相关产品推荐更多 >
万千商家帮你免费找货
0 人在求购买到急需产品
- 详细信息
- 技术资料
- 免疫原:
KLH conjugated
- 亚型:
IgG
- 形态:
冻干粉
- 保存条件:
负20°保存
- 克隆性:
Polyclonal
- 标记物:
详情请来电索取说明书
- 适应物种:
详情请来电索取说明书
- 宿主:
Rabbit
- 应用范围:
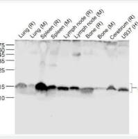
WB=1:500-2000 ELISA=1:500-1000 IHC-P=1:400-800 IHC-F=1:400-800 IF=1:100-500
- 浓度:
1mg/ml
- 靶点:
详情请来电索取说明书
- 抗体英文名:
Thrap3
- 抗体名:
甲状腺激素受体相关蛋白3抗体
- 规格:
100ul
甲状腺激素受体相关蛋白3免疫荧光抗体,
产品规格:100ul 200ul(如需其他包装请咨询客服)
性 状:Lyophilized or Liquid等
研究领域:肿瘤,心血管, 细胞生物,免疫学,发育生物学,染色质和核信号,微生物学,细胞凋亡,信号转导,干细胞,神经生物学,生长因子和激素,糖尿病,内分泌病,转运蛋白,植物,细菌及病毒, 转录调节因子,海洋生物,上皮细胞, 趋化因子, 结合蛋白 ,细胞表面分子 ,G蛋白偶联受体, 胶原蛋白,糖蛋白,交换白细胞分化,血管内皮细胞.细胞类型标志物,内皮细胞淋巴细胞,T-淋巴细胞,B-淋巴细胞细胞粘附分子,肿瘤细胞生物标志物,骨髓细胞细胞,骨架跨膜蛋白细胞因子,自然杀伤细胞,树突状细胞标志物,脂蛋白,新陈代谢,锌指蛋白,通道蛋白,细胞周期蛋白,激酶和磷酸酶,昆虫,线粒体,环指蛋白,细胞自噬,细胞膜受体,药物及化合物,泛素 ,干扰素,G蛋白信号,细胞膜蛋白,Alzheimer's 表观遗传学,细胞外基质,合成与降解
甲状腺激素受体相关蛋白3免疫荧光抗体,特异性高,产品稳定性好,订购可以在1~3个工作日内发货,也可定制标记所需荧光产品并7个工作日内发货。
纯化方法:affinity purified by Protein A
交叉反应:Human, Mouse, Rat, Chicken, Dog, Pig, Cow, Rabbit, Sheep, Bee, Fish, Guinea Pig, Hamster, Goat, Cat, mt,op
酶标抗体效价测定程序
各种HRP酶标记成抗体的效价测定程序如下(如:羊抗鼠IgG-HRP的效价测定):
1、抗原包板:15ug/ml 小鼠IgG-pH9.6·CB液 0.1ml/孔;
2、37°C包被60min或4°C过夜;
3、PBST洗板3次,5min/次;
4、加入倍比稀释的HRP标记抗体 0.1ml/孔;
5、37°C 30min;
6、PBST洗板5min/次×3;
7、底物液0.1ml/孔 37°C 5-10min;
8、终止液:2N H2SO4 0.05ml/孔;
9、450nm 测定OD值;
10、阳性OD值比对照值大3倍,为判断效价稀释度。
甲状腺激素受体相关蛋白3免疫荧光抗体,部分相关产品如下:
小鼠促红细胞生长素(EPO)Elisa试剂盒
小鼠促甲状腺激素释放激素(TRH)Elisa试剂盒
小鼠单核细胞趋化蛋白2(MCP-2CCL8)Elisa试剂盒
小鼠蛋白酪氨酸磷酸酶(IA-2)Elisa试剂盒
小鼠蛋白酪氨酸磷酸酶抗体(IA-2A)Elisa试剂盒
小鼠分泌型免疫球蛋白G(SIgG)Elisa试剂盒
小鼠肝素结合性表皮生长因子(HB-EGF)Elisa试剂盒
小鼠干细胞生长因子(SCF)Elisa试剂盒
小鼠弓形虫(Tox)Elisa试剂盒定性
小鼠谷氨酸脱羧酶自身抗体(GADA)Elisa试剂盒
小鼠骨钙素骨谷氨酸蛋白(OTBGP)Elisa试剂盒
小鼠骨源性碱性磷酸酶(BALP)Elisa试剂盒
小鼠猴痘病毒抗体(MonkeypoxV)Elisa试剂盒
小鼠肌钙蛋白(Tn)Elisa试剂盒
