万千商家帮你免费找货
0 人在求购买到急需产品
- 详细信息
- 技术资料
- 免疫原:
KLH conjugated
- 亚型:
IgG
- 形态:
冻干粉
- 保存条件:
Store at -20 °C for one year
- 克隆性:
多克隆
- 标记物:
见说明书
- 适应物种:
见说明书
- 宿主:
Rabbit
- 应用范围:
WB=1:500-2000 ELISA=1:500-1000 IHC-P=1:400-800 IHC-F=1:400-800 IF=1:100-500
- 浓度:
1mg/ml
- 靶点:
见说明书
- 抗体英文名:
Dopamine Receptor D1
- 抗体名:
多巴胺受体D1免疫组化荧光抗体
- 规格:
100ul
英文名称Dopamine Receptor D1
中文名称多巴胺受体D1抗体
别 名DRD1; dopamine D1 receptor; D(1A) dopamine receptor; D1A dopamine receptor; Dopamine D1Receptors; D1DR; DADR; Dopamine Receptor D1; DR D1; DR D1A; DRD 1; DRD1 receptor; DRD1; DRD1A; DRD1_HUMAN; D(1A) dopamine receptor; DRD 1A; DRD1.
文献引用
规格50ul 100ul 200ul
研究领域肿瘤 免疫学 神经生物学
抗体来源Rabbit
克隆类型Polyclonal
交叉反应 Human, Mouse, Rat,
产品应用WB=1:500-2000 ELISA=1:500-1000 IHC-P=1:400-800 IHC-F=1:400-800 Flow-Cyt=1μg/Test ICC=1:100-500 IF=1:100-500 (石蜡切片需做抗原修复)
not yet tested in other applications.
optimal dilutions/concentrations should be determined by the end user.
分 子 量50kDa
细胞定位细胞浆 细胞膜
性 状Lyophilized or Liquid
浓 度1mg/ml
免 疫 原KLH conjugated synthetic peptide derived from human DRD1:101-200/446 <Extracellular>
亚 型IgG
纯化方法affinity purified by Protein A
储 存 液0.01M TBS(pH7.4) with 1% BSA, 0.03% Proclin300 and 50% Glycerol.
保存条件Store at -20 °C for one year. Avoid repeated freeze/thaw cycles. The lyophilized antibody is stable at room temperature for at least one month and for greater than a year when kept at -20°C. When reconstituted in sterile pH 7.4 0.01M PBS or diluent of antibody the antibody is stable for at least two weeks at 2-4 °C.
PubMedPubMed
产品介绍background:
This gene encodes the D1 subtype of the dopamine receptor. The D1 subtype is the most abundant dopamine receptor in the central nervous system. This G-protein coupled receptor stimulates adenylyl cyclase and activates cyclic AMP-dependent protein kinases. D1 receptors regulate neuronal growth and development, mediate some behavioral responses, and modulate dopamine receptor D2-mediated events. Alternate transcription initiation sites result in two transcript variants of this gene. [provided by RefSeq, Jul 2008]
Function:
Dopamine receptor whose activity is mediated by G proteins which activate adenylyl cyclase.
Subunit:
Interacts with DNAJC14 via its C-terminus. Interacts with DRD1IP.
Subcellular Location:
Cell membrane; Multi-pass membrane protein. Endoplasmic reticulum membrane; Multi-pass membrane protein.
Tissue Specificity:
Detected in caudate, nucleus accumbens and in the olfactory tubercle.
Similarity:
Belongs to the G-protein coupled receptor 1 family.
SWISS:
P21728
Gene ID:
1812
Database links:
Entrez Gene: 1812 Human
Entrez Gene: 13488 Mouse
Entrez Gene: 24316 Rat
Omim: 126449 Human
SwissProt: P21728 Human
SwissProt: Q61616 Mouse
SwissProt: P18901 Rat
Unigene: 2624 Human
Unigene: 54161 Mouse
Unigene: 24039 Rat
Important Note:
This product as supplied is intended for research use only, not for use in human, therapeutic or diagnostic applications.
