相关产品推荐更多 >
万千商家帮你免费找货
0 人在求购买到急需产品
- 详细信息
- 文献和实验
- 技术资料
- 免疫原:
KLH conjugated synthetic(具体详情咨询我们)
- 亚型:
IgG
- 形态:
Lyophilized or Liquid
- 保存条件:
Store at -20 °C
- 克隆性:
Polyclonal
- 标记物:
有各种标记抗体需要可以联系我公司
- 适应物种:
Hu Mo Pig Cow Hor Sheep等
- 宿主:
Rabbit
- 应用范围:
WB=1:100-500,Elisa=1:500-1000,IHC-P=1:100-500,IHC-F=1:100-500,Flow Cyt=1μg|Test,IF=1:100-503,
- 浓度:
1mg/ml
- 靶点:
详询
- 抗体英文名:
AIF1 (9A3)
- 抗体名:
离子钙接头蛋白单克隆抗体
- 规格:
100ul
| 英文名称 | AIF1 (9A3) |
| 中文名称 | 离子钙接头蛋白单克隆抗体 |
| 别 名 | AIF 1; AIF1; AIF1 protein; IBa1; iba-1; IBa 1; allograft inflammatory factor 1; Allograft inflammatory factor 1 splice variant G; balloon angioplasty responsive transcription; BART 1; G1; G1 putative splice variant of allograft inflamatory factor 1; IBA 1; IBA1; interferon gamma responsive transcript; Ionized calcium binding adapter molecule 1; ionized calcium-binding adapter molecule; IRT 1; IRT1; Microglia response factor; MRF1; Protein G1. |
| 研究领域 | 细胞生物 免疫学 神经生物学 |
| 抗体来源 | Rabbit |
| 克隆类型 | Monoclonal |
| 克 隆 号 | 9A3 |
| 交叉反应 | Human, Mouse, Rat, |
| 产品应用 | WB=1:500 IP=1:10-50 IHC-P=1:100-500 ICC=1:50-100 IF=1:50-100 (石蜡切片需做抗原修复) not yet tested in other applications. optimal dilutions/concentrations should be determined by the end user. |
| 分 子 量 | 17kDa |
| 细胞定位 | 细胞浆 细胞膜 |
| 性 状 | Liquid |
| 浓 度 | 1mg/ml |
| 免 疫 原 | KLH conjugated synthetic peptide derived from human AIF1:100-147/147 |
| 亚 型 | IgG |
| 纯化方法 | affinity purified by Protein A |
| 储 存 液 | 0.01M TBS(pH7.4) with 1% BSA, 0.03% Proclin300 and 50% Glycerol. |
| 保存条件 | Shipped at 4℃. Store at -20 °C for one year. Avoid repeated freeze/thaw cycles. |
| PubMed | PubMed |
| 产品介绍 | Allograft Inflammatory Factor-1 (AIF1)or ionized calcium-binding adaptor molecule 1 (Iba1) is expressed selectively in microglia/macrophages and is a Ca2+-binding peptide produced by activated monocytes and microglial cells. It has been suggested that AIF1 expression is associated with chronic inflammatory processes. AIF1 is expressed by activated monocytes and might participate in a variety of pathogenic processes in the mammalian brain and in chronic transplant rejection. It has been shown to be expressed early and persistently in chronically rejecting cardiac allografts but not in cardiac syngrafts and host hearts. Function: Actin-binding protein that enhances membrane ruffling and RAC activation. Enhances the actin-bundling activity of LCP1. Binds calcium. Plays a role in RAC signaling and in phagocytosis. May play a role in macrophage activation and function. Promotes the proliferation of vascular smooth muscle cells and of T-lymphocytes. Enhances lymphocyte migration. Plays a role in vascular inflammation. Subunit: