Sample: Bone (Mouse) Lysate at 40 ug
Primary: Anti-phospho-CSNK1G 1+2+3 ( Tyr263) (bs-12426R) at 1/300 dilution
Secondary: IRDye800CW Goat Anti-Rabbit IgG at 1/20000 dilution
Predicted band size: 49 kD
Observed band size: 49 kD
相关产品推荐更多 >

TYROBP Rabbit pAb, Cy3 conjugated(bs-12630R-Cy3)-100ul
¥2980
CPB2 Rabbit pAb(bs-7547R)-50ul/100ul/200ul
¥1180
phospho-AKT1 (Ser473 + Tyr474) Rabbit pAb, PE-Cy5 conjugated(bs-10134R-PE-Cy5)-100ul
¥2980
Thioredoxin Rabbit pAb, HRP conjugated(bs-0458R-HRP)-100ul
¥2980
Caspase-9 Rabbit pAb(bs-20773R)-50ul/100ul/200ul
¥1180
万千商家帮你免费找货
0 人在求购买到急需产品
- 详细信息
- 技术资料
- 应用范围:
产品信息以Bioss网站为准
- 规格:
50ul/100ul/200ul
| 规格: | 50ul | 产品价格: | ¥1180.0 |
|---|---|---|---|
| 规格: | 100ul | 产品价格: | ¥1980.0 |
| 规格: | 200ul | 产品价格: | ¥2800.0 |
| 产品编号 | bs-12426R |
| 英文名称 | phospho-CSNK1G 1+2+3 ( Tyr263) Rabbit pAb |
| 中文名称 | 磷酸化酪蛋白激酶1γ1+γ2+γ3抗体 |
| 英文别名 | Casein kinase I isoforms gamma 1+2+3(phospho Y263); p-CK1g2(phospho Y263); p-CSNK1G1(phospho Y263); p-CSNK1G2(phospho Y263); p-CSNK1G3(phospho Y263); Casein kinase 1 gamma 2; Casein kinase I isoform gamma 1; Casein kinase I isoform gamma 3; Casein kinase I isoform gamma-2; CK1g2; CKI gamma 1; CKI gamma 2; CKI gamma 3; CSNK1G1; CSNK1G2; CSNK1G3; KC1G1_HUMAN. |
| 产品应用 | WB=1:500-2000, IHC-P=1:100-500, IHC-F=1:100-500, IF=1:100-500 Not yet tested in other applications. |
| 交叉反应 | Mouse, Rat (Human, Dog, Pig, Cow, Horse) |
| 抗体来源 | Rabbit |
| 免疫原 | KLH conjugated synthesised phosphopeptide derived from human Casein kinase I isoforms gamma 1+2+3 around the phosphorylation site of Tyr263 |
| 亚型 | IgG |
| 性状 | Liquid |
| 纯化方法 | affinity purified by Protein A |
| 克隆类型 | Polyclonal |
| 理论分子量 | 49 kDa |
| 浓度 | 1mg/ml |
| 储存液 | 0.01M TBS (pH7.4) with 1% BSA, 0.02% Proclin300 and 50% Glycerol. |
| 研究领域 | Signal Transduction > Protein Phosphorylation > Ser / Thr Kinases > Other Kinases Stem Cells > Signaling Pathways > Wnt > Cytoplasmic |
| 亚基 | Monomer |
| 亚细胞定位 | Cytoplasm. |
| 翻译后修饰 | Autophosphorylated. |
| 相似性 | Belongs to the protein kinase superfamily. CK1 Ser/Thr protein kinase family. Casein kinase I subfamily. Contains 1 protein kinase domain. |
| 功能 | Serine/threonine-protein kinase. Casein kinases are operationally defined by their preferential utilization of acidic proteins such as caseins as substrates. It can phosphorylate a large number of proteins. Participates in Wnt signaling. Regulates fast synaptic transmission mediated by glutamate (By similarity). Phosphorylates CLSPN. |
| 保存条件 | Shipped at 4℃. Store at -20℃ for one year. Avoid repeated freeze/thaw cycles. |
| 注意事项 | This product as supplied is intended for research use only, not for use in human, therapeutic or diagnostic applications. |
| 背景资料 | Casein kinases are operationally defined by their preferential utilization of acidic proteins such as caseins as substrates. It can phosphorylate a large number of proteins. Participates in Wnt signaling. |
| 应用 | 推荐稀释比例 |
| {WB} | {1:500-2000} |
| {IHC-P} | {1:100-500} |
| {IHC-F} | {1:100-500} |
| {IF} | {1:100-500} |


