相关产品推荐更多 >
万千商家帮你免费找货
0 人在求购买到急需产品
- 详细信息
- 文献和实验
- 技术资料
- 亚型:
IgG
- 形态:
液态/冻干粉
- 保存条件:
-20℃保存
- 克隆性:
多克隆
- 标记物:
FITC
- 宿主:
Rabbit
- 应用范围:
ELISA=1:500-1000 IHC-P=1:100-500 IHC-F=1:100-500 ICC=1:100-500 IF=1:100-2250 (石蜡切片需做抗原修复) not yet tested in other applications.
- 浓度:
1787mg/ml
- 抗体英文名:
Bax
- 规格:
0.1ml 0.1752ml
中文名称Bax抗体
别 名apoptosis regulator BAX; Apoptosis regulator BAX cytoplasmic isoform beta; Apoptosis regulator BAX membrane isoform alpha; Bax isoform psi; BAX protein cytoplasmic isoform delta; Bax protein cytoplasmic isoform delta. antibody Bax protein cytoplasmic isoform gamma; Bax zeta; Bax-protein; Bcl-2-like protein 4; BCL2 associated X protein; BCL2L4; BAX_HUMAN; Bcl2-L-4.
文献有引用:
[IF=3.73] Rani, Neha, et al. "Regulation of Heat Shock Proteins 27 and 70, p-Akt/p-eNOS and MAPKs by Naringin Dampens Myocardial Injury and Dysfunction In Vivo after Ischemia/Reperfusion." PLOS ONE 8.12 (2013): e82577. WB ; Rat. PubMed:24324809 [IF=3.33] Chen, Jie, et al. "Targeting SPARC by lentivirus-mediated RNA interference inhibits cervical cancer cell growth and metastasis." BMC cancer 12.1 (2012): 464. WB ; Human. PubMed:23050783 [IF=3.33] Tian, Xiao Qiang, et al. "The protective effect of Hyperbaric oxygen and Ginkgo Biloba extract on Aβ25-35-induced oxidative stress and neuronal apoptosis in rats." Behavioural Brain Research (2012). WB ; Rat. PubMed:23266522 [IF=3.06] Li, Guiying, et al. "Gremlin Aggravates Hyperglycemia‐Induced Podocyte Injury by a TGFβ/Smad Dependent Signaling Pathway." Journal of Cellular Biochemistry (2013). WB ; Mouse. PubMed:23553804 [IF=1.31] Wang, Chunqiang, Wei Ma, and Yuhong Su. "NF-κB Pathway Contributes to Cadmium-Induced Apoptosis of Porcine Granulosa Cells." Biological trace element research (2013): 1-8. WB ; Pig. PubMed:23575899 [IF=2.27] He, X., et al. "Rapamycin inhibits acrolein‐induced apoptosis by alleviating ROS‐driven mitochondrial dysfunction in male germ cells." Cell Proliferation (2014). WB ; Mouse. PubMed:24483236 [IF=2.75] Ye, Bengui, et al. "Anti-tumor activity and relative mechanism of ethanolic extract of Marsdenia tenacissima (Asclepiadaceae) against human hematologic neoplasm in vitro and in vivo." Journal of Ethnopharmacology (2014). WB ; Human. PubMed:24583069 [IF=2.69] Lin, Caiyu, et al. "Lithocarpus Polystachyus Rehd Leaf Aqueous Extract Inhibits Human Breast Cancer Growth In Vitro and In Vivo." Nutrition and Cancer (2014). WB ; Human. PubMed:24660968 [IF=3.73] Zhu, Zhongling, et al. "Regulation of Cell Transformation by Rb-Controlled Redox Homeostasis." PLOS ONE 9.7 (2014): e102582. WB ; Mouse. PubMed:25019272 [IF=3.70] Lin, Lai-xiang, et al. "Feasibility of β-Sheet Breaker Peptide-H102 Treatment for Alzheimers Disease Based on β-Amyloid Hypothesis." PLoS one 9.11 (2014): e112052. IHC-P ; Mouse. PubMed:25372040 [IF=1.14] Wang, J., et al. "Esculetin, a coumarin derivative, exerts in vitro and in vivo antiproliferative activity against hepatocellular carcinoma by initiating a mitochondrial-dependent apoptosis pathway." Brazilian Journal of Medical and Biological Research (2014): 000-000. WB ; Mouse. PubMed:25517918 [IF=2.38] She, Yue, et al. "Aluminum Trichloride Disorders Bile Acid Secretion and Induces Hepatocyte Apoptosis in Rats." Cell Biochemistry and Biophysics (2015): 1-9. IHC-P ; Rat. PubMed:25578489 [IF=2.17] Huang, Guo-fu, et al. "The Effect of Electroacupuncture on the Extracellular Matrix Synthesis and Degradation in a Rabbit Model of Disc Degeneration." Evidence-Based Complementary and Alternative Medicine 2014 (2014). WB ; Rabbit. PubMed:25763091 [IF=4.47] Park, Min-Jung, et al. "New role of irisin in hepatocytes: The protective effect of hepatic steatosis in vitro." Cellular Signalling (2015). WB ; Mouse. PubMed:25917316 [IF=0.88] Li, Jinglong, et al. "Deficits of learning and memory in Hemojuvelin knockout mice." Journal of Veterinary Medical Science (2015). WB ; Mouse. PubMed:26027705 [IF=1.63] Aksu, E. H., et al. "Mitigation of paracetamol‐induced reproductive damage by chrysin in male rats via reducing oxidative stress." Andrologia (2016). IHC-P ; Rat. PubMed:26914515 [IF=5.62] Qiu, Shi, et al. "A small peptide derived from p53 linker region can resume the apoptotic activity of p53 by sequestering iASPP with p53." Cancer Letters 356.2 (2015): 910-917. IP ; Human. PubMed:25444901 [IF=1.51] Sun, Y‐L., et al. "Relationship between apoptosis and proliferation in granulosa and theca cells of cystic follicles in sows." Reproduction in domestic animals 47.4 (2012): 601-608. IHC-P ; Pig. PubMed:22023076 [IF=2.86] Liu, Yaping, et al. "Overexpression of PRL7D1 in Leydig Cells Causes Male Reproductive Dysfunction in Mice." International Journal of Molecular Sciences 17.1 (2016): 96. WB ; Mouse. PubMed:26771609 [IF=1.01] Yang, H., et al. "Lipopolysaccharide-induced dental pulp cell apoptosis and the expression of Bax and Bcl-2 in vitro." Brazilian Journal of Medical and Biological Research 43.11 (2010): 1027-1033. IF(ICC) ; Human. PubMed:20945038 [IF=3.56] He, Xin, et al. "Canonical Wnt signaling pathway contributes to the proliferation and survival in porcine pancreatic stem cells (PSCs)." Cell and tissue research 362.2 (2015): 379-388. WB ; Pig. PubMed:26085341 [IF=3.23] Daverey, Amita, and Sandeep K. Agrawal. "Curcumin alleviates oxidative stress and mitochondrial dysfunction in astrocytes." Neuroscience 333 (2016): 92-103. WB ; Human. PubMed:27423629 [IF=2.38] Abdel-Hamid, Nagwa I., Mona F. El-Azab, and Yasser M. Moustafa. "Macrolide antibiotics differentially influence human HepG2 cytotoxicity and modulate intrinsic/extrinsic apoptotic pathways in rat hepatocellular carcinoma model." Naunyn-Schmiedeberg's Archives of Pharmacology (2017): 1-17. IHC-P ; Rat. PubMed:28070612 [IF=1.55] Yang, Jinjiang, Ying Lu, and Ai Guo. "Platelet-rich plasma protects rat chondrocytes from interleukin-1β-induced apoptosis." Molecular Medicine Reports 14.5 (2016): 4075-4082. WB ; Rat. PubMed:27665780 [IF=2.62] Rahman, Md Mostafizur, et al. "Cytotoxic effects of cadmium and zinc co-exposure in PC12 cells and the underlying mechanism." Chemico-Biological Interactions (2017). WB ; Rat. PubMed:28390674 [IF=0.44] Sutrisno, Sutrisno, et al. "The effect of genistein on TGF-β signal, dysregulation of apoptosis, cyclooxygenase-2 pathway, and NF-kB pathway in mice peritoneum of endometriosis model." Middle East Fertility Society Journal (2017). IHC-P ; Mouse. PubMed:0 [IF=3.13] Zhang, Wen-feng, et al. "Angelica polysaccharides inhibit the growth and promote the apoptosis of U251 glioma cells in vitro and in vivo." Phytomedicine (2017). WB ; Human.
