相关产品推荐更多 >

S100P binding protein Rabbit pAb, Biotin conjugated(bs-6577R-Bio)-100ul
¥2980
GPR24 Rabbit pAb, AP conjugated(bs-6626R-AP)-100ul
¥2980
GMEB2 Rabbit pAb(bs-13456R)-50ul/100ul/200ul
¥1180
IRS-2 Rabbit pAb, Biotin conjugated(bs-0173R-Bio)-100ul
¥2980
PRPF19 Recombinant Rabbit mAb(bsm-61268R)-50ul/100ul/25ul
¥800
万千商家帮你免费找货
0 人在求购买到急需产品
- 详细信息
- 技术资料
- 应用范围:
产品信息以Bioss网站为准
- 规格:
50ul/100ul/200ul
| 规格: | 50ul | 产品价格: | ¥1180.0 |
|---|---|---|---|
| 规格: | 100ul | 产品价格: | ¥1980.0 |
| 规格: | 200ul | 产品价格: | ¥2800.0 |
| 产品编号 | bs-11371R |
| 英文名称 | Synapsin III Rabbit pAb |
| 中文名称 | 神经突触素3抗体 |
| 英文别名 | SYN 3; SYN-3; SYN3; Synapsin 3; Synapsin3; Synapsin-3; cN28H9.2(synapsin III); OTTHUMP00000028987; SYN3_HUMAN. |
| 产品应用 | WB=1:500-2000, IHC-P=1:100-500, IHC-F=1:100-500, IF=1:100-500 Not yet tested in other applications. |
| 交叉反应 | Mouse, Rat (Human, Dog, Pig, Cow, Horse, Rabbit, Sheep) |
| 抗体来源 | Rabbit |
| 免疫原 | KLH conjugated synthetic peptide derived from human Synapsin III |
| 亚型 | IgG |
| 性状 | Liquid |
| 纯化方法 | affinity purified by Protein A |
| 克隆类型 | Polyclonal |
| 理论分子量 | 63 kDa |
| 浓度 | 1mg/ml |
| 储存液 | 0.01M TBS (pH7.4) with 1% BSA, 0.02% Proclin300 and 50% Glycerol. |
| 研究领域 | Neuroscience > Cell Type Marker > Neuron marker > Synapse marker Neuroscience > Neurology process > Neurodegenerative disease Neuroscience > Neurotransmission > Secretory Vesicles Neuroscience > Neurotransmission > Secretory Vesicles > Regulation |
| 亚基 | Interacts with CAPON |
| 亚细胞定位 | Peripheral membrane protein localized to the cytoplasmic surface of synaptic vesicles. |
| 组织特异性 | Neuron specific. Detected predominantly in brain. |
| 相似性 | Belongs to the synapsin family. |
| 功能 | Synapsin III may be involved in the regulation of neurotransmitter release and synaptogenesis. It shares the synapsin family domain model, with domains A, C, and E exhibiting the highest degree of conservation. Synapsin III contains a unique domain, J, located between domains C and E. Based on the Synapsin III gene's localization to 22q12.3, a possible schizophrenia susceptibility locus, and the established neurobiological roles of the synapsins, this family member may represent a candidate gene for schizophrenia. The TIMP3 gene is located within an intron of this gene and is transcribed in the opposite direction. |
| 保存条件 | Shipped at 4℃. Store at -20℃ for one year. Avoid repeated freeze/thaw cycles. |
| 注意事项 | This product as supplied is intended for research use only, not for use in human, therapeutic or diagnostic applications. |
| 背景资料 | Synapsins are synaptic vesicle-associated phosphoproteins that regulate synaptic vesicle exocytosis and may be involved in synaptogenesis. Evidence suggests that Synapsin I, Synapsin II and Synapsin IIIa are ATP-binding proteins that are regulated by Ca2+ and calmodulin binding. Ca2+ has been shown to stimulate ATP binding to Synapsin I, to have no effect on Synapsin II and to inhibit Synapsin III. Synapsin I and Synapsin II both undergo alternative splicing to produce two forms of each protein, Synapsin la and lb and Synapsin IIa and IIb, respectively. Synapsin III gives rise to at least three isoforms: Synapsin IIIa, IIIb and IIIc. Synapsin III plays unique roles both in early axon outgrowth and in the regulation of synaptic vesicle trafficking. In cultured mouse hippocampal neurons, synapsin III is expressed early during development, with levels peaking seven days after plating and declining thereafter. Synapsin III is highly concentrated in growth cones. |
| 应用 | 推荐稀释比例 |
| {WB} | {1:500-2000} |
| {IHC-P} | {1:100-500} |
| {IHC-F} | {1:100-500} |
| {IF} | {1:100-500} |

