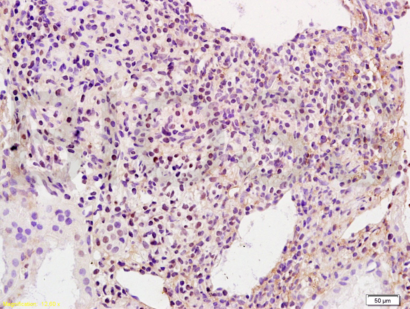
Tissue/cell: human kidney carcinoma; 4% Paraformaldehyde-fixed and paraffin-embedded;
Antigen retrieval: citrate buffer ( 0.01M, pH 6.0 ), Boiling bathing for 15min; Block endogenous peroxidase by 3% Hydrogen peroxide for 30min; Blocking buffer (normal goat serum,C-0005) at 37℃ for 20 min;
Incubation: Anti-phospho-BACH1/BRIP1(Ser990) Polyclonal Antibody, Unconjugated(bs-5226R) 1:100, overnight at 4°C, followed by conjugation to the secondary antibody(SP-0023) and DAB(C-0010) staining
相关产品推荐更多 >
万千商家帮你免费找货
0 人在求购买到急需产品
- 详细信息
- 技术资料
- 应用范围:
产品信息以Bioss网站为准
- 规格:
50ul/100ul/200ul
| 规格: | 50ul | 产品价格: | ¥1180.0 |
|---|---|---|---|
| 规格: | 100ul | 产品价格: | ¥1980.0 |
| 规格: | 200ul | 产品价格: | ¥2800.0 |
| 产品编号 | bs-5226R |
| 英文名称 | phospho-BRIP1/BACH1 (Ser990) Rabbit pAb |
| 中文名称 | 磷酸化乳腺癌易感基因相互作用蛋白1抗体 |
| 英文别名 | BACH 1; BACH-1; BRAC 1 Associated C Terminal Helicase 1; BRCA 1 Interacting Protein 1; BRCA1 binding helicase like protein BACH1; BRCA1 interacting protein C terminal helicase 1; BRIP 1; BRIP-1; FANCJ; ATP dependent RNA helicase BRIP1; Fanconi anemia group J protein; FLJ90232; MGC126521; MGC126523; OF antibody Protein FACJ; FANCJ_HUMAN. |
| 产品应用 | IHC-P=1:100-500, IHC-F=1:100-500, IF=1:100-500 Not yet tested in other applications. |
| 交叉反应 | Human, Mouse (Cow, Sheep) |
| 抗体来源 | Rabbit |
| 免疫原 | KLH conjugated Synthesised phosphopeptide derived from human BRIP1 around the phosphorylation site of Ser990 |
| 亚型 | IgG |
| 性状 | Liquid |
| 纯化方法 | affinity purified by Protein A |
| 克隆类型 | Polyclonal |
| 理论分子量 | 141 kDa |
| 浓度 | 1mg/ml |
| 储存液 | 0.01M TBS (pH7.4) with 1% BSA, 0.02% Proclin300 and 50% Glycerol. |
| 研究领域 | Epigenetics and Nuclear Signaling > DNA / RNA > Translation > Mito. Translation Epigenetics and Nuclear Signaling > DNA / RNA > Translation > Ribosome Tags & Cell Markers > Subcellular Markers > Organelles > Mitochondria |
| 亚细胞定位 | Nucleus. |
| 相似性 | Belongs to the bZIP family. CNC subfamily. Contains 1 BTB (POZ) domain. Contains 1 bZIP domain. |
| 功能 | Transcriptional regulator that acts as repressor or activator. Binds, in-vitro, to NF-E2 binding sites. Play important roles in coordinating transcription activation and repression by MAFK. |
| 保存条件 | Shipped at 4℃. Store at -20℃ for one year. Avoid repeated freeze/thaw cycles. |
| 注意事项 | This product as supplied is intended for research use only, not for use in human, therapeutic or diagnostic applications. |