小鼠基质金属蛋白酶2(MMP-2)Elisa试剂盒
小鼠基质金属蛋白酶9(MMP-9)Elisa试剂盒
小鼠基质金属蛋白酶抑制剂2(TIMP-2)Elisa试剂盒
小鼠甲胎蛋白(AFP)Elisa试剂盒
小鼠抗髓鞘少突胶质细胞糖蛋白抗体(MOG-Ab)Elisa试剂盒
小鼠可溶性凝集素样氧化低密度脂蛋白受体1(sLOX-1)Elisa试剂盒
小鼠狂犬病毒抗体(RV)Elisa试剂盒
小鼠蓝耳病抗体(PRRS-Ab)Elisa试剂盒
小鼠立克次体抗体(rickettsiosis)Elisa试剂盒
小鼠淋巴细胞趋化因子(LptnLTNXCL1)Elisa试剂盒
小鼠磷酸烯醇式丙酮酸羧激酶(PEPCK)Elisa试剂盒
上海雅吉生物科技有限公司生产的抗体已于几十家高校、科研院所、制药公司、生物公司建立了长期的免疫技术服务,已成功完成数百个技术服务委托。完善的服务流程,严格的质量管理体系,以确保每个项目高质量、高标准的按期完成。为科学家们提供最优质的、全方位的服务:甲状腺激素受体相关蛋白3免疫荧光抗体。
服务宗旨:高品质的标记原料采购,规范的标记操作流程,严格的标记产品质控,合理的市场价格定位。
服务目标:以国际高标准的标记服务水平,提供高品质的标记抗体产品,助力科研人员轻松科研。
服务流程
1. 客户提交委托标记请求并明确标记要求,与公司商定具体的实验项目、数量和费用,双方签订《委托标记制备合同》。
2. 客户提供待标记样品,我公司按照合同要求安排标记服务,并在规定时间内完成标记委托。
3. 标记完成后,我公司按照客户要求分装,免费低温邮寄给客户,同时提供标记报告。
样品要求:
1. 待标记样品需保证90%以上的纯度,样品中不含有干扰标记物结合的成分,如有特殊成分,请提前标注说明。
2. 待标记样品最小标记量为1mg,最好是干粉,如果是液体,浓度应大于1mg/ml。
3. 抗体IgG样品中应不含BSA、叠氮钠、甘氨酸等成分。
4. 大分子蛋白应提供分子量、等电点、缓冲液成分及pH等信息;小分子多肽需提供氨基酸序列;小分子化合物还需提供分子结构式。
5. 请提前说明任何特殊情况
重要说明:
本产品只供研究用途,不作人类、治疗或诊断用途。产品检测结果仅供临床参考不作为临床诊治的唯一依据。
欢迎新老客户来电咨询:甲状腺激素受体相关蛋白3免疫荧光抗体
产品规格:100ul 200ul(如需其他包装请咨询客服)
性 状:Lyophilized or Liquid等
研究领域:肿瘤,心血管, 细胞生物,免疫学,发育生物学,染色质和核信号,微生物学,细胞凋亡,信号转导,干细胞,神经生物学,生长因子和激素,糖尿病,内分泌病,转运蛋白,植物,细菌及病毒, 转录调节因子,海洋生物,上皮细胞, 趋化因子, 结合蛋白 ,细胞表面分子 ,G蛋白偶联受体, 胶原蛋白,糖蛋白,交换白细胞分化,血管内皮细胞.细胞类型标志物,内皮细胞淋巴细胞,T-淋巴细胞,B-淋巴细胞细胞粘附分子,肿瘤细胞生物标志物,骨髓细胞细胞,骨架跨膜蛋白细胞因子,自然杀伤细胞,树突状细胞标志物,脂蛋白,新陈代谢,锌指蛋白,通道蛋白,细胞周期蛋白,激酶和磷酸酶,昆虫,线粒体,环指蛋白,细胞自噬,细胞膜受体,药物及化合物,泛素 ,干扰素,G蛋白信号,细胞膜蛋白,Alzheimer's 表观遗传学,细胞外基质,合成与降解
甲状腺激素受体相关蛋白3免疫荧光抗体,特异性高,产品稳定性好,订购可以在1~3个工作日内发货,也可定制标记所需荧光产品并7个工作日内发货。
纯化方法:affinity purified by Protein A
交叉反应:Human, Mouse, Rat, Chicken, Dog, Pig, Cow, Rabbit, Sheep, Bee, Fish, Guinea Pig, Hamster, Goat, Cat, mt,op
酶标抗体效价测定程序
各种HRP酶标记成抗体的效价测定程序如下(如:羊抗鼠IgG-HRP的效价测定):
1、抗原包板:15ug/ml 小鼠IgG-pH9.6·CB液 0.1ml/孔;
2、37°C包被60min或4°C过夜;
