万千商家帮你免费找货
0 人在求购买到急需产品
- 详细信息
- 文献和实验
- 技术资料
- 保存条件:
-80℃冻存
- 保质期:
二年
- 英文名:
NTERA-2
- 库存:
20
- 供应商:
上海泽叶生物科技有限公司
- 规格:
1x10^6 cells
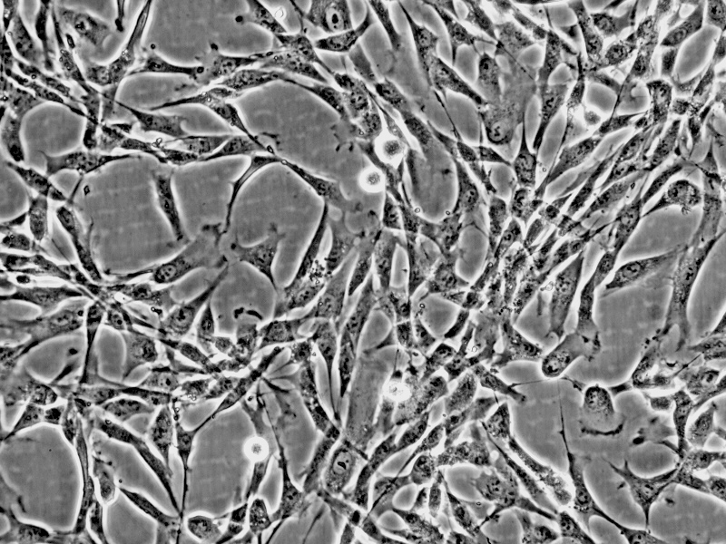
细胞英文(简称):NTERA-2
细胞来源: ATCC DSMZ JCM ECACC
代次:P3
规格:T25
细胞数:1x10^6 cells
组织来源:畸胎瘤
细胞形态:贴壁
细胞活力:95%(Viability by Trypan Blue Exclusion)
细胞检测:细胞不含有:HIV-1、HBV、HCV、支原体、细菌、酵母和真菌
培养条件:RPMI-1640 +10% FBS;37℃,5% CO2
传代方法建议:1:2-1:3 两天换液一次
冻存条件:完全培养基50%+40%FBS+10%DMSO
传代细胞培养操作步骤
1、 37度水浴加热所有试剂。
2、 吸取培养培养皿内旧培养液,放置一个干净离心管内。(为稍后终止消化作准备。)
3、 用PBS清洗培养皿,弃去。
4、 向瓶内加入消化液(胰蛋白酶液)。以能覆盖培养瓶底为宜。(一般一个大皿1ml)
5、 2-5分钟后,轻轻震荡培养皿。使NTERA-2人恶性多发性畸胎瘤细胞从瓶壁脱离形成细胞悬液。显微镜下观察若细胞由贴壁变为悬浮就加入血清(即原培养液)终止消化。
6、 收集细胞悬液,880转/分、5分钟离心,弃去上清液。
7、 加培养液至1ml,混匀后取10ul计数细胞。
8、 根据实验要求取适量细胞留种或接种于新的培养皿或96孔板、24孔板中,再加入相应体积的培养液。(90mm大皿是9ml,中皿好像是4mm,6孔板和小皿是2ml,96孔板是100ul)。
9、 接种好的培养皿顺时针和逆时针各转三圈,使细胞排列均匀。
10、 放入暖箱中继续培养。
细胞计数步骤:
1、将计数板及盖片擦拭干净,并将盖片盖在计数板上.
2、将细胞悬液吸出少许,用台盼兰溶液对被稀释后滴加在盖片边缘,使悬液充满盖片和计数板之间。(台盼兰用于标记死亡细胞。)
3、镜下观察,计算计数板八大格细胞总数,压线细胞只计左侧和上方的。然后按下式计算:
细胞数/ml=8大格细胞总数/ 8×2×10000
细胞冻存与复苏:
NTERA-2人恶性多发性畸胎瘤细胞冻存和复苏的原则:慢冻快融
当细胞冷到零度以下,可以产生以下变化:细胞器脱水,细胞中可溶性物质浓度升高,并在细胞内形成冰晶。
如果缓慢冷冻,可使细胞逐步脱水,细胞内不致产生大的冰晶;相反,结晶很大,大结晶会造成细胞膜、细胞器的损伤和破裂。复苏过程应快融,目的是防止小冰晶形成大冰晶,即冰晶的重结晶。
1.冻存细胞
(1)选对数增生期细胞,在冻存前1d换液。
(2)按常规方法把培养细胞制备成悬液,计数,使细胞密度达5×106/m1左右密度,离心,去上清。
(3)加入配制好的冻存液(培养液6.8ml,小牛血清2ml,DMSO 1ml,5.6%NaHCO3 0.1ml),按与去上清相同的量一滴一滴加入离心管中,然后用吸管轻轻吹打令细胞成再悬液。冻存细胞时培养液中加入保护剂10%二甲基亚砜(DMSO) 或甘油,它是一种渗透性保护剂,可迅速透入细胞,提高胞膜对水的通透性,降低冰点,延缓冻结过程,能使细胞内水分在冻结前透出细胞外,在胞外形成冰晶,减少胞内冰晶,从而减少冰晶对细胞的损伤
(4)分装于无菌冻存管中,每管加1.5m1悬液。
(5)旋好冻存管并仔细检查,一定要盖紧,作好标记。
(6)冻存:在特殊的仪器或简易的液氮容器中,按-1℃/min的速度,在30~40 min时间内,下降到液氮表面,再停30 min后,直接投入液氮中。要适当掌握下降冷冻速度,过快能影响细胞内水分透出,太慢则促进冰晶形成。
标准程序:
当温度在-25℃以上时, 1~2℃/min
当温度达-25℃以下时, 5~10℃/min
当温度达-100℃时,可迅速放入液氮中
简易程序:
将冷冻管(管口要朝上)放入纱布袋内,纱布袋系以线绳,通过线绳将纱布袋固定于液氮罐罐口,按每分钟温度下降1~2℃的速度,在40分钟内降至液氮表面,停30分钟后,直接投人液氮中。
操作时应戴防护眼镜和手套,以免液氮冻伤。
2. 复苏细胞
(1)从罐中取出冻存管。
(2)迅速放入37℃水浴,不时摇动,使其急速融化,30~60s内完成。
(3)冻存管用70%酒精擦拭消毒后,打开盖子,用吸管将细胞悬液注入离心管中,再滴加10 m1培养液。
(4)NTERA-2人恶性多发性畸胎瘤细胞低速离心(880r/min) 5 min,去上清后再用培养液洗一次。
