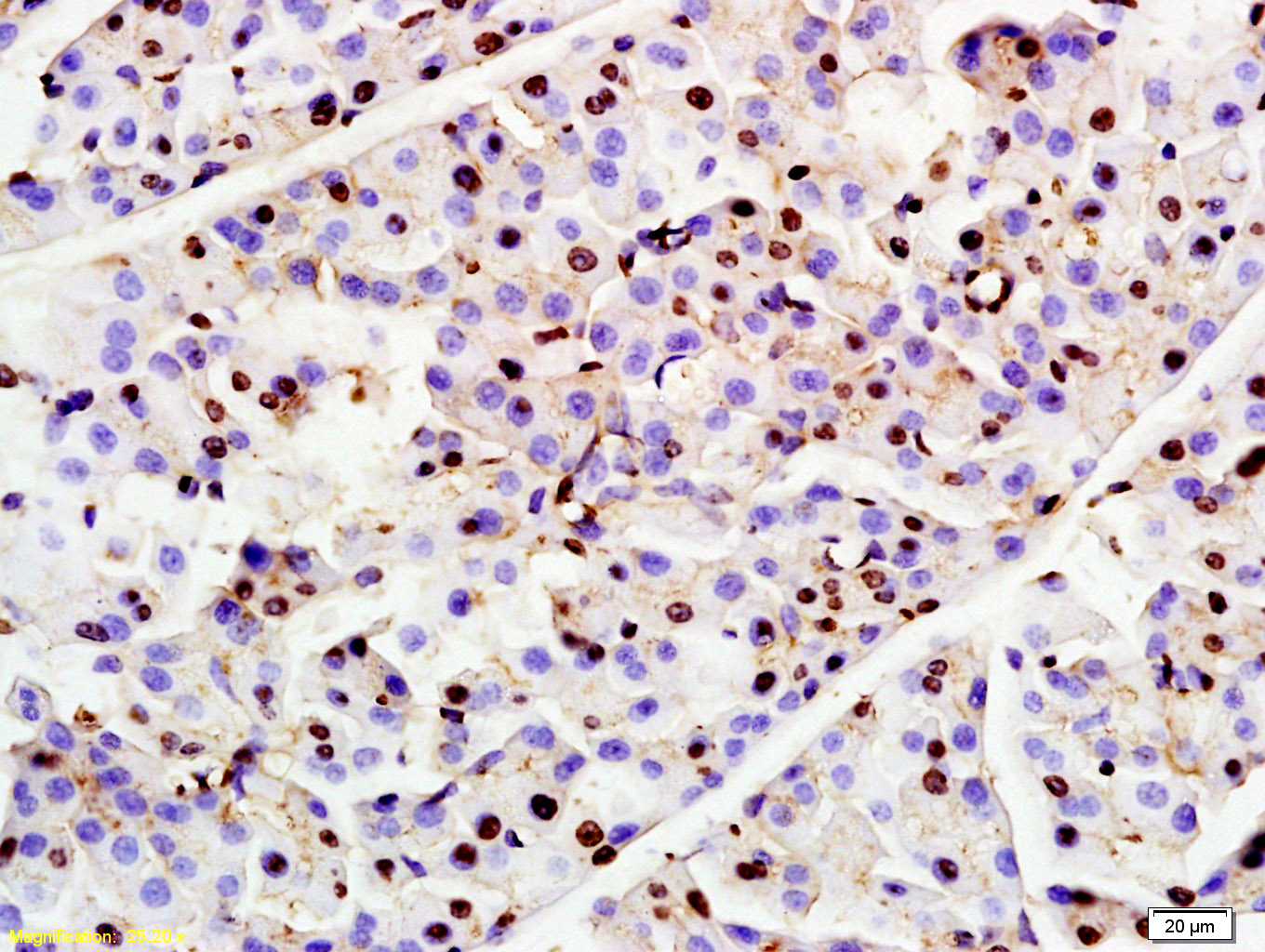
Tissue/cell: rat pancreas tissue; 4% Paraformaldehyde-fixed and paraffin-embedded;
Antigen retrieval: citrate buffer ( 0.01M, pH 6.0 ), Boiling bathing for 15min; Block endogenous peroxidase by 3% Hydrogen peroxide for 30min; Blocking buffer (normal goat serum,C-0005) at 37℃ for 20 min;
Incubation: Anti-RNF7 Polyclonal Antibody, Unconjugated(bs-7570R) 1:200, overnight at 4°C, followed by conjugation to the secondary antibody(SP-0023) and DAB(C-0010) staining
相关产品推荐更多 >

C19orf50 Rabbit pAb(bs-13786R)-50ul/100ul/200ul
¥1180
IL17F Rabbit pAb, AP conjugated(bs-2614R-AP)-100ul
¥2980
CD146 Mouse mAb, APC-Cy5.5 conjugated(bsm-30106M-APC-Cy5.5)-25T/50T/100T
¥1380
FMNL3 Rabbit pAb, Cy5 conjugated(bs-16151R-Cy5)-100ul
¥2980
RBM24 Rabbit pAb, Cy3 conjugated(bs-21293R-Cy3)-100ul
¥2980
万千商家帮你免费找货
0 人在求购买到急需产品
- 详细信息
- 技术资料
- 应用范围:
产品信息以Bioss网站为准
- 规格:
50ul/100ul/200ul
| 规格: | 50ul | 产品价格: | ¥1180.0 |
|---|---|---|---|
| 规格: | 100ul | 产品价格: | ¥1980.0 |
| 规格: | 200ul | 产品价格: | ¥2800.0 |
| 产品编号 | bs-7570R |
| 英文名称 | RNF7 Rabbit pAb |
| 中文名称 | 环指蛋白7抗体 |
| 英文别名 | CKBBP 1; CKBBP1; CKII beta binding protein 1; CKII beta-binding protein 1; Rbx 2; Rbx2; RBX2_HUMAN; Regulator Of cullins 2; RING box protein 2; Ring finger protein 7; RING-box protein 2; RNF 7; RNF7; ROC 2; ROC2; SAG; Sensitive to apoptosis gene; Sensitive to apoptosis gene protein; Zinc RING finger protein SAG. |
| 产品应用 | IHC-P=1:100-500, IHC-F=1:100-500, IF=1:100-500 Not yet tested in other applications. |
| 交叉反应 | Rat (Human, Mouse, Dog, Pig, Sheep) |
| 抗体来源 | Rabbit |
| 免疫原 | KLH conjugated synthetic peptide derived from human RNF7/CKBBP1 |
| 亚型 | IgG |
| 性状 | Liquid |
| 纯化方法 | affinity purified by Protein A |
| 克隆类型 | Polyclonal |
| 理论分子量 | 13 kDa |
| 浓度 | 1mg/ml |
| 储存液 | 0.01M TBS (pH7.4) with 1% BSA, 0.02% Proclin300 and 50% Glycerol. |
