相关产品推荐更多 >

VNN1 Rabbit pAb, BF750 conjugated(bs-10314R-BF750)-100ul
¥2980
Benzoyllysine Mouse mAb(bsm-60864M)-20ul/50ul
¥1280
Anti-B7-H3 & EGFR Reference Antibody (Ibi-334 Biosimilar)(BIO1006SM)-100ug/1mg/5mg
¥2560
FCAR/CD89 Rabbit pAb(bs-6586R)-50ul/100ul/200ul
¥1180
ZNF571 Rabbit pAb, HRP conjugated(bs-19524R-HRP)-100ul
¥2980
万千商家帮你免费找货
0 人在求购买到急需产品
- 详细信息
- 文献和实验
- 技术资料
- 应用范围:
产品信息以Bioss网站为准
- 规格:
50ul/100ul/200ul
| 规格: | 50ul | 产品价格: | ¥1180.0 |
|---|---|---|---|
| 规格: | 100ul | 产品价格: | ¥1980.0 |
| 规格: | 200ul | 产品价格: | ¥2800.0 |
| 产品编号 | bs-9626R |
| 英文名称 | RPUSD2 Rabbit pAb |
| 中文名称 | RNA尿苷酸合酶结构域蛋白2抗体 |
| 英文别名 | C15orf19; C18B11; C18B11 homolog; RNA pseudouridylate synthase domain containing 2; RNA pseudouridylate synthase domain containing protein 2; RNA pseudouridylate synthase domain-containing protein 2; RPUSD 2; RPUSD-2; RUSD2_HUMAN. |
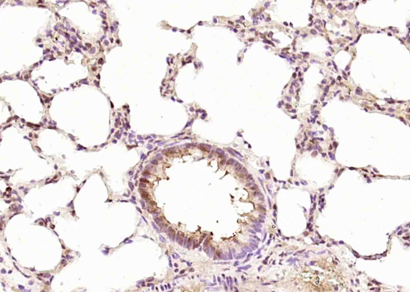
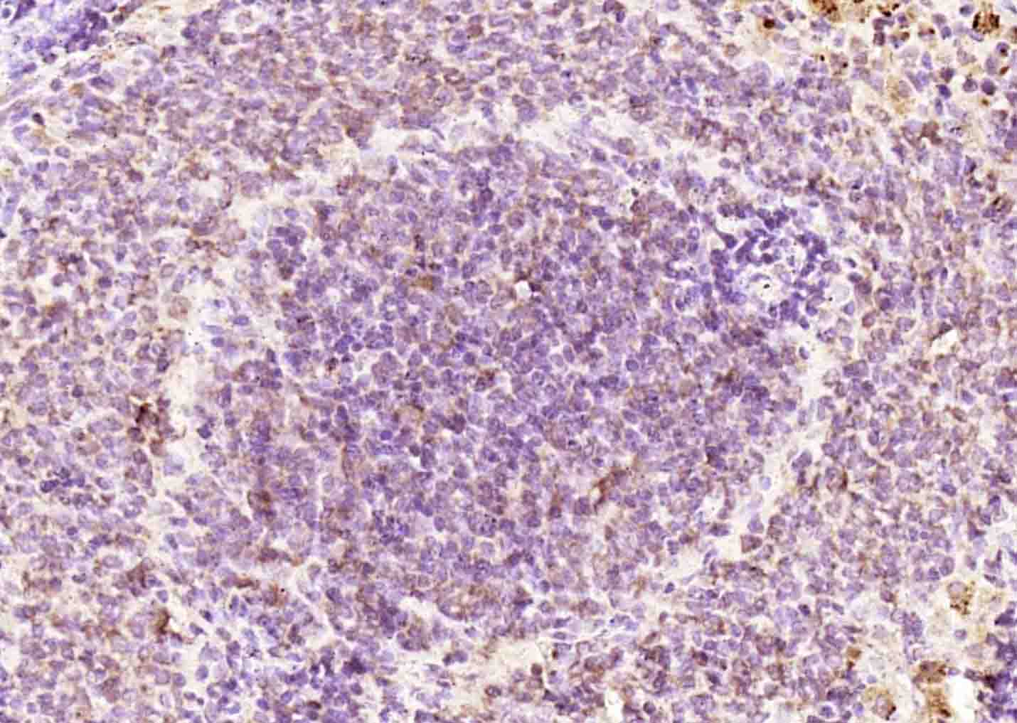
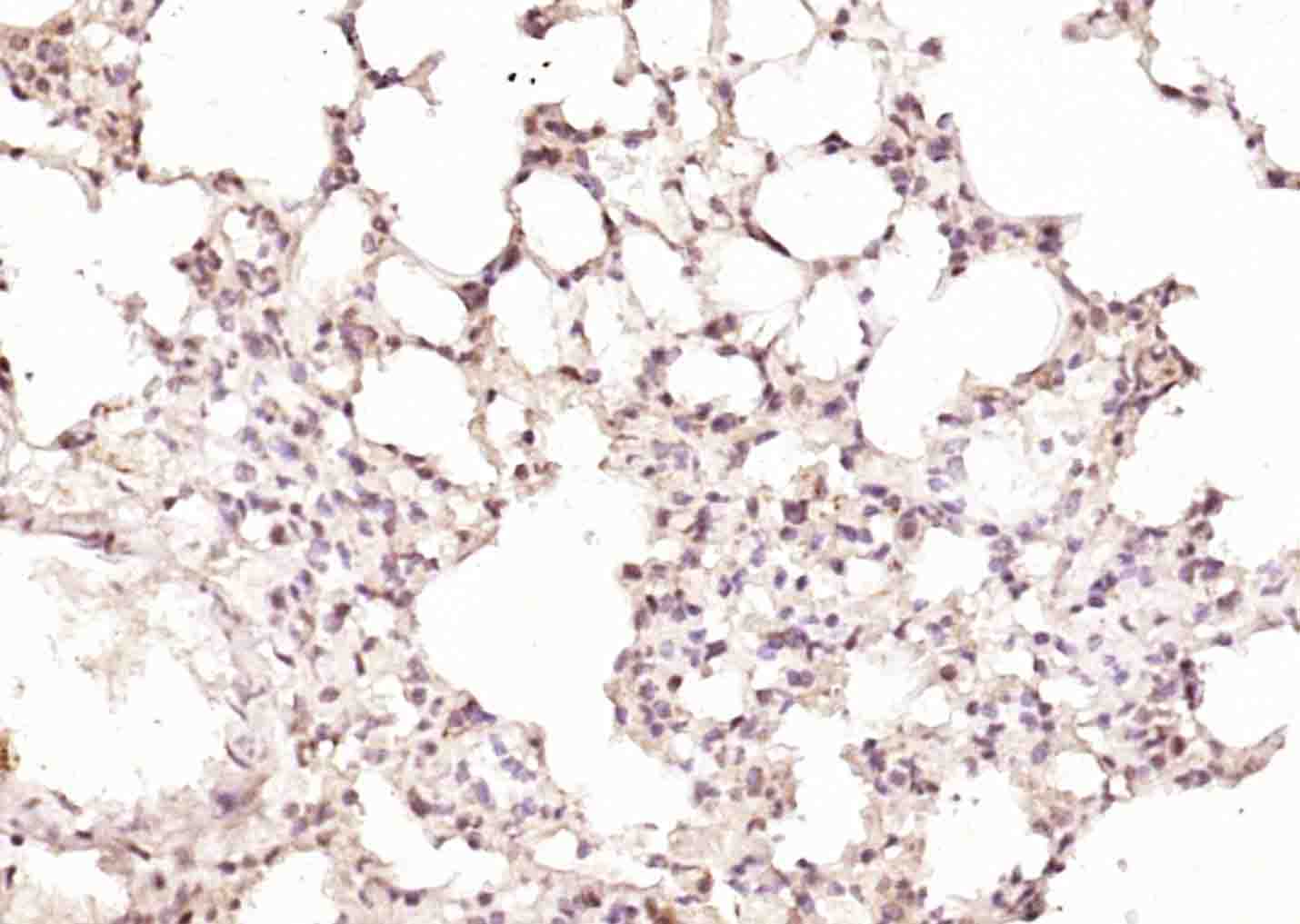
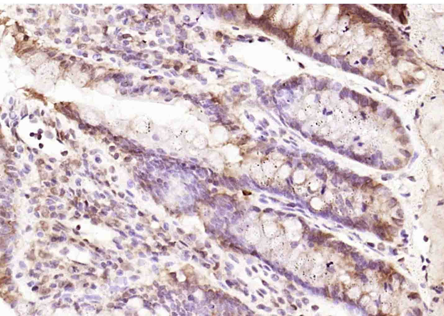
| 产品应用 | IHC-P=1:100-500, IHC-F=1:100-500, IF=1:100-500 Not yet tested in other applications. |
| 交叉反应 | Mouse, Rat (Human, Dog, Cow, Sheep) |
| 抗体来源 | Rabbit |