(5)用培养液适当稀释后,装入培养瓶37℃培养,次日更换一次培养液后,继续培养。以后仍按常规进行培养。
冻存细胞数量要充分,密度应达到107/m1,在融后稀释20倍后,仍能保持5×105/m1数量。
| ECACC细胞库 | 88041901 | HUT-78 | 90110504 | GS-109-V-34 | 93120822 | GIRARDI HEART (HeLa derivative) | 98102212 | HMT-3522 T4-2 | 84102903 | KHOS/NP |
| ECACC细胞库 | 88041904 | NFS-5 C1 | 90110505 | GS-109-V-20 | 93120834 | RPMI 1846 | 98102213 | CTX TNA2 | 84111301 | BHK21C13-2P |
| ECACC细胞库 | 88041905 | NFS-70 C10 | 90110506 | 45.6.TG1.7 | 93120835 | SK LU 1 | 98102214 | DI TNC1 | 84113001 | Vero |
| ECACC细胞库 | 88042802 | PUTKO | 90110508 | 3A sub E | 93120836 | DK | 98110201 | SHP-77 | 84121901 | HeLa Ohio |
| ECACC细胞库 | 88042803 | Jurkat E6.1 | 90110510 | OMK (637-69) | 93120837 | SK MES 1 | 98120701 | GM1899A | 84121902 | C16 (HeLa derivative) |
| ECACC细胞库 | 88042804 | A9HT | 90110512 | CCD-39Lu | 93120838 | TK-TS 13 | 99011801 | MDST8 | 84121903 | MDCK |
| ECACC细胞库 | 88050503 | Mv.1.Lu | 90110513 | CCD-37Lu | 93120839 | WKD (HeLa derivative) | 99040201 | Ishikawa | 85011401 | P3X63Ag8 |
| ECACC细胞库 | 88051601 | C8166 | 90110514 | CCD-34Lu | 93120840 | BHK 21 STRAIN 31 | 99072801 | 10T½ | 85011402 | S1814.PB5 |
风险提示:丁香通仅作为第三方平台,为商家信息发布提供平台空间。用户咨询产品时请注意保护个人信息及财产安全,合理判断,谨慎选购商品,商家和用户对交易行为负责。对于医疗器械类产品,请先查证核实企业经营资质和医疗器械产品注册证情况。
文献和实验MDA-MB-157 人乳腺癌细胞 MDA-MB-231 人乳腺癌细胞 MDA-MB-435s 人乳腺癌细胞 MDA-MB-453 人乳腺癌细胞 MG-63 人骨肉瘤细胞 Mo7e 人巨细胞白血病细胞(B类) MOLT-4 人淋巴细胞白血病细胞 NCI-H157 人非小细胞肺腺癌 NCI-H209 人小细胞肺癌 NCI-H446 人小细胞肺癌 NTERA-2 人恶性多发性畸胎瘤细胞 PA-1 人卵巢畸胎瘤细胞 ANC-1 人胰腺癌细胞 PC-3
血清肿瘤标志物检测是临床上诊断胃癌的有效方式之一。 癌胚抗原 (CEA) 是临床上常用的肿瘤标志物之一,它属于糖蛋白,其相对分子量较大。健康人血液中 CEA 的含量极低,而恶性肿瘤患者血液中 CEA 的含量会明显升高。然而本例患者的 CEA 正常。 AFP 是一种由肝脏、卵黄囊和胃肠道产生和分泌的糖蛋白 [3],通常作为肝细胞癌 (HCC) 或卵黄囊肿瘤的重要肿瘤标志物。但在 HCC 和卵黄囊肿瘤以外的一些疾病中,血清 AFP 水平也较高,其中以胃癌最为常见 [4-5]。除了肝癌和胃癌,AFP 升高还可以见于睾丸
、肋骨、股骨、肱骨及肩胛骨等 滑膜组织 滑膜瘤 滑膜肉瘤 膝、踝、肩和肘等关节附近 间皮 间皮瘤 恶性间皮瘤 胸膜、腹膜 三、淋巴造血组织 淋巴组织 恶性淋巴瘤 颈部、纵隔、肠系膜和腹膜后淋巴结 造血组织 各种白血病 淋巴造血组织 多发性骨髓瘤 椎骨、胸骨、肋骨、颅骨和长骨 四、神经组织 神经衣组织 神经纤维瘤 神经纤维肉瘤 单发性;全身皮神经;多发性:深部神经及内脏也受累 神经鞘细胞 神经鞘瘤 恶性神经鞘瘤 头、颈、四肢等处神经 胶质细胞 胶质细胞瘤 恶性
技术资料暂无技术资料 索取技术资料









