万千商家帮你免费找货
0 人在求购买到急需产品
- 详细信息
- 技术资料
- 免疫原:
KLH conjugated
- 亚型:
IgG
- 形态:
冻干粉
- 保存条件:
Store at -20 °C for one year
- 克隆性:
Polyclonal
- 标记物:
见说明书
- 适应物种:
见说明书
- 宿主:
Rabbit
- 应用范围:
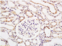
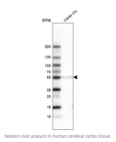
WB=1:500-2000 ELISA=1:500-1000 IHC-P=1:400-800 IHC-F=1:400-800 IF=1:100-500
- 浓度:
1mg/ml
- 靶点:
见说明书
- 抗体英文名:
Annexin A8
- 抗体名:
膜粘连蛋白8免疫组化荧光抗体
- 规格:
100ul
产品名称:脂滴包被蛋白A+B免疫组化荧光抗体
重要说明:本产品只供研究用途,不作人类治疗或诊断用途。
规格价格:100ul/1380元 200ul/2200元 (大包装来电询价)
浓 度:1mg/ml
研究领域:肿瘤,心血管, 细胞生物,免疫学,发育生物学,染色质和核信号,微生物学,细胞凋亡,信号转导,干细胞,神经生物学,生长因子和激素,糖尿病,内分泌病,转运蛋白,植物,细菌及病毒, 转录调节因子 (具体见说明书)
抗体来源:Rabbit
克隆类型:Polyclonal
交叉反应:见说明
产品应用:WB=1:500-2000 ELISA=1:500-1000 IHC-P=1:400-800 IHC-F=1:400-800 ICC=1:100-500 IF=1:100-500 (石蜡切片需做抗原修复)
not yet tested in other applications.
optimal dilutions/concentrations should be determined by the end user.
脂滴包被蛋白A+B免疫组化荧光抗体
性 状:Lyophilized or Liquid
免 疫 原:KLH conjugated synthetic peptide derived from
亚 型:IgG
纯化方法:affinity purified by Protein A
储 存 液:0.01M TBS(pH7.4) with 1% BSA, 0.03% Proclin300 and 50% Glycerol.
保存条件:Store at -20 °C for one year.
脂滴包被蛋白A+B免疫组化荧光抗体,上海彩佑实业有限公司生产和代理的抗体和全国几十家高校、科研院所、制药公司、生物公司建立了长期的免疫技术服务,已成功完成数百个技术服务委托。
完善的服务流程,严格的质量管理体系,以确保每个项目高质量、高标准的按期完成。为科学家们提供最优质的、全方位的服务。
服务宗旨:高品质的标记原料采购,规范的标记操作流程,严格的标记产品质控,合理的市场价格定位。
服务目标:以国际高标准的标记服务水平,提供高品质的标记抗体产品,助力科研人员轻松科研。
脂滴包被蛋白A+B免疫组化荧光抗体,我公司可以按客户要求标记抗体,服务流程如下:
1. 客户提交委托标记请求并明确标记要求,与公司商定具体的实验项目、数量和费用,双方签订《委托标记制备合同》。
2. 客户提供待标记样品,我公司按照合同要求安排标记服务,并在规定时间内完成标记委托。
3. 标记完成后,我公司按照客户要求分装,免费低温邮寄给客户,同时提供标记报告。
样品要求:
1. 待标记样品需保证90%以上的纯度,样品中不含有干扰标记物结合的成分,如有特殊成分,请提前标注说明。
2. 待标记样品最小标记量为1mg,最好是干粉,如果是液体,浓度应大于1mg/ml。
3. 抗体IgG样品中应不含BSA、叠氮钠、甘氨酸等成分。
4. 大分子蛋白应提供分子量、等电点、缓冲液成分及pH等信息;小分子多肽需提供氨基酸序列;小分子化合物还需提供分子结构式。
5. 请提前说明任何特殊情况
订购方式:
1、确认产品后可直接和我们在线联系,或者是电话联系,确认您购买的产品。
2、可以把您需要购买的产品确认好以邮件的形式发给我们,这样您会在24小时内收到我们给您回复确认的邮件,或者是电话。
确认产品:
通过和我们在线客服联系,或者邮件或传真方式确认产品,以便于准确定购。
邮寄产品:
1,现货,一般当天定购,隔天由仓库统一出货。
2,期货,出货前由专人通知,仓库备货,依其产品性能,路途等选择进行包装邮寄客户如有特别要求,可与销售人员提前沟通。
欢迎新老客户咨询订购:脂滴包被蛋白A+B免疫组化荧光抗体
重要说明:本产品只供研究用途,不作人类治疗或诊断用途。
规格价格:100ul/1380元 200ul/2200元 (大包装来电询价)
浓 度:1mg/ml
研究领域:肿瘤,心血管, 细胞生物,免疫学,发育生物学,染色质和核信号,微生物学,细胞凋亡,信号转导,干细胞,神经生物学,生长因子和激素,糖尿病,内分泌病,转运蛋白,植物,细菌及病毒, 转录调节因子 (具体见说明书)
抗体来源:Rabbit
克隆类型:Polyclonal
交叉反应:见说明
产品应用:WB=1:500-2000 ELISA=1:500-1000 IHC-P=1:400-800 IHC-F=1:400-800 ICC=1:100-500 IF=1:100-500 (石蜡切片需做抗原修复)
not yet tested in other applications.
