相关产品推荐更多 >

phospho-TrkA (Tyr496) +TrkB(Tyr516) Rabbit pAb, BF555 conjugated(bs-3456R-BF555)-100ul
¥2980
Junctophilin 4 Rabbit pAb, Biotin conjugated(bs-11084R-Bio)-100ul
¥2980
Rad51 Rabbit pAb, Biotin conjugated(bs-20297R-Bio)-100ul
¥2980
Beta catenin Rabbit pAb, BF488 conjugated(bs-1165R-BF488)-100ul
¥2980
phospho-ILK-1(Thr173) Rabbit pAb(bs-5443R)-50ul/100ul/200ul
¥1180
万千商家帮你免费找货
0 人在求购买到急需产品
- 详细信息
- 文献和实验
- 技术资料
- 应用范围:
产品信息以Bioss网站为准
- 规格:
50ul/100ul/200ul
| 规格: | 50ul | 产品价格: | ¥1180.0 |
|---|---|---|---|
| 规格: | 100ul | 产品价格: | ¥1980.0 |
| 规格: | 200ul | 产品价格: | ¥2800.0 |
| 产品编号 | bs-2321R |
| 英文名称 | Spindly Rabbit pAb |
| 中文名称 | 卷曲螺旋结构域蛋白99抗体 |
| 英文别名 | Rrhabdomyosarcoma antigen protein MU RMS 40.4A; Arsenite related gene 1 protein; Arsenite-related gene 1 protein; CCDC 99; Ccdc99; Coiled coil domain containing 99; Coiled-coil domain-containing protein 99; hSpindly; Protein Spindly; rhabdomyosarcoma antigen MU RMS 40.4A; Rhabdomyosarcoma antigen MU-RMS-40.4A; SPDLY_HUMAN; SPDL1. |
| 产品应用 | IHC-P=1:100-500, IHC-F=1:100-500, IF=1:100-500 Not yet tested in other applications. |
| 交叉反应 | Rat (Human, Mouse, Dog, Pig, Cow) |
| 抗体来源 | Rabbit |
| 免疫原 | KLH conjugated synthetic peptide derived from human Protein Spindly |
| 亚型 | IgG |
| 性状 | Liquid |
| 纯化方法 | affinity purified by Protein A |
| 克隆类型 | Polyclonal |
| 理论分子量 | 67 kDa |
| 浓度 | 1mg/ml |
| 储存液 | 0.01M TBS (pH7.4) with 1% BSA, 0.02% Proclin300 and 50% Glycerol. |
| 研究领域 | Cell Biology > Other Antibodies > Other Antibodies |
| 亚细胞定位 | Cytoplasm, cytoskeleton, centrosome. Chromosome, centromere, kinetochore. Nucleus. Cytoplasm, cytoskeleton, spindle pole. Note=Localizes to the nucleus in interphase and to the kinetochore in early prometaphase. Relocalizes to the mitotic spindle pole before metaphase and is subsequently lost from the spindle poles after chromosome congression is completed. Removal of this protein from the kinetochore requires the dynein/dynactin complex. |
| 翻译后修饰 | Phosphorylated upon DNA damage, probably by ATM or ATR. |
| 相似性 | Belongs to the Spindly family. |
| 功能 | Required for the localization of dynein and dynactin to the mitotic kintochore. Dynein is believed to control the initial lateral interaction between the kinetochore and spindle microtubules and to facilitate the subsequent formation of end-on kinetochore-microtubule attachments mediated by the NDC80 complex. Also required for correct spindle orientation. Does not appear to be required for the removal of spindle assembly checkpoint (SAC) proteins from the kinetochore upon bipolar spindle attachment. |
| 保存条件 | Shipped at 4℃. Store at -20℃ for one year. Avoid repeated freeze/thaw cycles. |
| 注意事项 | This product as supplied is intended for research use only, not for use in human, therapeutic or diagnostic applications. |
| 背景资料 | The five integral families of plant hormones consists of auxins, cytokinins, giberellins (GAs), abscisic acid (ABA), and ethylene. Giberellins, which consist of over fifty family members, mediate shoot growth. In Arabidopsis, SPINDLY (SPY) negatively regulates GA signal transduction. ERA1 (enhanced response to absisic acid), which is identical to WIGGUM, controls floral and shoot apical meristem size and floral organ number in response to ABA. Ethylene is perceived by a family of five receptors, one of which is ETR1, whereas CTR1 is a negative regulator of the ethylene signal transduction pathway . Ethylene is also produced endogenously in Arabidopsis via a biosynthetic pathway, which is catalyzed by ACC synthase and ACC oxidase. |
| 应用 | 推荐稀释比例 |
| {IHC-P} | {1:100-500} |
| {IHC-F} | {1:100-500} |
| {IF} | {1:100-500} |

