相关产品推荐更多 >

GALE Rabbit pAb(bs-13265R)-50ul/100ul/200ul
¥1180
IL-1 Beta Rabbit pAb(bs-0812R)-50ul/100ul/200ul
¥1180
GABR B3 Rabbit pAb, BF405 conjugated(bs-8544R-BF405)-100ul
¥2980
phospho-STAT3 (Tyr705) Rabbit pAb(bs-1658R)-50ul/100ul/200ul
¥1180
c-Kit Rabbit pAb, PerCP-Cy5.5 conjugated(bs-10005R-PerCP-Cy5.5)-100ul
¥2980
万千商家帮你免费找货
0 人在求购买到急需产品
- 详细信息
- 文献和实验
- 技术资料
- 应用范围:
产品信息以Bioss网站为准
- 规格:
50ul/100ul/200ul
| 规格: | 50ul | 产品价格: | ¥1180.0 |
|---|---|---|---|
| 规格: | 100ul | 产品价格: | ¥1980.0 |
| 规格: | 200ul | 产品价格: | ¥2800.0 |
| 产品编号 | bs-1286R |
| 英文名称 | CD40L Rabbit pAb |
| 中文名称 | CD40L(CD154)抗体 |
| 英文别名 | TNFSF5; CD 154; CD154; CD 40L; CD154 antigen; CD40 homologue; CD40 ligand; CD40LG; gp39; hCD40L; HIGM1; Hyper IgM syndrome; IGM; IMD3; Ly62; T B cell activating molecule; T cell antigen GP39; TBAM; TNF related activation protein; TNF superfamily member 5; Tnfsf5; TRAP; Tumor necrosis factor(ligand) superfamily member 5; CD40L_HUMAN. |
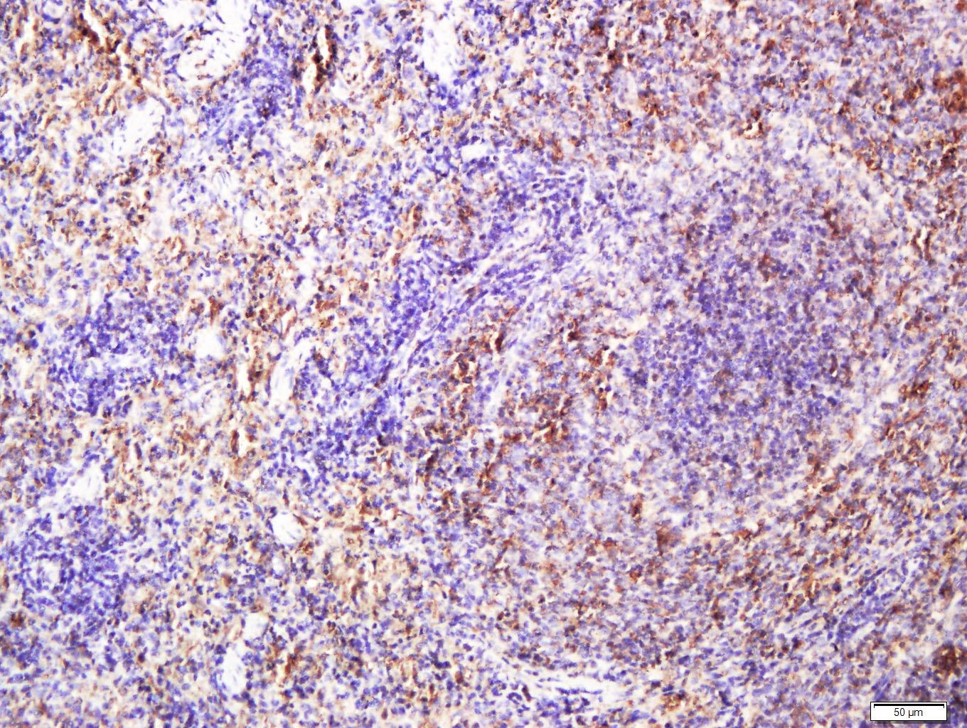
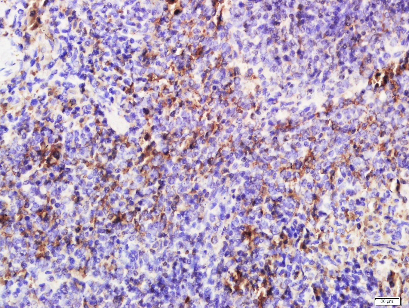
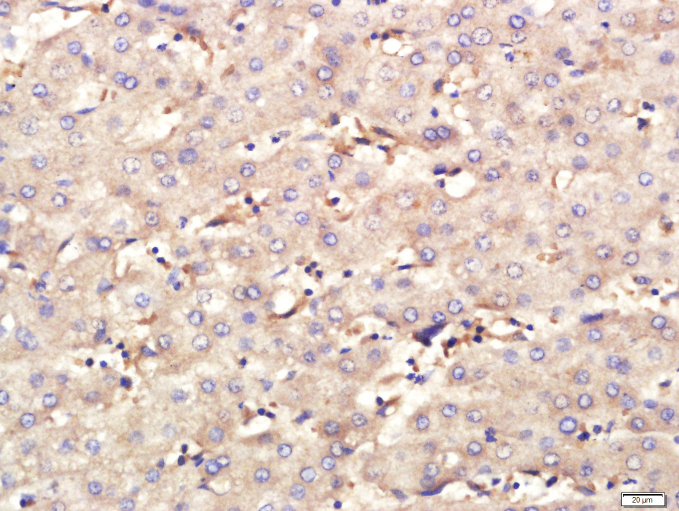
| 产品应用 | IHC-P=1:100-500, IHC-F=1:100-500, IF=1:100-500 Not yet tested in other applications. |
| 交叉反应 | Human, Rat |
| 抗体来源 | Rabbit |
| 免疫原 | KLH conjugated synthetic peptide derived from human CD40L |
| 亚型 | IgG |
| 性状 | Liquid |
| 纯化方法 | affinity purified by Protein A |
| 克隆类型 | Polyclonal |
| 理论分子量 | 29 kDa |
| 实际分子量 | 32-39 kDa |
| 浓度 | 1mg/ml |
| 储存液 | 0.01M TBS (pH7.4) with 1% BSA, 0.02% Proclin300 and 50% Glycerol. |
| 亚细胞定位 | Secreted and Cell membrane. |
| 组织特异性 | Specifically expressed on activated CD4+ T-lymphocytes. |
| 相似性 | Belongs to the tumor necrosis factor family. |
| 功能 | Mediates B-cell proliferation in the absence of co-stimulus as well as IgE production in the presence of IL-4. Involved in immunoglobulin class switching. Release of soluble CD40L from platelets is partially regulated by GP IIb/IIIa, actin polymerization, and an matrix metalloproteinases (MMP) inhibitor-sensitive pathway. |
| 保存条件 | Shipped at 4℃. Store at -20℃ for one year. Avoid repeated freeze/thaw cycles. |
| 注意事项 | This product as supplied is intended for research use only, not for use in human, therapeutic or diagnostic applications. |
