产品封面图

MRE11A Antibody

收藏
  • $265
  • Ybscience
  • 美国/德国/中国
  • 2025年07月11日
  • WB IHC
  • Human Mouse Rat
  • 详见说明书
avatar
  • 企业认证

    点击 QQ 联系

  • 万千商家帮你免费找货

    0 人在求购买到急需产品
    • 详细信息
    • 文献和实验
    • 技术资料
    • 抗体名

      MRE11A Antibody

    • 抗体英文名

      MRE11A Antibody

    • 靶点

      详见说明书

    • 浓度

      1.0mg/ml

    • 应用范围

      WB IHC

    • 宿主

      Human Mouse Rat

    • 供应商

      上海钰博生物科技有限公司

    • 库存

      大量

    • 目录编号

      3042

    • 抗原来源

      Human Mouse Rat

    • 保质期

      1年

    • 适应物种

      详见说明书

    • 标记物

      详见说明书

    • 克隆性

      多克隆

    • 保存条件

      Store at -20°C

    • 形态

      液体或冻干粉

    • 亚型

      详见说明书

    • 免疫原

      详见说明书

    • 规格

      50μg/50μl, 100μg/100μl

    MRE11A Antibody
    • Catalog No. : Yb--3042
      Size : 50μg/50μl, 100μg/100μl
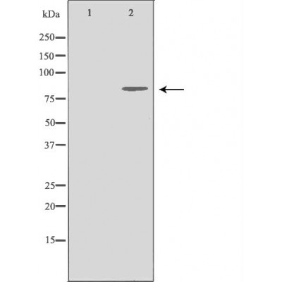
    • Mol Weight : 80kDa
      UniProt : P49959
    • Isotype : Rabbit IgG
      Clonality : Polyclonal
    • Price : $265/100μg
      Availability : Ship next day
    •  

    Category

    • Primary Antibodies
    • Secondary antibody
    • Loading control / tag antibody

    Details

    Alternative Names:

    ATLD; HNGS1; MRE11; MRE11B;

    Application:

    WB IHC

    Reactivity:

    Human Mouse Rat

    Dilution:

    WB 1:500-1:2000 IHC 1:50-1:200

    产品细节图片1 Western blot analysis of extracts of various celllines, using MRE11A antibody.
       

    Purification:

    Affinity-chromatography

    Specificity:

    MRE11A Antibody detects endogenous levels of total MRE11A

    Immunogen:

    A synthesized peptide derived from human MRE11A

    Description:

     

    Storage Condition and Buffer:

    Rabbit IgG in phosphate buffered saline , pH 7.4, 150mM NaCl, 0.02% sodium azide and 50% glycerol. Store at +4°C short term. Store at -20°C long term. Avoid freeze / thaw cycle.

    风险提示:丁香通仅作为第三方平台,为商家信息发布提供平台空间。用户咨询产品时请注意保护个人信息及财产安全,合理判断,谨慎选购商品,商家和用户对交易行为负责。对于医疗器械类产品,请先查证核实企业经营资质和医疗器械产品注册证情况。

    图标文献和实验
    相关实验
    • Generation of Antibody Molecules Through Antibody Engineering

      been overcome to a large extent using genetic-engineering techniques to produce chimeric mouse/human and completely human antibodies. Such an approach is particularly suitable because of the domain structure of the antibody molecule ( 2 ), where functional

    • The Antibody Molecule

      The importance of antibody molecules was first recognized in the 1890s, when it was shown that immunity to tetanus and diphtheria was caused by antibodies against the bacterial exotoxins (1 ). Around the same time, it was shown that antisera

    • Antibody Storage

        General comments: Antibodies, like most proteins, do not like to be freeze-thawed. Avoid repetitive freezing of your solution. The best way to store your antibody is to keep a high protein concentration (>1 mg/ml), add some protease

    图标技术资料

    暂无技术资料 索取技术资料

    同类产品报价

    产品名称
    产品价格
    公司名称
    报价日期
    $265
    上海钰博生物科技有限公司
    2024年04月07日询价
    ¥2000
    北京博蕾德生物科技有限公司
    2025年07月16日询价
    ¥1280
    湖北艾普蒂生物工程有限公司
    2025年07月11日询价
    $256
    上海瑶韵生物科技有限公司
    2025年07月13日询价
    ¥1500
    爱必信(上海)生物科技有限公司
    2025年07月16日询价
    MRE11A Antibody
    $265