相关产品推荐更多 >
万千商家帮你免费找货
0 人在求购买到急需产品
- 详细信息
- 文献和实验
- 技术资料
- 亚型:
IgG
- 形态:
液态/冻干粉
- 保存条件:
-20℃保存
- 克隆性:
多克隆
- 标记物:
FITC
- 宿主:
Rabbit
- 应用范围:
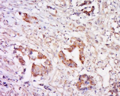
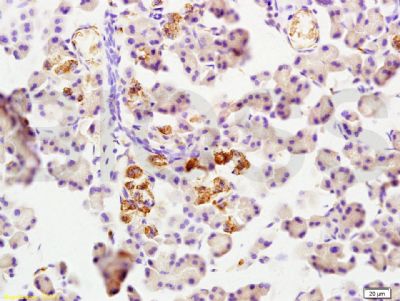
ELISA=1:500-1000 IHC-P=1:100-500 IHC-F=1:100-500 ICC=1:100-500 IF=1:100-2302 (石蜡切片需做抗原修复) not yet tested in other applications.
- 浓度:
1839mg/ml
- 抗体英文名:
Cathepsin L
- 规格:
0.1ml 0.1804ml
组织蛋白酶L(cathepsin L CL)属于木瓜蛋白酶家族中的半胱氨酸蛋白水解酶,以酶原的形式贮存于溶酶体中. 参与许多特殊的生理过程,如激素原的激活、抗原呈递、组织器官的发育等。
在病理状态下,因各种原因所致的细胞损伤(如病原微生物、炎症因子、氧化应激等)可降解细胞成分或细胞间质基质成分,包括层粘素、IV型胶原纤维及纤维连接素等,与人类许多疾病如肿瘤的浸润与转移、关节炎、骨质疏松、阿尔茨海姆病、多发性硬化症及其他慢性炎症性疾病有关.
产品介绍background:
The protein encoded by this gene is a lysosomal cysteine proteinase that plays a major role in intracellular protein catabolism. Its substrates include collagen and elastin, as well as alpha-1 protease inhibitor, a major controlling element of neutrophil elastase activity. The encoded protein has been implicated in several pathologic processes, including myofibril necrosis in myopathies and in myocardial ischemia, and in the renal tubular response to proteinuria. This protein, which is a member of the peptidase C1 family, is a dimer composed of disulfide-linked heavy and light chains, both produced from a single protein precursor. At least two transcript variants encoding the same protein have been found for this gene.
Function:
Important for the overall degradation of proteins in lysosomes.
Subunit:
Dimer of a heavy and a light chain linked by disulfide bonds.
Subcellular Location:
Lysosome.
Similarity:
Belongs to the peptidase C1 family.
SWISS:
P06797
Gene ID:
1514
Database links:
Entrez Gene: 1514 Human
Entrez Gene: 13039 Mouse
Entrez Gene: 25697 Rat
Omim: 116880 Human
SwissProt: P07711 Human
SwissProt: P06797 Mouse
SwissProt: P07154 Rat
Unigene: 726015 Human
Unigene: 930 Mouse
Unigene: 1294 Rat
Important Note:
This product as supplied is intended for research use only, not for use in human, therapeutic or diagnostic applications.
风险提示:丁香通仅作为第三方平台,为商家信息发布提供平台空间。用户咨询产品时请注意保护个人信息及财产安全,合理判断,谨慎选购商品,商家和用户对交易行为负责。对于医疗器械类产品,请先查证核实企业经营资质和医疗器械产品注册证情况。
文献和实验组织蛋白酶 cathepsin 在各种动物组织的细胞内(特别是溶酶体部分)发现的一类蛋白酶。此名源自希腊语的“消化”,为威尔斯达特( R. Willstā atter, 1929)命名的。来源于同一种类组织细胞的也是由组织蛋白酶 A. B. C. D. E等多种酶组成。可以根据所作用的代表性底物的种类进行分类,但似乎各自还有数种同工酶。组织蛋白酶 A的代表性底物是 N-苄氧基羰基 -L-谷酰胺 -L-苯丙氨酸,最适 pH约 5.5( 3— 6),可能是一种羧肽酶,可为二异丙基磷氟酸
(一) 酶制剂及其底物 凡无毒性又能呈现有色化学反应的酶,原则上均可作为标记用。但作为标记抗体用的酶应满足下列要求:(1)来源方便,易于纯化;(2)比活性高,性质稳定;(3)酶活性和量能用简单方法测定。目前在免疫酶技术中常用的酶为辣根过氧化物酶(HRP)和硷性磷酸酶(AP),其次还有葡萄糖氧化酶,β-半乳糖苷酶、溶菌酶和苹果酸脱氢酶等。 由于辣根过氧化物酶(Horseradish Peroxidase
问:在elisa实验中,抗体要不断冻融,特容易失活,不知道有什么配方可以使抗体和酶在4度中长时间保存? 答1:抗体溶液忌讳反复冻融。当你获得一个较大包装的抗体后,一般要先将其分装,每次取一小支使用,可于4度短期保存。 答2: (1) 分装的时候每管容量不宜过少,管数不宜过多,因为管壁也会吸附部分抗体溶液。 (2) 不要用玻璃容器分装,因为会导致蛋白失活 (3) 千万不要预先稀释,稀释后抗体效价降低很多 答4:高浓度的抗体存放于4度尚可
技术资料暂无技术资料 索取技术资料