规格价格50ul/780元 购买 100ul/1380元 购买 200ul/2200元 购买 大包装/询价
说 明 书50ul 100ul 200ul
研究领域细胞生物 信号转导 细胞凋亡 线粒体
抗体来源Rabbit
克隆类型Polyclonal
交叉反应 Human, Mouse, Rat, Dog, Pig, Cow, Rabbit, Sheep,
产品应用WB=1:500-2000 ELISA=1:500-1000 IHC-P=1:400-800 IHC-F=1:400-800 Flow-Cyt=1μg /test IF=1:100-500 (石蜡切片需做抗原修复)
not yet tested in other applications.
optimal dilutions/concentrations should be determined by the end user.
分 子 量21kDa
细胞定位细胞浆 细胞膜 线粒体
性 状Lyophilized or Liquid
浓 度1mg/ml
免 疫 原KLH conjugated synthetic peptide derived from human Bax(73-112aa):84-175/192
亚 型IgG
纯化方法affinity purified by Protein A
储 存 液0.01M TBS(pH7.4) with 1% BSA, 0.03% Proclin300 and 50% Glycerol.
保存条件Store at -20 °C for one year. Avoid repeated freeze/thaw cycles. The lyophilized antibody is stable at room temperature for at least one month and for greater than a year when kept at -20°C. When reconstituted in sterile pH 7.4 0.01M PBS or diluent of antibody the antibody is stable for at least two weeks at 2-4 °C.
PubMedPubMed
该基因编码通常在内皮细胞和免疫系统细胞上表达的细胞表面糖蛋白。它结合CD11a/CD18或CD11b/CD18的整合素,也被鼻病毒作为受体利用。[ RefSeq,JUL 2008 ]提供。
功能:
ICAM蛋白是白细胞粘附蛋白LFA-1(整合素α-L/BETA-2)的配体。在白细胞跨内皮迁移过程中,ICAM1参与促进内皮顶端杯的组装通过ARHGEF26/SGEF和RoG激活。在鼻病毒感染的情况下,作为病毒的细胞受体。
Subunit:
同源二聚体(可能)。与人类疱疹病毒8 miR2蛋白(可能)相互作用。与MUC1相互作用,促进上皮细胞聚集。与ARHGEF26/SGEF相互作用。结合柯萨奇病毒A21衣壳蛋白并作为该病毒的受体。
亚细胞定位:
膜;单程I型膜蛋白。
翻译后修饰:
单吸收性,由MARCH9促进,并导致内吞。
相似性:
属于免疫球蛋白超家族。ICAM家族
保留5 Ig样C2型(免疫球蛋白样)结构域。
瑞士:
P13597
Gene ID:
三千三百八十三
数据库链接:
Enter Z基因:3383人
Entrez Gene:15894只老鼠
Entrez Gene:25464只老鼠
Omim:147840个人
Unigne:643447人
SwissProt:人类P05362
SwissProt:P13597小鼠
SwissProt:Q00
UNIGENE:435508小鼠
Unigne:12只大鼠
重要注意事项:
所提供的产品仅用于研究用途,不用于人体、治疗或诊断应用。
Database links:
Entrez Gene: 581 Human
Entrez Gene: 12028 Mouse
Entrez Gene: 24887 Rat
Omim: 600040 Human
SwissProt: Q07812 Human
SwissProt: Q07813 Mouse
SwissProt: Q63690 Rat
Unigene: 624291 Human
Unigene: 19904 Mouse
Unigene: 10668 Rat
Important Note:
This product as supplied is intended for research use only, not for use in human, therapeutic or diagnostic applications.
