相关产品推荐更多 >

Klrb1 Rabbit pAb, HRP conjugated(bs-21419R-HRP)-100ul
¥2980
Anti-human Integrin a4b7 (Abrilumab Biosimilar)(BIO0406SM)-1mg/5mg/20mg
¥3200
SLC30A2 Rabbit pAb, AP conjugated(bs-21252R-AP)-100ul
¥2980
PPP2R5C Rabbit pAb, AP conjugated(bs-11991R-AP)-100ul
¥2980
Midnolin Rabbit pAb(bs-0761R)-50ul/100ul/200ul
¥1180
万千商家帮你免费找货
0 人在求购买到急需产品
- 详细信息
- 文献和实验
- 技术资料
- 应用范围:
产品信息以Bioss网站为准
- 规格:
50ul/100ul/200ul
| 规格: | 50ul | 产品价格: | ¥1180.0 |
|---|---|---|---|
| 规格: | 100ul | 产品价格: | ¥1980.0 |
| 规格: | 200ul | 产品价格: | ¥2800.0 |
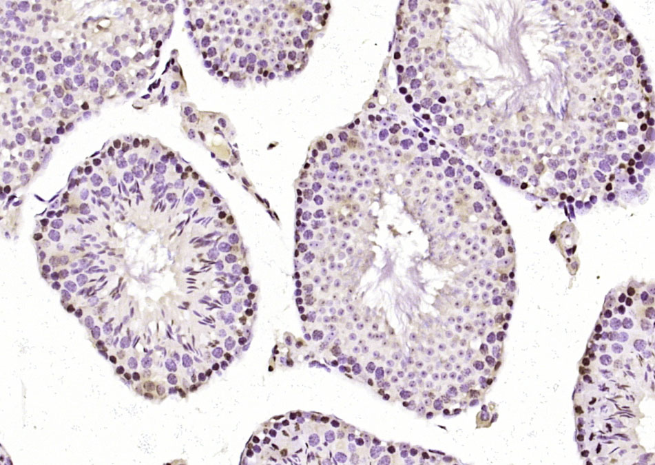
| 产品编号 | bs-16792R |
| 英文名称 | KMT2C Rabbit pAb |
| 中文名称 | 组蛋白赖氨酸N-甲基转移酶2C抗体 |
| 英文别名 | Histone-lysine N-methyltransferase MLL3; Homologous to ALR protein; KMT2C; Lysine N-methyltransferase 2C; MLL3; KMT2C_HUMAN; Myeloid/lymphoid or mixed-lineage leukemia protein 3; Myeloid/lymphoid or mixed-lineage leukemia protein 3 homolog. |
| 产品应用 | IHC-P=1:100-500, IHC-F=1:100-500, IF=1:100-500 Not yet tested in other applications. |
| 交叉反应 | Mouse (Human, Rat, Pig) |
| 抗体来源 | Rabbit |
| 免疫原 | KLH conjugated synthetic peptide derived from human KMT2C |
| 亚型 | IgG |
| 性状 | Liquid |
| 纯化方法 | affinity purified by Protein A |
| 克隆类型 | Polyclonal |
| 理论分子量 | 541 kDa |
| 浓度 | 1mg/ml |
| 储存液 | 0.01M TBS (pH7.4) with 1% BSA, 0.02% Proclin300 and 50% Glycerol. |
| 亚细胞定位 | Nucleus. |
| 组织特异性 | Highly expressed in testis and ovary, followed by brain and liver. Also expressed in placenta, peripherical blood, fetal thymus, heart, lung and kidney. Within brain, expression was highest in hippocampus, caudate nucleus, and substantia nigra. Not detected in skeletal muscle and fetal liver. |
| 相似性 | Belongs to the histone-lysine methyltransferase family. TRX/MLL subfamily. Contains 1 A.T hook DNA-binding domain. Contains 1 DHHC-type zinc finger. Contains 6 PHD-type zinc fingers. Contains 1 post-SET domain. Contains 1 RING-type zinc finger. Contains 1 SET domain. |
| 功能 | Histone methyltransferase. Methylates 'Lys-4' of histone H3. H3 'Lys-4' methylation represents a specific tag for epigenetic transcriptional activation. Central component of the MLL2/MLL3 complex, a coactivator complex of nuclear receptors, involved in transcriptional coactivation. MLL3 may be a catalytic subunit of this complex. May be involved in leukemogenesis and developmental disorder. |
| 保存条件 | Shipped at 4℃. Store at -20℃ for one year. Avoid repeated freeze/thaw cycles. |
| 注意事项 | This product as supplied is intended for research use only, not for use in human, therapeutic or diagnostic applications. |
| 背景资料 | This gene is a member of the myeloid/lymphoid or mixed-lineage leukemia (MLL) family and encodes a nuclear protein with an AT hook DNA-binding domain, a DHHC-type zinc finger, six PHD-type zinc fingers, a SET domain, a post-SET domain and a RING-type zinc finger. This protein is a member of the ASC-2/NCOA6 complex (ASCOM), which possesses histone methylation activity and is involved in transcriptional coactivation. [provided by RefSeq, Jul 2008] |
| 应用 | 推荐稀释比例 |
| {IHC-P} | {1:100-500} |
| {IHC-F} | {1:100-500} |
| {IF} | {1:100-500} |

风险提示:丁香通仅作为第三方平台,为商家信息发布提供平台空间。用户咨询产品时请注意保护个人信息及财产安全,合理判断,谨慎选购商品,商家和用户对交易行为负责。对于医疗器械类产品,请先查证核实企业经营资质和医疗器械产品注册证情况。
文献和实验= NAL), appears to form upon oxidative cyclization of the nonfluorescent 2:1 lysine-HNE Michael adduct-Schiff base cross-link (Scheme 1). Polyclonal antibody (PAb) to the NAL-HNE fluorophore was raised in rabbit and found to be highly specific
ANTIBODY BINDING TO PROTEIN A AND PROTEIN G
+/- ++ Hamster + ++ Guinea Pig ++++ ++ Rabbit ++++ +++ Horse ++ ++++ Cow ++ ++++ Pig +++ +++ Sheep
接头 NPQS-F-L-R14-Q8 气管接头 NPQ-F-T-Q10-E 气缸 DNCV-40-100-PPV-A-5/2J 气缸 P2520R-63120-250 气缸 DSN-25-10-PPV 气缸 ESNV-16-10-P-A 气缸 DSNU-25-160-PPV-A 气缸 AVEUZ-25-25-A-P-A-56-SA 气缸 DNC-63-250-PPV-A-145K8 气缸 DSNU-25-400
技术资料暂无技术资料 索取技术资料