| 免疫原 | KLH conjugated synthetic peptide derived from human RPUSD2 |
| 亚型 | IgG |
| 性状 | Liquid |
| 纯化方法 | affinity purified by Protein A |
| 克隆类型 | Polyclonal |
| 理论分子量 | 61 kDa |
| 浓度 | 1mg/ml |
| 储存液 | 0.01M TBS (pH7.4) with 1% BSA, 0.02% Proclin300 and 50% Glycerol. |
| 研究领域 | Epigenetics and Nuclear Signaling > DNA / RNA > RNA Processing |
| 相似性 | Belongs to the pseudouridine synthase RluA family. |
| 保存条件 | Shipped at 4℃. Store at -20℃ for one year. Avoid repeated freeze/thaw cycles. |
| 注意事项 | This product as supplied is intended for research use only, not for use in human, therapeutic or diagnostic applications. |
| 背景资料 | RPUSD2, is a 545 amino acid member of the pseudouridine synthase rluA family and is encoded by a gene that is located on chromosome 15. Encoding more than 700 genes, chromosome 15 is made up of approximately 106 million base pairs and is about 3% of the human genome. Angelman and Prader-Willi syndromes are associated with loss of function or deletion of genes in the 15q11-q13 region. In the case of Angelman syndrome, this loss is due to inactivity of the maternal 15q11-q13 encoded UBE3A gene in the brain by either chromosomal deletion or mutation. In cases of Prader-Willi syndrome, there is