相关产品推荐更多 >
万千商家帮你免费找货
0 人在求购买到急需产品
- 详细信息
- 文献和实验
- 技术资料
- 亚型:
IgG
- 形态:
液态/冻干粉
- 保存条件:
-20℃保存
- 克隆性:
多克隆
- 标记物:
FITC
- 宿主:
Rabbit
- 应用范围:
ELISA=1:500-1000 IHC-P=1:100-500 IHC-F=1:100-500 ICC=1:100-500 IF=1:100-3946 (石蜡切片需做抗原修复) not yet tested in other applications.
- 浓度:
3443mg/ml
- 抗体英文名:
SREBP2
- 规格:
0.1ml 0.3448ml
英文名称SREBP1
中文名称胆固醇调节元件结合蛋白1抗体
别 名Sterol regulatory element binding protein 1; ADD 1; BHLHD1; D630008H06; SREBF 1; SREBP-1; SREBF1; SREBP 1; SREBP1; SREBP 1c; Sterol regulatory element binding protein 1; Sterol Regulatory Element Binding Transcription Factor 1 / Protein 1; Sterol regulatory element binding transcription factor 1; SRBP1_HUMAN; Sterol regulatory element-binding protein 1; SREBP-1; Class D basic helix-loop-helix protein 1; bHLHd1; Sterol regulatory element-binding transcription factor 1; Processed sterol regulatory element-binding protein 1.
Specific References (1) | bs-1402R has been referenced in 1 publications.[IF=7.67] Zhang, Xian, et al. "ROS-induced TXNIP drives fructose-mediated hepatic inflammation and lipid accumulation through NLRP3 inflammasome activation."Antioxidants and Redox Signaling ja (2015). WB ; Rat. PubMed:25602171
规格价格50ul 100ul 200ul
研究领域心血管 转录调节因子 合成与降解
抗体来源Rabbit
克隆类型Polyclonal
交叉反应 Human, Mouse, Rat, Chicken,
产品应用WB=1:500-2000 ELISA=1:500-1000 IHC-P=1:400-800 IHC-F=1:400-800 IF=1:100-500 (石蜡切片需做抗原修复)
not yet tested in other applications.
optimal dilutions/concentrations should be determined by the end user.
分 子 量54/126kDa
细胞定位细胞核 细胞浆
性 状Lyophilized or Liquid
浓 度1mg/ml
免 疫 原KLH conjugated synthetic peptide derived from human SREBP-1:301-450/1147
亚 型IgG
纯化方法affinity purified by Protein A
储 存 液0.01M TBS(pH7.4) with 1% BSA, 0.03% Proclin300 and 50% Glycerol.
保存条件Store at -20 °C for one year. Avoid repeated freeze/thaw cycles. The lyophilized antibody is stable at room temperature for at least one month and for greater than a year when kept at -20°C. When reconstituted in sterile pH 7.4 0.01M PBS or diluent of antibody the antibody is stable for at least two weeks at 2-4 °C.
PubMedPubMed
产品介绍background:
This gene encodes a transcription factor that binds to the sterol regulatory element-1 (SRE1), which is a decamer flanking the low density lipoprotein receptor gene and some genes involved in sterol biosynthesis. The protein is synthesized as a precursor that is attached to the nuclear membrane and endoplasmic reticulum. Following cleavage, the mature protein translocates to the nucleus and activates transcription by binding to the SRE1. Sterols inhibit the cleavage of the precursor, and the mature nuclear form is rapidly catabolized, thereby reducing transcription. The protein is a member of the basic helix-loop-helix-leucine zipper (bHLH-Zip) transcription factor family. This gene is located within the Smith-Magenis syndrome region on chromosome 17. Two transcript variants encoding different isoforms have been found for this gene. [provided by RefSeq, Jul 2008]
Function:
Transcriptional activator required for lipid homeostasis. Regulates transcription of the LDL receptor gene as well as the fatty acid and to a lesser degree the cholesterol synthesis pathway. Binds to the sterol regulatory element 1 (SRE-1) (5'-ATCACCCCAC-3'). Has dual sequence specificity binding to both an E-box motif (5'-ATCACGTGA-3') and to SRE-1 (5'-ATCACCCCAC-3').
Subunit:
Forms a tight complex with SCAP in the ER membrane. Efficient DNA binding of the soluble transcription factor fragment requires dimerization with another bHLH protein. Interacts with LMNA.
