相关产品推荐更多 >
万千商家帮你免费找货
0 人在求购买到急需产品
- 详细信息
- 询价记录
- 文献和实验
- 技术资料
- 免疫原:
KLH conjugated
- 亚型:
IgG
- 形态:
冻干粉
- 保存条件:
Store at -20 °C for one year
- 克隆性:
多克隆
- 标记物:
见说明书
- 适应物种:
见说明书
- 宿主:
Rabbit
- 应用范围:
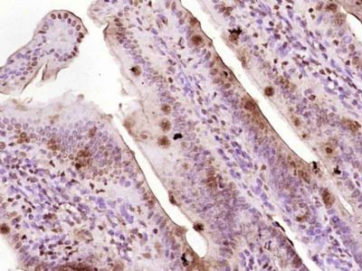
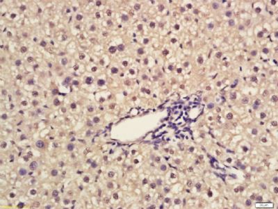
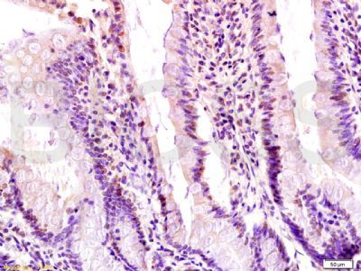
WB=1:500-2000 ELISA=1:500-1000 IHC-P=1:400-800 IHC-F=1:400-800 IF=1:100-500
- 浓度:
1mg/ml
- 靶点:
见说明书
- 抗体英文名:
TOE1
- 抗体名:
早期生长应答蛋白1靶向蛋白1免疫组化荧光抗体
- 规格:
100ul
中文名称早期生长应答蛋白1抗体
别 名Egr-1; Early growth response 1; Krox-24; Ngf1; Ngfi; NGFI-A; zif-268; Egr1; A530045N19Rik; egr; Egr-1; ETR103; Krox-1; Krox-24; Krox24; NGF1-A; NGFI-A; NGFIA; TIS8; Zenk; Zfp-6; AT 225; AT225; Early growth response protein 1; G0S 30; G0S30; KROX 24; Krox 24 protein; KROX24; TIS 8; TIS8; Transcription factor ETR 103; Transcription factor ETR103; Transcription factor Zif 268; Transcription factor Zif268; Zfp 6; ZIF268; Zinc finger protein 225; ZNF 225; ZNF225; EGR1_HUMAN.
规格价格50ul/780元 购买 100ul/1380元 购买 200ul/2200元 购买 大包装/询价
说 明 书50ul 100ul 200ul
研究领域细胞生物 免疫学 信号转导 生长因子和激素 细胞周期蛋白 转录调节因子
抗体来源Rabbit
克隆类型Polyclonal
交叉反应 Human, Mouse, Rat,
产品应用WB=1:500-2000 ELISA=1:500-1000 IHC-P=1:400-800 IHC-F=1:400-800 IF=1:100-500 (石蜡切片需做抗原修复)
not yet tested in other applications.
optimal dilutions/concentrations should be determined by the end user.
分 子 量60kDa
细胞定位细胞核
性 状Lyophilized or Liquid
浓 度1mg/ml
免 疫 原KLH conjugated synthetic peptide derived from human Egr-1 (401-500aa):401-500/453
亚 型IgG
纯化方法affinity purified by Protein A
储 存 液0.01M TBS(pH7.4) with 1% BSA, 0.03% Proclin300 and 50% Glycerol.
保存条件Store at -20 °C for one year. Avoid repeated freeze/thaw cycles. The lyophilized antibody is stable at room temperature for at least one month and for greater than a year when kept at -20°C. When reconstituted in sterile pH 7.4 0.01M PBS or diluent of antibody the antibody is stable for at least two weeks at 2-4 °C.
