相关产品推荐更多 >

GPRIN3 Rabbit pAb(bs-8277R)-50ul/100ul/200ul
¥1180
PEX10 Rabbit pAb, AP conjugated(bs-0355R-AP)-100ul
¥2980
phospho-Insulin Receptor (Tyr999) Rabbit pAb(bs-16680R)-50ul/100ul/200ul
¥1180
ELAVL2 + ELAVL4 Rabbit pAb, Biotin conjugated(bs-11743R-Bio)-100ul
¥2980
LRP2 Rabbit pAb, PE conjugated(bs-3909R-PE)-100ul
¥2980
万千商家帮你免费找货
0 人在求购买到急需产品
- 详细信息
- 文献和实验
- 技术资料
- 应用范围:
产品信息以Bioss网站为准
- 规格:
50ul/100ul/200ul
| 规格: | 50ul | 产品价格: | ¥1180.0 |
|---|---|---|---|
| 规格: | 100ul | 产品价格: | ¥1980.0 |
| 规格: | 200ul | 产品价格: | ¥2800.0 |
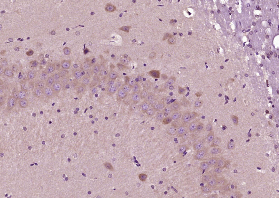
| 产品编号 | bs-16197R |
| 英文名称 | FUT10 Rabbit pAb |
| 中文名称 | FUT10蛋白抗体 |
| 英文别名 | 3)-fucosyltransferase 10; alpha-(1; alpha-(1, 3)-fucosyltransferase 10; Fuc-TX; Fucosyltransferase 10; Fucosyltransferase X; FucT-X; fut10; FUT10_HUMAN; Galactoside 3-L-fucosyltransferase 10. |
| 产品应用 | WB=1:500-2000, IHC-P=1:100-500, IHC-F=1:100-500, IF=1:100-500 Not yet tested in other applications. |
| 交叉反应 | Human, Mouse, Rat (Dog, Sheep, Chimpanzee) |
| 抗体来源 | Rabbit |
| 免疫原 | KLH conjugated synthetic peptide derived from human FUT10 |
| 亚型 | IgG |
| 性状 | Liquid |
| 纯化方法 | affinity purified by Protein A |
| 克隆类型 | Polyclonal |
| 理论分子量 | 56 kDa |
| 浓度 | 1mg/ml |
| 储存液 | 0.01M TBS (pH7.4) with 1% BSA, 0.02% Proclin300 and 50% Glycerol. |
| 研究领域 | Metabolism > Pathways and Processes > Metabolic signaling pathways > Amino acid metabolism Signal Transduction > Metabolism > Amino Acids |
| 亚细胞定位 | Golgi apparatus; Golgi stack membrane. |
| 相似性 | Belongs to the glycosyltransferase 10 family. |
| 功能 | Probable fucosyltransferase. |
| 保存条件 | Shipped at 4℃. Store at -20℃ for one year. Avoid repeated freeze/thaw cycles. |
| 注意事项 | This product as supplied is intended for research use only, not for use in human, therapeutic or diagnostic applications. |
| 背景资料 | Glycosyltransferases that mediate the regio- and stereoselective transfer of sugars, such as the fucosyltransferases, determine cell surface-carbohydrate profiles, which is an essential interface for biological recognition processes. Fucosyltransferases catalyze the covalent association of fucose to different positional linkages in sugar acceptor molecules. Hematopoietic lineages rely on Fucosyltransferases to confer a surface carbohydrate phenotype, which mediates proper cell adhesion, molecule recruitment and cell trafficking. Localized to the Golgi apparatus as a single-pass transmembrane protein, FucT-X, also designated ?(1,3)-fucosyltransferase 10 or FUT10, is a 479 amino acid protein that is involved in protein modification and glycosylation. There are seven isoforms of FucT-X that are produced as a result of alternative splicing events. |
| 应用 | 推荐稀释比例 |
| {WB} | {1:500-2000} |
| {IHC-P} | {1:100-500} |
| {IHC-F} | {1:100-500} |
| {IF} | {1:100-500} |


Primary: Anti- FUT10 (bs-16197R) at 1/300 dilution
Secondary: IRDye800CW Goat Anti-Rabbit IgG at 1/20000 dilution
Predicted band size: 56 kD
Observed band size: 56 kD

Cerebrum (Mouse) Lysate at 40 ug
Primary: Anti-FUT10 (bs-16197R) at 1/1000 dilution
Secondary: IRDye800CW Goat Anti-Rabbit IgG at 1/20000 dilution
Predicted band size: 56 kD
Observed band size: 56 kD
风险提示:丁香通仅作为第三方平台,为商家信息发布提供平台空间。用户咨询产品时请注意保护个人信息及财产安全,合理判断,谨慎选购商品,商家和用户对交易行为负责。对于医疗器械类产品,请先查证核实企业经营资质和医疗器械产品注册证情况。
文献和实验= NAL), appears to form upon oxidative cyclization of the nonfluorescent 2:1 lysine-HNE Michael adduct-Schiff base cross-link (Scheme 1). Polyclonal antibody (PAb) to the NAL-HNE fluorophore was raised in rabbit and found to be highly specific
GE Healthcare Benzamidine Sepharose™ 6B is p-aminobenzamidine covalently attached to Sepharose 6B by the epoxy coupling method. p-Aminobenzamidine (PAB), is a synthetic inhibitor of trypsin-like serine protease. Trypsin and trypsin
Nucleic Acid Programmable Protein Arrays: Versatile Tools for Array‐Based Functional Protein Studies
.g., Sigma) 50 mg/ml bis‐sulfosuccinimdylsuberate (BS3 ;Pierce, cat. no. PI 21580) in dimethylsulfoxide (DMSO) 5 mg/ml
技术资料暂无技术资料 索取技术资料