可识别分子量为21KDa的Bax蛋白,此抗体与Bax有较高特异性,且与Bc1-2及Bc1-X蛋白无交叉反应,Bax、Bc1-2和Bc1-X蛋白是凋亡调节蛋白家庭成员。与Bc1-2和Bc1-X相反,Bax蛋白的过量表达加速细胞凋亡。Bax在组织中广泛表达。
Bax与Bc1-2比值的高低可用于判断恶性肿瘤耐药及复发。此抗体用于肿瘤及细胞凋亡等方面的研究。最新的研究表明:Bax可能具有肿瘤抑制作用。
样品:脑(大鼠)裂解液30ug;
肝(小鼠)裂解物,30ug;
原发性:抗-Bax(BS 0127R)1:200;
次级:HRP偶联山羊抗兔IgG(BSE-029 5G):1∶3000;
ECL激发荧光;
预测波段大小:21KD
观察波段尺寸:21KD
Sample:
Hela-UV(Human) Cell Lysate at 30 ug
Primary: Anti-Bax (bs-0127R) at 1/1000 dilution
Secondary: IRDye800CW Goat Anti-Rabbit IgG at 1/20000 dilution
Predicted band size: 21 kD
Observed band size: 23 kD
Sample:
Hela(Human) Cell Lysate at 30 ug
Primary: Anti-Bax (bs-0127R) at 1/1000 dilution
Secondary: IRDye800CW Goat Anti-Rabbit IgG at 1/20000 dilution
Predicted band size: 21 kD
Observed band size: 23 kD
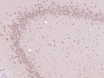
Paraformaldehyde-fixed, paraffin embedded (Rat brain); Antigen retrieval by boiling in sodium citrate buffer (pH6.0) for 15min; Block endogenous peroxidase by 3% hydrogen peroxide for 20 minutes; Blocking buffer (normal goat serum) at 37°C for 30min; Antibody incubation with (Bax) Polyclonal Antibody, Unconjugated (bs-0127R) at 1:400 overnight at 4°C, followed by operating according to SP Kit(Rabbit) (sp-0023) instructionsand DAB staining.
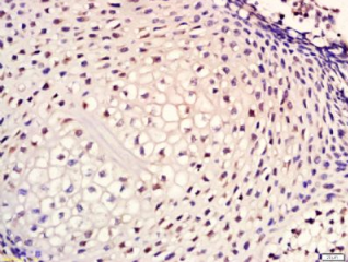
Paraformaldehyde-fixed, paraffin embedded (Human brain glioma); Antigen retrieval by boiling in sodium citrate buffer (pH6.0) for 15min; Block endogenous peroxidase by 3% hydrogen peroxide for 20 minutes; Blocking buffer (normal goat serum) at 37°C for 30min; Antibody incubation with (Bax) Polyclonal Antibody, Unconjugated (bs-0127R) at 1:400 overnight at 4°C, followed by operating according to SP Kit(Rabbit) (sp-0023) instructionsand DAB staining.
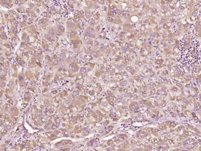
Paraformaldehyde-fixed, paraffin embedded (Human liver carcinoma); Antigen retrieval by boiling in sodium citrate buffer (pH6.0) for 15min; Block endogenous peroxidase by 3% hydrogen peroxide for 20 minutes; Blocking buffer (normal goat serum) at 37°C for 30min; Antibody incubation with (Bax) Polyclonal Antibody, Unconjugated (bs-0127R) at 1:400 overnight at 4°C, followed by operating according to SP Kit(Rabbit) (sp-0023) instructionsand DAB staining.