| 研究领域 | Cell Biology > Apoptosis > Intracellular > Associated Proteins Cell Biology > Proteolysis / Ubiquitin > Proteasome / Ubiquitin > Ubiquitin E3 Enzymes > RING Finger E3 Ligase Epigenetics and Nuclear Signaling > Ubiquitin & Ubiquitin Like Modifiers > E3 Ubiquitin Ligases Epigenetics and Nuclear Signaling > Ubiquitin & Ubiquitin Like Modifiers > Ubiquitin like Modifiers Metabolism > Pathways and Processes > Redox metabolism > Oxidative stress |
| 亚基 | Probable part of SCF complexes, which consist of SKP1, CUL1, RNF7/RBX2 and a F-box protein. Interacts (preferentially) with CUL5. Also interacts (with lower preference) with CUL1, CUL2, CUL3, CUL4A and CUL4B. Interacts with UBE2F. Interacts with CSNK2B, the interaction is not affected by phosphorylation by CK2. |
| 亚细胞定位 | Cytoplasm. Nucleus. |
| 组织特异性 | Expressed in heart, liver, skeletal muscle and pancreas. At very low levels expressed in brain, placenta and lung. |
| 翻译后修饰 | Phosphorylation by CK2 is required for efficient degradation of NFKBIA and CDKN1B. |
| 相似性 | Belongs to the RING-box family. Contains 1 RING-type zinc finger. |
| 功能 | Probable component of the SCF (SKP1-CUL1-F-box protein) E3 ubiquitin ligase complex which mediates the ubiquitination and subsequent proteasomal degradation of target proteins involved in cell cycle progression, signal transduction and transcription. Through the RING-type zinc finger, seems to recruit the E2 ubiquitination enzyme to the complex and brings it into close proximity to the substrate. Promotes the neddylation of CUL5 via its interaction with UBE2F. May play a role in protecting cells from apoptosis induced by redox agents. |
| 保存条件 | Shipped at 4℃. Store at -20℃ for one year. Avoid repeated freeze/thaw cycles. |
| 注意事项 | This product as supplied is intended for research use only, not for use in human, therapeutic or diagnostic applications. |
