相关产品推荐更多 >
万千商家帮你免费找货
0 人在求购买到急需产品
- 详细信息
- 文献和实验
- 技术资料
- 应用范围:
产品信息以Bioss网站为准
- 规格:
50ul/100ul/200ul
| 规格: | 50ul | 产品价格: | ¥1180.0 |
|---|---|---|---|
| 规格: | 100ul | 产品价格: | ¥1980.0 |
| 规格: | 200ul | 产品价格: | ¥2800.0 |
| 产品编号 | bs-7111R |
| 英文名称 | EDA2R Rabbit pAb |
| 中文名称 | 肿瘤坏死因子受体超家族成员27抗体 |
| 英文别名 | X linked ectodysplasin receptor; Ectodysplasin A2 isoform receptor; Ectodysplasin A2 receptor; EDA-A2 receptor; EDA2R; TNFRSF27; TNR27_HUMAN; Tumor necrosis factor receptor superfamily member 27; X linked ectodysplasin A2 receptor; X-linked ectodysplasin-A2 receptor; XEDAR. |
| 产品应用 | IHC-P=1:100-500, IHC-F=1:100-500, IF=1:100-500 Not yet tested in other applications. |
| 交叉反应 | Human (Mouse, Rat) |
| 抗体来源 | Rabbit |
| 免疫原 | KLH conjugated synthetic peptide derived from human EDA2R/TNFRSF27 |
| 亚型 | IgG |
| 性状 | Liquid |
| 纯化方法 | affinity purified by Protein A |
| 克隆类型 | Polyclonal |
| 理论分子量 | 33 kDa |
| 浓度 | 1mg/ml |
| 储存液 | 0.01M TBS (pH7.4) with 1% BSA, 0.02% Proclin300 and 50% Glycerol. |
| 研究领域 | Cancer > Cell Death > Apoptosis > Receptors > Associated Proteins Cell Biology > Apoptosis > Receptors > Associated Proteins Signal Transduction > Signaling Pathway > Nuclear Signaling > NFkB Pathway Stem Cells > Signaling Pathways > TGF beta > Surface Molecules |
| 亚基 | Associates with TRAF1, TRAF3 and TRAF6. |
| 亚细胞定位 | Membrane; Single-pass type III membrane protein. |
| 相似性 | Contains 3 TNFR-Cys repeats. |
| 功能 | Receptor for EDA isoform A2, but not for EDA isoform A1. Mediates the activation of the NF-kappa-B and JNK pathways. Activation seems to be mediated by binding to TRAF3 and TRAF6. |
| 保存条件 | Shipped at 4℃. Store at -20℃ for one year. Avoid repeated freeze/thaw cycles. |
| 注意事项 | This product as supplied is intended for research use only, not for use in human, therapeutic or diagnostic applications. |
| 背景资料 | The tumor necrosis factor receptor (TNFR) superfamily represents a growing family of type I transmembrane glycoproteins that are involved in various cellular functions, including proliferation, differentiation and programmed cell death (1–3). These proteins share homology for cysteine-rich repeats in the extracellular ligand binding domain and an intracellular death domain (1–3). Members of the TNFR superfamily transmit signals through protein-protein interactions, and these signals can lead to the activation of either the caspase and Jun kinase pathways, which promote cell death, or the NFkB pathway, which results in cell survival (1). The ectodermal dysplasia receptor (EDAR) promotes all three of these pathways and mediates ectodermal differentiation (4). EDAR is encoded by the downless gene and is mutated in ectodermal dysplasia syndromes, which are characterized by impaired hair, teeth and sweat gland development (5). Ectodysplasin A (EDA) is a type II membrane protein that is encoded by the Tabby gene and produces many splice variants, the longest of which, EDA-A1, serves as the ligand for EDAR (5–7). EDA-A2, which differs from EDA-A1 by the deletion of two amino acids, binds only the X-linked ectodysplasin-A2 receptor (XEDAR) (7). Both EDAR and XEDAR exhibit homology with TROY (8). |
| 应用 | 推荐稀释比例 |
| {IHC-P} | {1:100-500} |
| {IHC-F} | {1:100-500} |
| {IF} | {1:100-500} |

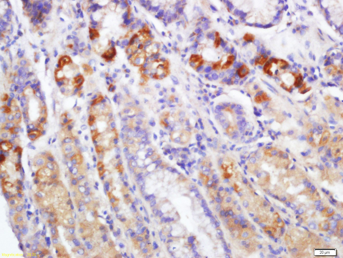
Antigen retrieval: citrate buffer ( 0.01M, pH 6.0 ), Boiling bathing for 15min; Block endogenous peroxidase by 3% Hydrogen peroxide for 30min; Blocking buffer (normal goat serum,C-0005) at 37℃ for 20 min;
Incubation: Anti-EDA2R Polyclonal Antibody, Unconjugated(bs-7111R) 1:200, overnight at 4°C, followed by conjugation to the secondary antibody(SP-0023) and DAB(C-0010) staining
风险提示:丁香通仅作为第三方平台,为商家信息发布提供平台空间。用户咨询产品时请注意保护个人信息及财产安全,合理判断,谨慎选购商品,商家和用户对交易行为负责。对于医疗器械类产品,请先查证核实企业经营资质和医疗器械产品注册证情况。
文献和实验[IF={{ 5.988 }}] {Guo Zhijun. et al. Cisplatin-Induced Anorexia and Pica Behavior in Rats Enhanced by Chronic Stress Pretreatment. FRONT PHARMACOL. 2022 Jul;0:2565} {WB} {Rat}
[IF={{ 4.6 }}] {Tokumasu Rino. et al. Transcription factor FoxO1 regulates myoepithelial cell diversity and growth. SCI REP-UK. 2024 Jan;14(1):1-15} {IF,WB} {Mouse}
[IF={{ 1.7 }}] {Anjorin Oluwakemi I.. et al. Functions of ectodysplasin A2 receptor (EDA2R) in inducing capacitation of sperm in mice. IN VITRO CELL DEV-AN. 2025 Jul;:1-10} {WB,IF} {Mouse}
技术资料暂无技术资料 索取技术资料








