相关产品推荐更多 >
万千商家帮你免费找货
0 人在求购买到急需产品
- 详细信息
- 询价记录
- 文献和实验
- 技术资料
- 英文名:
AAV293
- 库存:
100万
- 供应商:
镜像绮点
- 肿瘤类型:
-
- 细胞类型:
细胞系
- 品系:
细胞系
- 组织来源:
肾组织
- 相关疾病:
-
- 物种来源:
组织
- 免疫类型:
咨询
- 细胞形态:
上皮细胞样
- 是否是肿瘤细胞:
否
- 器官来源:
肾组织
- 运输方式:
冻存/复苏
- 年限:
长期
- 生长状态:
贴壁培养
- 规格:
T25
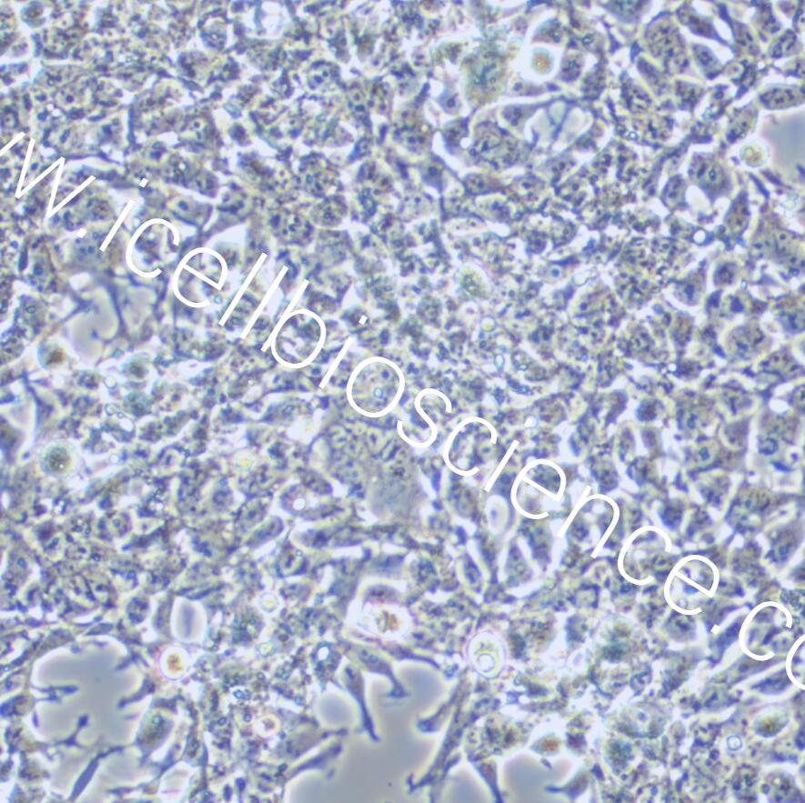
细胞介绍
推荐使用AAV-293细胞株繁殖腺病毒相关重组病毒。 AAV-293源自普遍使用的 HEK293细胞株,但产生的病毒滴度更高。 HEK293细胞是剪切过的腺病毒5型DNA转染的人胚肾细胞。 跟HEK293细胞一样,AAV-293细胞反式表达腺病毒E1基因,当共转染三个AAV助质粒(一个含ITR的质粒,pAAV-RC, 和E1缺失助质粒)时,可以产生有感染力的腺病毒-相关病毒颗粒。

细胞特性
1) 来源:肾;以腺病毒5 DNA 进行转化。
2) 形态:上皮细胞样 贴壁生长
3) 含量:>1x10^6 细胞数
4) 规格:T25瓶或者1mL冻存管包装
5)用途:仅供科研使用。
一.培养基及培养冻存条件准备:
|
DMEM培养基 |
胎牛血清 |
P / S 双抗 |
PBS缓冲液 |
|
胰蛋白酶 |
细胞冻存液 |
细胞冻存管 |
细胞培养瓶 |
|
离心管 |
培养孔板 |
移液管 |
细胞培养皿 |
业务范围



风险提示:丁香通仅作为第三方平台,为商家信息发布提供平台空间。用户咨询产品时请注意保护个人信息及财产安全,合理判断,谨慎选购商品,商家和用户对交易行为负责。对于医疗器械类产品,请先查证核实企业经营资质和医疗器械产品注册证情况。
- 作者
- 内容
- 询问日期
文献和实验【1】Chen Q, Luo L, Xue Y, et al. Cisplatin-loaded polymeric complex micelles with a modulated drug/copolymer ratio for improved in vivo performance[J]. Acta biomaterialia, 2019, 92: 205-218.
【2】Liu Y L, Chen B Y, Nie J, et al. Polydatin prevents bleomycininduced pulmonary fibrosis by inhibiting the TGFβ/Smad/ERK signaling pathway[J]. Experimental and Therapeutic Medicine, 2020, 20(5): 1-1.
【3】Wang Z, Zhang J, Lu B, et al. Novel bio-renewable matrinium-based ionic liquids derived from Chinese herb medicine: Synthesis, physicochemical properties and biological activity[J]. Journal of Molecular Liquids, 2019, 296: 111822.
相关专题 293细胞 AAV-293细胞 较喜欢成团生长,比较娇嫩,怕冷,传代时不要一次从二氧化碳培养箱拿出很多瓶,一次只要拿2-3瓶出来传就可以了,否则细胞很容易死掉。细胞在50-60%传代,细胞生长状态最好。 用D-Hank's液配制成0。25%的胰酶消化半分钟左右,弃去胰酶。观察培养瓶是否有针孔样缝隙,如有就可以加入培养液吹打细胞。消化过久,对细胞损害很大,而且成团很难吹打成单个细胞。然后加入含有10%小牛
除了Ad共转染的需求。辅助质粒表达AAV的rep和cap基因和Ad E2A、VAI和E4基因。当辅助质粒在没有Ad感染的情况下共转染到人293细胞中,rAAV载体产量超过了pAAV/Ad包装质粒的80倍。另外,有复制能力的AAV在rAAV制备过程中少于0.00125%。此系统的主要优点是(1)无需感染性的腺病毒(2)只使用两个质粒就提高了转染效率和载体的产出。我们相信该双质粒转染系统因其简便性和高产出而使AAV载体系统能被更广泛地使用。该系统尤其将对多rAAV载体的临床前分析有用 1.简介 腺相关
。在此报道中我们描述了新的辅助质粒(pH3和pH5),排除了Ad共转染的需求。辅助质粒表达AAV的rep和cap基因和Ad E2A、VAI和E4基因。当辅助质粒在没有Ad感染的情况下共转染到人293细胞中,rAAV载体产量超过了pAAV/Ad包装质粒的80倍。另外,有复制能力的AAV在rAAV制备过程中少于0.00125%。此系统的主要优点是(1)无需感染性的腺病毒(2)只使用两个质粒就提高了转染效率和载体的产出。我们相信该双质粒转染系统因其简便性和高产出而使AAV载体系统能被更广泛地使用。该系统尤其
技术资料






















