相关产品推荐更多 >
万千商家帮你免费找货
0 人在求购买到急需产品
- 详细信息
- 文献和实验
- 技术资料
- 应用范围:
产品信息以Bioss网站为准
- 规格:
50ul/100ul/200ul
| 规格: | 50ul | 产品价格: | ¥1180.0 |
|---|---|---|---|
| 规格: | 100ul | 产品价格: | ¥1980.0 |
| 规格: | 200ul | 产品价格: | ¥2800.0 |
| 产品编号 | bs-9607R |
| 英文名称 | ZNF828 Rabbit pAb |
| 中文名称 | 锌指蛋白828抗体 |
| 英文别名 | chromosome 13 open reading frame 8; zinc finger protein 828; FLJ90413; KIAA1802; Zinc finger protein KIAA1802; CHAP1_HUMAN. |
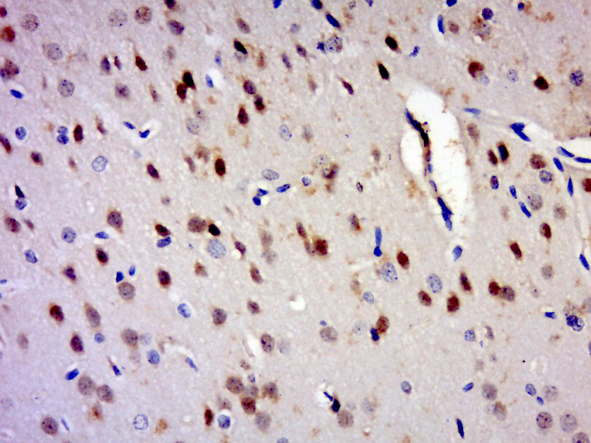
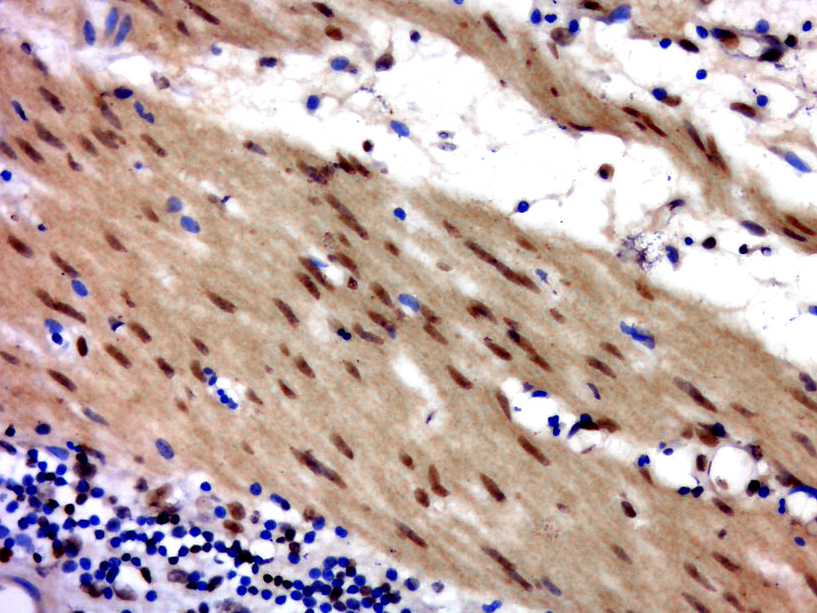
| 产品应用 | IHC-P=1:100-500, IHC-F=1:100-500, IF=1:100-500 Not yet tested in other applications. |
| 交叉反应 | Human, Rat (Mouse, Dog, Cow, Horse, Sheep) |
| 抗体来源 | Rabbit |
| 免疫原 | KLH conjugated synthetic peptide derived from human ZNF828/C13orf8 |
| 亚型 | IgG |
| 性状 | Liquid |
| 纯化方法 | affinity purified by Protein A |
| 克隆类型 | Polyclonal |
| 理论分子量 | 89 kDa |
| 浓度 | 1mg/ml |
| 储存液 | 0.01M TBS (pH7.4) with 1% BSA, 0.02% Proclin300 and 50% Glycerol. |
| 研究领域 | Epigenetics and Nuclear Signaling > Transcription > Domain Families > Zinc Finger |
| 亚基 | Interacts with MAD2L2. Interacts with POGZ, CBX1, CBX3 and CBX5. |
| 亚细胞定位 | Nucleus. Chromosome. Chromosome, centromere, kinetochore. Cytoplasm, cytoskeleton, spindle. |
| 翻译后修饰 | Phosphorylated by CDK1. Mitotic phosphorylation is required for the attachment of spindle microtubules to the kinetochore. |
| 相似性 | Contains 1 C2H2-type zinc finger. |
| 功能 | Required for proper alignment of chromosomes at metaphase and their accurate segregation during mitosis. Involved in the maintenance of spindle microtubules attachment to the kinetochore during sister chromatid biorientation. May recruit CENPE and CENPF to the kinetochore. |
| 保存条件 | Shipped at 4℃. Store at -20℃ for one year. Avoid repeated freeze/thaw cycles. |
| 注意事项 | This product as supplied is intended for research use only, not for use in human, therapeutic or diagnostic applications. |
| 背景资料 | Zinc-finger proteins contain DNA-binding domains and have a wide variety of functions, most of which encompass some form of transcriptional activation or repression. ZNF828, is a 812 amino acid protein that contains one C2H2-type zinc finger and is localized to the cytoplasm and the nucleus. The gene encoding ZNF828 maps to chromosome 13. Comprising nearly 4% of the human genome, chromosome 13 contains around 114 million base pairs and encodes over 400 genes. Chromosome 13 houses key tumor suppressor genes, including BRCA2 and RB1, which are associated with breast cancer susceptibility and retinoblastoma, respectively. Trisomy 13, also known as Patau syndrome, is deadly and the few who survive past one year suffer from permanent neurologic defects, difficulty eating and vulnerability to serious respiratory infections. |
| 应用 | 推荐稀释比例 |
| {IHC-P} | {1:100-500} |
| {IHC-F} | {1:100-500} |
| {IF} | {1:100-500} |


风险提示:丁香通仅作为第三方平台,为商家信息发布提供平台空间。用户咨询产品时请注意保护个人信息及财产安全,合理判断,谨慎选购商品,商家和用户对交易行为负责。对于医疗器械类产品,请先查证核实企业经营资质和医疗器械产品注册证情况。
文献和实验= NAL), appears to form upon oxidative cyclization of the nonfluorescent 2:1 lysine-HNE Michael adduct-Schiff base cross-link (Scheme 1). Polyclonal antibody (PAb) to the NAL-HNE fluorophore was raised in rabbit and found to be highly specific
GE Healthcare Benzamidine Sepharose™ 6B is p-aminobenzamidine covalently attached to Sepharose 6B by the epoxy coupling method. p-Aminobenzamidine (PAB), is a synthetic inhibitor of trypsin-like serine protease. Trypsin and trypsin
Nucleic Acid Programmable Protein Arrays: Versatile Tools for Array‐Based Functional Protein Studies
.g., Sigma) 50 mg/ml bis‐sulfosuccinimdylsuberate (BS3 ;Pierce, cat. no. PI 21580) in dimethylsulfoxide (DMSO) 5 mg/ml
技术资料暂无技术资料 索取技术资料