PubMedPubMed
产品介绍background:
The protein encoded by this gene belongs to the EGR family of C2H2-type zinc-finger proteins. It is a nuclear protein and functions as a transcriptional regulator. The products of target genes it activates are required for differentitation and mitogenesis. Studies suggest this is a cancer suppresor gene. [provided by RefSeq].
Function:
Transcriptional regulator. Recognizes and binds to the DNA sequence 5'-CGCCCCCGC-3'(EGR-site). Activates the transcription of target genes whose products are required for mitogenesis and differentiation.
Subcellular Location:
Nucleus.
Similarity:
Belongs to the EGR C2H2-type zinc-finger protein family.
Contains 3 C2H2-type zinc fingers.
SWISS:
P18146
Gene ID:
1958
Database links:
Entrez Gene: 1958 Human
Entrez Gene: 13653 Mouse
Omim: 128990 Human
SwissProt: P18146 Human
SwissProt: P08046 Mouse
Unigene: 326035 Human
Unigene: 708393 Human
Unigene: 181959 Mouse
Important Note:
This product as supplied is intended for research use only, not for use in human, therapeutic or diagnostic applications.
Egr-1为即刻早期基因家族中的一个成员,是一种含3个锌指结构的转录因子。有研究表明EGR-1在细胞生长分化中发挥重要作用,如在细胞周期G1-S期的转换过程中Egr-1被诱导表达。
风险提示:丁香通仅作为第三方平台,为商家信息发布提供平台空间。用户咨询产品时请注意保护个人信息及财产安全,合理判断,谨慎选购商品,商家和用户对交易行为负责。对于医疗器械类产品,请先查证核实企业经营资质和医疗器械产品注册证情况。
- 作者
- 内容
- 询问日期
文献和实验Cell Reports:浙大蒋晞课题组发文揭示阿片受体激动剂调控白血病表观遗传学修饰的新机制
拷贝数异常等,已无法完全解释 AML 复杂的病理表现和预后;而表观遗传学调控则是在遗传学基础上的进一步精细调整。蒋晞研究团队近年的研究发现,这类微调往往能在白血病的发生发展、药物反应等方面起到决定性作用[2-6]。因此,进一步研究表观遗传学调控在白血病中的作用机制,以及开发干预表观遗传调控的治疗白血病的新途径具有重要意义。 TET (Ten-eleven translocation) 家族蛋白 TET1/2/3 可介导 DNA 发生 5-羟甲基胞嘧啶 (5-hydroxymethylcytosine
Nat Biotechnol:调控蛋白质稳态,建立蛋白降解靶向减毒疫苗新策略
机器「泛素-蛋白酶体系统」为 PROTAC 病毒疫苗的设计提供了关键生物学基础。近年来,基于泛素-蛋白酶体系统的 PROTAC 蛋白质靶向降解技术,已经被成功地用于开发基于化学小分子的蛋白降解剂,并成为国际科学研究热点(Nat Biotechnol 40, 12-16 (2022);Nat Rev Drug Discov 21, 181-200 (2022)),即研究人员设计出一种具有两个活性端的小分子化合物,一个活性端可以与需要降解的靶蛋白相结合,而另一个活性端可以与特定的 E3 泛素连接
1.质谱定义 代谢组学就是研究生命体中所有代谢产物(小分子化合物)变化规律的科学,通过比较不同实验组之间代谢物的系统性差异来研究生命现象,并揭示其内在规律。在 DNA-RNA-蛋白质-代谢物这一中心法则框架内,代谢组学处于生命动态系统最下游,最接近于表型,它不仅是表型的描述性指标,还可以通过调节基因组、转录组、蛋白组等多组学来影响机体的生理功能。近年来,代谢组学发展迅猛,研究成果备受顶级期刊青睐。 说到这里,您一定想了解代谢组学最早期的发展历史吧~~ 2.发展历史 1970 年
技术资料暂无技术资料 索取技术资料














