-Load™ PCR Master Mix (Green, 2X) | 1ml×20 |
| LM7255-100ml | Easy-Load™ PCR Master Mix (Green, 2X) | 1ml×100 |
| — | 说明书 | 1份 |
-20℃保存至少一年有效。适当避免反复冻融。如需频繁使用,可取适量存放于4℃,至少3天内有效。
注意事项:
由于PCR反应非常灵敏,可使目的基因扩增超过1000万倍,在设置PCR反应时请注意避免微量待扩增DNA的污染,并尽量考虑设置不加模板的空白对照以确认是否有待扩增DNA的污染。
Taq DNA polymerase在PCR过程中每个循环的出错几率约为2.2×10-5,对于大于1kb的DNA片段的克隆推荐使用出错几率更低的DNA聚合酶,例如Pfu DNA polymerase、BeyoTaq DNA polymerase等。对于普通的PCR或RT-PCR进行定性或定量检测,Taq DNA polymerase是最佳选择。
尽管本产品经过15次反复冻融后仍具有和冻融前几乎相同的PCR扩增效果,但仍宜适当避免反复冻融本产品,多次反复冻融可能使产品性能下降。
使用本产品前,一定要完全融化,并上下颠倒轻轻混匀后才能使用,并尽量避免产生气泡。
本产品仅限于专业人员的科学研究用,不得用于临床诊断或治疗,不得用于食品或药品,不得存放于普通住宅内。
为了您的安全和健康,请穿实验服并戴一次性手套操作。
风险提示:丁香通仅作为第三方平台,为商家信息发布提供平台空间。用户咨询产品时请注意保护个人信息及财产安全,合理判断,谨慎选购商品,商家和用户对交易行为负责。对于医疗器械类产品,请先查证核实企业经营资质和医疗器械产品注册证情况。
文献和实验SYBR Green Quantitative PCR Protocol
12μl of master mix for each well, plus some excess1 Rxn: 10μl SYBR Green Mix 52 Rxn: 520μl SYBR 0.4μl Forward Primer (10μM stock) 20.8μl F
(BD Biosciences / Clontech). SYBR Green PCR master mix, 200 reactions (Applied Biosystems). Optical tube and cap strips (Applied Biosystems). SuperScript
-crack to help liberate the DNA. Check that the solution actually freezes. Overlay with a drop of mineral oil and incubate at 60°C for 60 minutes, followed by 95°C for 15 minutes. Cool to 4°C. Pipette 22.5 l of PCR master mix
技术资料暂无技术资料 索取技术资料










