相关产品推荐更多 >

phospho-CDKN1B (Ser10) Rabbit pAb, FITC conjugated(bs-20074R-FITC)-100ul
¥2980
FCER1A Rabbit pAb(bs-10698R)-50ul/100ul/200ul
¥1180
H3-K4-HMTase SETD7 Rabbit pAb(bs-6191R)-50ul/100ul/200ul
¥1180
IL-1R1 Rabbit pAb, PE conjugated(bs-20697R-PE)-100ul
¥2980
phospho-Cyclin B1 (Ser126) Rabbit pAb(bs-3733R)-50ul/100ul/200ul
¥1180
万千商家帮你免费找货
0 人在求购买到急需产品
- 详细信息
- 技术资料
- 应用范围:
产品信息以Bioss网站为准
- 规格:
50ul/100ul/200ul
| 规格: | 50ul | 产品价格: | ¥1180.0 |
|---|---|---|---|
| 规格: | 100ul | 产品价格: | ¥1980.0 |
| 规格: | 200ul | 产品价格: | ¥2800.0 |
| 产品编号 | bs-11839R |
| 英文名称 | DNTNP Rabbit pAb |
| 中文名称 | 背神经管核蛋白抗体 |
| 英文别名 | DNTNP; Dorsal neural-tube nuclear protein; FA53A_HUMAN; FAM53A; family with sequence similarity 53, member A; Protein FAM53A. |
| 产品应用 | IHC-P=1:100-500, IHC-F=1:100-500, IF=1:100-500 Not yet tested in other applications. |
| 交叉反应 | Human, Dog (Chicken) |
| 抗体来源 | Rabbit |
| 免疫原 | KLH conjugated synthetic peptide derived from human DNTNP/FAM53A |
| 亚型 | IgG |
| 性状 | Liquid |
| 纯化方法 | affinity purified by Protein A |
| 克隆类型 | Polyclonal |
| 理论分子量 | 43 kDa |
| 浓度 | 1mg/ml |
| 储存液 | 0.01M TBS (pH7.4) with 1% BSA, 0.02% Proclin300 and 50% Glycerol. |
| 亚细胞定位 | Nucleus. Subnuclear distribution. |
| 相似性 | Belongs to the FAM53 family. |
| 功能 | May play an important role in neural development; the dorsomedial roof of the third ventricle. |
| 保存条件 | Shipped at 4℃. Store at -20℃ for one year. Avoid repeated freeze/thaw cycles. |
| 注意事项 | This product as supplied is intended for research use only, not for use in human, therapeutic or diagnostic applications. |
| 背景资料 | Dorsal neural-tube nuclear protein is a 398 amino acid nuclear protein. DNTNP is thought to play an important role in neural development by specifying dorsal cell fates within the neural tube. Widely expressed in the dorsal neural tube, DNTNP is most highly expressed in the dorsal regions of the midbrain, the hindbrain, the diencephalon, and the spinal neural tube and is expressed at lower levels in the branchial arches, the telencephalon, the heart, and somites of developing embryos. DNTNP is encoded by a gene located on chromosome 4 which contains many genes including the Huntingtin gene, which is found to encode an expanded glutamine tract in cases of Huntington's disease. |
| 应用 | 推荐稀释比例 |
| {IHC-P} | {1:100-500} |
| {IHC-F} | {1:100-500} |
| {IF} | {1:100-500} |

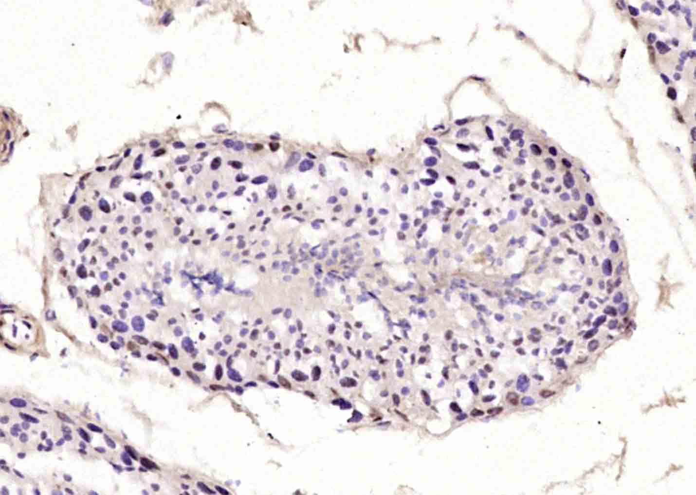
Paraformaldehyde-fixed, paraffin embedded (dog testis); Antigen retrieval by boiling in sodium citrate buffer (pH6.0) for 15min; Block endogenous peroxidase by 3% hydrogen peroxide for 20 minutes; Blocking buffer (normal goat serum) at 37°C for 30min; Antibody incubation with (DNTNP) Polyclonal Antibody, Unconjugated (bs-11839R) at 1:200 overnight at 4°C, followed by operating according to SP Kit(Rabbit) (sp-0023) instructionsand DAB staining.