3、PBST洗板3次,5min/次;
4、加入倍比稀释的HRP标记抗体 0.1ml/孔;
5、37°C 30min;
6、PBST洗板5min/次×3;
7、底物液0.1ml/孔 37°C 5-10min;
8、终止液:2N H2SO4 0.05ml/孔;
9、450nm 测定OD值;
10、阳性OD值比对照值大3倍,为判断效价稀释度。
甲状腺激素受体相关蛋白3免疫荧光抗体,部分相关产品如下:
小鼠促红细胞生长素(EPO)Elisa试剂盒
小鼠促甲状腺激素释放激素(TRH)Elisa试剂盒
小鼠单核细胞趋化蛋白2(MCP-2CCL8)Elisa试剂盒
小鼠蛋白酪氨酸磷酸酶(IA-2)Elisa试剂盒
小鼠蛋白酪氨酸磷酸酶抗体(IA-2A)Elisa试剂盒
小鼠分泌型免疫球蛋白G(SIgG)Elisa试剂盒
小鼠肝素结合性表皮生长因子(HB-EGF)Elisa试剂盒
小鼠干细胞生长因子(SCF)Elisa试剂盒
小鼠弓形虫(Tox)Elisa试剂盒定性
小鼠谷氨酸脱羧酶自身抗体(GADA)Elisa试剂盒
小鼠骨钙素骨谷氨酸蛋白(OTBGP)Elisa试剂盒
小鼠骨源性碱性磷酸酶(BALP)Elisa试剂盒
小鼠猴痘病毒抗体(MonkeypoxV)Elisa试剂盒
小鼠肌钙蛋白(Tn)Elisa试剂盒
小鼠基质金属蛋白酶2(MMP-2)Elisa试剂盒
小鼠基质金属蛋白酶9(MMP-9)Elisa试剂盒
小鼠基质金属蛋白酶抑制剂2(TIMP-2)Elisa试剂盒
小鼠甲胎蛋白(AFP)Elisa试剂盒
小鼠抗髓鞘少突胶质细胞糖蛋白抗体(MOG-Ab)Elisa试剂盒
小鼠可溶性凝集素样氧化低密度脂蛋白受体1(sLOX-1)Elisa试剂盒
小鼠狂犬病毒抗体(RV)Elisa试剂盒
小鼠蓝耳病抗体(PRRS-Ab)Elisa试剂盒
小鼠立克次体抗体(rickettsiosis)Elisa试剂盒
小鼠淋巴细胞趋化因子(LptnLTNXCL1)Elisa试剂盒
小鼠磷酸烯醇式丙酮酸羧激酶(PEPCK)Elisa试剂盒
上海雅吉生物科技有限公司生产的抗体已于几十家高校、科研院所、制药公司、生物公司建立了长期的免疫技术服务,已成功完成数百个技术服务委托。完善的服务流程,严格的质量管理体系,以确保每个项目高质量、高标准的按期完成。为科学家们提供最优质的、全方位的服务:甲状腺激素受体相关蛋白3免疫荧光抗体。
服务宗旨:高品质的标记原料采购,规范的标记操作流程,严格的标记产品质控,合理的市场价格定位。
服务目标:以国际高标准的标记服务水平,提供高品质的标记抗体产品,助力科研人员轻松科研。
服务流程
1. 客户提交委托标记请求并明确标记要求,与公司商定具体的实验项目、数量和费用,双方签订《委托标记制备合同》。
2. 客户提供待标记样品,我公司按照合同要求安排标记服务,并在规定时间内完成标记委托。
3. 标记完成后,我公司按照客户要求分装,免费低温邮寄给客户,同时提供标记报告。
样品要求:
1. 待标记样品需保证90%以上的纯度,样品中不含有干扰标记物结合的成分,如有特殊成分,请提前标注说明。
2. 待标记样品最小标记量为1mg,最好是干粉,如果是液体,浓度应大于1mg/ml。
3. 抗体IgG样品中应不含BSA、叠氮钠、甘氨酸等成分。
4. 大分子蛋白应提供分子量、等电点、缓冲液成分及pH等信息;小分子多肽需提供氨基酸序列;小分子化合物还需提供分子结构式。
5. 请提前说明任何特殊情况
重要说明:
本产品只供研究用途,不作人类、治疗或诊断用途。产品检测结果仅供临床参考不作为临床诊治的唯一依据。
欢迎新老客户来电咨询:甲状腺激素受体相关蛋白3免疫荧光抗体
风险提示:丁香通仅作为第三方平台,为商家信息发布提供平台空间。用户咨询产品时请注意保护个人信息及财产安全,合理判断,谨慎选购商品,商家和用户对交易行为负责。对于医疗器械类产品,请先查证核实企业经营资质和医疗器械产品注册证情况。
技术资料暂无技术资料 索取技术资料
甲状腺激素受体相关蛋白3免疫荧光抗体
¥1380