optimal dilutions/concentrations should be determined by the end user.
脂滴包被蛋白A+B免疫组化荧光抗体
性 状:Lyophilized or Liquid
免 疫 原:KLH conjugated synthetic peptide derived from
亚 型:IgG
纯化方法:affinity purified by Protein A
储 存 液:0.01M TBS(pH7.4) with 1% BSA, 0.03% Proclin300 and 50% Glycerol.
保存条件:Store at -20 °C for one year.
脂滴包被蛋白A+B免疫组化荧光抗体,上海彩佑实业有限公司生产和代理的抗体和全国几十家高校、科研院所、制药公司、生物公司建立了长期的免疫技术服务,已成功完成数百个技术服务委托。
完善的服务流程,严格的质量管理体系,以确保每个项目高质量、高标准的按期完成。为科学家们提供最优质的、全方位的服务。
服务宗旨:高品质的标记原料采购,规范的标记操作流程,严格的标记产品质控,合理的市场价格定位。
服务目标:以国际高标准的标记服务水平,提供高品质的标记抗体产品,助力科研人员轻松科研。
脂滴包被蛋白A+B免疫组化荧光抗体,我公司可以按客户要求标记抗体,服务流程如下:
1. 客户提交委托标记请求并明确标记要求,与公司商定具体的实验项目、数量和费用,双方签订《委托标记制备合同》。
2. 客户提供待标记样品,我公司按照合同要求安排标记服务,并在规定时间内完成标记委托。
3. 标记完成后,我公司按照客户要求分装,免费低温邮寄给客户,同时提供标记报告。
样品要求:
1. 待标记样品需保证90%以上的纯度,样品中不含有干扰标记物结合的成分,如有特殊成分,请提前标注说明。
2. 待标记样品最小标记量为1mg,最好是干粉,如果是液体,浓度应大于1mg/ml。
3. 抗体IgG样品中应不含BSA、叠氮钠、甘氨酸等成分。
4. 大分子蛋白应提供分子量、等电点、缓冲液成分及pH等信息;小分子多肽需提供氨基酸序列;小分子化合物还需提供分子结构式。
5. 请提前说明任何特殊情况
订购方式:
1、确认产品后可直接和我们在线联系,或者是电话联系,确认您购买的产品。
2、可以把您需要购买的产品确认好以邮件的形式发给我们,这样您会在24小时内收到我们给您回复确认的邮件,或者是电话。
确认产品:
通过和我们在线客服联系,或者邮件或传真方式确认产品,以便于准确定购。
邮寄产品:
1,现货,一般当天定购,隔天由仓库统一出货。
2,期货,出货前由专人通知,仓库备货,依其产品性能,路途等选择进行包装邮寄客户如有特别要求,可与销售人员提前沟通。
欢迎新老客户咨询订购:脂滴包被蛋白A+B免疫组化荧光抗体
风险提示:丁香通仅作为第三方平台,为商家信息发布提供平台空间。用户咨询产品时请注意保护个人信息及财产安全,合理判断,谨慎选购商品,商家和用户对交易行为负责。对于医疗器械类产品,请先查证核实企业经营资质和医疗器械产品注册证情况。
技术资料暂无技术资料 索取技术资料
膜粘连蛋白8免疫组化荧光抗体
¥1380