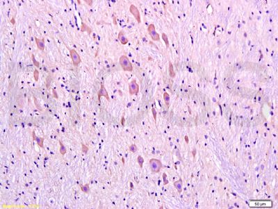
多巴胺受体D1在运动协调方面起重要作用,该受体的缺失对黑质多巴胺能神经元的影响程度虽没临床帕金森病(PD)严重,但仍可加速多巴胺能神经元发生退行性改变.该蛋白目前主要用于神经退行性改变的研究。
中文名称多巴胺受体D1抗体
别 名DRD1; dopamine D1 receptor; D(1A) dopamine receptor; D1A dopamine receptor; Dopamine D1Receptors; D1DR; DADR; Dopamine Receptor D1; DR D1; DR D1A; DRD 1; DRD1 receptor; DRD1; DRD1A; DRD1_HUMAN; D(1A) dopamine receptor; DRD 1A; DRD1.
文献引用
规格50ul 100ul 200ul
研究领域肿瘤 免疫学 神经生物学
抗体来源Rabbit
克隆类型Polyclonal
交叉反应 Human, Mouse, Rat,
产品应用WB=1:500-2000 ELISA=1:500-1000 IHC-P=1:400-800 IHC-F=1:400-800 Flow-Cyt=1μg/Test ICC=1:100-500 IF=1:100-500 (石蜡切片需做抗原修复)
not yet tested in other applications.
optimal dilutions/concentrations should be determined by the end user.
分 子 量50kDa
细胞定位细胞浆 细胞膜
性 状Lyophilized or Liquid
浓 度1mg/ml
免 疫 原KLH conjugated synthetic peptide derived from human DRD1:101-200/446 <Extracellular>
亚 型IgG
纯化方法affinity purified by Protein A
储 存 液0.01M TBS(pH7.4) with 1% BSA, 0.03% Proclin300 and 50% Glycerol.
保存条件Store at -20 °C for one year. Avoid repeated freeze/thaw cycles. The lyophilized antibody is stable at room temperature for at least one month and for greater than a year when kept at -20°C. When reconstituted in sterile pH 7.4 0.01M PBS or diluent of antibody the antibody is stable for at least two weeks at 2-4 °C.
PubMedPubMed
产品介绍background:
This gene encodes the D1 subtype of the dopamine receptor. The D1 subtype is the most abundant dopamine receptor in the central nervous system. This G-protein coupled receptor stimulates adenylyl cyclase and activates cyclic AMP-dependent protein kinases. D1 receptors regulate neuronal growth and development, mediate some behavioral responses, and modulate dopamine receptor D2-mediated events. Alternate transcription initiation sites result in two transcript variants of this gene. [provided by RefSeq, Jul 2008]
Function:
Dopamine receptor whose activity is mediated by G proteins which activate adenylyl cyclase.
Subunit:
Interacts with DNAJC14 via its C-terminus. Interacts with DRD1IP.
Subcellular Location:
Cell membrane; Multi-pass membrane protein. Endoplasmic reticulum membrane; Multi-pass membrane protein.
Tissue Specificity:
Detected in caudate, nucleus accumbens and in the olfactory tubercle.
Similarity:
Belongs to the G-protein coupled receptor 1 family.
SWISS:
P21728
Gene ID:
1812
Database links:
Entrez Gene: 1812 Human
Entrez Gene: 13488 Mouse
Entrez Gene: 24316 Rat
Omim: 126449 Human
SwissProt: P21728 Human
SwissProt: Q61616 Mouse
SwissProt: P18901 Rat
Unigene: 2624 Human
Unigene: 54161 Mouse
Unigene: 24039 Rat
Important Note:
This product as supplied is intended for research use only, not for use in human, therapeutic or diagnostic applications.
多巴胺受体D1在运动协调方面起重要作用,该受体的缺失对黑质多巴胺能神经元的影响程度虽没临床帕金森病(PD)严重,但仍可加速多巴胺能神经元发生退行性改变.该蛋白目前主要用于神经退行性改变的研究。
风险提示:丁香通仅作为第三方平台,为商家信息发布提供平台空间。用户咨询产品时请注意保护个人信息及财产安全,合理判断,谨慎选购商品,商家和用户对交易行为负责。对于医疗器械类产品,请先查证核实企业经营资质和医疗器械产品注册证情况。
Dopamine Receptor D1多巴胺受体D1抗体
¥1380