a partial or complete deletion of this region from the paternal copy of chromosome 15. Tay-Sachs disease is a lethal disorder associated with mutations of the HEXA gene, which is encoded by chromosome 15. Marfan syndrome is associated with chromosome 15 through the FBN1 gene. |
| 应用 | 推荐稀释比例 |
| {IHC-P} | {1:100-500} |
| {IHC-F} | {1:100-500} |
| {IF} | {1:100-500} |




风险提示:丁香通仅作为第三方平台,为商家信息发布提供平台空间。用户咨询产品时请注意保护个人信息及财产安全,合理判断,谨慎选购商品,商家和用户对交易行为负责。对于医疗器械类产品,请先查证核实企业经营资质和医疗器械产品注册证情况。
文献和实验= NAL), appears to form upon oxidative cyclization of the nonfluorescent 2:1 lysine-HNE Michael adduct-Schiff base cross-link (Scheme 1). Polyclonal antibody (PAb) to the NAL-HNE fluorophore was raised in rabbit and found to be highly specific
GE Healthcare Benzamidine Sepharose™ 6B is p-aminobenzamidine covalently attached to Sepharose 6B by the epoxy coupling method. p-Aminobenzamidine (PAB), is a synthetic inhibitor of trypsin-like serine protease. Trypsin and trypsin
Nucleic Acid Programmable Protein Arrays: Versatile Tools for Array‐Based Functional Protein Studies
.g., Sigma) 50 mg/ml bis‐sulfosuccinimdylsuberate (BS3 ;Pierce, cat. no. PI 21580) in dimethylsulfoxide (DMSO) 5 mg/ml
技术资料暂无技术资料 索取技术资料