| 背景资料 | This gene encodes a transcription factor that belongs to the cap'n'collar type of basic region leucine zipper factor family (CNC-bZip). The encoded protein contains broad complex, tramtrack, bric-a-brac/poxvirus and zinc finger (BTB/POZ) domains, which is atypical of CNC-bZip family members. These BTB/POZ domains facilitate protein-protein interactions and formation of homo- and/or hetero-oligomers. When this encoded protein forms a heterodimer with MafK, it functions as a repressor of Maf recognition element (MARE) and transcription is repressed. Multiple alternatively spliced transcript variants have been identified for this gene. [provided by RefSeq, May 2009]. |
| 应用 | 推荐稀释比例 |
| {IHC-P} | {1:100-500} |
| {IHC-F} | {1:100-500} |
| {IF} | {1:100-500} |


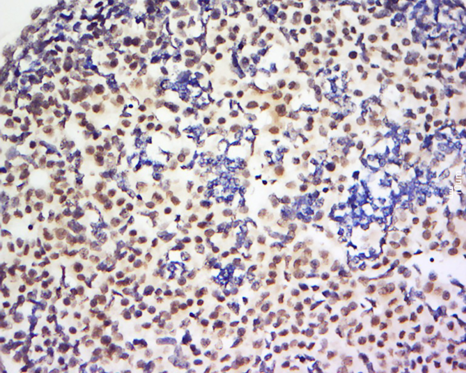
Tissue/cell: Mouse embryo tissue; 4% Paraformaldehyde-fixed and paraffin-embedded;
Antigen retrieval: citrate buffer ( 0.01M, pH 6.0 ), Boiling bathing for 15min; Block endogenous peroxidase by 3% Hydrogen peroxide for 30min; Blocking buffer (normal goat serum,C-0005) at 37℃ for 20 min;
Incubation: Anti-BACH 1 Polyclonal Antibody, Unconjugated(bs-5226R) 1:200, overnight at 4°C, followed by conjugation to the secondary antibody(SP-0023) and DAB(C-0010) staining
Antigen retrieval: citrate buffer ( 0.01M, pH 6.0 ), Boiling bathing for 15min; Block endogenous peroxidase by 3% Hydrogen peroxide for 30min; Blocking buffer (normal goat serum,C-0005) at 37℃ for 20 min;
Incubation: Anti-BACH 1 Polyclonal Antibody, Unconjugated(bs-5226R) 1:200, overnight at 4°C, followed by conjugation to the secondary antibody(SP-0023) and DAB(C-0010) staining

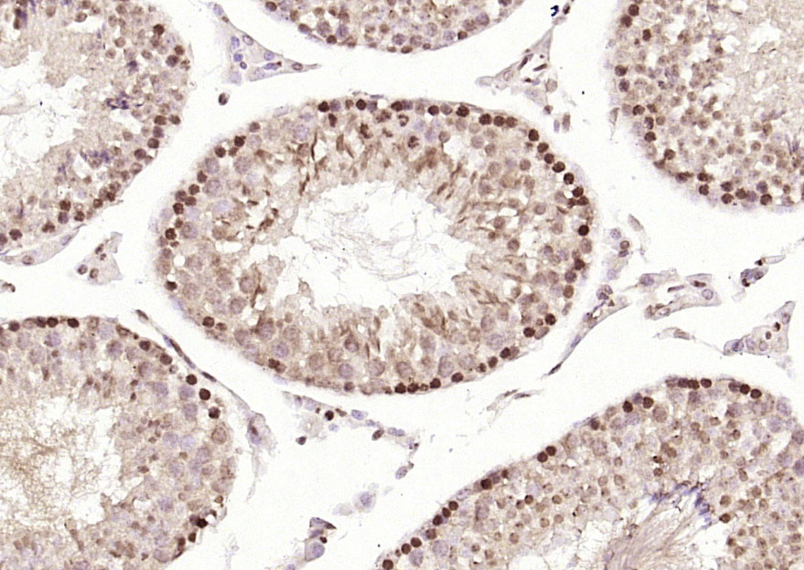
Paraformaldehyde-fixed, paraffin embedded (mouse testis); Antigen retrieval by boiling in sodium citrate buffer (pH6.0) for 15min; Block endogenous peroxidase by 3% hydrogen peroxide for 20 minutes; Blocking buffer (normal goat serum) at 37°C for 30min; Antibody incubation with (phospho-BRIP1BACH1 (Ser990)) Polyclonal Antibody, Unconjugated (bs-5226R) at 1:200 overnight at 4°C, followed by operating according to SP Kit(Rabbit) (sp-0023) instructionsand DAB staining.
风险提示:丁香通仅作为第三方平台,为商家信息发布提供平台空间。用户咨询产品时请注意保护个人信息及财产安全,合理判断,谨慎选购商品,商家和用户对交易行为负责。对于医疗器械类产品,请先查证核实企业经营资质和医疗器械产品注册证情况。
技术资料暂无技术资料 索取技术资料
phospho-BRIP1/BACH1 (Ser990) Rabbit pAb(bs-5226R)-50ul/100ul/200ul
¥1180 - 2800