Homodimer (Potential). Monomer. Interacts with LCP1. Subcellular Location: Cytoplasm, cytoskeleton. Cell projection, ruffle membrane; Peripheral membrane protein; Cytoplasmic side. Note=Associated with the actin cytoskeleton at membrane ruffles and at sites of phagocytosis. Tissue Specificity: Detected in T-lymphocytes and peripheral blood mononuclear cells. Similarity: Contains 2 EF-hand domains. SWISS: P55008 Gene ID: 199 Important Note: This product as supplied is intended for research use only, not for use in human, therapeutic or diagnostic applications. |
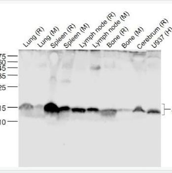
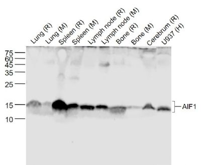
| 产品图片 | ![]() Sample: Lane 1: Lung (Rat) Lysate at 40 ug Lane 2: Lung (Mouse) Lysate at 40 ug Lane 3: Spleen (Rat) Lysate at 40 ug Lane 4: Spleen (Mouse) Lysate at 40 ug Lane 5: Lymph node (Rat) Lysate at 40 ug Lane 6: Lymph node (Mouse) Lysate at 40 ug Lane 7: Bone (Rat) Lysate at 40 ug Lane 8: Bone (Mouse) Lysate at 40 ug Lane 9: Cerebrum (Rat) Lysate at 40 ug Lane 10: U937 (Human) Cell Lysate at 30 ug Primary: Anti-AIF1 (bsm-54132R) at 1/1000 dilution Secondary: IRDye800CW Goat Anti-Rabbit IgG at 1/20000 dilution Predicted band size: 17 kD Observed band size: 17 kD ![]() Sample: Lane 1: U937 (Human) Cell Lysate at 30 ug Lane 2: Spleen (Mouse) Lysate at 40 ug Lane 3: Spleen (Rat) Lysate at 40 ug Lane 4: Lymph node (Mouse) Lysate at 40 ug Lane 5: Lymph node (Rat) Lysate at 40 ug Lane 6: Bone (Mouse) Lysate at 40 ug Lane 7: Bone (Rat) Lysate at 40 ug Lane 8: Cerebrum (Mouse) Lysate at 40 ug Lane 9: Cerebrum (Rat) Lysate at 40 ug Primary: Anti-AIF1 (bsm-54132R) at 1/1000 dilution Secondary: IRDye800CW Goat Anti-Rabbit IgG at 1/20000 dilution Predicted band size: 17 kD Observed band size: 15 kD |
风险提示:丁香通仅作为第三方平台,为商家信息发布提供平台空间。用户咨询产品时请注意保护个人信息及财产安全,合理判断,谨慎选购商品,商家和用户对交易行为负责。对于医疗器械类产品,请先查证核实企业经营资质和医疗器械产品注册证情况。
文献和实验专一性较强的蛋白水解酶[一般未肽链内切酶(endopeptidase)]作用于特殊的肽链位点将多肽裂解成小片断,通过一定的分离检测手段形成特征性指纹图谱,肽图分析对多肽结构研究合特性鉴别具有重要意义。利用胰蛋白酶能特意性作用于Arg和Lys羧基端的肽链的性质,通过RP-HPLC法采用C18柱检测了重组人生长激素特征性胰肽图谱。同时胰岛素的肽图经V8酶专一裂解也制得,并可鉴别仅相差一个氨基酸残疾的不同种属来源的胰岛素。人类肿瘤坏死因子的单克隆抗体结构也应用酶解法及在线分析技术确定了肽图,便于鉴定分析
链内切酶(endopeptidase)]作用于特殊的肽链位点将多肽裂解成小片断,通过一定的分离检测手段形成特征性指纹图谱,肽图分析对多肽结构研究合特性鉴别具有重要意义。利用胰蛋白酶能特意性作用于Arg和Lys羧基端的肽链的性质,通过RP-HPLC法采用C18柱检测了重组人生长激素特征性胰肽图谱。同时胰岛素的肽图经V8酶专一裂解也制得,并可鉴别仅相差一个氨基酸残疾的不同种属来源的胰岛素。人类肿瘤坏死因子的单克隆抗体结构也应用酶解法及在线分析技术确定了肽图,便于鉴定分析。此项技术已经在新药开发中得到广泛
坏死因子的单克隆抗体结构也应用酶解法及在线分析技术确定了肽图,便于鉴定分析。此项技术已经在新药开发中得到广泛应用。 1.1.2 疏水作用色谱(Hydrophobic interaction chromatogrphy,HIC) HIC是利用多肽中含有疏水基因,可与固定相之间产生疏水作用而达到分离分析的目的,其比RP-GPLC具有较少使多肽变性的特点。利用GIC分离生产激素(GH)产品的结构与活性比EP-GPLC分离的要稳定,活性较稳定。Geng等利用HIC柱的低变性特点,将大肠杆菌表达出的经盐
技术资料暂无技术资料 索取技术资料