Subcellular Location:
Endoplasmic reticulum membrane; Multi-pass membrane protein. Golgi apparatus membrane; Multi-pass membrane protein. Cytoplasmic vesicle, COPII-coated vesicle membrane; Multi-pass membrane protein. Note=Moves from the endoplasmic reticulum to the Golgi in the absence of sterols.
Processed sterol regulatory element-binding protein 1: Nucleus.
Isoform SREBP-1aDelta: Nucleus.
Isoform SREBP-1cDelta: Nucleus.
Tissue Specificity:
Expressed in a wide variety of tissues, most abundant in liver and adrenal gland. In fetal tissues lung and liver shows highest expression. Isoform SREBP-1C predominates in liver, adrenal gland and ovary, whereas isoform SREBP-1A predominates in hepatoma cell lines. Isoform SREBP-1A and isoform SREBP-1C are found in kidney, brain, white fat, and muscle.
Post-translational modifications:
At low cholesterol the SCAP/SREBP complex is recruited into COPII vesicles for export from the ER. In the Golgi complex SREBPs are cleaved sequentially by site-1 and site-2 protease. The first cleavage by site-1 protease occurs within the luminal loop, the second cleavage by site-2 protease occurs within the first transmembrane domain and releases the transcription factor from the Golgi membrane. Apoptosis triggers cleavage by the cysteine proteases caspase-3 and caspase-7.
Phosphorylated by AMPK, leading to suppress protein processing and nuclear translocation, and repress target gene expression. Phosphorylation at Ser-402 by SIK1 represses activity possibly by inhibiting DNA-binding.
Similarity:
Belongs to the SREBP family.
Contains 1 bHLH (basic helix-loop-helix) domain.
SWISS:
P36956
Gene ID:
6720
Database links:
Entrez Gene: 6720 Human
Entrez Gene: 20787 Mouse
Entrez Gene: 78968 Rat
Omim: 184756 Human
SwissProt: P36956 Human
SwissProt: Q9WTN3 Mouse
SwissProt: P56720 Rat
Unigene: 592123 Human
Unigene: 278701 Mouse
Unigene: 296366 Mouse
Unigene: 198857 Rat
Important Note:
This product as supplied is intended for research use only, not for use in human, therapeutic or diagnostic applications.
转录调节因子(Transcriptin Regulators)
胆固醇调节元件结合蛋白1(SREBP1)是膜结合的转录因子,参与脂质自稳态的许多作用(胆固醇、脂肪酸、甘油三酯和磷酯的合成/摄取).SREBP1在内质网上合成,需要被转运到高尔基体并经过一系列蛋白水解后才能到核内发挥作用。
未成熟时在胞浆表达,水解后的成熟片段在胞核表达。
Sample:
Liver(Mouse) Cell Lysate at 40 ug
Liver(Rat) Cell Lysate at 40 ug
Primary: Anti-SREBP1 (bs-1402R) at 1/300 dilution
Secondary: IRDye800CW Goat Anti-Rabbit IgG at 1/20000 dilution
Predicted band size: 54/126 kD
Observed band size: 54 kD
Sample: Muscle(Mouse) Lysate at 30 ug
Primary: Anti- SREBP1 (bs-1402R) at 1/300 dilution
Secondary: IRDye800CW Goat Anti-Rabbit IgG at 1/20000 dilution
Predicted band size: 54/126 kD
Observed band size: 50 kD
Sample:
Lung(Mouse) Lysate at 30 ug
Ovary (Mouse) Lysate at 30 ug
Skin (Mouse) Lysate at 30 ug
Primary: Anti- SREBP1 (bs-1402R) at 1/300 dilution
Secondary: IRDye800CW Goat Anti-Rabbit IgG at 1/20000 dilution
Predicted band size: 54/126 kD
Observed band size: 50 kD
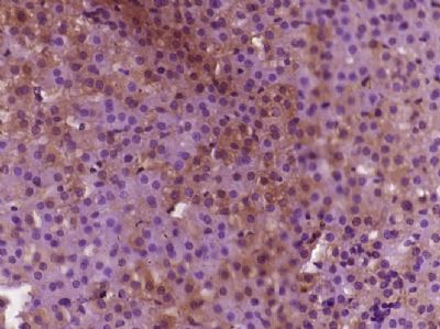
Paraformaldehyde-fixed, paraffin embedded (rat adrenal gland); Antigen retrieval by boiling in sodium citrate buffer (pH6.0) for 15min; Block endogenous peroxidase by 3% hydrogen peroxide for 20 minutes; Blocking buffer (normal goat serum) at 37°C for 30min; Antibody incubation with (SREBP1) Polyclonal Antibody, Unconjugated (bs-1402R) at 1:400 overnight at 4°C, followed by operating according to SP Kit(Rabbit) (sp-0023) instructionsand DAB staining.