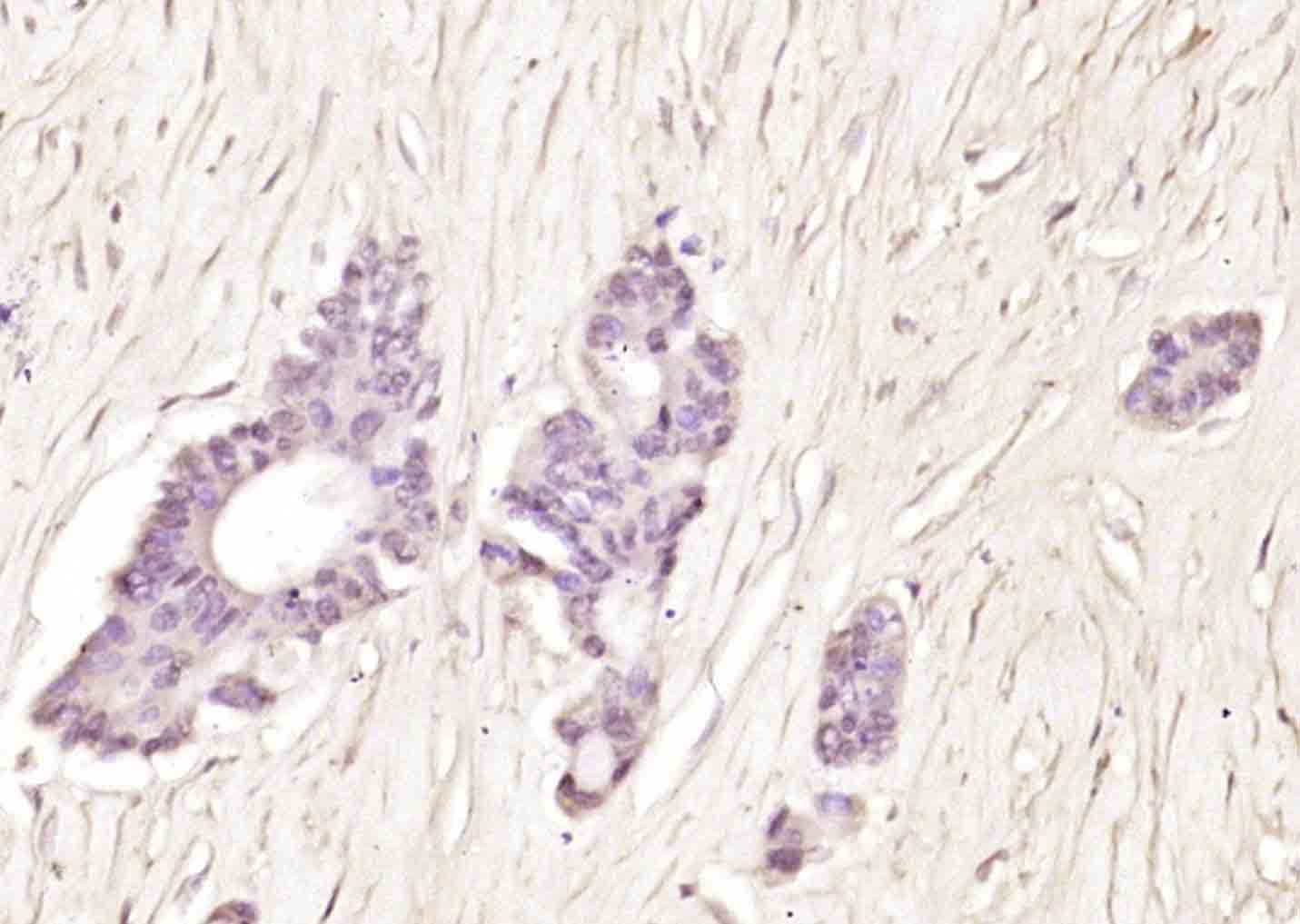
Paraformaldehyde-fixed, paraffin embedded (human cervical carcinoma); Antigen retrieval by boiling in sodium citrate buffer (pH6.0) for 15min; Block endogenous peroxidase by 3% hydrogen peroxide for 20 minutes; Blocking buffer (normal goat serum) at 37°C for 30min; Antibody incubation with (DNTNP) Polyclonal Antibody, Unconjugated (bs-11839R) at 1:200 overnight at 4°C, followed by operating according to SP Kit(Rabbit) (sp-0023) instructionsand DAB staining.
风险提示:丁香通仅作为第三方平台,为商家信息发布提供平台空间。用户咨询产品时请注意保护个人信息及财产安全,合理判断,谨慎选购商品,商家和用户对交易行为负责。对于医疗器械类产品,请先查证核实企业经营资质和医疗器械产品注册证情况。
技术资料暂无技术资料 索取技术资料
DNTNP Rabbit pAb(bs-11839R)-50ul/100ul/200ul
¥1180 - 2800





