相关产品推荐更多 >

IASPP Rabbit pAb, FITC conjugated(bs-0284R-FITC)-100ul
¥2980
Anti-human IFNa1 (Chinese CDC patent Anti-human Interferon Alpha Biosimilar)(BIO0459SM)-1mg/5mg/20mg
¥3200
CDH18 Rabbit pAb, Cy3 conjugated(bs-11073R-Cy3)-100ul
¥2980
ABI3BP Rabbit pAb, AP conjugated(bs-6506R-AP)-100ul
¥2980
CD14 Rabbit pAb, PE-Cy5 conjugated(bs-20796R-PE-Cy5)-100ul
¥2980
万千商家帮你免费找货
0 人在求购买到急需产品
- 详细信息
- 文献和实验
- 技术资料
- 应用范围:
产品信息以Bioss网站为准
- 规格:
50ul/100ul/200ul
| 规格: | 50ul | 产品价格: | ¥1180.0 |
|---|---|---|---|
| 规格: | 100ul | 产品价格: | ¥1980.0 |
| 规格: | 200ul | 产品价格: | ¥2800.0 |
| 产品编号 | bs-13018R |
| 英文名称 | DNA Polymerase iota Rabbit pAb |
| 中文名称 | DNA聚合酶ι/DNA pol ι抗体 |
| 英文别名 | DNA polymerase iota; Eta 2; Eta2; POLI; POLI_HUMAN; Polymerase(DNA directed) iota; RAD 30B; RAD30 homolog B; RAD30B; RAD3OB. |
| 产品应用 | IHC-P=1:100-500, IHC-F=1:100-500, IF=1:100-500 Not yet tested in other applications. |
| 交叉反应 | Rat (Human, Mouse, Dog) |
| 抗体来源 | Rabbit |
| 免疫原 | KLH conjugated synthetic peptide derived from human DNA Polymerase iota |
| 亚型 | IgG |
| 性状 | Liquid |
| 纯化方法 | affinity purified by Protein A |
| 克隆类型 | Polyclonal |
| 理论分子量 | 83 kDa |
| 浓度 | 1mg/ml |
| 储存液 | 0.01M TBS (pH7.4) with 1% BSA, 0.02% Proclin300 and 50% Glycerol. |
| 研究领域 | Epigenetics and Nuclear Signaling > DNA / RNA > DNA Synthesis > DNA Polymerases |
| 亚基 | Interacts with REV1 (By similarity). Interacts with POLH. |
| 亚细胞定位 | Nucleus. Accumulates at replication forks after DNA damage. |
| 组织特异性 | Ubiquitous. Highly expressed in testis. |
| 相似性 | Belongs to the DNA polymerase type-Y family. Contains 1 umuC domain. |
| 功能 | Error-prone DNA polymerase specifically involved in DNA repair. Plays an important role in translesion synthesis, where the normal high-fidelity DNA polymerases cannot proceed and DNA synthesis stalls. Favors Hoogsteen base-pairing in the active site. Inserts the correct base with high-fidelity opposite an adenosine template. Exhibits low fidelity and efficiency opposite a thymidine template, where it will preferentially insert guanosine. May play a role in hypermutation of immunogobulin genes. Forms a Schiff base with 5'-deoxyribose phosphate at abasic sites, but may not have lyase activity. |
| 保存条件 | Shipped at 4℃. Store at -20℃ for one year. Avoid repeated freeze/thaw cycles. |
| 注意事项 | This product as supplied is intended for research use only, not for use in human, therapeutic or diagnostic applications. |
| 背景资料 | DNA polymerase activity is essential for replication, repair, recombination and mutagenesis. DNA polymerases can often bypass DNA lesions that block DNA replication, thereby allowing the replication of damaged DNA. One such DNA polymerase is the distributive enzyme DNA Pol i, which is encoded by the POLI gene. POLI is located on human chromosome 18q21.2, a region often implicated in the etiology of many human cancers. At thymine templates, DNA Pol i is highly error-prone when replicating undamaged DNA in that it favors the misincorporation of guanine over the correct nucleotide, adenosine. DNA Pol i also promotes the replication of damaged DNA by misincorporating deoxynucleotides opposite DNA lesions. DNA Pol i acts sequentially with DNA Pol Ω, which is essential for damage-induced mutagenesis, to complete the DNA lesion bypass. Therefore, replication involving DNA Pol i is likely to be highly mutagenic. |
| 应用 | 推荐稀释比例 |
| {IHC-P} | {1:100-500} |
| {IHC-F} | {1:100-500} |
| {IF} | {1:100-500} |

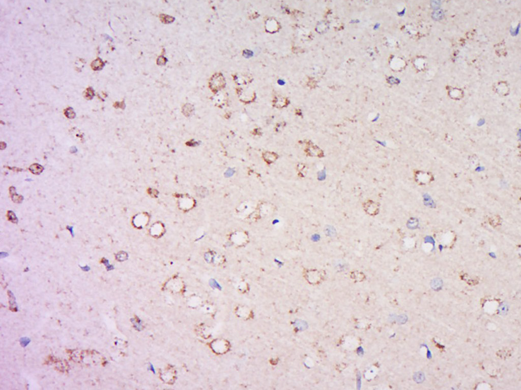
Antigen retrieval: citrate buffer ( 0.01M, pH 6.0 ), Boiling bathing for 15min; Block endogenous peroxidase by 3% Hydrogen peroxide for 30min; Blocking buffer (normal goat serum,C-0005) at 37℃ for 20 min;
Incubation: Anti-Eta 2 Polyclonal Antibody, Unconjugated(bs-13018R) 1:500, overnight at 4°C, followed by conjugation to the secondary antibody(SP-0023) and DAB(C-0010) staining
风险提示:丁香通仅作为第三方平台,为商家信息发布提供平台空间。用户咨询产品时请注意保护个人信息及财产安全,合理判断,谨慎选购商品,商家和用户对交易行为负责。对于医疗器械类产品,请先查证核实企业经营资质和医疗器械产品注册证情况。
文献和实验Hapten Labeling of Nucleic Acids for Immuno-Polymerase Chain Reaction Applications
A method for the ultrasensitive protein detection in the range of 0.01 to 10,000 amol of the model antibody anti-mouse-IgG from rabbit is described, using a combination of Immunopolymerase chain reaction (PCR) and PCR-enzyme-linked
Purification of DNA‐Binding Proteins Using Biotin/Streptavidin Affinity Systems
Kadonaga, J.T. and Tjian, R. 1986. Affinity purification of sequence‐specific DNA binding proteins. Proc. Natl. Acad. Sci. U.S.A. 83:5889‐5893. Kasher, M.S., Pintel, D., and Ward
碱基快速可逆性羟甲基化;②数天后碱基对间核酸与蛋白间缓慢地形成亚甲基交联。DNA提取过程中的蛋白酶K消化,酚/氯仿抽提和纯化等步骤,可以消除由于固定所造成的DNA某些理化性质改变。 bramwell等(1988)发现,甲醛和戊二醛固定可使得DNA产量降低,醋酸甲醇(MAA)可导致DNA明显降解。Michel’s运输保存液或PBS存放组织虽提取DNA纯度高,但产量明显降低。Dubeau等也观察到含苦味酸(Bouin氏液)和含氯化汞的固定液(Zenker,Bs)处理标本不能获得完整的DNA。 乙醇
技术资料暂无技术资料 索取技术资料