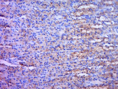
Tissue/cell: rat stomach tissue; 4% Paraformaldehyde-fixed and paraffin-embedded;
Antigen retrieval: citrate buffer ( 0.01M, pH 6.0 ), Boiling bathing for 15min; Block endogenous peroxidase by 3% Hydrogen peroxide for 30min; Blocking buffer (normal goat serum,C-0005) at 37℃ for 20 min;
Incubation: Anti-Bax Polyclonal Antibody, Unconjugated(bs-0127R) 1:200, overnight at 4癈, followed by conjugation to the secondary antibody(SP-0023) and DAB(C-0010) staining
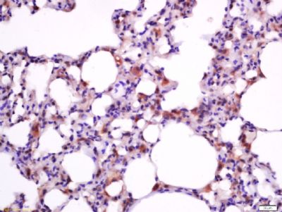
Tissue/cell: rat lung tissue; 4% Paraformaldehyde-fixed and paraffin-embedded;
Antigen retrieval: citrate buffer ( 0.01M, pH 6.0 ), Boiling bathing for 15min; Block endogenous peroxidase by 3% Hydrogen peroxide for 30min; Blocking buffer (normal goat serum,C-0005) at 37℃ for 20 min;
Incubation: Anti-Bax Polyclonal Antibody, Unconjugated(bs-0127R) 1:200, overnight at 4癈, followed by conjugation to the secondary antibody(SP-0023) and DAB(C-0010) staining
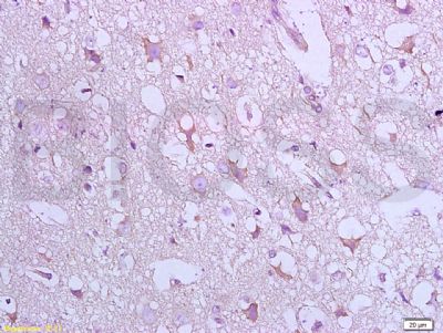
Tissue/cell: rat brain tissue; 4% Paraformaldehyde-fixed and paraffin-embedded;
Antigen retrieval: citrate buffer ( 0.01M, pH 6.0 ), Boiling bathing for 15min; Block endogenous peroxidase by 3% Hydrogen peroxide for 30min; Blocking buffer (normal goat serum,C-0005) at 37℃ for 20 min;
Incubation: Anti-Bax Polyclonal Antibody, Unconjugated(bs-0127R) 1:800, overnight at 4癈, followed by conjugation to the secondary antibody(SP-0023) and DAB(C-0010) staining
叠加直方图显示HL 60细胞用BS0127R(绿线)染色。
用90%甲醇(5分钟)固定细胞,然后用0.01M PBS TWEN渗透20分钟,然后在1X PBS/10%正常山羊血清中孵育,以阻断非特异性蛋白-蛋白相互作用,然后在22℃下用抗体(BS-0127R,1μg/1x10^ 6细胞)30分钟。第二抗体为异硫氰酸荧光素山羊抗兔IgG(H+L)(BS -029 5G-FITC,亮蓝线),在22℃稀释1/200 min,共30分钟。同种型对照抗体为兔IgG(多克隆,BS-029 5P,橙线)(1μg/1x10 ^ 6细胞),在相同条件下使用。未标记的样品(蓝线)也被用作对照。使用20MW氩离子激光器(48 8nm)和525/30带通滤波器收集20000个事件
风险提示:丁香通仅作为第三方平台,为商家信息发布提供平台空间。用户咨询产品时请注意保护个人信息及财产安全,合理判断,谨慎选购商品,商家和用户对交易行为负责。对于医疗器械类产品,请先查证核实企业经营资质和医疗器械产品注册证情况。
文献和实验大学的Andrew Chalmers博士于2014年主导创立的,其号称是世界最大的抗体搜索引擎,该网站上包含了来自204个抗体供应商的近五百万个抗体,汇总了两百多万条抗体引用数据,并且该网站仍在不断更新最新的数据。输入关键词(如:CD3)后点击搜索即可出现所有符合条件的抗体,而该网站的特色是,搜索结果根据抗体被文献引用的次数排序,一般来说,引用越多的产品,质量往往越有保证。 03 Labome 网址:https://www.labome.com/ Labome(www.labome.com
目前市场上的 ELISA 试剂盒质量参差不齐,如何去挑选适合自己的试剂盒就显得特别重要,具体有以下几点可供参考。 特异性 ELISA 试剂盒的特异性与试剂盒的关键组分,抗体对有关。若抗体对中之一为多抗,另一个必须为单抗,建议使用双单抗。 灵敏度 灵敏度反映的是试剂盒检出被检物质的最低量的能力,用户可根据自己样本中待检指标的量选择合适的试剂盒,如果待检指标量很低,一般的试剂盒不能满足要求,可选择高敏的 ELISA 试剂盒。 重复
目前市场上的ELISA试剂盒质量参差不齐,如何去挑选适合自己的试剂盒就显得特别重要,具体有以下几点可供参考: 一、特异性 ELISA试剂盒的特异性与试剂盒的关键组分,抗体对有关,若抗体对中之一为多抗,另一个必须为单抗,建议使用双单抗。 二、灵敏度 灵敏度反映的是试剂盒检出被检物质的最低量的能力,用户可根据自己样本中待检指标的量选择合适的试剂盒,如果待检指标量很低,一般的试剂盒不能满足要求,可选择高敏的ELISA试剂盒。 三、重复
技术资料暂无技术资料 索取技术资料









