相关产品推荐更多 >
万千商家帮你免费找货
0 人在求购买到急需产品
- 详细信息
- 文献和实验
- 技术资料
- 应用范围:
产品信息以Bioss网站为准
- 规格:
50ul/100ul/200ul
| 规格: | 50ul | 产品价格: | ¥1180.0 |
|---|---|---|---|
| 规格: | 100ul | 产品价格: | ¥1980.0 |
| 规格: | 200ul | 产品价格: | ¥2800.0 |
| 产品编号 | bs-12497R |
| 英文名称 | Apolipoprotein CII/APOC2 Rabbit pAb |
| 中文名称 | 载脂蛋白C2抗体 |
| 英文别名 | APC 2; APC2; Apo CII; APOC 2; ApoC II; apoC-II; APOC2; APOC2 protein; ApoCII; Apolipoprotein C II; Apolipoprotein C II precursor; ApolipoproteinCII; MGC75082; |
| 产品应用 | IHC-P=1:100-500, IHC-F=1:100-500, IF=1:100-500 Not yet tested in other applications. |
| 交叉反应 | Human, Mouse |
| 抗体来源 | Rabbit |
| 免疫原 | KLH conjugated synthetic peptide derived from human Apolipoprotein CII/APOC2 |
| 亚型 | IgG |
| 性状 | Liquid |
| 纯化方法 | affinity purified by Protein A |
| 克隆类型 | Polyclonal |
| 理论分子量 | 9 kDa |
| 浓度 | 1mg/ml |
| 储存液 | 0.01M TBS (pH7.4) with 1% BSA, 0.02% Proclin300 and 50% Glycerol. |
| 研究领域 | Cancer > Cancer Metabolism > Metabolic signaling pathway > Metabolism of lipids and lipoproteins Cardiovascular > Atherosclerosis > Lipoprotein metabolism Cardiovascular > Lipids / Lipoproteins > Lipoproteins/Apolipoproteins Cardiovascular > Lipids / Lipoproteins > Lipoproteins/Apolipoproteins > Apolipoproteins Metabolism > Pathways and Processes > Metabolic signaling pathways > Lipid and lipoprotein metabolism > Lipid metabolism Metabolism > Pathways and Processes > Metabolic signaling pathways > Lipid and lipoprotein metabolism > Lipoprotein metabolism Metabolism > Types of disease > Cancer Metabolism > Types of disease > Heart disease Signal Transduction > Metabolism > Lipid metabolism |
| 亚细胞定位 | Secreted. |
| 组织特异性 | Secreted in plasma. |
| 相似性 | Belongs to the apolipoprotein C2 family. |
| 功能 | Component of the very low density lipoprotein (VLDL) fraction in plasma, and is an activator of several triacylglycerol lipases. The association of APOC2 with plasma chylomicrons, VLDL, and HDL is reversible, a function of the secretion and catabolism of triglyceride-rich lipoproteins, and changes rapidly. |