| 背景资料 | Probable component of the SCF (SKP1-CUL1-F-box protein) E3 ubiquitin ligase complex which mediates the ubiquitination and subsequent proteasomal degradation of target proteins involved in cell cycle progression, signal transduction and transcription. Through the RING-type zinc finger, seems to recruit the E2 ubiquitination enzyme to the complex and brings it into close proximity to the substrate. Promotes the neddylation of CUL5 via its interaction with UBE2F. May play a role in protecting cells from apoptosis induced by redox agents.Tissue specificity: Expressed in heart, liver, skeletal muscle and pancreas. At very low levels expressed in brain, placenta and lung. |
| 应用 | 推荐稀释比例 |
| {IHC-P} | {1:100-500} |
| {IHC-F} | {1:100-500} |
| {IF} | {1:100-500} |


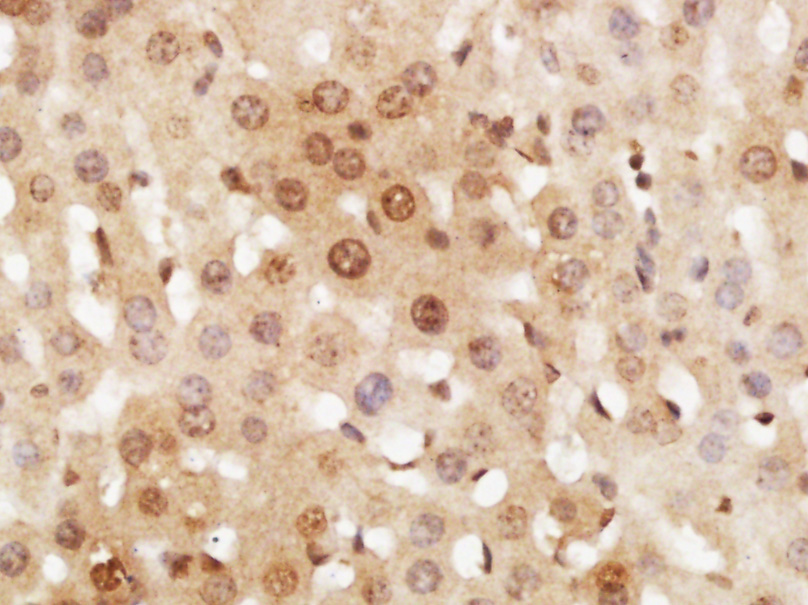
Paraformaldehyde-fixed, paraffin embedded (Rat liver); Antigen retrieval by boiling in sodium citrate buffer (pH6.0) for 15min; Block endogenous peroxidase by 3% hydrogen peroxide for 20 minutes; Blocking buffer (normal goat serum) at 37°C for 30min; Antibody incubation with (RNF7) Polyclonal Antibody, Unconjugated (bs-7570R) at 1:400 overnight at 4°C, followed by operating according to SP Kit(Rabbit) (sp-0023) instructionsand DAB staining.

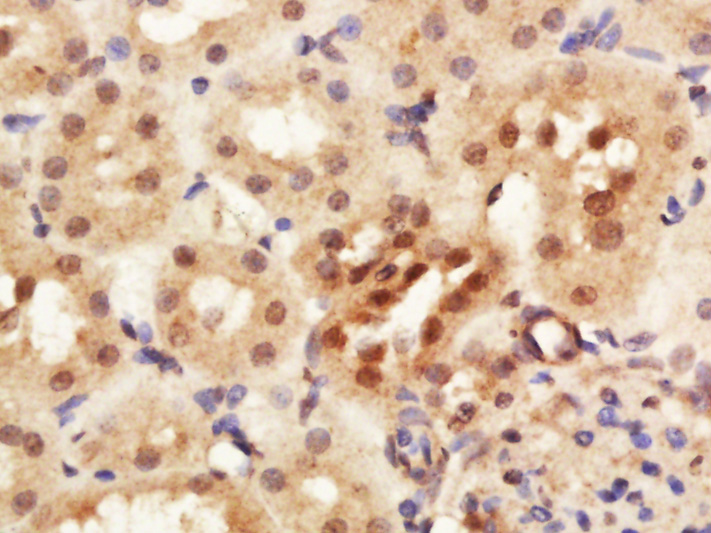
Paraformaldehyde-fixed, paraffin embedded (Rat kidney); Antigen retrieval by boiling in sodium citrate buffer (pH6.0) for 15min; Block endogenous peroxidase by 3% hydrogen peroxide for 20 minutes; Blocking buffer (normal goat serum) at 37°C for 30min; Antibody incubation with (RNF7) Polyclonal Antibody, Unconjugated (bs-7570R) at 1:400 overnight at 4°C, followed by operating according to SP Kit(Rabbit) (sp-0023) instructionsand DAB staining.
风险提示:丁香通仅作为第三方平台,为商家信息发布提供平台空间。用户咨询产品时请注意保护个人信息及财产安全,合理判断,谨慎选购商品,商家和用户对交易行为负责。对于医疗器械类产品,请先查证核实企业经营资质和医疗器械产品注册证情况。
技术资料暂无技术资料 索取技术资料
RNF7 Rabbit pAb(bs-7570R)-50ul/100ul/200ul
¥1180 - 2800