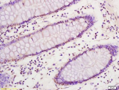
Paraformaldehyde-fixed, paraffin embedded (human colon carcinoma); Antigen retrieval by boiling in sodium citrate buffer (pH6.0) for 15min; Block endogenous peroxidase by 3% hydrogen peroxide for 20 minutes; Blocking buffer (normal goat serum) at 37°C for 30min; Antibody incubation with (SREBP-1) Polyclonal Antibody, Unconjugated (bs-1402R) at 1:200 overnight at 4°C, followed by a conjugated secondary (sp-0023) for 20 minutes and DAB staining.
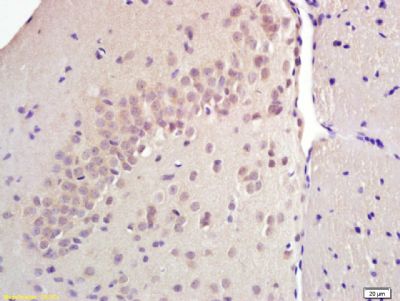
Paraformaldehyde-fixed, paraffin embedded (rat brain); Antigen retrieval by boiling in sodium citrate buffer (pH6.0) for 15min; Block endogenous peroxidase by 3% hydrogen peroxide for 20 minutes; Blocking buffer (normal goat serum) at 37°C for 30min; Antibody incubation with (SREBP-1) Polyclonal Antibody, Unconjugated (bs-1402R) at 1:200 overnight at 4°C, followed by a conjugated secondary (sp-0023) for 20 minutes and DAB staining.
风险提示:丁香通仅作为第三方平台,为商家信息发布提供平台空间。用户咨询产品时请注意保护个人信息及财产安全,合理判断,谨慎选购商品,商家和用户对交易行为负责。对于医疗器械类产品,请先查证核实企业经营资质和医疗器械产品注册证情况。
文献和实验Cell Reports:山东大学马春红团队揭示 Tim-4 在巨噬细胞抗病毒天然免疫和胆固醇稳态调控中的重要作用
巨噬细胞内胆固醇含量,抑制固醇调节元件结合蛋白 2 (Sterol regulatory element binding protein 2,SREBP2) 的活化。接下来,研究人员使用 SREBPs 活化抑制剂 Fatostatin 进行体内、体外病毒感染实验,结果发现抑制 SREBP2 活化后,Tim-4 调控抗病毒应答及病毒复制的作用消失。 未成熟的 SREBP2 与 SREBP 裂解激活蛋白(SREBP cleavage-activating protein,SCAP)组成复合
Mol Cell:秦骏等发现结直肠癌患者分型标志物,他汀类药物或可治疗这类癌症
胆固醇和脂质合成速率上调被认为是癌症转化过程中的一种特殊代谢重组现象。胆固醇是细胞膜的重要生物成分,是胆汁酸和类固醇激素生物合成的前体。此外,胆固醇相关代谢产物作为信号分子发挥调节作用。虽然有关胆固醇与结直肠癌(CRC)风险的流行病学证据仍然没有定论,但实验模型的结果表明两者之间存在因果关系。 甲羟戊酸途径与肿瘤进展相关,其中的关键酶受甾醇调节元件结合蛋白(SREBP)家族转录因子的控制。然而,甲羟戊酸通路抑制剂(他汀类药物)只在部分患者体内发挥效用。因此,开发患者分层的生物标志物将有助于他汀
形成精液,在 性高潮 时射出体外。正常男子每次射出精液约3-6ml,每毫升精液约含二千万到四亿个精子,少于二千万精子,不易使卵子受精。 (二)睾丸的内分泌作用 1.雄激素睾丸间质细胞分泌雄激素,主要为睾酮(testosterone,T)。 (1)睾酮的合成与代谢 :睾酮是C-19类固醇激素。在间质细胞内,胆固醇经羟体、侧链裂解形成孕烯醇酮,再经17-羟化并脱去侧链,形成睾酮。睾酮在其靶器官(如附睾和前列腺)内,被5α-还原酶还为为双氢
技术资料暂无技术资料 索取技术资料









