相关产品推荐更多 >
万千商家帮你免费找货
0 人在求购买到急需产品
- 详细信息
- 文献和实验
- 技术资料
- 抗体名:
INTS8 Antibody抗体
- 抗体英文名:
INTS8 Antibody
- 靶点:
INTS8
- 应用范围:
ELISA, IF, IHC, WB
- 宿主:
Rabbit
- 适应物种:
Human
- 保质期:
6-12个月
- 抗原来源:
详询
- 目录编号:
orb395210
- 级别:
科研级
- 库存:
88
- 供应商:
biorbyt
- 标记物:
Unconjugated
- 克隆性:
Polyclonal
- 形态:
liquid
- 亚型:
IgG
- 免疫原:
integrator complex subunit 8
- 规格:
50 ug
产品描述:Rabbit polyclonal antibody to INTS8.
别名:C8orf52
免疫原:integrator complex subunit 8
分子量:90-115 kDa
应用稀释比例:WB: 1:200-1:1000; IF: 1:10-1:100; IHC: 1:20-1:200
纯度:≥95% as determined by SDS-PAGE
纯化:Immunogen affinity purified
保存说明:Maintain refrigerated at 2-8°C for up to 2 weeks. For long term storage store at -20°C in small aliquots to prevent freeze-thaw cycles.
UniProt ID:Q75QN2
Note:For research use only.



别名:C8orf52
免疫原:integrator complex subunit 8
分子量:90-115 kDa
应用稀释比例:WB: 1:200-1:1000; IF: 1:10-1:100; IHC: 1:20-1:200
纯度:≥95% as determined by SDS-PAGE
纯化:Immunogen affinity purified
保存说明:Maintain refrigerated at 2-8°C for up to 2 weeks. For long term storage store at -20°C in small aliquots to prevent freeze-thaw cycles.
UniProt ID:Q75QN2
Note:For research use only.

MCF7 cells were subjected to SDS PAGE followed by western blot with orb395210 (INTS8 antibody) at dilution of 1:300.

Immunofluorescent analysis of Hela cells using orb395210 (INTS8 antibody) at dilution of 1:25.

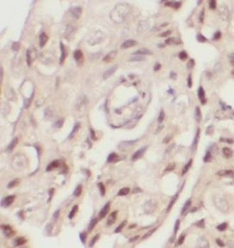
Immunohistochemistry of paraffin-embedded human breast cancer using orb395210 (INTS8 antibody) at dilution of 1:100.
风险提示:丁香通仅作为第三方平台,为商家信息发布提供平台空间。用户咨询产品时请注意保护个人信息及财产安全,合理判断,谨慎选购商品,商家和用户对交易行为负责。对于医疗器械类产品,请先查证核实企业经营资质和医疗器械产品注册证情况。
文献和实验相关实验
蛋白质组内的不同蛋白质是否有相同的作用方式,如果不相同,哪些因素会导致差异,”④什么物质能阻止神经细胞退化?杜克-新加坡国立大学医学院(Duke-NUS Medical School)的一项研究发现,以在基因调控中的作用而闻名的多蛋白“整合子复合体(Integrator complex)”成员,对于果蝇的大脑健康发育至关重要。这一发现对进一步理解和治疗人类神经发育障碍具有指导意义。人整合子基因intS1和intS8的突变与神经发育综合征有关,神经发育综合征的特征是严重的智力障碍、癫痫和轻微的脑结构异常
技术资料暂无技术资料 索取技术资料
INTS8 Antibody抗体,orb395210,biorbyt
¥3250











