相关产品推荐更多 >
万千商家帮你免费找货
0 人在求购买到急需产品
- 详细信息
- 文献和实验
- 技术资料
- 应用范围:
产品信息以Bioss网站为准
- 规格:
50ul/100ul/200ul
| 规格: | 50ul | 产品价格: | ¥1180.0 |
|---|---|---|---|
| 规格: | 100ul | 产品价格: | ¥1980.0 |
| 规格: | 200ul | 产品价格: | ¥2800.0 |
| 产品编号 | bs-4968R |
| 英文名称 | PAPOG Rabbit pAb |
| 中文名称 | 多聚合酶g抗体 |
| 英文别名 | PAPOG_HUMAN; Poly(A) polymerase gamma; PAP-gamma; Neo-poly(A) polymerase; Neo-PAP; Polynucleotide adenylyltransferase gamma; SRP RNA 3'-adenylating enzyme. |
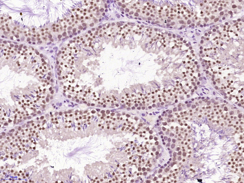
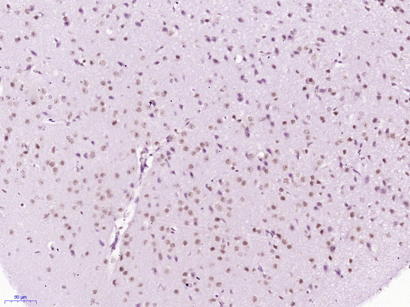
| 产品应用 | IHC-P=1:100-500, IHC-F=1:100-500, IF=1:100-500 Not yet tested in other applications. |
| 交叉反应 | Mouse (Human, Rat, Dog, Pig, Cow, Horse) |
| 抗体来源 | Rabbit |
| 免疫原 | KLH conjugated synthetic peptide derived from human PAPOG |
| 亚型 | IgG |
| 性状 | Liquid |
| 纯化方法 | affinity purified by Protein A |
| 克隆类型 | Polyclonal |
| 理论分子量 | 70 kDa |
| 浓度 | 1mg/ml |
| 储存液 | 0.01M TBS (pH7.4) with 1% BSA, 0.02% Proclin300 and 50% Glycerol. |
| 亚基 | Responsible for the post-transcriptional adenylation of the 3'-terminal of mRNA precursors and several small RNAs including signal recognition particle (SRP) RNA, nuclear 7SK RNA, U2 small nuclear RNA, and ribosomal 5S RNA. |
| 亚细胞定位 | Nucleus. |
| 组织特异性 | Expressed predominantly in testis, and weakly in other tissues. Overexpressed in several tumors. |
| 翻译后修饰 | Polysumoylated. Varying sumolyation depending on tissue- and cell-type. Highly sumoylated in bladder and NIH 3T3 cells. Sumoylation is required for nuclear localization and enhances PAP stability. Desumoylated by SENP1. Inhibits polymerase activity.
Hyperphosphorylation on multiple CDK2 consensus and non-consensus sites in the C-terminal Ser/Thr-rich region represses PAP activity in late M-phase. Phosphorylation/dephosphorylation may regulate the interaction between PAP and CPSF. Acetylated in the C-terminus. Acetylation decreases interaction with NUDT21 and KPNB1, and inhibits nuclear localization through inhibiting binding to the importin alpha/beta complex. |
| 相似性 | Belongs to the poly(A) polymerase family. |
| 功能 | Polymerase that creates the 3'-poly(A) tail of mRNA's. Also required for the endoribonucleolytic cleavage reaction at some polyadenylation sites. May acquire specificity through interaction with a cleavage and polyadenylation specificity factor (CPSF) at its C-terminus. |
| 保存条件 | Shipped at 4℃. Store at -20℃ for one year. Avoid repeated freeze/thaw cycles. |
| 注意事项 | This product as supplied is intended for research use only, not for use in human, therapeutic or diagnostic applications. |
| 背景资料 | This gene encodes a member of the poly(A) polymerase family which catalyzes template-independent extension of the 3' end of a DNA/RNA strand. This enzyme shares 60% identity to the well characterized poly(A) polymerase II (PAPII) at the amino acid level. These two enzymes have similar organization of structural and functional domains. This enzyme is exclusively localized in the nucleus and exhibits both nonspecific and CPSF (cleavage and polyadenylation specificity factor)/AAUAAA-dependent polyadenylation activity. This gene is located on chromosome 2 in contrast to the PAPII gene, which is located on chromosome 14. [provided by RefSeq, Jul 2008]. |
| 应用 | 推荐稀释比例 |
| {IHC-P} | {1:100-500} |
| {IHC-F} | {1:100-500} |
| {IF} | {1:100-500} |


风险提示:丁香通仅作为第三方平台,为商家信息发布提供平台空间。用户咨询产品时请注意保护个人信息及财产安全,合理判断,谨慎选购商品,商家和用户对交易行为负责。对于医疗器械类产品,请先查证核实企业经营资质和医疗器械产品注册证情况。
文献和实验= NAL), appears to form upon oxidative cyclization of the nonfluorescent 2:1 lysine-HNE Michael adduct-Schiff base cross-link (Scheme 1). Polyclonal antibody (PAb) to the NAL-HNE fluorophore was raised in rabbit and found to be highly specific
GE Healthcare Benzamidine Sepharose™ 6B is p-aminobenzamidine covalently attached to Sepharose 6B by the epoxy coupling method. p-Aminobenzamidine (PAB), is a synthetic inhibitor of trypsin-like serine protease. Trypsin and trypsin
Nucleic Acid Programmable Protein Arrays: Versatile Tools for Array‐Based Functional Protein Studies
.g., Sigma) 50 mg/ml bis‐sulfosuccinimdylsuberate (BS3 ;Pierce, cat. no. PI 21580) in dimethylsulfoxide (DMSO) 5 mg/ml
技术资料暂无技术资料 索取技术资料