| 背景资料 | CD40 ligand (CD40L) is a 33 kDa type II membrane glycoprotein expressed mainly on the cell surface of activated T lymphocytes, but also exists as a soluble form extracellularly. CD40L is the ligand for CD40, a member of the TNF superfamily, which is expressed on the cell surface of B cells, macrophages/monocytes, dendritic cells, vascular endothelial cells, and epithelial cells. CD40L plays an important role in B cell proliferation, antibody class switching, modulation of apoptosis in the germinal center through interaction with B cells expressing CD40, and activation of CD4+ T cells. Mutation within the CD40L gene is linked to hyper IgM syndrome, an X linked immunodeficiency disease that is characterized by elevated level of serum IgM and decreased level of other isotypes. |
| 应用 | 推荐稀释比例 |
| {IHC-P} | {1:100-500} |
| {IHC-F} | {1:100-500} |
| {IF} | {1:100-500} |



风险提示:丁香通仅作为第三方平台,为商家信息发布提供平台空间。用户咨询产品时请注意保护个人信息及财产安全,合理判断,谨慎选购商品,商家和用户对交易行为负责。对于医疗器械类产品,请先查证核实企业经营资质和医疗器械产品注册证情况。
文献和实验[IF={{ 6.304 }}] {Chen Y et al. Dendritic cells-derived interferon-λ1 ameliorated inflammatory bone destruction through inhibiting osteoclastogenesis. Cell Death Dis. 2020 Jun 2;11(6):414.} {WB} {Mouse}
[IF={{ 3.455 }}] {Jennifer A. Schreiber. et al. Moderate blood alcohol and brain neurovulnerability: Selective depletion of calcium-independent PLA2, omega-3 docosahexaenoic acid and its synaptamide derivative as a potential harbinger of deficits in anti-inflammatory reserve. 2021 Nov 01} {WB} {Rat,Mouse}
[IF={{ 3.166 }}] {Zhang, Feng, et al. "BAFF upregulates CD28/B7 and CD40/CD154 expression and promotes mouse T and B cell interaction in vitro via BAFF receptor." Acta Pharmacologica Sinica (2016).} {WB} {="Mouse"}
[IF={{ 2.895 }}] {Wang B et al. Anti‐Adhesive, Platelet Gathering Effects of c‐RGD Modified Poly (p‐dioxanone‐co‐l‐Phe) Electrospun Membrane and Its Comprehensive Application in Intestinal Anastomosis. Macromol Biosci. 2019 Dec 18:e1900344.} {IHC} {Rat}
[IF={{ 0 }}] {Rui-Kai and Jian Effects of xinfeng capsules on expression of platelet granule membrane protein 140 and platelet cluster of differentiation 40 ligand in peripheral blood of adjuvant arthritis rats. (2012) Int.J.Rheumato. 2012:139696} {FCM,Other} {Rat}
= NAL), appears to form upon oxidative cyclization of the nonfluorescent 2:1 lysine-HNE Michael adduct-Schiff base cross-link (Scheme 1). Polyclonal antibody (PAb) to the NAL-HNE fluorophore was raised in rabbit and found to be highly specific
GE Healthcare Benzamidine Sepharose™ 6B is p-aminobenzamidine covalently attached to Sepharose 6B by the epoxy coupling method. p-Aminobenzamidine (PAB), is a synthetic inhibitor of trypsin-like serine protease. Trypsin and trypsin
Nucleic Acid Programmable Protein Arrays: Versatile Tools for Array‐Based Functional Protein Studies
.g., Sigma) 50 mg/ml bis‐sulfosuccinimdylsuberate (BS3 ;Pierce, cat. no. PI 21580) in dimethylsulfoxide (DMSO) 5 mg/ml
技术资料暂无技术资料 索取技术资料





