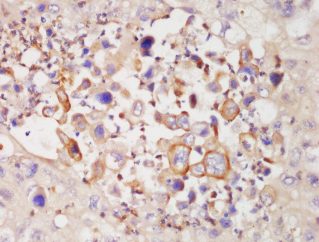
Tissue/cell: human lung carcinoma; 4% Paraformaldehyde-fixed and paraffin-embedded;
Antigen retrieval: citrate buffer ( 0.01M, pH 6.0 ), Boiling bathing for 15min; Block endogenous peroxidase by 3% Hydrogen peroxide for 30min; Blocking buffer (normal goat serum,C-0005) at 37℃ for 20 min;
Incubation: Anti-CDHF1 Polyclonal Antibody, Unconjugated(bs-6307R) 1:200, overnight at 4°C, followed by conjugation to the secondary antibody(SP-0023) and DAB(C-0010) staining
相关产品推荐更多 >

CYP4F3 Rabbit pAb(bs-14160R)-50ul/100ul/200ul
¥1180
FHOD1 Rabbit pAb, BF488 conjugated(bs-13158R-BF488)-100ul
¥2980
Ferritin Heavy Chain/FTH1 Rabbit pAb, Biotin conjugated(bs-5907R-Bio)-100ul
¥2980
CXCL2/GRO Beta Rabbit pAb(bs-1162R)-50ul/100ul/200ul
¥1180
FISH Rabbit pAb, AP conjugated(bs-11645R-AP)-100ul
¥2980
万千商家帮你免费找货
0 人在求购买到急需产品
- 详细信息
- 技术资料
- 应用范围:
产品信息以Bioss网站为准
- 规格:
50ul/100ul/200ul
| 规格: | 50ul | 产品价格: | ¥1180.0 |
|---|---|---|---|
| 规格: | 100ul | 产品价格: | ¥1980.0 |
| 规格: | 200ul | 产品价格: | ¥2800.0 |
| 产品编号 | bs-6307R |
| 英文名称 | Desmocollin 1 Rabbit pAb |
| 中文名称 | 桥粒糖蛋白1抗体 |
| 英文别名 | Cadherin family member 1; CDHF1; Desmocollin1; Desmosomal glycoprotein 2/3; DG2/DG3; DSC 1; DSC1; DSC1_HUMAN. |
| 产品应用 | IHC-P=1:100-500, IHC-F=1:100-500, IF=1:100-500 Not yet tested in other applications. |
| 交叉反应 | Human (Mouse, Rat, Dog, Pig, Cow, Horse) |
| 抗体来源 | Rabbit |
| 免疫原 | KLH conjugated synthetic peptide derived from human Desmocollin 1 |
| 亚型 | IgG |
| 性状 | Liquid |
| 纯化方法 | affinity purified by Protein A |
| 克隆类型 | Polyclonal |
| 理论分子量 | 85 kDa |
| 浓度 | 1mg/ml |
| 储存液 | 0.01M TBS (pH7.4) with 1% BSA, 0.02% Proclin300 and 50% Glycerol. |
| 研究领域 | Signal Transduction > Cytoskeleton / ECM > Cell Adhesion > Cadherins Signal Transduction > Cytoskeleton / ECM > Extracellular Matrix > Structures > Desmosomes |
| 亚基 | . |
| 亚细胞定位 | Cell membrane; Single-pass type I membrane protein. Cell junction, desmosome. |
| 组织特异性 | Strongly expressed in epidermis, less in lymph node and tongue. |
| 相似性 | Contains 5 cadherin domains. |
| 功能 | Component of intercellular desmosome junctions. Involved in the interaction of plaque proteins and intermediate filaments mediating cell-cell adhesion. May contribute to epidermal cell positioning (stratification) by mediating differential adhesiveness between cells that express different isoforms. Linked to the keratinization of epithelial tissues. |
| 保存条件 | Shipped at 4℃. Store at -20℃ for one year. Avoid repeated freeze/thaw cycles. |
| 注意事项 | This product as supplied is intended for research use only, not for use in human, therapeutic or diagnostic applications. |
| 背景资料 | The protein encoded by this gene is a calcium-dependent glycoprotein that is a member of the desmocollin subfamily of the cadherin superfamily. These desmosomal family members, along with the desmogleins, are found primarily in epithelial cells where they constitute the adhesive proteins of the desmosome cell-cell junction and are required for cell adhesion and desmosome formation. The desmosomal family members are arranged in two clusters on chromosome 18, occupying less than 650 kb combined. Alternative splicing results in two transcript variants encoding distinct isoforms. [provided by RefSeq, Jul 2008] |
| 应用 | 推荐稀释比例 |
| {IHC-P} | {1:100-500} |
| {IHC-F} | {1:100-500} |
| {IF} | {1:100-500} |

风险提示:丁香通仅作为第三方平台,为商家信息发布提供平台空间。用户咨询产品时请注意保护个人信息及财产安全,合理判断,谨慎选购商品,商家和用户对交易行为负责。对于医疗器械类产品,请先查证核实企业经营资质和医疗器械产品注册证情况。
技术资料暂无技术资料 索取技术资料
Desmocollin 1 Rabbit pAb(bs-6307R)-50ul/100ul/200ul
¥1180 - 2800






