相关产品推荐更多 >
万千商家帮你免费找货
0 人在求购买到急需产品
- 详细信息
- 文献和实验
- 技术资料
- 保存条件:
Room temperature (15~25℃)
- 英文名:
Ribosaver RNA stabilization solution
| Cat.No. | Product Description | Size |
| 351-010 | Hybrid-RTM miRNA | 10ml |
| 351-001 | Hybrid-RTM miRNA | 100ml |
Description
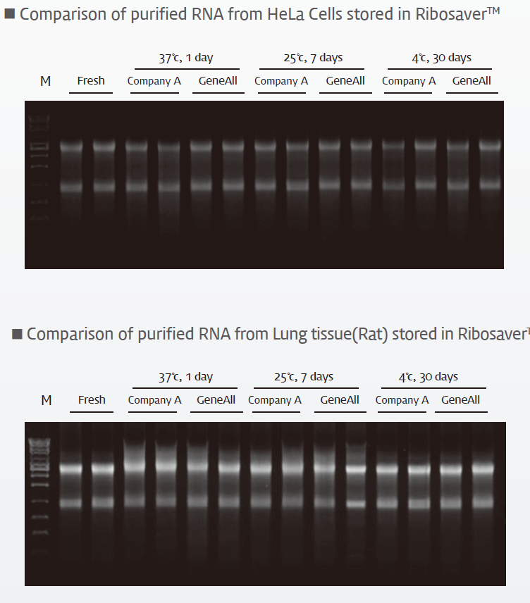
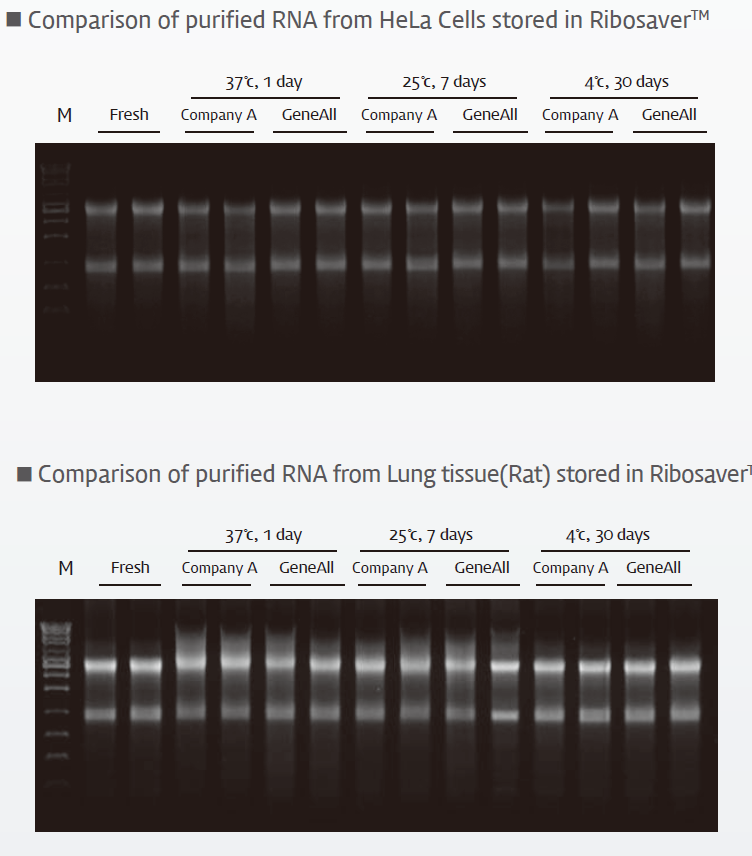
RiboSaverTM is a preservation solution to stabilize cellular RNA in biological specimens such as tissues and cultured cells. The harvested samples submerged in RiboSaverTM can be easily stored or transported at ambient temperature without any cooling method such as liquid nitrogen or dry-ice. RNA isolation from the samples stabilized by RiboSaverTM is compatible with most conventional or commercial RNA extraction methods.
Features and Benefits
- Store both tissue and cells without risk of nucleic acid degradation
- Immediate stabilization and subsequent transport or storage
- Convenient and safe handling at room temperature
- No need for liquid nitrogen or dry ice
- Directly applicable to numerous RNA purification kits and another down stream applications
Procedure
Result

风险提示:丁香通仅作为第三方平台,为商家信息发布提供平台空间。用户咨询产品时请注意保护个人信息及财产安全,合理判断,谨慎选购商品,商家和用户对交易行为负责。对于医疗器械类产品,请先查证核实企业经营资质和医疗器械产品注册证情况。
文献和实验Solution Structure Probing of RNA Structures
points, the mfold -predicted structures must be confirmed by more direct experimental approaches. Solution structure probing of RNA is a commonly utilized technique that provides information regarding the secondary structure of an RNA primary sequence
RNA Stabilization of Peripheral Blood and Profiling by Bead Chip Analysis
handling or temperature changes during transportation of the blood prior to genome-wide analysis. To address these needs, a whole blood RNA stabilization technology was combined with a bead-based oligonucleotide microarray technology for genome
Quantification of Absolute Amounts of Cellular Messenger RNA by RNA-Excess Solution Hybridization
. For Northern blot analysis, RNA is resolved by agarose gel electrophoresis, transferred to a nitrocellulose or nylon membrane and probed either with cDNA (1 ) or riboprobe (2 ,3 ). Slot blotting is performed without prior electrophoresis. Both methods