| 保存条件 | Shipped at 4℃. Store at -20℃ for one year. Avoid repeated freeze/thaw cycles. |
| 注意事项 | This product as supplied is intended for research use only, not for use in human, therapeutic or diagnostic applications. |
| 背景资料 | Apolipoprotein C-II (apoCII) is in found in chylomicrons (large lipoprotein particles absorbed from the gastrointestinal tract) and VLDL (large lipoproteins that are broken down to eventually form LDL). ApoCII activates the enzyme lipoprotein lipase, which hydrolyzes triglycerides and thus provides free fatty acids for cells. |
| 应用 | 推荐稀释比例 |
| {IHC-P} | {1:100-500} |
| {IHC-F} | {1:100-500} |
| {IF} | {1:100-500} |

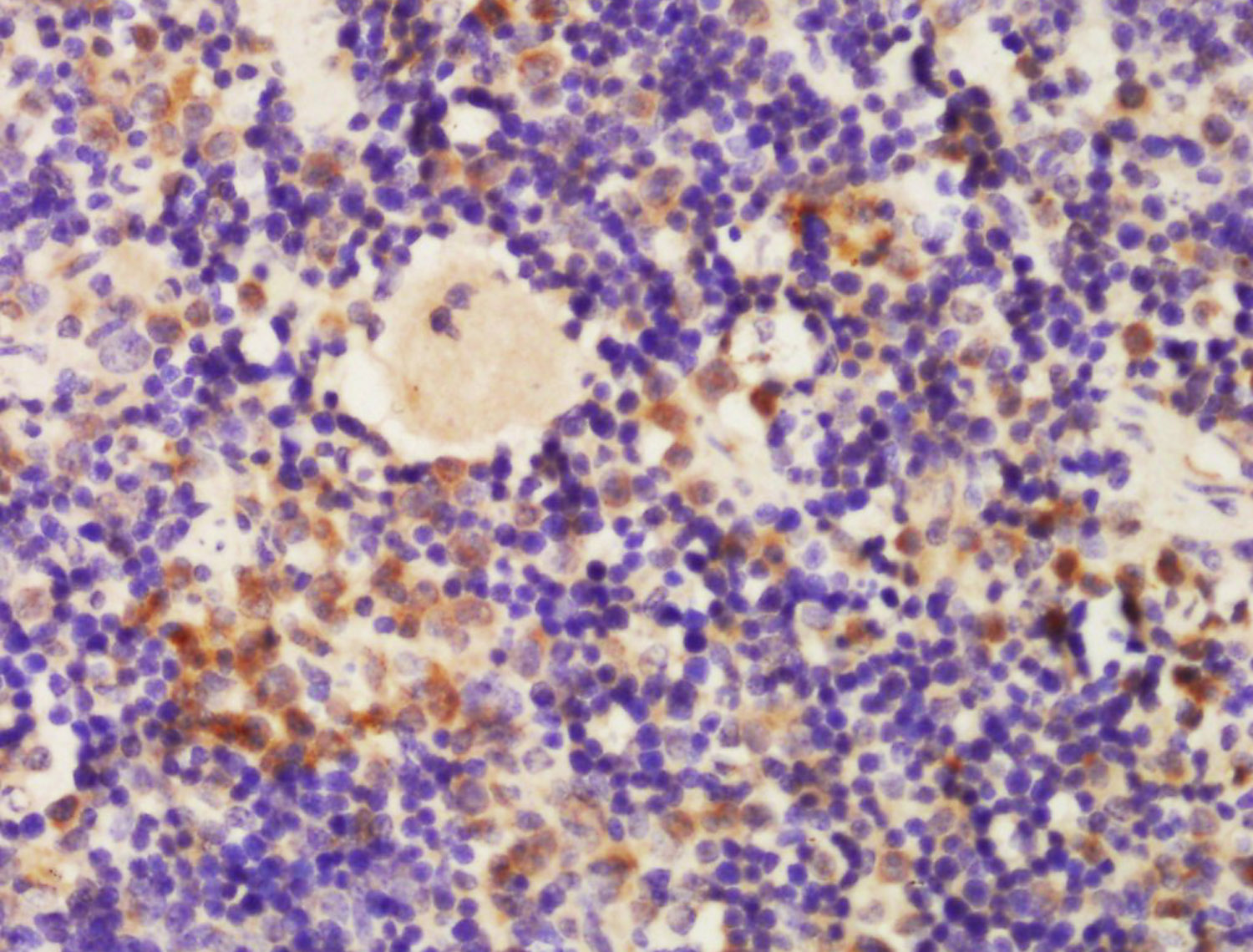
Antigen retrieval: citrate buffer ( 0.01M, pH 6.0 ), Boiling bathing for 15min; Block endogenous peroxidase by 3% Hydrogen peroxide for 30min; Blocking buffer (normal goat serum,C-0005) at 37℃ for 20 min;
Incubation: Anti-APC 2 Polyclonal Antibody, Unconjugated(bs-12497R) 1:200, overnight at 4°C, followed by conjugation to the secondary antibody(SP-0023) and DAB(C-0010) staining

Antigen retrieval: citrate buffer ( 0.01M, pH 6.0 ), Boiling bathing for 15min; Block endogenous peroxidase by 3% Hydrogen peroxide for 30min; Blocking buffer (normal goat serum,C-0005) at 37℃ for 20 min;
Incubation: Anti-APC 2 Polyclonal Antibody, Unconjugated(bs-12497R) 1:200, overnight at 4°C, followed by conjugation to the secondary antibody(SP-0023) and DAB(C-0010) staining
风险提示:丁香通仅作为第三方平台,为商家信息发布提供平台空间。用户咨询产品时请注意保护个人信息及财产安全,合理判断,谨慎选购商品,商家和用户对交易行为负责。对于医疗器械类产品,请先查证核实企业经营资质和医疗器械产品注册证情况。
文献和实验Models and Analysis of Atherosclerosis, Restenosis, and Aneurysm Formation in the Mouse
, X., Charnigo, R., Howatt, D.A., Rateri, D.L., and Daugherty, A. 2009. AngII infusion promotes abdominal aortic aneurysms independent of increased blood pressure in hypercholesterolemic mice. Am. J. Physiol. Heart Circ. Physiol. 296:H1660‐H1665
技术资料暂无技术资料 索取技术资料









