相关产品推荐更多 >
万千商家帮你免费找货
0 人在求购买到急需产品
- 详细信息
- 文献和实验
- 技术资料
- 应用范围:
产品信息以Bioss网站为准
- 规格:
50ul/100ul/200ul
| 规格: | 50ul | 产品价格: | ¥1180.0 |
|---|---|---|---|
| 规格: | 100ul | 产品价格: | ¥1980.0 |
| 规格: | 200ul | 产品价格: | ¥2800.0 |
| 产品编号 | bs-11675R |
| 英文名称 | UBXD2 Rabbit pAb |
| 中文名称 | UBX结构域域蛋白D2抗体 |
| 英文别名 | Erasin; FLJ23318; KIAA0242; KIAA2042; UBX domain containing 1; UBX domain containing 2; UBX domain containing protein 2; UBXD 2; UBXDC 1; UBXDC1; UBXN4_HUMAN. |
| 产品应用 | WB=1:500-2000, IHC-P=1:100-500, IHC-F=1:100-500, IF=1:100-500 Not yet tested in other applications. |
| 交叉反应 | Human, Mouse, Rat (Dog, Pig, Cow, Horse, Sheep) |
| 抗体来源 | Rabbit |
| 免疫原 | KLH conjugated synthetic peptide derived from human UBXD2 |
| 亚型 | IgG |
| 性状 | Liquid |
| 纯化方法 | affinity purified by Protein A |
| 克隆类型 | Polyclonal |
| 理论分子量 | 57 kDa |
| 浓度 | 1mg/ml |
| 储存液 | 0.01M TBS (pH7.4) with 1% BSA, 0.02% Proclin300 and 50% Glycerol. |
| 研究领域 | Neuroscience > Neurology process > Neurodegenerative disease > Alzheimer's disease Signal Transduction > Protein Trafficking > ER Proteins Tags & Cell Markers > Subcellular Markers > Organelles > ER |
| 亚基 | Directly interacts with VCP. |
| 亚细胞定位 | Endoplasmic reticulum membrane. Both the N- and the C-terminus face the cytosol; also found in the nucleus envelope contiguous to the ER. |
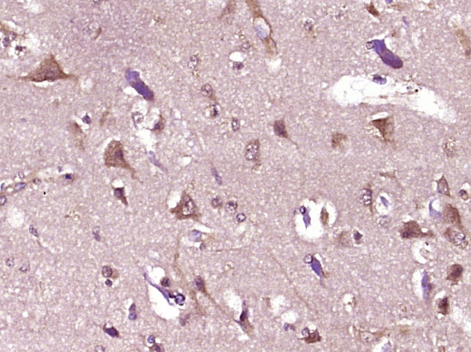
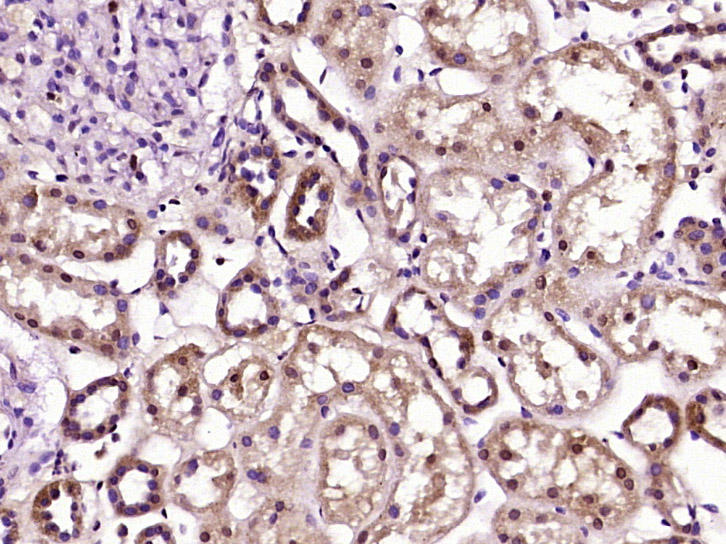
| 组织特异性 | Expressed in many tissues, including heart, brain, placenta, lung, liver, skeletal muscle, kidney and pancreas. Accumulates in Alzheimer disease-afflicted brains (at protein level). |
| 翻译后修饰 | Phosphorylated upon DNA damage, probably by ATM or ATR. |
| 相似性 | Contains 1 UBX domain. |
| 功能 | UBXD2 is an integral membrane protein of the endoplasmic reticulum (ER) that binds valosin-containing protein (VCP) and promotes ER-associated protein degradation (ERAD). Immunohistochemical staining of brain tissue from patients with Alzheimer's disease and control subjects revealed that UBXD2 accumulates preferentially in neurons undergoing neurofibrillary degeneration in Alzheimer's disease. |
| 保存条件 | Shipped at 4℃. Store at -20℃ for one year. Avoid repeated freeze/thaw cycles. |
| 注意事项 | This product as supplied is intended for research use only, not for use in human, therapeutic or diagnostic applications. |
| 背景资料 | Erasin is an endoplasmic reticulum (ER) and nuclear envelope membrane protein. Expressed in a variety of tissues, such as brain, placenta, heart, liver, prostate, kidney, pancreas, lung and skeletal muscle, erasin contains one UBX domain and participates in the clearing of ERAD (endoplasmic reticulum-associated protein degradation) substrates. The UBX domain of erasin is responsible for mediating its direct interaction with VCP (valosin-containing protein), an AAA-ATPase molecular chaperone. In response to ER stress, erasin expression is induced. The knockdown of erasin expression leads to the inhibition of ERAD, suggesting an important function of erasin in the ERAD pathway. In addition, erasin may be involved in Alzheimer’s disease, as it is known to accumulate in neurofibrillary degenerating neurons in patients with Alzheimer’s disease. |
| 应用 | 推荐稀释比例 |
| {WB} | {1:500-2000} |
| {IHC-P} | {1:100-500} |
| {IHC-F} | {1:100-500} |
| {IF} | {1:100-500} |



Heart (Mouse) Lysate at 40 ug
Cerebrum (Rat) Lysate at 40 ug
Primary: Anti-UBXD2 (bs-11675R) at 1/1000 dilution
Secondary: IRDye800CW Goat Anti-Rabbit IgG at 1/20000 dilution
Predicted band size: 57 kD
Observed band size: 57 kD
风险提示:丁香通仅作为第三方平台,为商家信息发布提供平台空间。用户咨询产品时请注意保护个人信息及财产安全,合理判断,谨慎选购商品,商家和用户对交易行为负责。对于医疗器械类产品,请先查证核实企业经营资质和医疗器械产品注册证情况。
文献和实验= NAL), appears to form upon oxidative cyclization of the nonfluorescent 2:1 lysine-HNE Michael adduct-Schiff base cross-link (Scheme 1). Polyclonal antibody (PAb) to the NAL-HNE fluorophore was raised in rabbit and found to be highly specific
GE Healthcare Benzamidine Sepharose™ 6B is p-aminobenzamidine covalently attached to Sepharose 6B by the epoxy coupling method. p-Aminobenzamidine (PAB), is a synthetic inhibitor of trypsin-like serine protease. Trypsin and trypsin
Nucleic Acid Programmable Protein Arrays: Versatile Tools for Array‐Based Functional Protein Studies
.g., Sigma) 50 mg/ml bis‐sulfosuccinimdylsuberate (BS3 ;Pierce, cat. no. PI 21580) in dimethylsulfoxide (DMSO) 5 mg/ml
技术资料暂无技术资料 索取技术资料