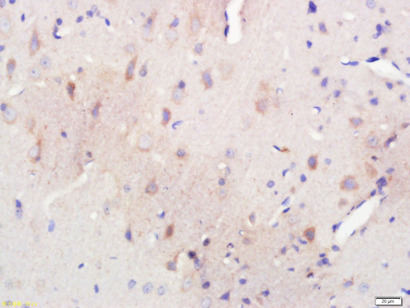
Antigen retrieval: citrate buffer ( 0.01M, pH 6.0 ), Boiling bathing for 15min; Block endogenous peroxidase by 3% Hydrogen peroxide for 30min; Blocking buffer (normal goat serum,C-0005) at 37℃ for 20 min;
Incubation: Anti-Spindly Polyclonal Antibody, Unconjugated(bs-2321R) 1:500, overnight at 4°C, followed by conjugation to the secondary antibody(SP-0023) and DAB(C-0010) staining

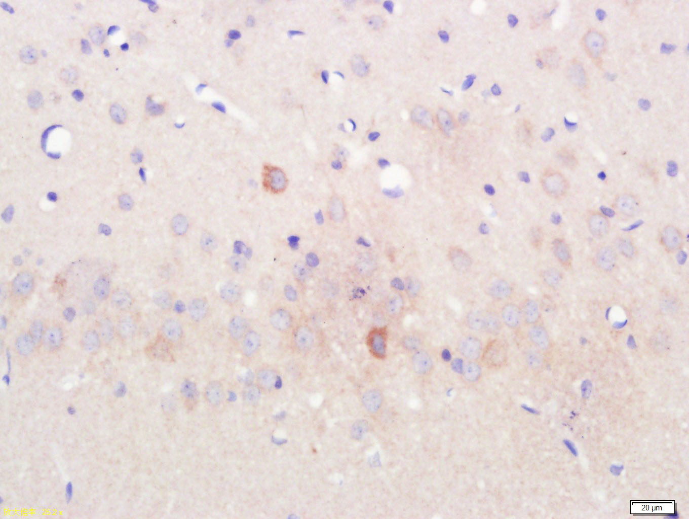
Antigen retrieval: citrate buffer ( 0.01M, pH 6.0 ), Boiling bathing for 15min; Block endogenous peroxidase by 3% Hydrogen peroxide for 30min; Blocking buffer (normal goat serum,C-0005) at 37℃ for 20 min;
Incubation: Anti-Spindly Polyclonal Antibody, Unconjugated(bs-2321R) 1:500, overnight at 4°C, followed by conjugation to the secondary antibody(SP-0023) and DAB(C-0010) staining
风险提示:丁香通仅作为第三方平台,为商家信息发布提供平台空间。用户咨询产品时请注意保护个人信息及财产安全,合理判断,谨慎选购商品,商家和用户对交易行为负责。对于医疗器械类产品,请先查证核实企业经营资质和医疗器械产品注册证情况。
文献和实验[IF={{ 5.3 }}] {YaXuan Wang. et al. Common immunological and prognostic features of lung and bladder cancer via smoking-related genes: PRR11 gene as potential immunotherapeutic target. J CELL MOL MED. 2024 May;28(10):e18384} {IHC} {Human}
= NAL), appears to form upon oxidative cyclization of the nonfluorescent 2:1 lysine-HNE Michael adduct-Schiff base cross-link (Scheme 1). Polyclonal antibody (PAb) to the NAL-HNE fluorophore was raised in rabbit and found to be highly specific
GE Healthcare Benzamidine Sepharose™ 6B is p-aminobenzamidine covalently attached to Sepharose 6B by the epoxy coupling method. p-Aminobenzamidine (PAB), is a synthetic inhibitor of trypsin-like serine protease. Trypsin and trypsin
Encapsulation of Cardiomyocytes in a Fibrin Hydrogel for Cardiac Tissue Engineering
Histology Mouse MYH1/2/4/6 primary antibody Santa Cruz Biotechnology SC-32732 Histology Rabbit
技术资料暂无技术资料 索取技术资料






