万千商家帮你免费找货
0 人在求购买到急需产品
- 详细信息
- 询价记录
- 文献和实验
- 技术资料
- 规格:
1
HE染色,HE染色实验代测-上海信帆生物
服务简介
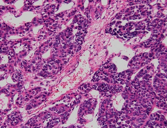
苏木精 — 伊红染色法 ( hematoxylin-eosin staining ) ,简称HE染色法 ,石蜡切片技术里常用的染色法之一 。苏木精染液为碱性 ,主要使细胞核内的染色质与胞质内的核糖体着紫蓝色 ;伊红为酸性染料 ,主要使细胞质和细胞外基质中的成分着红色 。HE染色法是组织学、胚胎学、病理学教学与科研中基本、使用广泛的技术方法。
服务说明
HE染色,HE染色实验代测-上海信帆生物
HE染色实验步骤
1、石蜡切片脱蜡至水:依次将切片放入二甲苯Ⅰ20min-二甲苯Ⅱ20min-无水乙醇Ⅰ10min-无水乙醇Ⅱ10min-95%酒精5min-90%酒精5min-80%酒精5min-70%酒精5min-蒸馏水洗。
2、苏木素染细胞核:切片入Harris苏木素染3-8min,自来水洗,1%的盐酸酒精分化数秒,自来水冲洗,0.6%氨水返蓝,流水冲洗。
3、伊红染细胞质:切片入伊红染液中染色1-3min。
4、脱水封片:将切片依次放入95%酒精I 5min -95%酒精II 5min-无水乙醇Ⅰ5min -无水乙醇Ⅱ5min -二甲苯Ⅰ5min -二甲苯Ⅱ5min中脱水透明,将切片从二甲苯拿出来稍晾干,中性树胶封片。
5、显微镜镜检,图像采集分析。
染色结果:细胞核蓝色,细胞质红色。
风险提示:丁香通仅作为第三方平台,为商家信息发布提供平台空间。用户咨询产品时请注意保护个人信息及财产安全,合理判断,谨慎选购商品,商家和用户对交易行为负责。对于医疗器械类产品,请先查证核实企业经营资质和医疗器械产品注册证情况。
- 作者
- 内容
- 询问日期
文献和实验相关专题 本篇文章主要介绍了采用苏木素(Hematoxylin)-伊红(Eosin)染色法对细胞染色的实验原理、实验用品和具体实验步骤。 HE染色法 一、原理 苏木素(Hematoxylin)-伊红(Eosin)染色法,简称HE染色法。 HE染色法采用两种染料即碱性染料苏木素和酸性染料伊红分别于细胞核 和细胞质发生作用,使细胞的微细结构通过颜色而改变它的折光率,从而在光镜下能清晰地呈现出细胞图像。该染色过程既有化学
,经第8次传代后,平滑肌细胞仍生长迅速,未见衰老迹象。倒置显微镜下观察均呈“谷和峰”样结构(图1 对照组2周的细胞;图2 实验组培养2周的细胞)。细胞爬片HE染色见膀胱平滑肌细胞细胞核呈两端钝圆的卵圆形平滑肌细胞核型。电镜检查可见平滑肌细胞密班结构。免疫组化染色检测α-actin呈阳性反应。从细胞爬片HE染色和免疫组化染色检测α-actin呈阳性反应中我们发现该方法所的膀胱平滑肌细胞的纯度几乎99%。 图1 对照组2周的细胞图2 实验组培养2周的细胞
到后续有结婚生娃的打算,不想在工厂泡太久,所以选择了第二个机会。然而工作几年后,不禁感慨,如果晚毕业几年也许选择会完全不一样。国内基因测序公司发展,就业选择宽很多目前国内基因测序公司如雨后春笋般出现,对于学生物的来说,尤其是分子生物或者跟分子生物搭点边的专业来说,就业面确实是宽了不少。(图片来源:摄图网)以在基因测序公司的工作经验,跟大家谈谈基因测序公司不同岗位的具体日常工作:1. 临检部门:A. 分子实验员:二代测序的建库测序,基本泡在实验室中,实验周期为一周,每天的工作就是各种移液、PCR
技术资料暂无技术资料 索取技术资料










