相关产品推荐更多 >

Polycystin 1 Rabbit pAb, PerCP conjugated(bs-2157R-PerCP)-100ul
¥2980
phospho-GATA2 (Ser401) Rabbit pAb, Biotin conjugated(bs-13293R-Bio)-100ul
¥2980
5HT4 Receptor Rabbit pAb, Biotin conjugated(bs-12054R-Bio)-100ul
¥2980
PKC delta Rabbit pAb(bs-3625R)-50ul/100ul/200ul
¥1180
EAAT1 Rabbit pAb, Cy5 conjugated(bs-1003R-Cy5)-100ul
¥2980
万千商家帮你免费找货
0 人在求购买到急需产品
- 详细信息
- 技术资料
- 应用范围:
产品信息以Bioss网站为准
- 规格:
50ul/100ul/200ul
| 规格: | 50ul | 产品价格: | ¥1180.0 |
|---|---|---|---|
| 规格: | 100ul | 产品价格: | ¥1980.0 |
| 规格: | 200ul | 产品价格: | ¥2800.0 |
| 产品编号 | bs-17687R |
| 英文名称 | MPP6/MPHOSPH6 Rabbit pAb |
| 中文名称 | M-期磷蛋白6抗体 |
| 英文别名 | M phase phosphoprotein 6; M phase phosphoprotein 6 variant; M-phase phosphoprotein 6; MPH6_HUMAN; MPHOSH6; MPHOSPH 6; Mphosph6; MPP-6; MPP; MPP6. |
| 产品应用 | IHC-P=1:100-500, IHC-F=1:100-500, IF=1:100-500 Not yet tested in other applications. |
| 交叉反应 | Rat (Human, Mouse, Cow, Rabbit, Sheep) |
| 抗体来源 | Rabbit |
| 免疫原 | KLH conjugated synthetic peptide derived from human MPP6 |
| 亚型 | IgG |
| 性状 | Liquid |
| 纯化方法 | affinity purified by Protein A |
| 克隆类型 | Polyclonal |
| 理论分子量 | 19 kDa |
| 浓度 | 1mg/ml |
| 储存液 | 0.01M TBS (pH7.4) with 1% BSA, 0.02% Proclin300 and 50% Glycerol. |
| 亚基 | Associates with the RNA exosome complex, probably mediated by EXOSC10. Interacts with ARHGAP18, EXOSC10 and SKIV2L2. |
| 亚细胞定位 | Nucleus > nucleolus. Cytoplasm. Cytoplasmic in M phase. |
| 翻译后修饰 | Phosphorylated in M (mitotic) phase. |
| 相似性 | Belongs to the MPP6 family. |
| 功能 | RNA-binding protein that associates with the RNA exosome complex. Involved in the 3'-processing of the 7S pre-RNA to the mature 5.8S rRNA and play a role in recruiting the RNA exosome complex to pre-rRNA; this function may include C1D. |
| 保存条件 | Shipped at 4℃. Store at -20℃ for one year. Avoid repeated freeze/thaw cycles. |
| 注意事项 | This product as supplied is intended for research use only, not for use in human, therapeutic or diagnostic applications. |
| 背景资料 | MPHOSPH6 (M-Phase Phosphoprotein 6) is a Protein Coding gene. Among its related pathways are rRNA processing in the nucleus and cytosol and Gene Expression. Gene Ontology (GO) annotations related to this gene include RNA binding. |
| 应用 | 推荐稀释比例 |
| {IHC-P} | {1:100-500} |
| {IHC-F} | {1:100-500} |
| {IF} | {1:100-500} |

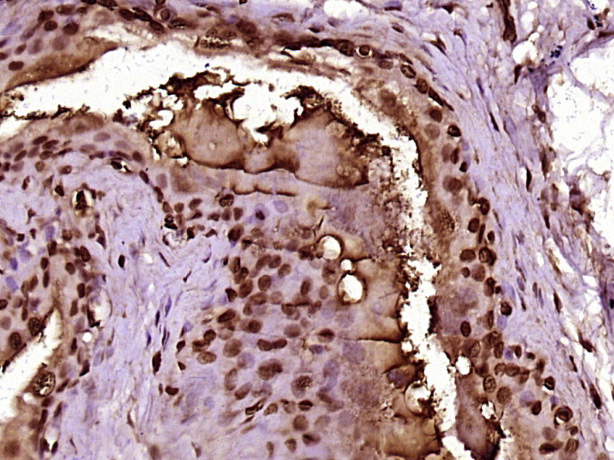
Paraformaldehyde-fixed, paraffin embedded (Rat urinary bladder); Antigen retrieval by boiling in sodium citrate buffer (pH6.0) for 15min; Block endogenous peroxidase by 3% hydrogen peroxide for 20 minutes; Blocking buffer (normal goat serum) at 37°C for 30min; Antibody incubation with (MMP6/MPHOSPH6) Polyclonal Antibody, Unconjugated (bs-17687R) at 1:400 overnight at 4°C, followed by operating according to SP Kit(Rabbit) (sp-0023) instructionsand DAB staining.

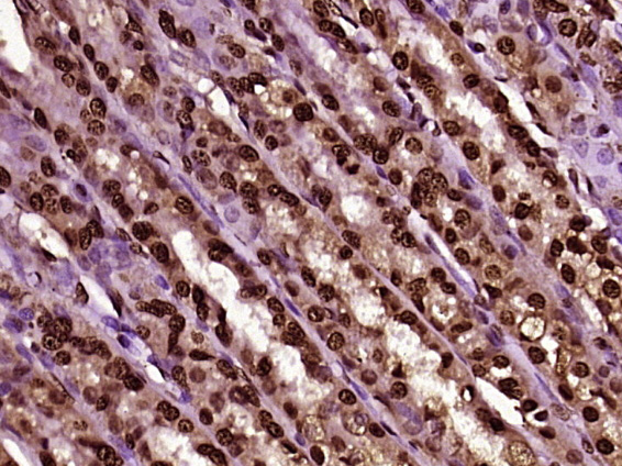
Paraformaldehyde-fixed, paraffin embedded (Rat stomach); Antigen retrieval by boiling in sodium citrate buffer (pH6.0) for 15min; Block endogenous peroxidase by 3% hydrogen peroxide for 20 minutes; Blocking buffer (normal goat serum) at 37°C for 30min; Antibody incubation with (MMP6/MPHOSPH6) Polyclonal Antibody, Unconjugated (bs-17687R) at 1:400 overnight at 4°C, followed by operating according to SP Kit(Rabbit) (sp-0023) instructionsand DAB staining.
风险提示:丁香通仅作为第三方平台,为商家信息发布提供平台空间。用户咨询产品时请注意保护个人信息及财产安全,合理判断,谨慎选购商品,商家和用户对交易行为负责。对于医疗器械类产品,请先查证核实企业经营资质和医疗器械产品注册证情况。
技术资料暂无技术资料 索取技术资料
MPP6/MPHOSPH6 Rabbit pAb(bs-17687R)-50ul/100ul/200ul
¥1180 - 2800