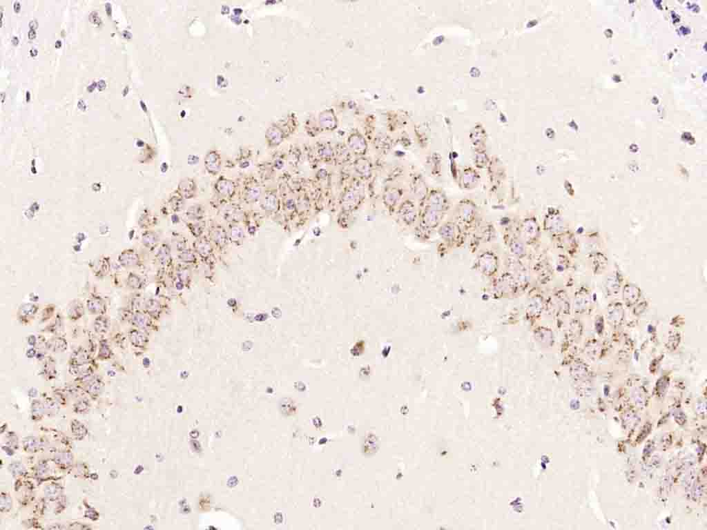
Paraformaldehyde-fixed, paraffin embedded (rat brain); Antigen retrieval by boiling in sodium citrate buffer (pH6.0) for 15min; Block endogenous peroxidase by 3% hydrogen peroxide for 20 minutes; Blocking buffer (normal goat serum) at 37°C for 30min; Antibody incubation with (Synapsin III) Polyclonal Antibody, Unconjugated (bs-11371R) at 1:200 overnight at 4°C, followed by operating according to SP Kit(Rabbit) (sp-0023) instructionsand DAB staining.

Paraformaldehyde-fixed, paraffin embedded (mouse brain); Antigen retrieval by boiling in sodium citrate buffer (pH6.0) for 15min; Block endogenous peroxidase by 3% hydrogen peroxide for 20 minutes; Blocking buffer (normal goat serum) at 37°C for 30min; Antibody incubation with (Synapsin III) Polyclonal Antibody, Unconjugated (bs-11371R) at 1:200 overnight at 4°C, followed by operating according to SP Kit(Rabbit) (sp-0023) instructionsand DAB staining.

Sample:
Pancreas (Mouse) Lysate at 40 ug
Primary: Anti- Synapsin III (bs-11371R) at 1/1000 dilution
Secondary: IRDye800CW Goat Anti-Rabbit IgG at 1/20000 dilution
Predicted band size: 63 kD
Observed band size: 63 kD
Pancreas (Mouse) Lysate at 40 ug
Primary: Anti- Synapsin III (bs-11371R) at 1/1000 dilution
Secondary: IRDye800CW Goat Anti-Rabbit IgG at 1/20000 dilution
Predicted band size: 63 kD
Observed band size: 63 kD
风险提示:丁香通仅作为第三方平台,为商家信息发布提供平台空间。用户咨询产品时请注意保护个人信息及财产安全,合理判断,谨慎选购商品,商家和用户对交易行为负责。对于医疗器械类产品,请先查证核实企业经营资质和医疗器械产品注册证情况。
技术资料暂无技术资料 索取技术资料
Synapsin III Rabbit pAb(bs-11371R)-50ul/100ul/200ul
¥1180 - 2800






