相关产品推荐更多 >
万千商家帮你免费找货
0 人在求购买到急需产品
- 详细信息
- 询价记录
- 文献和实验
- 技术资料
- 亚型:
IgG
- 形态:
液态/冻干粉
- 保存条件:
-20℃保存
- 克隆性:
多克隆
- 标记物:
FITC
- 宿主:
Rabbit
- 应用范围:
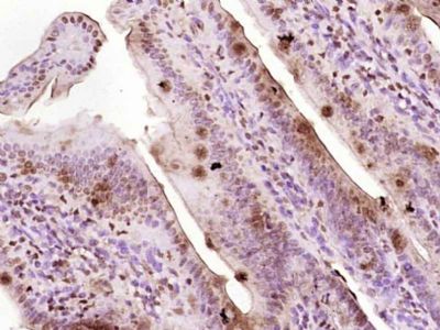
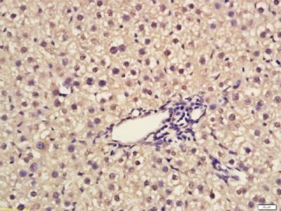
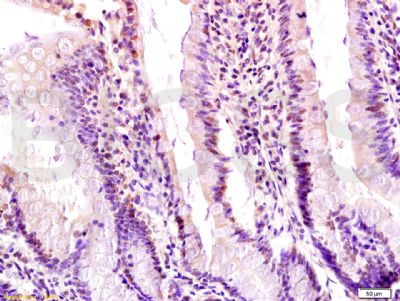
ELISA=1:500-1000 IHC-P=1:100-500 IHC-F=1:100-500 ICC=1:100-500 IF=1:100-859 (石蜡切片需做抗原修复) not yet tested in other applications.
- 浓度:
396mg/ml
- 抗体英文名:
TOE1
- 规格:
0.1ml 0.361ml
中文名称早期生长应答蛋白1抗体
别 名Egr-1; Early growth response 1; Krox-24; Ngf1; Ngfi; NGFI-A; zif-268; Egr1; A530045N19Rik; egr; Egr-1; ETR103; Krox-1; Krox-24; Krox24; NGF1-A; NGFI-A; NGFIA; TIS8; Zenk; Zfp-6; AT 225; AT225; Early growth response protein 1; G0S 30; G0S30; KROX 24; Krox 24 protein; KROX24; TIS 8; TIS8; Transcription factor ETR 103; Transcription factor ETR103; Transcription factor Zif 268; Transcription factor Zif268; Zfp 6; ZIF268; Zinc finger protein 225; ZNF 225; ZNF225; EGR1_HUMAN.
规格价格50ul/780元 购买 100ul/1380元 购买 200ul/2200元 购买 大包装/询价
说 明 书50ul 100ul 200ul
研究领域细胞生物 免疫学 信号转导 生长因子和激素 细胞周期蛋白 转录调节因子
抗体来源Rabbit
克隆类型Polyclonal
交叉反应 Human, Mouse, Rat,
产品应用WB=1:500-2000 ELISA=1:500-1000 IHC-P=1:400-800 IHC-F=1:400-800 IF=1:100-500 (石蜡切片需做抗原修复)
not yet tested in other applications.
optimal dilutions/concentrations should be determined by the end user.
分 子 量60kDa
细胞定位细胞核
性 状Lyophilized or Liquid
浓 度1mg/ml
免 疫 原KLH conjugated synthetic peptide derived from human Egr-1 (401-500aa):401-500/453
亚 型IgG
纯化方法affinity purified by Protein A
储 存 液0.01M TBS(pH7.4) with 1% BSA, 0.03% Proclin300 and 50% Glycerol.
保存条件Store at -20 °C for one year. Avoid repeated freeze/thaw cycles. The lyophilized antibody is stable at room temperature for at least one month and for greater than a year when kept at -20°C. When reconstituted in sterile pH 7.4 0.01M PBS or diluent of antibody the antibody is stable for at least two weeks at 2-4 °C.