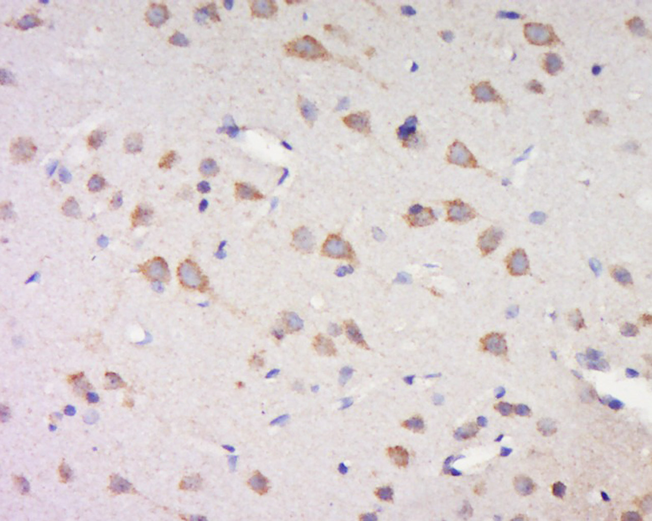
Paraformaldehyde-fixed, paraffin embedded (rat brain tissue); Antigen retrieval by boiling in sodium citrate buffer (pH6.0) for 15min; Block endogenous peroxidase by 3% hydrogen peroxide for 20 minutes; Blocking buffer (normal goat serum) at 37°C for 30min; Antibody incubation with (CSNK1G 1+2+3 ( Tyr263)) Polyclonal Antibody, Unconjugated (bs-12426R) at 1:400 overnight at 4°C, followed by operating according to SP Kit(Rabbit) (sp-0023) instructionsand DAB staining.

Sample: Lymph node (Mouse) Lysate at 40 ug
Primary: Anti-phospho-CSNK1G 1+2+3 ( Tyr263) (bs-12426R) at 1/300 dilution
Secondary: IRDye800CW Goat Anti-Rabbit IgG at 1/20000 dilution
Predicted band size: 49 kD
Observed band size: 49 kD
Primary: Anti-phospho-CSNK1G 1+2+3 ( Tyr263) (bs-12426R) at 1/300 dilution
Secondary: IRDye800CW Goat Anti-Rabbit IgG at 1/20000 dilution
Predicted band size: 49 kD
Observed band size: 49 kD

Sample: Brain (Mouse) Lysate at 40 ug
Primary: Anti-phospho-CSNK1G 1+2+3 ( Tyr263) (bs-12426R) at 1/300 dilution
Secondary: IRDye800CW Goat Anti-Rabbit IgG at 1/20000 dilution
Predicted band size: 49 kD
Observed band size: 49 kD
Primary: Anti-phospho-CSNK1G 1+2+3 ( Tyr263) (bs-12426R) at 1/300 dilution
Secondary: IRDye800CW Goat Anti-Rabbit IgG at 1/20000 dilution
Predicted band size: 49 kD
Observed band size: 49 kD
风险提示:丁香通仅作为第三方平台,为商家信息发布提供平台空间。用户咨询产品时请注意保护个人信息及财产安全,合理判断,谨慎选购商品,商家和用户对交易行为负责。对于医疗器械类产品,请先查证核实企业经营资质和医疗器械产品注册证情况。
技术资料暂无技术资料 索取技术资料
phospho-CSNK1G 1+2+3 ( Tyr263) Rabbit pAb(bs-12426R)-50ul/100ul/200ul
¥1180 - 2800





