相关产品推荐更多 >
万千商家帮你免费找货
0 人在求购买到急需产品
- 详细信息
- 文献和实验
- 技术资料
- 免疫原:
Synthetic peptide within Mouse Glutathione Peroxidase 4
- 亚型:
IgG
- 形态:
液体
- 保存条件:
+4°C 下短期储存,-20°C 下长期储存。避免冻融循环
- 克隆性:
单克隆
- 适应物种:
Mouse, Rat, Human
- 库存:
大量
- 供应商:
北京百奥创新科技有限公司
- 宿主:
兔
- 应用范围:
Flow Cyt (Intra), WB, IHC-P, ICC/IF
- 抗体英文名:
Anti-Glutathione Peroxidase 4 antibody [EPNCIR144]
- 抗体名:
Anti-Glutathione Peroxidase 4 antibody [EPNCIR144]
- 规格:
40ul
产品名称:Anti-Glutathione Peroxidase 4 antibody [EPNCIR144]
产品货号:Ab125066
产品规格:100ul
保存条件:+4°C 下短期储存,-20°C 下长期储存。避免冻融循环。
形态:液体
应用范围:Flow Cyt (Intra), WB, IHC-P, ICC/IF
保质期:按说明书条件可保存1-2年
Western blot - Anti-Glutathione Peroxidase 4 antibody [EPNCIR144] (ab125066)
All lanes : Anti-Glutathione Peroxidase 4 antibody [EPNCIR144] (ab125066) at 1/1000 dilution
Lane 1 : Wild-type HeLa (Human epithelial cell line from cervix adenocarcinoma) whole cell lysate
Lane 2 : GPX4 knockout HeLa (Human epithelial cell line from cervix adenocarcinoma) whole cell lysate
Lane 3 : Jurkat (Human T cell leukemia cell line from peripheral blood) whole cell lysate
Lysates/proteins at 20 µg per lane.
Performed under reducing conditions.
Predicted band size: 22 kDa
产品货号:Ab125066
产品规格:100ul
保存条件:+4°C 下短期储存,-20°C 下长期储存。避免冻融循环。
形态:液体
应用范围:Flow Cyt (Intra), WB, IHC-P, ICC/IF
保质期:按说明书条件可保存1-2年
Western blot - Anti-Glutathione Peroxidase 4 antibody [EPNCIR144] (ab125066)
All lanes : Anti-Glutathione Peroxidase 4 antibody [EPNCIR144] (ab125066) at 1/1000 dilution
Lane 1 : Wild-type HeLa (Human epithelial cell line from cervix adenocarcinoma) whole cell lysate
Lane 2 : GPX4 knockout HeLa (Human epithelial cell line from cervix adenocarcinoma) whole cell lysate
Lane 3 : Jurkat (Human T cell leukemia cell line from peripheral blood) whole cell lysate
Lysates/proteins at 20 µg per lane.
Performed under reducing conditions.
Predicted band size: 22 kDa
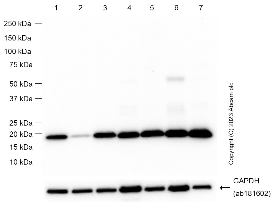
Western blot - Anti-Glutathione Peroxidase 4 antibody [EPNCIR144] (ab125066)
All lanes : Anti-Glutathione Peroxidase 4 antibody [EPNCIR144] (ab125066) at 1/1000 dilution
Lane 1 : 293T (Human embryonic kidney epithelial cell) whole cell lysate
Lane 2 : A549 (Human lung carcinoma epithelial cell) whole cell lysate
Lane 3 : HepG2 (Human hepatocellular carcinoma epithelial cell) whole cell lysate
Lane 4 : Rat heart lysate
Lane 5 : Mouse ovary lysate
Lane 6 : Mouse heart lysate
Lane 7 : Mouse lung lysate
Lysates/proteins at 20 µg per lane.
Secondary
All lanes : Goat Anti-Rabbit IgG H&L (HRP) at 1/20000 dilution
Predicted band size: 22 kDa
All lanes : Anti-Glutathione Peroxidase 4 antibody [EPNCIR144] (ab125066) at 1/1000 dilution
Lane 1 : 293T (Human embryonic kidney epithelial cell) whole cell lysate
Lane 2 : A549 (Human lung carcinoma epithelial cell) whole cell lysate
Lane 3 : HepG2 (Human hepatocellular carcinoma epithelial cell) whole cell lysate
Lane 4 : Rat heart lysate
Lane 5 : Mouse ovary lysate
Lane 6 : Mouse heart lysate
Lane 7 : Mouse lung lysate
Lysates/proteins at 20 µg per lane.
Secondary
All lanes : Goat Anti-Rabbit IgG H&L (HRP) at 1/20000 dilution
Predicted band size: 22 kDa
风险提示:丁香通仅作为第三方平台,为商家信息发布提供平台空间。用户咨询产品时请注意保护个人信息及财产安全,合理判断,谨慎选购商品,商家和用户对交易行为负责。对于医疗器械类产品,请先查证核实企业经营资质和医疗器械产品注册证情况。
文献和实验该产品被引用文献
[1]Erin N. Scully,Juliana Montoya Sanchez,Christopher B. Sturdy. Abcam Monoclonal Egr-1 ab133695 is an effective primary antibody replacement for Santa Cruz sc-189 polyclonal Egr-1 in songbirds[J]. Heliyon,2019,5(11).
技术资料文献支持
Anti-Glutathione Peroxidase 4 antibody [EPNCIR144]
¥2500 - 3000


![Anti-Glutathione Peroxidase 4 antibody [EPNCIR144]](https://img1.dxycdn.com/2023/0605/601/2173886336524555661-14.jpg)