PubMedPubMed
产品介绍background:
The protein encoded by this gene belongs to the EGR family of C2H2-type zinc-finger proteins. It is a nuclear protein and functions as a transcriptional regulator. The products of target genes it activates are required for differentitation and mitogenesis. Studies suggest this is a cancer suppresor gene. [provided by RefSeq].
Function:
Transcriptional regulator. Recognizes and binds to the DNA sequence 5'-CGCCCCCGC-3'(EGR-site). Activates the transcription of target genes whose products are required for mitogenesis and differentiation.
Subcellular Location:
Nucleus.
Similarity:
Belongs to the EGR C2H2-type zinc-finger protein family.
Contains 3 C2H2-type zinc fingers.
SWISS:
P18146
Gene ID:
1958
Database links:
Entrez Gene: 1958 Human
Entrez Gene: 13653 Mouse
Omim: 128990 Human
SwissProt: P18146 Human
SwissProt: P08046 Mouse
Unigene: 326035 Human
Unigene: 708393 Human
Unigene: 181959 Mouse
Important Note:
This product as supplied is intended for research use only, not for use in human, therapeutic or diagnostic applications.
Egr-1为即刻早期基因家族中的一个成员,是一种含3个锌指结构的转录因子。有研究表明EGR-1在细胞生长分化中发挥重要作用,如在细胞周期G1-S期的转换过程中Egr-1被诱导表达。
风险提示:丁香通仅作为第三方平台,为商家信息发布提供平台空间。用户咨询产品时请注意保护个人信息及财产安全,合理判断,谨慎选购商品,商家和用户对交易行为负责。对于医疗器械类产品,请先查证核实企业经营资质和医疗器械产品注册证情况。
- 作者
- 内容
- 询问日期
文献和实验Nat Biotechnol:调控蛋白质稳态,建立蛋白降解靶向减毒疫苗新策略
机器「泛素-蛋白酶体系统」为 PROTAC 病毒疫苗的设计提供了关键生物学基础。近年来,基于泛素-蛋白酶体系统的 PROTAC 蛋白质靶向降解技术,已经被成功地用于开发基于化学小分子的蛋白降解剂,并成为国际科学研究热点(Nat Biotechnol 40, 12-16 (2022);Nat Rev Drug Discov 21, 181-200 (2022)),即研究人员设计出一种具有两个活性端的小分子化合物,一个活性端可以与需要降解的靶蛋白相结合,而另一个活性端可以与特定的 E3 泛素连接
1.质谱定义 代谢组学就是研究生命体中所有代谢产物(小分子化合物)变化规律的科学,通过比较不同实验组之间代谢物的系统性差异来研究生命现象,并揭示其内在规律。在 DNA-RNA-蛋白质-代谢物这一中心法则框架内,代谢组学处于生命动态系统最下游,最接近于表型,它不仅是表型的描述性指标,还可以通过调节基因组、转录组、蛋白组等多组学来影响机体的生理功能。近年来,代谢组学发展迅猛,研究成果备受顶级期刊青睐。 说到这里,您一定想了解代谢组学最早期的发展历史吧~~ 2.发展历史 1970 年
生成、抑制纤维化、提高组织修复潜力等重要生物学功能。其具有以下特征: 典型的“杯托”形态 内含的核苷酸包括 DNA、mRNA、miRNA、lncRNA 等 几乎存在于所有的体液、组织及细胞间隙中 几乎所有的细胞都能分泌外泌体 不同细胞分泌的外泌体成分不同 二、外泌体有哪些功能? 外泌体携带大量特异性的蛋白质(如细胞因子、生长因子)以及功能性的 mRNA、miRNA 等生物活性物质,在体内参与免疫应答、抗原提呈、细胞迁移、细胞
技术资料暂无技术资料 索取技术资料













